JavaScript is disabled in your browser. Please enable JavaScript to view this website.
AB250582

Anti-REA antibody [EPR14523] - BSA and Azide free

Be the first to review this product! Submit a review

|

(1 Publication)

Rabbit Recombinant Monoclonal REA antibody. Carrier free. Suitable for IHC-P, WB, ICC/IF, Flow Cyt (Intra) and reacts with Rat, Human, Mouse samples. Cited in 1 publication.

View Alternative Names

BAP, REA, PHB2, Prohibitin-2, B-cell receptor-associated protein BAP37, D-prohibitin, Repressor of estrogen receptor activity

5 Images
Flow Cytometry (Intracellular) - Anti-REA antibody [EPR14523] - BSA and Azide free (AB250582)
  • Flow Cyt (Intra)

Unknown

Flow Cytometry (Intracellular) - Anti-REA antibody [EPR14523] - BSA and Azide free (AB250582)

Intracellular Flow Cytometry analysis of HeLa (Human cervix adenocarcinoma epithelial cell) cells labeling REA with purified ab182139 at 1/70 dilution (10 μg/ml) (Red). Cells were fixed with 4% Paraformaldehyde and permeabilised with 90% Methanol. A Goat anti rabbit IgG (Alexa Fluor® 488, ab150077) secondary antibody was used at 1/2000. Isotype control - Rabbit monoclonal IgG (Black). Unlabeled control - Cell without incubation with primary antibody and secondary antibody (Blue). This data was developed using the same antibody clone in a different buffer formulation containing PBS, BSA, glycerol, and sodium azide (ab182139)

Immunocytochemistry/ Immunofluorescence - Anti-REA antibody [EPR14523] - BSA and Azide free (AB250582)
  • ICC/IF

Unknown

Immunocytochemistry/ Immunofluorescence - Anti-REA antibody [EPR14523] - BSA and Azide free (AB250582)

Immunocytochemistry/ Immunofluorescence analysis of 293T (Human embryonic kidney epithelial cell) cells labeling REA with purified ab182139 at 1 : 50 dilution (10 µg/ml). Cells were fixed in 100% Methanol and permeabilized with None. Cells were counterstained with ab195889 Anti-alpha Tubulin antibody [DM1A] - Microtubule Marker (Alexa Fluor® 594) 1 : 200 (2.5 µg/ml). Goat anti rabbit IgG (Alexa Fluor® 488, ab150077) was used as the secondary antibody at 1 : 1000 (2 µg/ml) dilution. DAPI (blue) was used as nuclear counterstain. PBS instead of the primary antibody was used as the secondary antibody only control.
This data was developed using the same antibody clone in a different buffer formulation containing PBS, BSA, glycerol, and sodium azide (ab182139)

Immunohistochemistry (Formalin/PFA-fixed paraffin-embedded sections) - Anti-REA antibody [EPR14523] - BSA and Azide free (AB250582)
  • IHC-P

Unknown

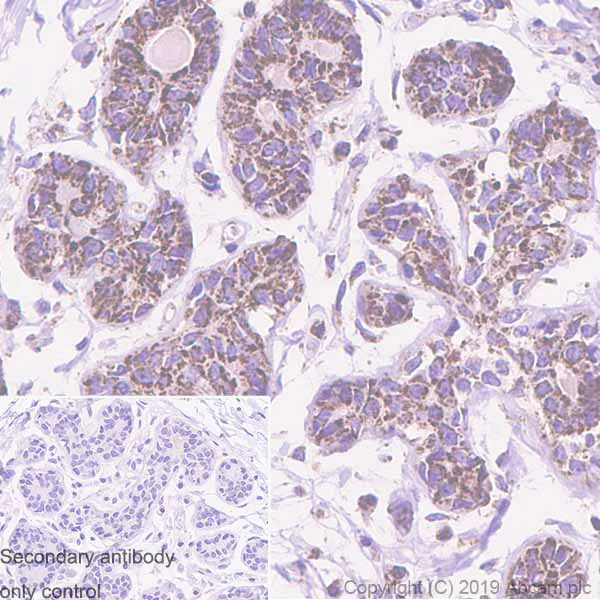
Immunohistochemistry (Formalin/PFA-fixed paraffin-embedded sections) - Anti-REA antibody [EPR14523] - BSA and Azide free (AB250582)

Immunohistochemistry (Formalin/PFA-fixed paraffin-embedded sections) analysis of human breast tissue sections labeling REA with purified ab182139 at 1 : 8000 dilution (0.09 µg/ml). Heat mediated antigen retrieval was performed using Bond ™ Epitope Retrieval Solution 2 (pH 9.0). Rabbit specific IHC polymer detection kit HRP/DAB (ab209101) was used as the secondary antibody. Negative control : PBS instead of the primary antibody. Hematoxylin was used as a counterstain.
This data was developed using the same antibody clone in a different buffer formulation containing PBS, BSA, glycerol, and sodium azide (ab182139)

Immunohistochemistry (Formalin/PFA-fixed paraffin-embedded sections) - Anti-REA antibody [EPR14523] - BSA and Azide free (AB250582)
  • IHC-P

Unknown

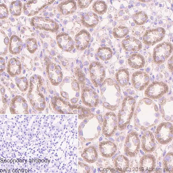
Immunohistochemistry (Formalin/PFA-fixed paraffin-embedded sections) - Anti-REA antibody [EPR14523] - BSA and Azide free (AB250582)

Immunohistochemistry (Formalin/PFA-fixed paraffin-embedded sections) analysis of rat kidney tissue sections labeling REA with purified ab182139 at 1 : 8000 dilution (0.09 µg/ml). Heat mediated antigen retrieval was performed using Bond ™ Epitope Retrieval Solution 2 (pH 9.0). Rabbit specific IHC polymer detection kit HRP/DAB (ab209101) was used as the secondary antibody. Negative control : PBS instead of the primary antibody. Hematoxylin was used as a counterstain.
This data was developed using the same antibody clone in a different buffer formulation containing PBS, BSA, glycerol, and sodium azide (ab182139)

Immunohistochemistry (Formalin/PFA-fixed paraffin-embedded sections) - Anti-REA antibody [EPR14523] - BSA and Azide free (AB250582)
  • IHC-P

Unknown

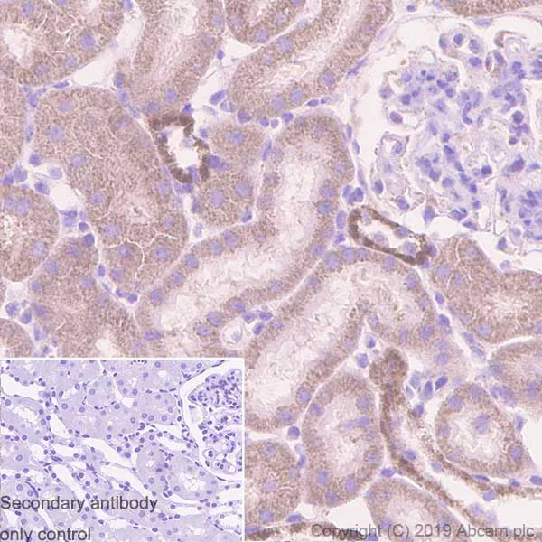
Immunohistochemistry (Formalin/PFA-fixed paraffin-embedded sections) - Anti-REA antibody [EPR14523] - BSA and Azide free (AB250582)

Immunohistochemistry (Formalin/PFA-fixed paraffin-embedded sections) analysis of mouse kidney tissue sections labeling REA with purified ab182139 at 1 : 8000 dilution (0.09 µg/ml). Heat mediated antigen retrieval was performed using Bond ™ Epitope Retrieval Solution 2 (pH 9.0). Rabbit specific IHC polymer detection kit HRP/DAB (ab209101) was used as the secondary antibody. Negative control : PBS instead of the primary antibody. Hematoxylin was used as a counterstain.
This data was developed using the same antibody clone in a different buffer formulation containing PBS, BSA, glycerol, and sodium azide (ab182139)

Key facts

Host species

Rabbit

Clonality

Monoclonal

Clone number

EPR14523

Isotype

IgG

Carrier free

Yes

Reacts with

Mouse, Rat, Human

Applications

WB, Flow Cyt (Intra), IHC-P, ICC/IF

applications

Immunogen

The exact immunogen used to generate this antibody is proprietary information.

Reactivity data

{ "title": "Reactivity Data", "filters": { "stats": ["", "Species", "Dilution Info", "Notes"], "tabs": { "all-applications": {"fullname" : "All Applications", "shortname": "All Applications"}, "IHCP" : {"fullname" : "Immunohistochemistry (Formalin/PFA-fixed paraffin-embedded sections)", "shortname":"IHC-P"}, "WB" : {"fullname" : "Western blot", "shortname":"WB"}, "ICCIF" : {"fullname" : "Immunocytochemistry/ Immunofluorescence", "shortname":"ICC/IF"}, "FlowCytIntra" : {"fullname" : "Flow Cytometry (Intracellular)", "shortname":"Flow Cyt (Intra)"} }, "product-promise": { "all": "all", "testedAndGuaranteed": "tested", "guaranteed": "expected", "predicted": "predicted", "notRecommended": "not-recommended" } }, "values": { "Human": { "IHCP-species-checked": "guaranteed", "IHCP-species-dilution-info": "", "IHCP-species-notes": "", "WB-species-checked": "guaranteed", "WB-species-dilution-info": "", "WB-species-notes": "<p></p>", "ICCIF-species-checked": "testedAndGuaranteed", "ICCIF-species-dilution-info": "", "ICCIF-species-notes": "<p></p>", "FlowCytIntra-species-checked": "testedAndGuaranteed", "FlowCytIntra-species-dilution-info": "", "FlowCytIntra-species-notes": "<p></p>" }, "Mouse": { "IHCP-species-checked": "predicted", "IHCP-species-dilution-info": "", "IHCP-species-notes": "", "WB-species-checked": "guaranteed", "WB-species-dilution-info": "", "WB-species-notes": "<p></p>", "ICCIF-species-checked": "predicted", "ICCIF-species-dilution-info": "", "ICCIF-species-notes": "", "FlowCytIntra-species-checked": "predicted", "FlowCytIntra-species-dilution-info": "", "FlowCytIntra-species-notes": "" }, "Rat": { "IHCP-species-checked": "testedAndGuaranteed", "IHCP-species-dilution-info": "", "IHCP-species-notes": "<p></p>", "WB-species-checked": "guaranteed", "WB-species-dilution-info": "", "WB-species-notes": "<p></p>", "ICCIF-species-checked": "guaranteed", "ICCIF-species-dilution-info": "", "ICCIF-species-notes": "", "FlowCytIntra-species-checked": "guaranteed", "FlowCytIntra-species-dilution-info": "", "FlowCytIntra-species-notes": "" } } }

Product details

ab250582 is the carrier-free version of ab182139.

Patented technology
Our RabMAb® technology is a patented hybridoma-based technology for making rabbit monoclonal antibodies. For details on our patents, please refer to RabMAb® patents.

What are the advantages of a recombinant monoclonal antibody?
This product is a recombinant monoclonal antibody, which offers several advantages including:

  • - High batch-to-batch consistency and reproducibility
  • - Improved sensitivity and specificity
  • - Long-term security of supply
  • - Animal-free batch production

For more information, read more on recombinant antibodies.

Conjugation ready
Our carrier-free antibodies are typically supplied in a PBS-only formulation, purified and free of BSA, sodium azide and glycerol. This conjugation-ready format is designed for use with fluorochromes, metal isotopes, oligonucleotides, and enzymes, which makes them ideal for antibody labelling, functional and cell-based assays, flow-based assays (e.g. mass cytometry) and Multiplex Imaging applications.

Use our conjugation kits for antibody conjugates that are ready-to-use in as little as 20 minutes with 1 minute hands-on-time and 100% antibody recovery: available for fluorescent dyes, HRP, biotin and gold.

Compatibility
This product is compatible with the Maxpar® Antibody Labeling Kit from Fluidigm, without the need for antibody preparation. Maxpar® is a trademark of Fluidigm Canada Inc.

Properties and storage information

Form
Liquid
Purification technique
Affinity purification Protein A
Storage buffer
pH: 7.2 - 7.4 Constituents: PBS
Shipped at conditions
Blue Ice
Appropriate short-term storage conditions
+4°C
Appropriate long-term storage conditions
+4°C
Storage information
Do Not Freeze

Supplementary information

This supplementary information is collated from multiple sources and compiled automatically.

REA also known as repressor of estrogen receptor activity is a protein that plays a role in estrogen receptor signaling pathways. REA has a molecular mass of approximately 69 kDa. It expresses widely in various tissues including the heart brain and skeletal muscle. This protein interacts with a number of transcriptional regulators to modulate gene expression. "Antirea" and "Protin rea" sometimes refer to tools used to study its function or its expression in research contexts.
Biological function summary

REA acts as a co-regulator in estrogen receptor complexes influencing the transcriptional activity of these receptors. It binds with estrogen receptors to either suppress or enhance their activity based on the cellular context and signaling molecules involved. Through this modulation REA contributes to the regulation of genes involved in cell growth differentiation and survival. Its ability to interact with other proteins such as coactivators and corepressors positions REA as an important player in modulating cellular responses to estrogen.

Pathways

REA is embedded in the estrogen signaling pathway which is critical for the regulation of reproductive tissues and certain non-reproductive tissues. It interacts with proteins like steroid receptor coactivator-3 (SRC-3) and nuclear receptor corepressor (NCoR) to influence pathway dynamics. Additionally REA connects with the MAPK signaling pathway impacting cell proliferation and survival by interacting with proteins such as MAPK and ERK2. These interactions place REA as a central node in hormone signaling networks within the cell.

The alterations in REA function have links to breast cancer and endometriosis. In breast cancer abnormal REA levels can disrupt estrogen signaling affecting tumor growth and progression. Coregulators like SRC-3 further modulate the disease outcome through their interaction with REA. In the case of endometriosis REA influences estrogen-driven processes contributing to the pathology of the disorder. Understanding REA's interactions offers insights into therapeutic targets and potential treatment strategies for these conditions.

Product protocols

For this product, it's our understanding that no specific protocols are required. You can visit:

Target data

Protein with pleiotropic attributes mediated in a cell-compartment- and tissue-specific manner, which include the plasma membrane-associated cell signaling functions, mitochondrial chaperone, and transcriptional co-regulator of transcription factors and sex steroid hormones in the nucleus.. In the mitochondria, together with PHB, forms large ring complexes (prohibitin complexes) in the inner mitochondrial membrane (IMM) and functions as a chaperone protein that stabilizes mitochondrial respiratory enzymes and maintains mitochondrial integrity in the IMM, which is required for mitochondrial morphogenesis, neuronal survival, and normal lifespan (Probable). The prohibitin complex, with DNAJC19, regulates cardiolipin remodeling and the protein turnover of OMA1 in a cardiolipin-binding manner (By similarity). Also regulates cytochrome-c oxidase assembly (COX) and mitochondrial respiration (PubMed : 11302691, PubMed : 20959514). Binding to sphingoid 1-phosphate (SPP) modulates its regulator activity (PubMed : 11302691, PubMed : 20959514). Has a key role of mitophagy receptor involved in targeting mitochondria for autophagic degradation (PubMed : 28017329). Involved in mitochondrial-mediated antiviral innate immunity, activates RIG-I-mediated signal transduction and production of IFNB1 and pro-inflammatory cytokine IL6 (PubMed : 31522117).. In the nucleus, serves as transcriptional co-regulator (Probable). Acts as a mediator of transcriptional repression by nuclear hormone receptors via recruitment of histone deacetylases. Functions as an estrogen receptor (ER)-selective coregulator that potentiates the inhibitory activities of antiestrogens and represses the activity of estrogens. Competes with NCOA1 for modulation of ER transcriptional activity (By similarity).. In the plasma membrane, is involved in IGFBP6-induced cell migration (PubMed : 24003225). Cooperates with CD86 to mediate CD86-signaling in B lymphocytes that regulates the level of IgG1 produced through the activation of distal signaling intermediates. Upon CD40 engagement, required to activate NF-kappa-B signaling pathway via phospholipase C and protein kinase C activation (By similarity).. (Microbial infection) Involved in human enterovirus 71/EV-71 infection by enhancing the autophagy mechanism during the infection.
See full target information PHB2

Publications (1)

Recent publications for all applications. Explore the full list and refine your search

Oncology letters 26:458 PubMed37736555

2023

S100A6 is a potential diagnostic and prognostic biomarker for human glioma.

Applications

Unspecified application

Species

Unspecified reactive species

Bo Hong,Hui Zhang,Yufei Xiao,Lingwei Shen,Yun Qian
View all publications

Product promise

We are committed to supporting your work with high-quality reagents, and we're here for you every step of the way. In the unlikely event that one of our products does not perform as expected, you're protected by our Product Promise.
For full details, please see our Terms & Conditions

Please note: All products are 'FOR RESEARCH USE ONLY. NOT FOR USE IN DIAGNOSTIC OR THERAPEUTIC PROCEDURES'.

For licensing inquiries, please contact partnerships@abcam.com