JavaScript is disabled in your browser. Please enable JavaScript to view this website.
AB109379

Anti-RCC1 antibody [EPR5857]

Be the first to review this product! Submit a review

|

(3 Publications)

Rabbit Recombinant Monoclonal RCC1 antibody. Suitable for IHC-P, WB, Flow Cyt (Intra) and reacts with Human, Mouse, Rat samples. Cited in 3 publications.

View Alternative Names

CHC1, RCC1, Regulator of chromosome condensation, Cell cycle regulatory protein, Chromosome condensation protein 1

5 Images
Flow Cytometry (Intracellular) - Anti-RCC1 antibody [EPR5857] (AB109379)
  • Flow Cyt (Intra)

Unknown

Flow Cytometry (Intracellular) - Anti-RCC1 antibody [EPR5857] (AB109379)

Intracellular Flow Cytometry analysis of HeLa (human cervix adenocarcinoma) cells labeling RCC1 (red) with ab109379 at a 1/2000 dilution. Cells were fixed with 4% paraformaldehyde and permeabilized with 90% methanol. A goat anti-rabbit IgG (Alexa Fluorr® 488) (ab150077) was used as the secondary antibody at a 1/2000 dilution. Black - Rabbit monoclonal IgG (ab172730). Blue (unlabeled control) - Cells without incubation with primary and secondary antibodies.

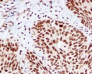
Immunohistochemistry (Formalin/PFA-fixed paraffin-embedded sections) - Anti-RCC1 antibody [EPR5857] (AB109379)
  • IHC-P

Unknown

Immunohistochemistry (Formalin/PFA-fixed paraffin-embedded sections) - Anti-RCC1 antibody [EPR5857] (AB109379)

ab109379, at a 1/100 dilution, staining RCC1 in paraffin-embedded Human bladder carcinoma tissue

Perform heat mediated antigen retrieval before commencing with IHC staining protocol.

Western blot - Anti-RCC1 antibody [EPR5857] (AB109379)
  • WB

Unknown

Western blot - Anti-RCC1 antibody [EPR5857] (AB109379)

All lanes:

Western blot - Anti-RCC1 antibody [EPR5857] (ab109379) at 1/1000 dilution

Lane 1:

A431 cell lysate at 10 µg

Lane 2:

HeLa cell lysate at 10 µg

Lane 3:

Jurkat cell lysate at 10 µg

Lane 4:

293T cell lysate at 10 µg

Predicted band size: 45 kDa

false

Western blot - Anti-RCC1 antibody [EPR5857] (AB109379)
  • WB

Supplier Data

Western blot - Anti-RCC1 antibody [EPR5857] (AB109379)

Diluting and blocking buffer : 5% NFDM/TBST 5% NFDM/TBST

All lanes:

Western blot - Anti-RCC1 antibody [EPR5857] (ab109379) at 1/1000 dilution

Lane 1:

Mouse kidney tissue lysate at 20 µg

Lane 2:

Mouse spleen tissue lysate at 20 µg

Secondary

All lanes:

Western blot - Goat Anti-Rabbit IgG H&L (HRP) (<a href='/en-us/products/secondary-antibodies/goat-rabbit-igg-h-l-hrp-ab97051'>ab97051</a>) at 1/20000 dilution

Predicted band size: 45 kDa

Observed band size: 44 kDa

false

Exposure time: 180s

Western blot - Anti-RCC1 antibody [EPR5857] (AB109379)
  • WB

Supplier Data

Western blot - Anti-RCC1 antibody [EPR5857] (AB109379)

Diluting and blocking buffer : 5% NFDM/TBST 5% NFDM/TBST

All lanes:

Western blot - Anti-RCC1 antibody [EPR5857] (ab109379) at 1/1000 dilution

Lane 1:

C6 (rat glial tumor glial cell) whole cell lysate at 20 µg

Lane 2:

RAW 264.7 (mouse Abelson murine leukemia virus-induced tumor macrophage) whole cell lysate at 20 µg

Lane 3:

PC-12 (rat adrenal gland pheochromocytoma cell) whole cell lysate at 20 µg

Lane 4:

NIH/3T3 (mouse embryonic fibroblast) whole cell lysate at 20 µg

Secondary

All lanes:

Western blot - Goat Anti-Rabbit IgG H&L (HRP) (<a href='/en-us/products/secondary-antibodies/goat-rabbit-igg-h-l-hrp-ab97051'>ab97051</a>) at 1/20000 dilution

Predicted band size: 45 kDa

Observed band size: 44 kDa

false

Exposure time: 180s

  • Carrier free

    Anti-RCC1 antibody [EPR5857] - BSA and Azide free

Key facts

Host species

Rabbit

Clonality

Monoclonal

Clone number

EPR5857

Isotype

IgG

Carrier free

No

Reacts with

Mouse, Rat, Human

Applications

Flow Cyt (Intra), WB, IHC-P

applications

Immunogen

The exact immunogen used to generate this antibody is proprietary information.

Reactivity data

{ "title": "Reactivity Data", "filters": { "stats": ["", "Species", "Dilution Info", "Notes"], "tabs": { "all-applications": {"fullname" : "All Applications", "shortname": "All Applications"}, "IHCP" : {"fullname" : "Immunohistochemistry (Formalin/PFA-fixed paraffin-embedded sections)", "shortname":"IHC-P"}, "WB" : {"fullname" : "Western blot", "shortname":"WB"}, "FlowCytIntra" : {"fullname" : "Flow Cytometry (Intracellular)", "shortname":"Flow Cyt (Intra)"} }, "product-promise": { "all": "all", "testedAndGuaranteed": "tested", "guaranteed": "expected", "predicted": "predicted", "notRecommended": "not-recommended" } }, "values": { "Human": { "IHCP-species-checked": "testedAndGuaranteed", "IHCP-species-dilution-info": "1/100 - 1/250", "IHCP-species-notes": "<p>Heat up to 98 degrees C, below boiling, and then let cool for 10-20 min.</p> Perform heat-mediated antigen retrieval before commencing with IHC staining protocol.", "WB-species-checked": "testedAndGuaranteed", "WB-species-dilution-info": "1/1000 - 1/10000", "WB-species-notes": "<p></p>", "FlowCytIntra-species-checked": "testedAndGuaranteed", "FlowCytIntra-species-dilution-info": "1/2000", "FlowCytIntra-species-notes": "<p></p>" }, "Mouse": { "IHCP-species-checked": "notRecommended", "IHCP-species-dilution-info": "", "IHCP-species-notes": "<p></p>", "WB-species-checked": "testedAndGuaranteed", "WB-species-dilution-info": "1/1000", "WB-species-notes": "<p></p>", "FlowCytIntra-species-checked": "guaranteed", "FlowCytIntra-species-dilution-info": "", "FlowCytIntra-species-notes": "" }, "Rat": { "IHCP-species-checked": "notRecommended", "IHCP-species-dilution-info": "", "IHCP-species-notes": "<p></p>", "WB-species-checked": "testedAndGuaranteed", "WB-species-dilution-info": "1/1000", "WB-species-notes": "<p></p>", "FlowCytIntra-species-checked": "guaranteed", "FlowCytIntra-species-dilution-info": "", "FlowCytIntra-species-notes": "" } } }

Product details

Patented technology
Our RabMAb® technology is a patented hybridoma-based technology for making rabbit monoclonal antibodies. For details on our patents, please refer to RabMAb® patents.

What are the advantages of a recombinant monoclonal antibody?
This product is a recombinant monoclonal antibody, which offers several advantages including:

  • - High batch-to-batch consistency and reproducibility
  • - Improved sensitivity and specificity
  • - Long-term security of supply
  • - Animal-free batch production

For more information, read more on recombinant antibodies.

Properties and storage information

Form
Liquid
Purification technique
Affinity purification Protein A
Storage buffer
pH: 7.2 - 7.4 Preservative: 0.05% Sodium azide Constituents: 50% Tissue culture supernatant, 40% Glycerol (glycerin, glycerine), 9.85% Tris glycine, 0.1% BSA
Shipped at conditions
Blue Ice
Appropriate short-term storage duration
1-2 weeks
Appropriate short-term storage conditions
+4°C
Appropriate long-term storage conditions
-20°C
Aliquoting information
Upon delivery aliquot
Storage information
Stable for 12 months at -20°C

Supplementary information

This supplementary information is collated from multiple sources and compiled automatically.

Regulator of Chromosome Condensation 1 (RCC1) also known as Ran guanine nucleotide exchange factor is a highly conserved protein. With a molecular mass of approximately 45 kDa RCC1 localizes mainly in the nucleus. This protein functions as a guanine nucleotide exchange factor (GEF) for the small GTPase Ran facilitating the conversion of RanGDP to RanGTP. RCC1 is abundant in cells showing expression in various tissue types reflecting its mechanical role in nuclear transport.
Biological function summary

The protein RCC1 acts as an important player in the regulation of nucleocytoplasmic transport mitosis and other cellular processes. It forms a complex with chromatin and its substrate Ran particularly binding to DNA in a sequence-specific manner. RCC1's activity modifies the Ran gradient across the nuclear envelope which is essential for directing the import and export of proteins and RNA molecules. This gradient is also vital during mitosis for proper chromosomal segregation.

Pathways

RCC1 integrates into the Ran pathway a mechanism significant for cell cycle progression and nucleocytoplasmic transport. Within this pathway RCC1 influences the Ran cycle in partnership with proteins such as RanBP1 and RanGAP. It also plays a part in mitotic spindle assembly through its interactions with spindle assembly factors interlinking with microtubule dynamics. RCC1's function in these pathways highlights its critical involvement in maintaining cellular division and transport activities.

Defects in RCC1 expression or function have connections to tumorigenesis and certain neurological disorders. Aberrations in the Ran signaling pathway mediated by RCC1 can disturb genomic stability linking it to cancer progression. Additionally improper regulation of RCC1 might implicate its association with neurodegenerative conditions where proteins like RanGAP1 and importin beta are also involved. Understanding these relationships may lead to potential therapeutic targets for treating such diseases.

Product protocols

For this product, it's our understanding that no specific protocols are required. You can visit:

Target data

Guanine-nucleotide releasing factor that promotes the exchange of Ran-bound GDP by GTP, and thereby plays an important role in RAN-mediated functions in nuclear import and mitosis (PubMed : 11336674, PubMed : 17435751, PubMed : 1944575, PubMed : 20668449, PubMed : 22215983, PubMed : 29042532). Contributes to the generation of high levels of chromosome-associated, GTP-bound RAN, which is important for mitotic spindle assembly and normal progress through mitosis (PubMed : 12194828, PubMed : 17435751, PubMed : 22215983). Via its role in maintaining high levels of GTP-bound RAN in the nucleus, contributes to the release of cargo proteins from importins after nuclear import (PubMed : 22215983). Involved in the regulation of onset of chromosome condensation in the S phase (PubMed : 3678831). Binds both to the nucleosomes and double-stranded DNA (PubMed : 17435751, PubMed : 18762580).
See full target information RCC1

Publications (3)

Recent publications for all applications. Explore the full list and refine your search

The EMBO journal 39:e101689 PubMed31617608

2019

RanGTP and importin β regulate meiosis I spindle assembly and function in mouse oocytes.

Applications

Unspecified application

Species

Unspecified reactive species

David Drutovic,Xing Duan,Rong Li,Petr Kalab,Petr Solc

Oncology letters 12:1129-1131 PubMed27446406

2016

Massive renal urothelial carcinoma with renal vein tumor thrombus, pancreatic infiltration and adrenal metastasis: A case report.

Applications

IHC-P

Species

Human

Tao Li,Liang Gao,Weilu Wu,Peng Chen,Siyuan Bu,Qiang Wei,Lu Yang

Molecular biology of the cell 27:1346-57 PubMed26864624

2016

RCC1-dependent activation of Ran accelerates cell cycle and DNA repair, inhibiting DNA damage-induced cell senescence.

Applications

WB

Species

Unspecified reactive species

Pavol Cekan,Keisuke Hasegawa,Yu Pan,Emily Tubman,David Odde,Jin-Qiu Chen,Michelle A Herrmann,Sheetal Kumar,Petr Kalab
View all publications

Product promise

We are committed to supporting your work with high-quality reagents, and we're here for you every step of the way. In the unlikely event that one of our products does not perform as expected, you're protected by our Product Promise.
For full details, please see our Terms & Conditions

Please note: All products are 'FOR RESEARCH USE ONLY. NOT FOR USE IN DIAGNOSTIC OR THERAPEUTIC PROCEDURES'.

For licensing inquiries, please contact partnerships@abcam.com