JavaScript is disabled in your browser. Please enable JavaScript to view this website.
AB184441

Anti-RCN1/RCN antibody [EPR19193]

Be the first to review this product! Submit a review

|

(3 Publications)

Rabbit Recombinant Monoclonal RCN1/RCN antibody. Suitable for WB and reacts with Mouse, Rat, Human samples. Cited in 3 publications.

View Alternative Names

RCN, RCN1, Reticulocalbin-1

3 Images
Western blot - Anti-RCN1/RCN antibody [EPR19193] (AB184441)
  • WB

Supplier Data

Western blot - Anti-RCN1/RCN antibody [EPR19193] (AB184441)

Blocking/Dilution buffer : 5% NFDM/TBST.

Exposure time : Lane 1, 2 and 3 : 30 seconds; Lane 4 : 3 minutes.

All lanes:

Western blot - Anti-RCN1/RCN antibody [EPR19193] (ab184441) at 1/1000 dilution

Lane 1:

Human fetal liver lysate at 10 µg

Lane 2:

Human fetal heart lysate at 10 µg

Lane 3:

Human fetal kidney lysate at 10 µg

Lane 4:

Human fetal spleen lysate at 10 µg

Secondary

All lanes:

Goat Anti-Rabbit IgG Peroxidase Conjugate, specific to the non-reduced form of IgG at 1/10000 dilution

Predicted band size: 39 kDa

Observed band size: 44 kDa,46 kDa

false

Western blot - Anti-RCN1/RCN antibody [EPR19193] (AB184441)
  • WB

Supplier Data

Western blot - Anti-RCN1/RCN antibody [EPR19193] (AB184441)

Blocking/Dilution buffer : 5% NFDM/TBST.

Exposure time : Lane 1-6 : 8 seconds; Lane 7 and 8 : 30 seconds; Lane 9 : 3 minutes.

The molecular weight observed is consistent with what has been described in the literature (PMID : 8416973).

All lanes:

Western blot - Anti-RCN1/RCN antibody [EPR19193] (ab184441) at 1/1000 dilution

Lane 1:

HeLa (Human epithelial cell line from cervix adenocarcinoma) whole cell lysate at 20 µg

Lane 2:

HEK-293 (Human epithelial cell line from embryonic kidney) whole cell lysate at 20 µg

Lane 3:

U-87 MG (Human glioblastoma-astrocytoma epithelial cell line) whole cell lysate at 20 µg

Lane 4:

E14 mouse embryo lysate at 20 µg

Lane 5:

E14 rat embryo lysate at 20 µg

Lane 6:

C6 (Rat glial tumor cell line) whole cell lysate at 20 µg

Lane 7:

SH-SY5Y (Human neuroblastoma cell line from bone marrow) whole cell lysate at 20 µg

Lane 8:

Neuro-2a (Mouse neuroblastoma cell line) whole cell lysate at 20 µg

Lane 9:

Rat cerebral cortex lysate at 20 µg

Secondary

All lanes:

Western blot - Goat Anti-Rabbit IgG H&L (HRP) (<a href='/en-us/products/secondary-antibodies/goat-rabbit-igg-h-l-hrp-ab97051'>ab97051</a>) at 1/100000 dilution

Predicted band size: 39 kDa

Observed band size: 44 kDa,46 kDa

false

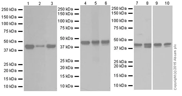
Western blot - Anti-RCN1/RCN antibody [EPR19193] (AB184441)
  • WB

Supplier Data

Western blot - Anti-RCN1/RCN antibody [EPR19193] (AB184441)

Blocking/Dilution buffer : 5% NFDM/TBST.

Exposure time : Lane 1-6 : 3 minutes Lane 7 and 8 : 30 seconds; Lane 9 and 10 : 1 second.

All lanes:

Western blot - Anti-RCN1/RCN antibody [EPR19193] (ab184441) at 1/1000 dilution

Lane 1:

Mouse brain lysate at 10 µg

Lane 2:

Mouse heart lysate at 10 µg

Lane 3:

Mouse spleen lysate at 10 µg

Lane 4:

Rat brain lysate at 10 µg

Lane 5:

Rat heart lysate at 10 µg

Lane 6:

Rat spleen lysate at 10 µg

Lane 7:

RAW 264.7 (Mouse macrophage cell line transformed with Abelson murine leukemia virus) whole cell lysate at 10 µg

Lane 8:

PC-12 (Rat adrenal gland pheochromocytoma cell line) whole cell lysate at 10 µg

Lane 9:

C6 (Rat glial tumor cell line) whole cell lysate at 10 µg

Lane 10:

NIH/3T3 (Mouse embryonic fibroblast cell line) whole cell lysate at 10 µg

Secondary

All lanes:

Western blot - Goat Anti-Rabbit IgG H&L (HRP) (<a href='/en-us/products/secondary-antibodies/goat-rabbit-igg-h-l-hrp-ab97051'>ab97051</a>) at 1/100000 dilution

Predicted band size: 39 kDa

Observed band size: 44 kDa,46 kDa

false

Key facts

Host species

Rabbit

Clonality

Monoclonal

Clone number

EPR19193

Isotype

IgG

Carrier free

No

Reacts with

Mouse, Rat, Human

Applications

WB

applications

Immunogen

The exact immunogen used to generate this antibody is proprietary information.

Reactivity data

{ "title": "Reactivity Data", "filters": { "stats": ["", "Species", "Dilution Info", "Notes"], "tabs": { "all-applications": {"fullname" : "All Applications", "shortname": "All Applications"}, "IP" : {"fullname" : "Immunoprecipitation", "shortname":"IP"}, "FlowCyt" : {"fullname" : "Flow Cytometry", "shortname":"Flow Cyt"}, "WB" : {"fullname" : "Western blot", "shortname":"WB"}, "IHCP" : {"fullname" : "Immunohistochemistry (Formalin/PFA-fixed paraffin-embedded sections)", "shortname":"IHC-P"}, "ICCIF" : {"fullname" : "Immunocytochemistry/ Immunofluorescence", "shortname":"ICC/IF"}, "IHCFr" : {"fullname" : "Immunohistochemistry (Frozen sections)", "shortname":"IHC-Fr"} }, "product-promise": { "all": "all", "testedAndGuaranteed": "tested", "guaranteed": "expected", "predicted": "predicted", "notRecommended": "not-recommended" } }, "values": { "Human": { "IP-species-checked": "notRecommended", "IP-species-dilution-info": "1/40", "IP-species-notes": "<p></p>", "FlowCyt-species-checked": "notRecommended", "FlowCyt-species-dilution-info": "1/150", "FlowCyt-species-notes": "<p></p>", "WB-species-checked": "testedAndGuaranteed", "WB-species-dilution-info": "1/2000", "WB-species-notes": "<p></p>", "IHCP-species-checked": "notRecommended", "IHCP-species-dilution-info": "1/4000", "IHCP-species-notes": "<p></p> Perform heat-mediated antigen retrieval with Tris/EDTA buffer pH 9.0 before commencing with IHC staining protocol.", "ICCIF-species-checked": "notRecommended", "ICCIF-species-dilution-info": "1/500", "ICCIF-species-notes": "<p></p>", "IHCFr-species-checked": "notRecommended", "IHCFr-species-dilution-info": "1/250", "IHCFr-species-notes": "<p>Antigen retrieval: Heated citric acid solution (10mM citric acid PH 6.0 + 0.05% Tween-20)</p>" }, "Mouse": { "IP-species-checked": "notRecommended", "IP-species-dilution-info": "1/40", "IP-species-notes": "<p></p>", "FlowCyt-species-checked": "notRecommended", "FlowCyt-species-dilution-info": "1/150", "FlowCyt-species-notes": "<p></p>", "WB-species-checked": "testedAndGuaranteed", "WB-species-dilution-info": "1/2000", "WB-species-notes": "<p></p>", "IHCP-species-checked": "notRecommended", "IHCP-species-dilution-info": "1/4000", "IHCP-species-notes": "<p></p> Perform heat-mediated antigen retrieval with Tris/EDTA buffer pH 9.0 before commencing with IHC staining protocol.", "ICCIF-species-checked": "notRecommended", "ICCIF-species-dilution-info": "1/500", "ICCIF-species-notes": "<p></p>", "IHCFr-species-checked": "notRecommended", "IHCFr-species-dilution-info": "1/250", "IHCFr-species-notes": "<p>Antigen retrieval: Heated citric acid solution (10mM citric acid PH 6.0 + 0.05% Tween-20)</p>" }, "Rat": { "IP-species-checked": "notRecommended", "IP-species-dilution-info": "1/40", "IP-species-notes": "<p></p>", "FlowCyt-species-checked": "notRecommended", "FlowCyt-species-dilution-info": "1/150", "FlowCyt-species-notes": "<p></p>", "WB-species-checked": "testedAndGuaranteed", "WB-species-dilution-info": "1/2000", "WB-species-notes": "<p></p>", "IHCP-species-checked": "notRecommended", "IHCP-species-dilution-info": "1/4000", "IHCP-species-notes": "<p></p> Perform heat-mediated antigen retrieval with Tris/EDTA buffer pH 9.0 before commencing with IHC staining protocol.", "ICCIF-species-checked": "notRecommended", "ICCIF-species-dilution-info": "1/500", "ICCIF-species-notes": "<p></p>", "IHCFr-species-checked": "notRecommended", "IHCFr-species-dilution-info": "1/250", "IHCFr-species-notes": "<p>Antigen retrieval: Heated citric acid solution (10mM citric acid PH 6.0 + 0.05% Tween-20)</p>" } } }

Product details

Patented technology
Our RabMAb® technology is a patented hybridoma-based technology for making rabbit monoclonal antibodies. For details on our patents, please refer to RabMAb® patents.

What are the advantages of a recombinant monoclonal antibody?
This product is a recombinant monoclonal antibody, which offers several advantages including:

  • - High batch-to-batch consistency and reproducibility
  • - Improved sensitivity and specificity
  • - Long-term security of supply
  • - Animal-free batch production

For more information, read more on recombinant antibodies.

Properties and storage information

Form
Liquid
Purification technique
Affinity purification Protein A
Storage buffer
pH: 7.2 Preservative: 0.01% Sodium azide Constituents: PBS, 40% Glycerol (glycerin, glycerine), 0.05% BSA
Shipped at conditions
Blue Ice
Appropriate short-term storage duration
1-2 weeks
Appropriate short-term storage conditions
+4°C
Appropriate long-term storage conditions
-20°C
Aliquoting information
Upon delivery aliquot
Storage information
Avoid freeze / thaw cycle

Supplementary information

This supplementary information is collated from multiple sources and compiled automatically.

RCN1 also known as reticulocalbin-1 or RCN is a calcium-binding protein located in the lumen of the endoplasmic reticulum (ER). It belongs to the CREC family of proteins which are characterized by their EF-hand motifs that mediate calcium binding. RCN1 has a molecular mass of around 37 kDa. This protein is expressed in various tissues including the pancreas heart and brain suggesting its involvement in diverse cellular functions. Within the ER RCN1 interacts with other proteins aiding in their proper folding and assembly.
Biological function summary

RCN1 plays a role in cellular calcium homeostasis and may influence processes such as protein folding and trafficking. It is not known to be a part of a larger complex but it interacts with other ER-resident proteins. Maintaining calcium levels is important within the ER where RCN1 helps buffer calcium concentrations. This function supports processes that are sensitive to calcium fluctuations such as signal transduction and stress responses.

Pathways

The role of RCN1 in cellular mechanisms connects it to important pathways like the calcium signaling pathway and the unfolded protein response pathway. In the calcium signaling pathway RCN1 aids in regulating calcium levels within the ER affecting downstream signaling events. Meanwhile in the unfolded protein response pathway RCN1 participates by ensuring the proper folding of proteins particularly during times of stress when misfolded proteins accumulate. RCN1's interaction with calumenin another calcium-binding protein highlights its involvement in these pathways.

RCN1 has associations with cardiovascular disease and some forms of cancer. In cardiovascular disease altered expression of RCN1 may impact calcium signaling and lead to dysfunction in heart cells. Similarly in certain cancers changes in RCN1 expression levels could affect cellular proliferation via calcium-regulated pathways. The interaction between RCN1 and calreticulin a multifunctional protein involved in calcium homeostasis and immune response further connects RCN1's influence on disease progression.

Product protocols

For this product, it's our understanding that no specific protocols are required. You can visit:

Target data

May regulate calcium-dependent activities in the endoplasmic reticulum lumen or post-ER compartment.
See full target information RCN1

Publications (3)

Recent publications for all applications. Explore the full list and refine your search

Journal of cellular and molecular medicine 25:11198-11211 PubMed34747128

2021

Reticulocalbin 1 is required for proliferation and migration of non-small cell lung cancer cells regulated by osteoblast-conditioned medium.

Applications

Unspecified application

Species

Unspecified reactive species

Haijing Fu,Rui Chen,Yue Wang,Yang Xu,Chun Xia,Bing Zhang

Cell cycle (Georgetown, Tex.) 19:1576-1589 PubMed32436770

2020

Reticulocalbin-1 knockdown increases the sensitivity of cells to Adriamycin in nasopharyngeal carcinoma and promotes endoplasmic reticulum stress-induced cell apoptosis.

Applications

Unspecified application

Species

Unspecified reactive species

Ze-Hao Huang,Jun Qiao,Yi-Yang Feng,Meng-Ting Qiu,Ting Cheng,Jia Wang,Chao-Feng Zheng,Zhi-Qin Lv,Cai-Hong Wang

Human pathology 83:140-148 PubMed30172915

2018

Overexpression of RCN1 correlates with poor prognosis and progression in non-small cell lung cancer.

Applications

Unspecified application

Species

Unspecified reactive species

Xinming Chen,Weiwei Shao,Hua Huang,Xiaochun Feng,Sumei Yao,Honggang Ke
View all publications

Product promise

We are committed to supporting your work with high-quality reagents, and we're here for you every step of the way. In the unlikely event that one of our products does not perform as expected, you're protected by our Product Promise.
For full details, please see our Terms & Conditions

Please note: All products are 'FOR RESEARCH USE ONLY. NOT FOR USE IN DIAGNOSTIC OR THERAPEUTIC PROCEDURES'.

For licensing inquiries, please contact partnerships@abcam.com