JavaScript is disabled in your browser. Please enable JavaScript to view this website.
AB181155

Anti-RCC1 antibody [EPR5859(2)]

Be the first to review this product! Submit a review

|

(1 Publication)

Rabbit Recombinant Monoclonal RCC1 antibody. Suitable for IP, WB, ICC/IF, IHC-P and reacts with Human samples. Cited in 1 publication.

View Alternative Names

CHC1, RCC1, Regulator of chromosome condensation, Cell cycle regulatory protein, Chromosome condensation protein 1

5 Images
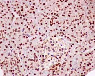
Immunohistochemistry (Formalin/PFA-fixed paraffin-embedded sections) - Anti-RCC1 antibody [EPR5859(2)] (AB181155)
  • IHC-P

Supplier Data

Immunohistochemistry (Formalin/PFA-fixed paraffin-embedded sections) - Anti-RCC1 antibody [EPR5859(2)] (AB181155)

Immunohistochemical analysis of paraffin-embedded Human pancreas tissue labeling RCC1 with ab181155 at 1/100 dilution followed by prediluted HRP Polymer for Rabbit IgG. Counter stained with Hematoxylin.

Perform heat mediated antigen retrieval with EDTA buffer pH 9 before commencing with IHC staining protocol.

Immunocytochemistry/ Immunofluorescence - Anti-RCC1 antibody [EPR5859(2)] (AB181155)
  • ICC/IF

Supplier Data

Immunocytochemistry/ Immunofluorescence - Anti-RCC1 antibody [EPR5859(2)] (AB181155)

Immunofluorescent analysis of 4% paraformaldehyde-fixed A431 cells labeling RCC1 with ab181155 at 1/250 dilution followed by Goat anti rabbit IgG (Alexa Fluor® 555) secondary antibody at 1/200 diution. Counter stained with Dapi (blue).

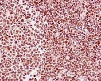
Immunohistochemistry (Formalin/PFA-fixed paraffin-embedded sections) - Anti-RCC1 antibody [EPR5859(2)] (AB181155)
  • IHC-P

Supplier Data

Immunohistochemistry (Formalin/PFA-fixed paraffin-embedded sections) - Anti-RCC1 antibody [EPR5859(2)] (AB181155)

Immunohistochemical analysis of paraffin-embedded Human tonsil tissue labeling RCC1 with ab181155 at 1/100 dilution followed by prediluted HRP Polymer for Rabbit IgG. Counter stained with Hematoxylin.

Perform heat mediated antigen retrieval with EDTA buffer pH 9 before commencing with IHC staining protocol.

Immunoprecipitation - Anti-RCC1 antibody [EPR5859(2)] (AB181155)
  • IP

Supplier Data

Immunoprecipitation - Anti-RCC1 antibody [EPR5859(2)] (AB181155)

Western Blot analysis of RCC1 in HeLa cell lysate immunoprecipitated with ab181155 at 1/50 dilution (Lane 1). Lane 2 : Negative control.

Secondary : Anti-Rabbit IgG (HRP), specific to the non-reduced form of IgG at 1/1500 dilution.

All lanes:

Immunoprecipitation - Anti-RCC1 antibody [EPR5859(2)] (ab181155)

Predicted band size: 45 kDa

false

Western blot - Anti-RCC1 antibody [EPR5859(2)] (AB181155)
  • WB

Supplier Data

Western blot - Anti-RCC1 antibody [EPR5859(2)] (AB181155)

All lanes:

Western blot - Anti-RCC1 antibody [EPR5859(2)] (ab181155) at 1/10000 dilution

Lane 1:

HeLa cell lysate at 20 µg

Lane 2:

A431 cell lysate at 20 µg

Lane 3:

Jurkat cell lysate at 20 µg

Lane 4:

293T cell lysate at 20 µg

Secondary

All lanes:

Goat anti-rabbit IgG, (H+L), peroxidase conjugated at 1/1000 dilution

Predicted band size: 45 kDa

Observed band size: 48 kDa

false

  • Carrier free

    Anti-RCC1 antibody [EPR5859(2)] - BSA and Azide free

Key facts

Host species

Rabbit

Clonality

Monoclonal

Clone number

EPR5859(2)

Isotype

IgG

Carrier free

No

Reacts with

Human

Applications

IHC-P, ICC/IF, WB, IP

applications

Immunogen

The exact immunogen used to generate this antibody is proprietary information.

Specificity

ab181155 recognizes total RCC1 (phospho RCC1 and non-phospho RCC1), although the immunogen is phospho peptide.

Reactivity data

{ "title": "Reactivity Data", "filters": { "stats": ["", "Species", "Dilution Info", "Notes"], "tabs": { "all-applications": {"fullname" : "All Applications", "shortname": "All Applications"}, "IP" : {"fullname" : "Immunoprecipitation", "shortname":"IP"}, "WB" : {"fullname" : "Western blot", "shortname":"WB"}, "ICCIF" : {"fullname" : "Immunocytochemistry/ Immunofluorescence", "shortname":"ICC/IF"}, "IHCP" : {"fullname" : "Immunohistochemistry (Formalin/PFA-fixed paraffin-embedded sections)", "shortname":"IHC-P"} }, "product-promise": { "all": "all", "testedAndGuaranteed": "tested", "guaranteed": "expected", "predicted": "predicted", "notRecommended": "not-recommended" } }, "values": { "Human": { "IP-species-checked": "testedAndGuaranteed", "IP-species-dilution-info": "1/30 - 1/70", "IP-species-notes": "<p></p>", "WB-species-checked": "testedAndGuaranteed", "WB-species-dilution-info": "1/1000 - 1/10000", "WB-species-notes": "<p></p>", "ICCIF-species-checked": "testedAndGuaranteed", "ICCIF-species-dilution-info": "1/100 - 1/250", "ICCIF-species-notes": "<p></p>", "IHCP-species-checked": "testedAndGuaranteed", "IHCP-species-dilution-info": "1/50 - 1/100", "IHCP-species-notes": "<p></p>" } } }

Product details

Patented technology
Our RabMAb® technology is a patented hybridoma-based technology for making rabbit monoclonal antibodies. For details on our patents, please refer to RabMAb® patents.

What are the advantages of a recombinant monoclonal antibody?
This product is a recombinant monoclonal antibody, which offers several advantages including:

  • - High batch-to-batch consistency and reproducibility
  • - Improved sensitivity and specificity
  • - Long-term security of supply
  • - Animal-free batch production

For more information, read more on recombinant antibodies.

Properties and storage information

Form
Liquid
Purification technique
Affinity purification Protein A
Storage buffer
Preservative: 0.01% Sodium azide Constituents: PBS, 40% Glycerol (glycerin, glycerine), 0.05% BSA
Shipped at conditions
Blue Ice
Appropriate short-term storage duration
1-2 weeks
Appropriate short-term storage conditions
+4°C
Appropriate long-term storage conditions
-20°C
Aliquoting information
Upon delivery aliquot
Storage information
Avoid freeze / thaw cycle

Supplementary information

This supplementary information is collated from multiple sources and compiled automatically.

Regulator of Chromosome Condensation 1 (RCC1) also known as Ran guanine nucleotide exchange factor is a highly conserved protein. With a molecular mass of approximately 45 kDa RCC1 localizes mainly in the nucleus. This protein functions as a guanine nucleotide exchange factor (GEF) for the small GTPase Ran facilitating the conversion of RanGDP to RanGTP. RCC1 is abundant in cells showing expression in various tissue types reflecting its mechanical role in nuclear transport.
Biological function summary

The protein RCC1 acts as an important player in the regulation of nucleocytoplasmic transport mitosis and other cellular processes. It forms a complex with chromatin and its substrate Ran particularly binding to DNA in a sequence-specific manner. RCC1's activity modifies the Ran gradient across the nuclear envelope which is essential for directing the import and export of proteins and RNA molecules. This gradient is also vital during mitosis for proper chromosomal segregation.

Pathways

RCC1 integrates into the Ran pathway a mechanism significant for cell cycle progression and nucleocytoplasmic transport. Within this pathway RCC1 influences the Ran cycle in partnership with proteins such as RanBP1 and RanGAP. It also plays a part in mitotic spindle assembly through its interactions with spindle assembly factors interlinking with microtubule dynamics. RCC1's function in these pathways highlights its critical involvement in maintaining cellular division and transport activities.

Defects in RCC1 expression or function have connections to tumorigenesis and certain neurological disorders. Aberrations in the Ran signaling pathway mediated by RCC1 can disturb genomic stability linking it to cancer progression. Additionally improper regulation of RCC1 might implicate its association with neurodegenerative conditions where proteins like RanGAP1 and importin beta are also involved. Understanding these relationships may lead to potential therapeutic targets for treating such diseases.

Product protocols

For this product, it's our understanding that no specific protocols are required. You can visit:

Target data

Guanine-nucleotide releasing factor that promotes the exchange of Ran-bound GDP by GTP, and thereby plays an important role in RAN-mediated functions in nuclear import and mitosis (PubMed : 11336674, PubMed : 17435751, PubMed : 1944575, PubMed : 20668449, PubMed : 22215983, PubMed : 29042532). Contributes to the generation of high levels of chromosome-associated, GTP-bound RAN, which is important for mitotic spindle assembly and normal progress through mitosis (PubMed : 12194828, PubMed : 17435751, PubMed : 22215983). Via its role in maintaining high levels of GTP-bound RAN in the nucleus, contributes to the release of cargo proteins from importins after nuclear import (PubMed : 22215983). Involved in the regulation of onset of chromosome condensation in the S phase (PubMed : 3678831). Binds both to the nucleosomes and double-stranded DNA (PubMed : 17435751, PubMed : 18762580).
See full target information RCC1

Publications (1)

Recent publications for all applications. Explore the full list and refine your search

Nature communications 15:4195 PubMed38760351

2024

Ferritinophagy mediates adaptive resistance to EGFR tyrosine kinase inhibitors in non-small cell lung cancer.

Applications

Unspecified application

Species

Unspecified reactive species

Hui Wang,Qianfan Hu,Yuzhong Chen,Xing Huang,Yipeng Feng,Yuanjian Shi,Rutao Li,Xuewen Yin,Xuming Song,Yingkuan Liang,Te Zhang,Lin Xu,Gaochao Dong,Feng Jiang
View all publications

Product promise

We are committed to supporting your work with high-quality reagents, and we're here for you every step of the way. In the unlikely event that one of our products does not perform as expected, you're protected by our Product Promise.
For full details, please see our Terms & Conditions

Please note: All products are 'FOR RESEARCH USE ONLY. NOT FOR USE IN DIAGNOSTIC OR THERAPEUTIC PROCEDURES'.

For licensing inquiries, please contact partnerships@abcam.com