JavaScript is disabled in your browser. Please enable JavaScript to view this website.
AB205927

Anti-RCN1/RCN antibody [EPR17162]

Be the first to review this product! Submit a review

|

(2 Publications)

Rabbit Recombinant Monoclonal RCN1/RCN antibody. Suitable for IP, WB, ICC/IF, Flow Cyt (Intra), IHC-P and reacts with Human, Mouse, Rat samples. Cited in 2 publications.

View Alternative Names

RCN, RCN1, Reticulocalbin-1

9 Images
Flow Cytometry (Intracellular) - Anti-RCN1/RCN antibody [EPR17162] (AB205927)
  • Flow Cyt (Intra)

Supplier Data

Flow Cytometry (Intracellular) - Anti-RCN1/RCN antibody [EPR17162] (AB205927)

Intracellular flow cytometric analysis of 4% paraformaldehyde-fixed HeLa (Human epithelial cells from cervix adenocarcinoma) cells labeling RCN1/RCN with ab205927 at 1/70 dilution (red) compared with a rabbit monoclonal IgG isotype control (ab172730; black) and an unlabelled control (cells without incubation with primary antibody and secondary antibody; blue). Goat anti rabbit IgG (FITC) at 1/150 dilution was used as the secondary antibody.

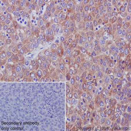
Immunohistochemistry (Formalin/PFA-fixed paraffin-embedded sections) - Anti-RCN1/RCN antibody [EPR17162] (AB205927)
  • IHC-P

Supplier Data

Immunohistochemistry (Formalin/PFA-fixed paraffin-embedded sections) - Anti-RCN1/RCN antibody [EPR17162] (AB205927)

Immunohistochemical analysis of paraffin-embedded Human liver carcinoma tissue labeling RCN1/RCN with ab205927 at 1/2000 dilution followed by Goat Anti-Rabbit IgG H&L (HRP) (ab97051) at 1/500 dilution. Cytoplasmic staining on Human liver carcinoma is observed. Counter stained with Hematoxylin.

Secondary antibody only control : Used PBS instead of primary antibody secondary antibody is Goat Anti-Rabbit IgG H&L (HRP) (ab97051) at 1/500 dilution.

Perform heat mediated antigen retrieval with Tris/EDTA buffer pH 9.0 before commencing with IHC staining protocol.

Immunocytochemistry/ Immunofluorescence - Anti-RCN1/RCN antibody [EPR17162] (AB205927)
  • ICC/IF

Supplier Data

Immunocytochemistry/ Immunofluorescence - Anti-RCN1/RCN antibody [EPR17162] (AB205927)

Immunofluorescent analysis of 4% paraformaldehyde-fixed 0.1% Triton X-100 permeabilized HeLa (Human epithelial cells from cervix adenocarcinoma) cells labeling RCN1/RCN with ab205927 at 1/500 dilution followed by Goat anti-rabbit IgG (Alexa Fluor® 488) (ab150077) secondary antibody at 1/1000 dilution (green). Confocal image showing cytoplasmic staining on HeLa cell line. The nuclear counterstain is DAPI (blue). Tubulin is detected with ab7291 (anti-Tubulin mouse mAb) at 1/1000 dilution and ab150120 (AlexaFluor®594 Goat anti-Mouse secondary) at 1/1000 dilution (red).

The negative controls are as follows : -

-ve control 1 : ab205927 at 1/250 dilution followed by ab150120 (AlexaFluor®594 Goat anti-Mouse secondary) at 1/1000 dilution.

-ve control 2 : ab7291 (anti-Tubulin mouse mAb) at 1/1000 dilution followed by ab150077 (Alexa Fluor®488 Goat Anti-Rabbit IgG H&L) at 1/1000 dilution.

Immunocytochemistry/ Immunofluorescence - Anti-RCN1/RCN antibody [EPR17162] (AB205927)
  • ICC/IF

Supplier Data

Immunocytochemistry/ Immunofluorescence - Anti-RCN1/RCN antibody [EPR17162] (AB205927)

Immunofluorescent analysis of 4% paraformaldehyde-fixed 0.1% Triton X-100 permeabilized HepG2 (Human liver hepatocellular carcinoma) cells labeling RCN1/RCN with ab205927 at 1/500 dilution followed by Goat anti-rabbit IgG (Alexa Fluor® 488) (ab150077) secondary antibody at 1/1000 dilution (green). Confocal image showing cytoplasmic staining on HepG2 cell line. The nuclear counterstain is DAPI (blue). Tubulin is detected with ab7291 (anti-Tubulin mouse mAb) at 1/1000 dilution and ab150120 (AlexaFluor®594 Goat anti-Mouse secondary) at 1/1000 dilution (red).

The negative controls are as follows : -

-ve control 1 : ab205927 at 1/250 dilution followed by ab150120 (AlexaFluor®594 Goat anti-Mouse secondary) at 1/1000 dilution.

-ve control 2 : ab7291 (anti-Tubulin mouse mAb) at 1/1000 dilution followed by ab150077 (Alexa Fluor®488 Goat Anti-Rabbit IgG H&L) at 1/1000 dilution.

Immunoprecipitation - Anti-RCN1/RCN antibody [EPR17162] (AB205927)
  • IP

Supplier Data

Immunoprecipitation - Anti-RCN1/RCN antibody [EPR17162] (AB205927)

RCN1/RCN was immunoprecipitated from 1mg of HeLa (Human epithelial cells from cervix adenocarcinoma) whole cell lysate with ab205927 at 1/20 dilution. Western blot was performed from the immunoprecipitate using ab205927 at 1/1000 dilution. VeriBlot for IP Detection Reagent (HRP) (ab131366), was used for detection at 1/10000 dilution.

Lane 1 : HeLa whole cell lysate 10ug (Input). Lane 2 : ab205927 IP in HeLa whole cell lysate. Lane 3 : Rabbit monoclonal IgG (ab172730) instead of ab205927 in HeLa whole cell lysate.

Blocking and dilution buffer and concentration : 5% NFDM/TBST.

Exposure time : 1 second.

All lanes:

Immunoprecipitation - Anti-RCN1/RCN antibody [EPR17162] (ab205927)

Predicted band size: 39 kDa

false

Western blot - Anti-RCN1/RCN antibody [EPR17162] (AB205927)
  • WB

Supplier Data

Western blot - Anti-RCN1/RCN antibody [EPR17162] (AB205927)

Blocking/Dilution buffer : 5% NFDM/TBST.

Exposure time : Lane 1 : 3 seconds; Lane 2 : 1 second.

All lanes:

Western blot - Anti-RCN1/RCN antibody [EPR17162] (ab205927) at 1/2000 dilution

Lane 1:

HEK293 (Human epithelial cells from embryonic kidney) whole cell lysate at 20 µg

Lane 2:

HeLa (Human epithelial cells from cervix adenocarcinoma) whole cell lysate at 20 µg

Secondary

All lanes:

Western blot - Goat Anti-Rabbit IgG H&L (HRP) (<a href='/en-us/products/secondary-antibodies/goat-rabbit-igg-h-l-hrp-ab97051'>ab97051</a>) at 1/100000 dilution

Predicted band size: 39 kDa

Observed band size: 44 kDa,46 kDa

false

Western blot - Anti-RCN1/RCN antibody [EPR17162] (AB205927)
  • WB

Supplier Data

Western blot - Anti-RCN1/RCN antibody [EPR17162] (AB205927)

Blocking/Dilution buffer : 5% NFDM/TBST.

All lanes:

Western blot - Anti-RCN1/RCN antibody [EPR17162] (ab205927) at 1/1000 dilution

Lane 1:

Human fetal brain lysate at 10 µg

Lane 2:

Human fetal heart lysate at 10 µg

Lane 3:

Human fetal kidney lysate at 10 µg

Secondary

All lanes:

Anti-Rabbit IgG (HRP), specific to the non-reduced form of IgG at 1/10000 dilution

Predicted band size: 39 kDa

Observed band size: 44 kDa,46 kDa

false

Exposure time: 15s

Western blot - Anti-RCN1/RCN antibody [EPR17162] (AB205927)
  • WB

Supplier Data

Western blot - Anti-RCN1/RCN antibody [EPR17162] (AB205927)

Blocking/Dilution buffer : 5% NFDM/TBST.

Exposure time : Lane 1-4 : 15 seconds; Lane 5-7 : 5 seconds.

All lanes:

Western blot - Anti-RCN1/RCN antibody [EPR17162] (ab205927) at 1/1000 dilution

Lane 1:

Rat brain lysate at 10 µg

Lane 2:

Rat heart lysate at 10 µg

Lane 3:

Rat kidney lysate at 10 µg

Lane 4:

Rat spleen lysate at 10 µg

Lane 5:

C6 (Rat glial tumor cells) whole cell lysate at 10 µg

Lane 6:

PC-12 (Rat adrenal gland pheochromocytoma) whole cell lysate at 10 µg

Lane 7:

NIH/3T3 (Mouse embyro fibroblast cells) whole cell lysate at 10 µg

Secondary

All lanes:

Western blot - Goat Anti-Rabbit IgG H&L (HRP) (<a href='/en-us/products/secondary-antibodies/goat-rabbit-igg-h-l-hrp-ab97051'>ab97051</a>) at 1/100000 dilution

Predicted band size: 39 kDa

Observed band size: 44 kDa,46 kDa

false

Western blot - Anti-RCN1/RCN antibody [EPR17162] (AB205927)
  • WB

Supplier Data

Western blot - Anti-RCN1/RCN antibody [EPR17162] (AB205927)

Blocking/Dilution buffer : 5% NFDM/TBST.

All lanes:

Western blot - Anti-RCN1/RCN antibody [EPR17162] (ab205927) at 1/1000 dilution

Lane 1:

Mouse brain lysate at 10 µg

Lane 2:

Mouse heart lysate at 10 µg

Lane 3:

Mouse kidney lysate at 10 µg

Lane 4:

Mouse spleen lysate at 10 µg

Secondary

All lanes:

Western blot - Goat Anti-Rabbit IgG H&L (HRP) (<a href='/en-us/products/secondary-antibodies/goat-rabbit-igg-h-l-hrp-ab97051'>ab97051</a>) at 1/100000 dilution

Predicted band size: 39 kDa

Observed band size: 44 kDa,46 kDa

false

Exposure time: 1min

Key facts

Host species

Rabbit

Clonality

Monoclonal

Clone number

EPR17162

Isotype

IgG

Carrier free

No

Reacts with

Mouse, Rat, Human

Applications

WB, IHC-P, Flow Cyt (Intra), ICC/IF, IP

applications

Immunogen

The exact immunogen used to generate this antibody is proprietary information.

Reactivity data

{ "title": "Reactivity Data", "filters": { "stats": ["", "Species", "Dilution Info", "Notes"], "tabs": { "all-applications": {"fullname" : "All Applications", "shortname": "All Applications"}, "IP" : {"fullname" : "Immunoprecipitation", "shortname":"IP"}, "WB" : {"fullname" : "Western blot", "shortname":"WB"}, "ICCIF" : {"fullname" : "Immunocytochemistry/ Immunofluorescence", "shortname":"ICC/IF"}, "FlowCytIntra" : {"fullname" : "Flow Cytometry (Intracellular)", "shortname":"Flow Cyt (Intra)"}, "IHCP" : {"fullname" : "Immunohistochemistry (Formalin/PFA-fixed paraffin-embedded sections)", "shortname":"IHC-P"} }, "product-promise": { "all": "all", "testedAndGuaranteed": "tested", "guaranteed": "expected", "predicted": "predicted", "notRecommended": "not-recommended" } }, "values": { "Human": { "IP-species-checked": "testedAndGuaranteed", "IP-species-dilution-info": "1/20", "IP-species-notes": "<p></p>", "WB-species-checked": "testedAndGuaranteed", "WB-species-dilution-info": "1/1000", "WB-species-notes": "<p></p>", "ICCIF-species-checked": "testedAndGuaranteed", "ICCIF-species-dilution-info": "1/500", "ICCIF-species-notes": "<p></p>", "FlowCytIntra-species-checked": "testedAndGuaranteed", "FlowCytIntra-species-dilution-info": "1/70", "FlowCytIntra-species-notes": "<p></p>", "IHCP-species-checked": "testedAndGuaranteed", "IHCP-species-dilution-info": "1/2000", "IHCP-species-notes": "<p></p>" }, "Mouse": { "IP-species-checked": "guaranteed", "IP-species-dilution-info": "", "IP-species-notes": "", "WB-species-checked": "testedAndGuaranteed", "WB-species-dilution-info": "1/1000", "WB-species-notes": "<p></p>", "ICCIF-species-checked": "guaranteed", "ICCIF-species-dilution-info": "", "ICCIF-species-notes": "", "FlowCytIntra-species-checked": "guaranteed", "FlowCytIntra-species-dilution-info": "", "FlowCytIntra-species-notes": "", "IHCP-species-checked": "guaranteed", "IHCP-species-dilution-info": "", "IHCP-species-notes": "" }, "Rat": { "IP-species-checked": "guaranteed", "IP-species-dilution-info": "", "IP-species-notes": "", "WB-species-checked": "testedAndGuaranteed", "WB-species-dilution-info": "1/1000", "WB-species-notes": "<p></p>", "ICCIF-species-checked": "guaranteed", "ICCIF-species-dilution-info": "", "ICCIF-species-notes": "", "FlowCytIntra-species-checked": "guaranteed", "FlowCytIntra-species-dilution-info": "", "FlowCytIntra-species-notes": "", "IHCP-species-checked": "guaranteed", "IHCP-species-dilution-info": "", "IHCP-species-notes": "" } } }

Product details

Patented technology
Our RabMAb® technology is a patented hybridoma-based technology for making rabbit monoclonal antibodies. For details on our patents, please refer to RabMAb® patents.

What are the advantages of a recombinant monoclonal antibody?
This product is a recombinant monoclonal antibody, which offers several advantages including:

  • - High batch-to-batch consistency and reproducibility
  • - Improved sensitivity and specificity
  • - Long-term security of supply
  • - Animal-free batch production

For more information, read more on recombinant antibodies.

Properties and storage information

Form
Liquid
Purification technique
Affinity purification Protein A
Storage buffer
pH: 7.2 - 7.4 Preservative: 0.01% Sodium azide Constituents: PBS, 40% Glycerol (glycerin, glycerine), 0.05% BSA
Shipped at conditions
Blue Ice
Appropriate short-term storage duration
1-2 weeks
Appropriate short-term storage conditions
+4°C
Appropriate long-term storage conditions
-20°C
Aliquoting information
Upon delivery aliquot
Storage information
Avoid freeze / thaw cycle

Supplementary information

This supplementary information is collated from multiple sources and compiled automatically.

RCN1 also known as reticulocalbin-1 or RCN is a calcium-binding protein located in the lumen of the endoplasmic reticulum (ER). It belongs to the CREC family of proteins which are characterized by their EF-hand motifs that mediate calcium binding. RCN1 has a molecular mass of around 37 kDa. This protein is expressed in various tissues including the pancreas heart and brain suggesting its involvement in diverse cellular functions. Within the ER RCN1 interacts with other proteins aiding in their proper folding and assembly.
Biological function summary

RCN1 plays a role in cellular calcium homeostasis and may influence processes such as protein folding and trafficking. It is not known to be a part of a larger complex but it interacts with other ER-resident proteins. Maintaining calcium levels is important within the ER where RCN1 helps buffer calcium concentrations. This function supports processes that are sensitive to calcium fluctuations such as signal transduction and stress responses.

Pathways

The role of RCN1 in cellular mechanisms connects it to important pathways like the calcium signaling pathway and the unfolded protein response pathway. In the calcium signaling pathway RCN1 aids in regulating calcium levels within the ER affecting downstream signaling events. Meanwhile in the unfolded protein response pathway RCN1 participates by ensuring the proper folding of proteins particularly during times of stress when misfolded proteins accumulate. RCN1's interaction with calumenin another calcium-binding protein highlights its involvement in these pathways.

RCN1 has associations with cardiovascular disease and some forms of cancer. In cardiovascular disease altered expression of RCN1 may impact calcium signaling and lead to dysfunction in heart cells. Similarly in certain cancers changes in RCN1 expression levels could affect cellular proliferation via calcium-regulated pathways. The interaction between RCN1 and calreticulin a multifunctional protein involved in calcium homeostasis and immune response further connects RCN1's influence on disease progression.

Product protocols

For this product, it's our understanding that no specific protocols are required. You can visit:

Target data

May regulate calcium-dependent activities in the endoplasmic reticulum lumen or post-ER compartment.
See full target information RCN1

Publications (2)

Recent publications for all applications. Explore the full list and refine your search

Blood neoplasia 2:100101 PubMed40979072

2025

Olfactory receptors as tumor suppressors in cutaneous T-cell lymphoma via p38γ pathway modulation.

Applications

Unspecified application

Species

Unspecified reactive species

Xu Hannah Zhang,Hongzhi Li,Jack Hsiang,Chih-Hong Chen,Sangkil Nam,Henry Wong,Xiwei Wu,Weidong Hu,Jack Shively,Steven T Rosen

Frontiers in oncology 11:683915 PubMed34976784

2021

Development and Validation of an Immune-Related Signature for the Prediction of Recurrence Risk of Patients With Laryngeal Cancer.

Applications

Unspecified application

Species

Unspecified reactive species

Hang Zhang,Xudong Zhao,Jin Wang,Wenyue Ji
View all publications

Product promise

We are committed to supporting your work with high-quality reagents, and we're here for you every step of the way. In the unlikely event that one of our products does not perform as expected, you're protected by our Product Promise.
For full details, please see our Terms & Conditions

Please note: All products are 'FOR RESEARCH USE ONLY. NOT FOR USE IN DIAGNOSTIC OR THERAPEUTIC PROCEDURES'.

For licensing inquiries, please contact partnerships@abcam.com