JavaScript is disabled in your browser. Please enable JavaScript to view this website.
AB248390

Anti-RCL antibody [EPR8686] - BSA and Azide free

Be the first to review this product! Submit a review

|

(0 Publication)

Rabbit Recombinant Monoclonal RCL antibody. Carrier free. Suitable for IHC-P, WB and reacts with Human samples.

View Alternative Names

C6orf108, RCL, DNPH1, 5-hydroxymethyl-dUMP N-hydrolase, 2'-deoxynucleoside 5'-phosphate N-hydrolase 1, c-Myc-responsive protein RCL

3 Images
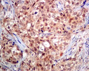
Immunohistochemistry (Formalin/PFA-fixed paraffin-embedded sections) - Anti-RCL antibody [EPR8686] - BSA and Azide free (AB248390)
  • IHC-P

Unknown

Immunohistochemistry (Formalin/PFA-fixed paraffin-embedded sections) - Anti-RCL antibody [EPR8686] - BSA and Azide free (AB248390)

This data was developed using ab131252, the same antibody clone in a different buffer formulation.

Immunohistochemical analysis of paraffin embedded Human breast carcinoma tissue labelling RCL with ab131252 antibody at 1/100 dilution.

Perform heat mediated antigen retrieval with citrate buffer pH 6 before commencing with IHC staining protocol.

Western blot - Anti-RCL antibody [EPR8686] - BSA and Azide free (AB248390)
  • WB

Unknown

Western blot - Anti-RCL antibody [EPR8686] - BSA and Azide free (AB248390)

This data was developed using ab131252, the same antibody clone in a different buffer formulation.

All lanes:

Western blot - Anti-RCL antibody [EPR8686] (<a href='/en-us/products/primary-antibodies/rcl-antibody-epr8686-ab131252'>ab131252</a>) at 1/10000 dilution

Lane 1:

K562 cell lysate at 10 µg

Lane 2:

HepG2 cell lysate at 10 µg

Lane 3:

HeLa cell lysate at 10 µg

Lane 4:

Jurkat cell lysate at 10 µg

Lane 5:

MCF7 cell lysate at 10 µg

Secondary

All lanes:

HRP labelled Goat anti Rabbit IgG at 1/2000 dilution

Predicted band size: 19 kDa

false

OI-RD Scanning - Anti-RCL antibody [EPR8686] - BSA and Azide free (AB248390)
  • OI-RD Scanning

Unknown

OI-RD Scanning - Anti-RCL antibody [EPR8686] - BSA and Azide free (AB248390)

We have systematically measured KD (the equilibrium dissociation constant between the antibody and its antigen), of more than 840 recombinant antibodies to assess not only their individual KD values but also to see the average affinity of antibody. Based on the comparison with published literature values for mouse monoclonal antibodies, Recombinant antibodies appear to be on average 1-2 order of magnitude higher affinity.

Key facts

Host species

Rabbit

Clonality

Monoclonal

Clone number

EPR8686

Isotype

IgG

Carrier free

Yes

Reacts with

Human

Applications

WB, IHC-P

applications

Immunogen

The exact immunogen used to generate this antibody is proprietary information.

Reactivity data

{ "title": "Reactivity Data", "filters": { "stats": ["", "Species", "Dilution Info", "Notes"], "tabs": { "all-applications": {"fullname" : "All Applications", "shortname": "All Applications"}, "IHCP" : {"fullname" : "Immunohistochemistry (Formalin/PFA-fixed paraffin-embedded sections)", "shortname":"IHC-P"}, "WB" : {"fullname" : "Western blot", "shortname":"WB"} }, "product-promise": { "all": "all", "testedAndGuaranteed": "tested", "guaranteed": "expected", "predicted": "predicted", "notRecommended": "not-recommended" } }, "values": { "Human": { "IHCP-species-checked": "testedAndGuaranteed", "IHCP-species-dilution-info": "", "IHCP-species-notes": "<p></p> Perform heat-mediated antigen retrieval with citrate buffer pH 6 before commencing with IHC staining protocol.", "WB-species-checked": "testedAndGuaranteed", "WB-species-dilution-info": "", "WB-species-notes": "<p></p>" } } }

Product details

ab248390 is the carrier-free version of ab131252.

Species reactivity
Mouse, Rat: We have preliminary internal testing data to indicate this antibody may not react with these species.
Please contact us for more information.

Patented technology
Our RabMAb® technology is a patented hybridoma-based technology for making rabbit monoclonal antibodies. For details on our patents, please refer to RabMAb® patents.

What are the advantages of a recombinant monoclonal antibody?
This product is a recombinant monoclonal antibody, which offers several advantages including:

  • - High batch-to-batch consistency and reproducibility
  • - Improved sensitivity and specificity
  • - Long-term security of supply
  • - Animal-free batch production

For more information, read more on recombinant antibodies.

Conjugation ready
Our carrier-free antibodies are typically supplied in a PBS-only formulation, purified and free of BSA, sodium azide and glycerol. This conjugation-ready format is designed for use with fluorochromes, metal isotopes, oligonucleotides, and enzymes, which makes them ideal for antibody labelling, functional and cell-based assays, flow-based assays (e.g. mass cytometry) and Multiplex Imaging applications.

Use our conjugation kits for antibody conjugates that are ready-to-use in as little as 20 minutes with 1 minute hands-on-time and 100% antibody recovery: available for fluorescent dyes, HRP, biotin and gold.

Compatibility
This product is compatible with the Maxpar® Antibody Labeling Kit from Fluidigm, without the need for antibody preparation. Maxpar® is a trademark of Fluidigm Canada Inc.

Properties and storage information

Form
Liquid
Purification technique
Affinity purification Protein A
Storage buffer
pH: 7.2 - 7.4 Constituents: PBS
Shipped at conditions
Blue Ice
Appropriate short-term storage conditions
+4°C
Appropriate long-term storage conditions
+4°C
Storage information
Do Not Freeze

Supplementary information

This supplementary information is collated from multiple sources and compiled automatically.

The reactive center loop (RCL) is an important structural element found in serpins including alpha-1 antitrypsin. It functions by acting as a bait for target proteases and then trapping them modifying their activity in proteolytic cascade reactions. The RCL's standard molecular mass is around 10 kDa but it is most often part of larger serpin proteins. RCLs are found in a variety of tissues prominently in the liver where they play a role in regulating enzymes in the blood.
Biological function summary

The reactive center loop operates by temporarily interacting with proteases to regulate their activities. It often finds itself as a component of a serpin-protease complex where it changes the enzymatic activity. This precise control allows proper regulation of proteolytic pathways that manage diverse physiological processes including inflammation and coagulation.

Pathways

Reactive center loops engage in the regulation of two main pathways: the coagulation cascade and the inflammatory response pathway. In these pathways RCLs work closely with proteins like thrombin and plasminogen to maintain a balance between enzyme activation and inhibition. Through these interactions RCLs help modulate the clot formation and dissolution as well as inflammatory response to injury.

Reactive center loops have ties to alpha-1 antitrypsin deficiency and emphysema. Aberrant RCL function can lead to inefficient enzyme inhibition contributing to these conditions. The protein alpha-1 antitrypsin which includes the RCL when mutated or deficient can result in unregulated neutrophil elastase activity causing tissue damage and related respiratory conditions.

Product protocols

For this product, it's our understanding that no specific protocols are required. You can visit:

Target data

Part of a nucleotide salvage pathway that eliminates epigenetically modified 5-hydroxymethyl-dCMP (hmdCMP) in a two-step process entailing deamination to cytotoxic 5-hydroxymethyl-dUMP (hmdUMP), followed by its hydrolysis into 5-hydroxymethyluracil (hmU) and 2-deoxy-D-ribose 5-phosphate (deoxyribosephosphate) (PubMed : 33833118). Catalyzes the second step in that pathway, the hydrolysis of the N-glycosidic bond in hmdUMP, degrading this cytotoxic nucleotide to avoid its genomic integration (PubMed : 33833118).
See full target information DNPH1

Product promise

We are committed to supporting your work with high-quality reagents, and we're here for you every step of the way. In the unlikely event that one of our products does not perform as expected, you're protected by our Product Promise.
For full details, please see our Terms & Conditions

Please note: All products are 'FOR RESEARCH USE ONLY. NOT FOR USE IN DIAGNOSTIC OR THERAPEUTIC PROCEDURES'.

For licensing inquiries, please contact partnerships@abcam.com