JavaScript is disabled in your browser. Please enable JavaScript to view this website.
AB210404

Anti-RCN1/RCN antibody [EPR17163-117]

Be the first to review this product! Submit a review

|

(6 Publications)

Rabbit Recombinant Monoclonal RCN1/RCN antibody. Suitable for IP, WB, ICC/IF, Flow Cyt (Intra), IHC-P and reacts with Human, Mouse, Rat samples. Cited in 6 publications.

View Alternative Names

RCN, RCN1, Reticulocalbin-1

13 Images
Flow Cytometry (Intracellular) - Anti-RCN1/RCN antibody [EPR17163-117] (AB210404)
  • Flow Cyt (Intra)

Supplier Data

Flow Cytometry (Intracellular) - Anti-RCN1/RCN antibody [EPR17163-117] (AB210404)

Intracellular flow cytometric analysis of 4% paraformaldehyde-fixed SH-SY5Y (Human neuroblastoma cell line from bone marrow) cells labeling RCN1/RCNwith ab210404 at 1/700 dilution (red) compared with a Rabbit IgG,monoclonal[EPR25A] - Isotype Control (ab172730) (black) and an unlabelled control (cells without incubation with primary antibody and secondary antibody) (blue). Goat anti Rabbit IgG (Alexa Fluor® 488) at 1/500 dilution was used as the secondary antibody.

Cells were permeabilised with 90% methanol (diluted with 1X PBS).

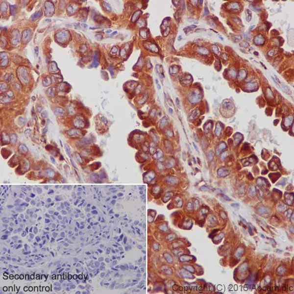
Immunohistochemistry (Formalin/PFA-fixed paraffin-embedded sections) - Anti-RCN1/RCN antibody [EPR17163-117] (AB210404)
  • IHC-P

Supplier Data

Immunohistochemistry (Formalin/PFA-fixed paraffin-embedded sections) - Anti-RCN1/RCN antibody [EPR17163-117] (AB210404)

Immunohistochemical analysis of paraffin-embedded Human lung adenocarcinoma tissue labeling RCN1/RCN with ab210404 at 1/2000 dilution followed by Goat Anti-Rabbit IgG H&L (HRP) (ab97051) at 1/500 dilution.

Cytoplasm staining on tumor cells of Human lung adenocarcinoma is observed.

Counter stained with Hematoxylin.

Secondary antibody only control : Used PBS instead of primary antibody secondary antibody is ab97051 at 1/500 dilution.

Perform heat mediated antigen retrieval with Tris/EDTA buffer pH 9.0 before commencing with IHC staining protocol.

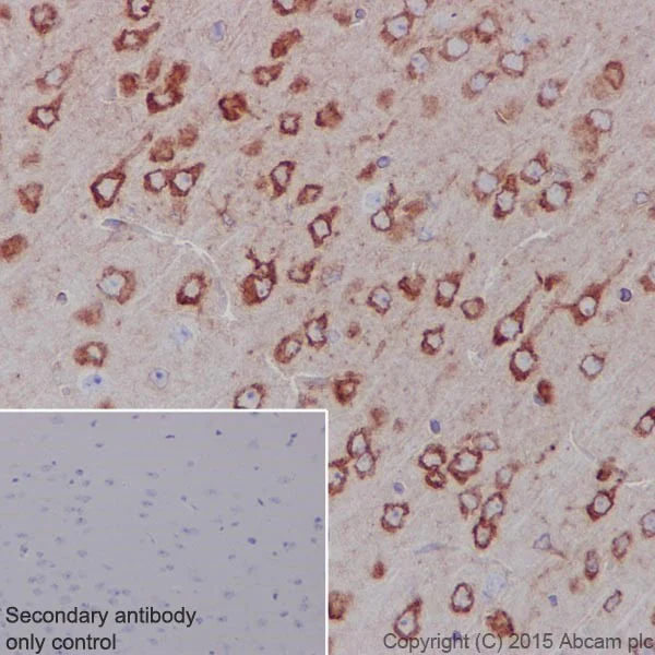
Immunohistochemistry (Formalin/PFA-fixed paraffin-embedded sections) - Anti-RCN1/RCN antibody [EPR17163-117] (AB210404)
  • IHC-P

Supplier Data

Immunohistochemistry (Formalin/PFA-fixed paraffin-embedded sections) - Anti-RCN1/RCN antibody [EPR17163-117] (AB210404)

Immunohistochemical analysis of paraffin-embedded Human cerebrum tissue labeling RCN1/RCN with ab210404 at 1/2000 dilution followed by Goat Anti-Rabbit IgG H&L (HRP) (ab97051) at 1/500 dilution.

Cytoplasm staining on neurons of Human cerebrum is observed.

Counter stained with Hematoxylin.

Secondary antibody only control : Used PBS instead of primary antibody secondary antibody is ab97051 at 1/500 dilution.

Perform heat mediated antigen retrieval with Tris/EDTA buffer pH 9.0 before commencing with IHC staining protocol.

Immunocytochemistry/ Immunofluorescence - Anti-RCN1/RCN antibody [EPR17163-117] (AB210404)
  • ICC/IF

Supplier Data

Immunocytochemistry/ Immunofluorescence - Anti-RCN1/RCN antibody [EPR17163-117] (AB210404)

Immunofluorescent analysis of 4% paraformaldehyde-fixed 0.1% Triton X-100 permeabilized SH-SY5Y (Human neuroblastoma cell line from bone marrow) cells labeling RCN1/RCN with ab210404 at 1/500 dilution followed by Goat Anti-Rabbit IgG (Alexa Fluor® 488) (ab150077) secondary antibody at 1/1000 dilution (green).

Confocal image showing cytoplasmic staining on SH-SY5Y cell line.

The nuclear counterstain is DAPI (blue).

Tubulin is detected with Anti-alpha Tubulin antibody [DM1A] - Loading Control (ab7291) at 1/1000 dilution and Goat Anti-Mouse IgG H&L (Alexa Fluor® 594) preadsorbed (ab150120) at 1/1000 dilution (red).

The negative controls are as follows : -

-ve control 1 : ab210404 at 1/500 dilution followed by ab150120 at 1/1000 dilution.

-ve control 2 : ab7291 at 1/1000 dilution followed by ab150077 at 1/1000 dilution.

Immunoprecipitation - Anti-RCN1/RCN antibody [EPR17163-117] (AB210404)
  • IP

Supplier Data

Immunoprecipitation - Anti-RCN1/RCN antibody [EPR17163-117] (AB210404)

RCN1/RCN was immunoprecipitated from 1mg of 293T (Human epithelial cell line from embryonic kidney) whole cell lysate with ab210404 at 1/50 dilution.

Western blot was performed from the immunoprecipitate using ab210404 at 1/1000 dilution.

VeriBlot for IP Detection Reagent (HRP) (ab131366), was used for detection at 1/10000 dilution.

Lane 1 : 293T whole cell lysate, 10μg (Input).

Lane 2 : ab210404 IP in 293T whole cell lysate.

Lane 3 : Rabbit IgG,monoclonal [EPR25A] - Isotype Control (ab172730) instead of ab210404 in 293T whole cell lysate.

Blocking and dilution buffer and concentration : 5% NFDM/TBST.

Exposure time : 1 second.

All lanes:

Immunoprecipitation - Anti-RCN1/RCN antibody [EPR17163-117] (ab210404)

Predicted band size: 39 kDa

false

Immunohistochemistry (Formalin/PFA-fixed paraffin-embedded sections) - Anti-RCN1/RCN antibody [EPR17163-117] (AB210404)
  • IHC-P

Supplier Data

Immunohistochemistry (Formalin/PFA-fixed paraffin-embedded sections) - Anti-RCN1/RCN antibody [EPR17163-117] (AB210404)

Immunohistochemical analysis of paraffin-embedded Mouse cerebral cortex tissue labeling RCN1/RCN with ab210404 at 1/2000 dilution followed by Goat Anti-Rabbit IgG H&L (HRP) (ab97051) at 1/500 dilution.

Cytoplasm staining on neurons of mouse cerebral cortex is observed.

Counter stained with Hematoxylin.

Secondary antibody only control : Used PBS instead of primary antibody secondary antibody is ab97051 at 1/500 dilution.

Perform heat mediated antigen retrieval with Tris/EDTA buffer pH 9.0 before commencing with IHC staining protocol.

Immunocytochemistry/ Immunofluorescence - Anti-RCN1/RCN antibody [EPR17163-117] (AB210404)
  • ICC/IF

Supplier Data

Immunocytochemistry/ Immunofluorescence - Anti-RCN1/RCN antibody [EPR17163-117] (AB210404)

Immunofluorescent analysis of 4% paraformaldehyde-fixed 0.1% Triton X-100 permeabilized Neuro-2a (Mouse neuroblastoma cell line) cells labeling RCN1/RCN with ab210404 at 1/500 dilution followed by Goat Anti-Rabbit IgG (Alexa Fluor® 488) (ab150077) secondary antibody at 1/1000 dilution (green).

Confocal image showing cytoplasmic staining on Neuro-2a cell line.

The nuclear counterstain is DAPI (blue).

Tubulin is detected with Anti-alpha Tubulin antibody [DM1A] - Loading Control (ab7291) at 1/1000 dilution and Goat Anti-Mouse IgG H&L (Alexa Fluor® 594) preadsorbed (ab150120) at 1/1000 dilution (red).

The negative controls are as follows : -

-ve control 1 : ab210404 at 1/500 dilution followed by ab150120 at 1/1000 dilution.

-ve control 2 : ab7291 at 1/1000 dilution followed by ab150077 at 1/1000 dilution.

Immunohistochemistry (Formalin/PFA-fixed paraffin-embedded sections) - Anti-RCN1/RCN antibody [EPR17163-117] (AB210404)
  • IHC-P

Supplier Data

Immunohistochemistry (Formalin/PFA-fixed paraffin-embedded sections) - Anti-RCN1/RCN antibody [EPR17163-117] (AB210404)

Immunohistochemical analysis of paraffin-embedded Rat hippocampus tissue labeling RCN1/RCN with ab210404 at 1/2000 dilution followed by Goat Anti-Rabbit IgG H&L (HRP) (ab97051) at 1/500 dilution.

Cytoplasm staining on neurons of rat hippocampus is observed.

Counter stained with Hematoxylin.

Secondary antibody only control : Used PBS instead of primary antibody secondary antibody is ab97051 at 1/500 dilution.

Perform heat mediated antigen retrieval with Tris/EDTA buffer pH 9.0 before commencing with IHC staining protocol.

Flow Cytometry (Intracellular) - Anti-RCN1/RCN antibody [EPR17163-117] (AB210404)
  • Flow Cyt (Intra)

Supplier Data

Flow Cytometry (Intracellular) - Anti-RCN1/RCN antibody [EPR17163-117] (AB210404)

Intracellular flow cytometric analysis of 4% paraformaldehyde-fixed NIH/3T3 (Mouse embryonic fibroblast cell line) cells labeling RCN1/RCNwith ab210404 at 1/700 dilution (red) compared with a Rabbit IgG,monoclonal [EPR25A] - Isotype Control (ab172730) (black) and an unlabelled control (cells without incubation with primary antibody and secondary antibody) (blue). Goat anti Rabbit IgG (Alexa Fluor® 488) at 1/500 dilution was used as the secondary antibody.

Cells were permeabilised with 90% methanol (diluted with 1X PBS).

Immunocytochemistry/ Immunofluorescence - Anti-RCN1/RCN antibody [EPR17163-117] (AB210404)
  • ICC/IF

Supplier Data

Immunocytochemistry/ Immunofluorescence - Anti-RCN1/RCN antibody [EPR17163-117] (AB210404)

Immunofluorescent analysis of 4% paraformaldehyde-fixed 0.1% Triton X-100 permeabilized NIH/3T3 (Mouse embryonic fibroblast cell line) cells labeling RCN1/RCN with ab210404 at 1/500 dilution followed by Goat Anti-Rabbit IgG (Alexa Fluor® 488) (ab150077) secondary antibody at 1/1000 dilution (green).

Confocal image showing cytoplasmic staining on NIH/3T3 cell line.

The nuclear counterstain is DAPI (blue).

Tubulin is detected with Anti-alpha Tubulin antibody [DM1A] - Loading Control (ab7291) at 1/1000 dilution and Goat Anti-Mouse IgG H&L (Alexa Fluor® 594) preadsorbed (ab150120) at 1/1000 dilution (red).

The negative controls are as follows : -

-ve control 1 : ab210404 at 1/500 dilution followed by ab150120 at 1/1000 dilution.

-ve control 2 : ab7291 at 1/1000 dilution followed by ab150077 at 1/1000 dilution.

Western blot - Anti-RCN1/RCN antibody [EPR17163-117] (AB210404)
  • WB

Lab

Western blot - Anti-RCN1/RCN antibody [EPR17163-117] (AB210404)

Lanes 1- 4 : Merged signal (red and green). Green - ab210404 observed at 45 kDa. Red - Anti-alpha Tubulin antibody [DM1A] - Loading Control (ab7291) observed at 50 kDa.

ab210404 was shown to react with RCN1 in wild-type HEK-293T cells in western blot. Loss of signal was observed when knockout cell line ab266098 (knockout cell lysate ab258172) was used. Wild-type HEK-293T and RCN1 knockout HEK-293T cell lysates were subjected to SDS-PAGE. Membrane was blocked for 1 hour at room temperature in 0.1% TBST with 3% non-fat dried milk. ab210404 and Anti-alpha Tubulin antibody [DM1A] - Loading Control (ab7291) overnight at 4°C at a 1 in 2000 dilution and a 1 in 20000 dilution respectively. Blots were developed with Goat anti-Rabbit IgG H&L (IRDye®800CW) preadsorbed (ab216773) and Goat anti-Mouse IgG H&L (IRDye®680RD) preadsorbed (ab216776) secondary antibodies at 1 in 20000 dilution for 1 hour at room temperature before imaging.

All lanes:

Western blot - Anti-RCN1/RCN antibody [EPR17163-117] (ab210404) at 1/2000 dilution

Lane 1:

Wild-type HEK-293T cell lysate at 20 µg

Lane 2:

RCN1 knockout HEK-293T cell lysate at 20 µg

Lane 2:

Western blot - Human RCN1 (RCN) knockout HEK-293T cell line (<a href='/en-us/products/cell-lines/human-rcn1-rcn-knockout-hek-293t-cell-line-ab266098'>ab266098</a>)

Lane 3:

HeLa cell lysate at 20 µg

Lane 4:

Daudi cell lysate at 20 µg

Predicted band size: 39 kDa

Observed band size: 45 kDa

false

Western blot - Anti-RCN1/RCN antibody [EPR17163-117] (AB210404)
  • WB

Supplier Data

Western blot - Anti-RCN1/RCN antibody [EPR17163-117] (AB210404)

Blocking/Dilution buffer : 5% NFDM/TBST.

The molecular weight observed is consistent with what has been described in the literature (PMID : 8416973).

All lanes:

Western blot - Anti-RCN1/RCN antibody [EPR17163-117] (ab210404) at 1/5000 dilution

Lane 1:

Human placenta lysate at 20 µg

Lane 2:

Human fetal kidney lysate at 20 µg

Lane 3:

HEK-293 (Human epithelial cell line from embryonic kidney) whole cell lysate at 20 µg

Lane 4:

SH-SY5Y (Human neuroblastoma cell line from bone marrow) whole cell lysate at 20 µg

Lane 5:

HeLa (Human epithelial cell line from cervix adenocarcinoma) whole cell lysate at 20 µg

Lane 6:

E14 mouse embryo lysate at 20 µg

Lane 7:

E14 rat embryo lysate at 20 µg

Lane 8:

Neuro-2a (Mouse neuroblastoma cell line) whole cell lysate at 20 µg

Secondary

All lanes:

Goat Anti-Rabbit IgG Peroxidase Conjugate, specific to the non-reduced form of IgG at 1/100000 dilution

Predicted band size: 39 kDa

Observed band size: 44 kDa,46 kDa

false

Exposure time: 30s

Western blot - Anti-RCN1/RCN antibody [EPR17163-117] (AB210404)
  • WB

Supplier Data

Western blot - Anti-RCN1/RCN antibody [EPR17163-117] (AB210404)

Blocking/Dilution buffer : 5% NFDM/TBST.

Exposure time : Lane 1-8 : 1 minute; Lane 9,10 and 11 : 10 seconds.

All lanes:

Western blot - Anti-RCN1/RCN antibody [EPR17163-117] (ab210404) at 1/2000 dilution

Lane 1:

Mouse brain lysate at 10 µg

Lane 2:

Mouse heart lysate at 10 µg

Lane 3:

Mouse kidney lysate at 10 µg

Lane 4:

Mouse spleen lysate at 10 µg

Lane 5:

Rat brain lysate at 10 µg

Lane 6:

Rat heart lysate at 10 µg

Lane 7:

Rat kidney lysate at 10 µg

Lane 8:

Rat spleen lysate at 10 µg

Lane 9:

C6 (Rat glial tumor cell line) whole cell lysate at 10 µg

Lane 10:

PC-12 (Rat adrenal gland pheochromocytoma cell line) whole cell lysate at 10 µg

Lane 11:

NIH/3T3 (Mouse embryonic fibroblast cell line) whole cell lysate at 10 µg

Secondary

All lanes:

Goat Anti-Rabbit IgG Peroxidase Conjugate, specific to the non-reduced form of IgG at 1/100000 dilution

Predicted band size: 39 kDa

Observed band size: 44 kDa,46 kDa

false

Key facts

Host species

Rabbit

Clonality

Monoclonal

Clone number

EPR17163-117

Isotype

IgG

Carrier free

No

Reacts with

Mouse, Rat, Human

Applications

IP, ICC/IF, Flow Cyt (Intra), WB, IHC-P

applications

Immunogen

The exact immunogen used to generate this antibody is proprietary information.

Reactivity data

{ "title": "Reactivity Data", "filters": { "stats": ["", "Species", "Dilution Info", "Notes"], "tabs": { "all-applications": {"fullname" : "All Applications", "shortname": "All Applications"}, "IP" : {"fullname" : "Immunoprecipitation", "shortname":"IP"}, "WB" : {"fullname" : "Western blot", "shortname":"WB"}, "ICCIF" : {"fullname" : "Immunocytochemistry/ Immunofluorescence", "shortname":"ICC/IF"}, "FlowCytIntra" : {"fullname" : "Flow Cytometry (Intracellular)", "shortname":"Flow Cyt (Intra)"}, "IHCP" : {"fullname" : "Immunohistochemistry (Formalin/PFA-fixed paraffin-embedded sections)", "shortname":"IHC-P"} }, "product-promise": { "all": "all", "testedAndGuaranteed": "tested", "guaranteed": "expected", "predicted": "predicted", "notRecommended": "not-recommended" } }, "values": { "Human": { "IP-species-checked": "testedAndGuaranteed", "IP-species-dilution-info": "1/50", "IP-species-notes": "<p></p>", "WB-species-checked": "testedAndGuaranteed", "WB-species-dilution-info": "1/2000", "WB-species-notes": "<p></p>", "ICCIF-species-checked": "testedAndGuaranteed", "ICCIF-species-dilution-info": "1/500", "ICCIF-species-notes": "<p></p>", "FlowCytIntra-species-checked": "testedAndGuaranteed", "FlowCytIntra-species-dilution-info": "1/700", "FlowCytIntra-species-notes": "<p></p>", "IHCP-species-checked": "testedAndGuaranteed", "IHCP-species-dilution-info": "1/2000", "IHCP-species-notes": "<p></p>" }, "Mouse": { "IP-species-checked": "guaranteed", "IP-species-dilution-info": "", "IP-species-notes": "", "WB-species-checked": "testedAndGuaranteed", "WB-species-dilution-info": "1/2000", "WB-species-notes": "<p></p>", "ICCIF-species-checked": "testedAndGuaranteed", "ICCIF-species-dilution-info": "1/500", "ICCIF-species-notes": "<p></p>", "FlowCytIntra-species-checked": "testedAndGuaranteed", "FlowCytIntra-species-dilution-info": "1/700", "FlowCytIntra-species-notes": "<p></p>", "IHCP-species-checked": "testedAndGuaranteed", "IHCP-species-dilution-info": "1/2000", "IHCP-species-notes": "<p></p>" }, "Rat": { "IP-species-checked": "guaranteed", "IP-species-dilution-info": "", "IP-species-notes": "", "WB-species-checked": "guaranteed", "WB-species-dilution-info": "", "WB-species-notes": "", "ICCIF-species-checked": "guaranteed", "ICCIF-species-dilution-info": "", "ICCIF-species-notes": "", "FlowCytIntra-species-checked": "guaranteed", "FlowCytIntra-species-dilution-info": "", "FlowCytIntra-species-notes": "", "IHCP-species-checked": "testedAndGuaranteed", "IHCP-species-dilution-info": "1/2000", "IHCP-species-notes": "<p></p>" } } }

Product details

Patented technology
Our RabMAb® technology is a patented hybridoma-based technology for making rabbit monoclonal antibodies. For details on our patents, please refer to RabMAb® patents.

What are the advantages of a recombinant monoclonal antibody?
This product is a recombinant monoclonal antibody, which offers several advantages including:

  • - High batch-to-batch consistency and reproducibility
  • - Improved sensitivity and specificity
  • - Long-term security of supply
  • - Animal-free batch production

For more information, read more on recombinant antibodies.

Properties and storage information

Form
Liquid
Purification technique
Affinity purification Protein A
Storage buffer
pH: 7.2 - 7.4 Preservative: 0.01% Sodium azide Constituents: PBS, 40% Glycerol (glycerin, glycerine), 0.05% BSA
Shipped at conditions
Blue Ice
Appropriate short-term storage duration
1-2 weeks
Appropriate short-term storage conditions
+4°C
Appropriate long-term storage conditions
-20°C
Aliquoting information
Upon delivery aliquot
Storage information
Avoid freeze / thaw cycle

Supplementary information

This supplementary information is collated from multiple sources and compiled automatically.

RCN1 also known as reticulocalbin-1 or RCN is a calcium-binding protein located in the lumen of the endoplasmic reticulum (ER). It belongs to the CREC family of proteins which are characterized by their EF-hand motifs that mediate calcium binding. RCN1 has a molecular mass of around 37 kDa. This protein is expressed in various tissues including the pancreas heart and brain suggesting its involvement in diverse cellular functions. Within the ER RCN1 interacts with other proteins aiding in their proper folding and assembly.
Biological function summary

RCN1 plays a role in cellular calcium homeostasis and may influence processes such as protein folding and trafficking. It is not known to be a part of a larger complex but it interacts with other ER-resident proteins. Maintaining calcium levels is important within the ER where RCN1 helps buffer calcium concentrations. This function supports processes that are sensitive to calcium fluctuations such as signal transduction and stress responses.

Pathways

The role of RCN1 in cellular mechanisms connects it to important pathways like the calcium signaling pathway and the unfolded protein response pathway. In the calcium signaling pathway RCN1 aids in regulating calcium levels within the ER affecting downstream signaling events. Meanwhile in the unfolded protein response pathway RCN1 participates by ensuring the proper folding of proteins particularly during times of stress when misfolded proteins accumulate. RCN1's interaction with calumenin another calcium-binding protein highlights its involvement in these pathways.

RCN1 has associations with cardiovascular disease and some forms of cancer. In cardiovascular disease altered expression of RCN1 may impact calcium signaling and lead to dysfunction in heart cells. Similarly in certain cancers changes in RCN1 expression levels could affect cellular proliferation via calcium-regulated pathways. The interaction between RCN1 and calreticulin a multifunctional protein involved in calcium homeostasis and immune response further connects RCN1's influence on disease progression.

Product protocols

For this product, it's our understanding that no specific protocols are required. You can visit:

Target data

May regulate calcium-dependent activities in the endoplasmic reticulum lumen or post-ER compartment.
See full target information RCN1

Publications (6)

Recent publications for all applications. Explore the full list and refine your search

Cellular and molecular life sciences : CMLS 82:318 PubMed40853392

2025

RCN1 downregulation-driven endoplasmic reticulum stress impairs endothelial function and diabetic foot ulcer healing.

Applications

Unspecified application

Species

Unspecified reactive species

Zhiyan Weng,Xiaoyan Ren,Wanxin Lin,Lifeng Zheng,Renfu Weng,Liangxiao Xie,Fengying Zhao,Sunjie Yan,Ximei Shen

Journal of cosmetic dermatology 24:e70177 PubMed40214031

2025

ALKBH5 Inhibits YTHDF2-m6A-Mediated Degradation of RCN1 mRNA to Promote Keloid Formation by Activating IRE1α-XBP1-Mediated ER Stress.

Applications

Unspecified application

Species

Unspecified reactive species

Min Shi,Lu Zhang,Fangfang Bi,Zhuo Zhou

Scientific reports 13:21488 PubMed38057406

2023

RCN1 deficiency inhibits oral squamous cell carcinoma progression and THP-1 macrophage M2 polarization.

Applications

Unspecified application

Species

Unspecified reactive species

Han Liu,Haiyang Guo,Yuehan Wu,Qiannan Hu,Guangbing Hu,Huan He,Yaolin Yin,Xiaoxu Nan,Gaoren Lin,Jinpeng Han,Runzhe Zhao,Ying Liu

Biomedical engineering online 21:26 PubMed35436915

2022

Identification of novel prognostic targets in glioblastoma using bioinformatics analysis.

Applications

Unspecified application

Species

Unspecified reactive species

Xiaofeng Yin,Quansheng Wu,Zheng Hao,Laizhao Chen

Journal of gastroenterology and hepatology 37:154-163 PubMed34734434

2021

CD155/TIGIT signaling regulates the effector function of tumor-infiltrating CD8+ T cell by NF-κB pathway in colorectal cancer.

Applications

Unspecified application

Species

Unspecified reactive species

Shanshan Li,Jihu Ding,Ying Wang,Xianling Wang,Lin Lv

Cell death discovery 7:298 PubMed34663798

2021

RCN1 induces sorafenib resistance and malignancy in hepatocellular carcinoma by activating c-MYC signaling via the IRE1α-XBP1s pathway.

Applications

Unspecified application

Species

Unspecified reactive species

Jia-Wei Wang,Li Ma,Yuan Liang,Xiao-Jun Yang,Song Wei,Hao Peng,Shi-Pei Qiu,Xu Lu,Ya-Qing Zhu,Bao-Lin Wang
View all publications

Product promise

We are committed to supporting your work with high-quality reagents, and we're here for you every step of the way. In the unlikely event that one of our products does not perform as expected, you're protected by our Product Promise.
For full details, please see our Terms & Conditions

Please note: All products are 'FOR RESEARCH USE ONLY. NOT FOR USE IN DIAGNOSTIC OR THERAPEUTIC PROCEDURES'.

For licensing inquiries, please contact partnerships@abcam.com