JavaScript is disabled in your browser. Please enable JavaScript to view this website.
AB272855

Anti-RECQ1 antibody

Be the first to review this product! Submit a review

|

(1 Publication)

Rabbit Polyclonal RECQ1 antibody. Suitable for IP, WB, ICC/IF, IHC-P and reacts with Human samples. Cited in 1 publication. Immunogen corresponding to Recombinant Fragment Protein within Human RECQL.

View Alternative Names

RECQ1, RECQL1, RECQL, ATP-dependent DNA helicase Q1, DNA 3'-5' helicase Q1, DNA-dependent ATPase Q1, RecQ protein-like 1, RecQ1

4 Images
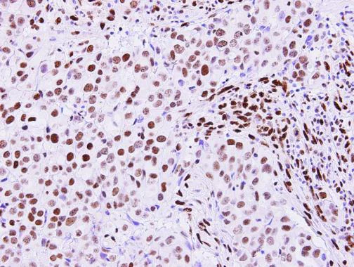
Immunohistochemistry (Formalin/PFA-fixed paraffin-embedded sections) - Anti-RECQ1 antibody (AB272855)
  • IHC-P

Supplier Data

Immunohistochemistry (Formalin/PFA-fixed paraffin-embedded sections) - Anti-RECQ1 antibody (AB272855)

Paraffin-embedded human breast carcinoma tissue stained for RECQ1 using ab272855 at 1/250 dilution in immunohistochemical analysis.

Antigen Retrieval : Trilogy™ (EDTA based, pH 8.0) buffer, 15 mins.

Immunocytochemistry/ Immunofluorescence - Anti-RECQ1 antibody (AB272855)
  • ICC/IF

Supplier Data

Immunocytochemistry/ Immunofluorescence - Anti-RECQ1 antibody (AB272855)

Immunofluorescence analysis of 4% paraformaldehyde-fixed HeLa (human epithelial cell line from cervix adenocarcinoma) cells labeling RECQ1 (green) using ab272855 at 1/500 dilution.

Counterstain : Phalloidin, a cytoskeleton marker (red).

Immunoprecipitation - Anti-RECQ1 antibody (AB272855)
  • IP

Supplier Data

Immunoprecipitation - Anti-RECQ1 antibody (AB272855)

Immunoprecipitation of RECQ1 protein from HeLa (human epithelial cell line from cervix adenocarcinoma) whole cell lysate using ab272855 at 5 μg. ab272855 also used for WB followed by an anti-Rabbit IgG-HRP secondary.

Lane 1 : Control IgG.

Lane 2 : ab272855 IP in HeLa whole cell lysate.

All lanes:

Immunoprecipitation - Anti-RECQ1 antibody (ab272855)

Predicted band size: 73 kDa

false

Western blot - Anti-RECQ1 antibody (AB272855)
  • WB

Supplier Data

Western blot - Anti-RECQ1 antibody (AB272855)

7.5% SDS-PAGE.

All lanes:

Western blot - Anti-RECQ1 antibody (ab272855) at 1/1000 dilution

Lane 1:

A431 (human epidermoid carcinoma cell line) whole cell lysate at 30 µg

Lane 2:

HeLa (human epithelial cell line from cervix adenocarcinoma) whole cell lysate at 30 µg

Lane 3:

A-375 (human malignant melanoma cell line) whole cell lysate at 30 µg

Predicted band size: 73 kDa

false

Key facts

Host species

Rabbit

Clonality

Polyclonal

Isotype

IgG

Carrier free

No

Reacts with

Human

Applications

IHC-P, IP, ICC/IF, WB

applications

Immunogen

Recombinant Fragment Protein within Human RECQL. The exact immunogen used to generate this antibody is proprietary information.

P46063

Reactivity data

{ "title": "Reactivity Data", "filters": { "stats": ["", "Species", "Dilution Info", "Notes"], "tabs": { "all-applications": {"fullname" : "All Applications", "shortname": "All Applications"}, "IP" : {"fullname" : "Immunoprecipitation", "shortname":"IP"}, "WB" : {"fullname" : "Western blot", "shortname":"WB"}, "ICCIF" : {"fullname" : "Immunocytochemistry/ Immunofluorescence", "shortname":"ICC/IF"}, "IHCP" : {"fullname" : "Immunohistochemistry (Formalin/PFA-fixed paraffin-embedded sections)", "shortname":"IHC-P"} }, "product-promise": { "all": "all", "testedAndGuaranteed": "tested", "guaranteed": "expected", "predicted": "predicted", "notRecommended": "not-recommended" } }, "values": { "Human": { "IP-species-checked": "testedAndGuaranteed", "IP-species-dilution-info": "1/100 - 1/500", "IP-species-notes": "<p></p>", "WB-species-checked": "testedAndGuaranteed", "WB-species-dilution-info": "1/500 - 1/3000", "WB-species-notes": "<p></p>", "ICCIF-species-checked": "testedAndGuaranteed", "ICCIF-species-dilution-info": "1/100 - 1/1000", "ICCIF-species-notes": "<p></p>", "IHCP-species-checked": "testedAndGuaranteed", "IHCP-species-dilution-info": "1/100 - 1/1000", "IHCP-species-notes": "<p></p>" } } }

Properties and storage information

Form
Liquid
Purification technique
Affinity purification Immunogen
Storage buffer
pH: 7 Preservative: 0.01% Thimerosal (merthiolate) Constituents: PBS, 20% Glycerol (glycerin, glycerine)
Shipped at conditions
Blue Ice
Appropriate short-term storage duration
1-2 weeks
Appropriate short-term storage conditions
+4°C
Appropriate long-term storage conditions
-20°C
Aliquoting information
Upon delivery aliquot
Storage information
Avoid freeze / thaw cycle

Supplementary information

This supplementary information is collated from multiple sources and compiled automatically.

RECQ1 also known as RECQL or RECQL1 is a DNA helicase with a molecular mass around 73 kDa. It functions to unwind double-stranded DNA into single strands facilitating important processes like replication repair recombination and transcription. RECQ1 is expressed in various tissues with notable expression in rapidly dividing cells such as those in the thymus and testis. By unwinding DNA RECQ1 plays an important role in maintaining genomic stability and preventing DNA damage accumulation.
Biological function summary

RECQ1 influences genomic integrity by engaging in DNA repair processes. It is part of the RecQ helicase family which includes other helicases like BLM and WRN each with distinct roles in DNA metabolism. RECQ1 primarily participates in the base excision repair and homologous recombination repair pathways. It interacts with key proteins such as PARP1 and XRCC1 to fulfill its role in repairing DNA breaks thereby safeguarding the cell from genotoxic stress.

Pathways

RECQ1 significantly influences the homologous recombination and base excision repair pathways. In the homologous recombination pathway RECQ1 associates with proteins like RAD51 to facilitate the accurate repair of DNA double-strand breaks. In the base excision repair pathway RECQ1 works alongside APE1 to address single-strand breaks ensuring the continuity of the DNA replication process. These pathways are central to genomic integrity making RECQ1 a critical player in cellular responses to DNA damage.

RECQ1 plays a relevant role in certain cancers and premature aging syndromes. Its dysfunction can lead to chromosomal instability which may contribute to the development of various cancers including breast cancer. Additionally RECQ1's interaction with tumor suppressor proteins such as p53 further links it to cancer pathways and the cellular response to DNA damage. Mutations or diminished activity of RECQ1 have been associated with increased susceptibility to genomic disorders similar to those found in other RecQ helicase deficiencies such as Werner syndrome highlighting its importance in maintaining health.

Product protocols

For this product, it's our understanding that no specific protocols are required. You can visit:

Target data

DNA helicase that plays a role in DNA damage repair and genome stability (PubMed : 15886194, PubMed : 35025765, PubMed : 7527136, PubMed : 7961977, PubMed : 8056767). Exhibits a Mg(2+)- and ATP-dependent DNA-helicase activity that unwinds single- and double-stranded DNA in a 3'-5' direction (PubMed : 19151156, PubMed : 35025765, PubMed : 7527136, PubMed : 8056767). Full-length protein unwinds forked DNA substrates, resolves Holliday junctions, and has DNA strand annealing activity (PubMed : 19151156, PubMed : 25831490). Plays a role in restoring regressed replication forks (PubMed : 35025765). Required to restart stalled replication forks induced by abortive topoisomerase 1 and 2 lesions (PubMed : 35025765). Does not unwind G-quadruplex DNA (PubMed : 18426915). May play a role in the repair of DNA that is damaged by ultraviolet light or other mutagens (PubMed : 15886194, PubMed : 7961977).
See full target information RECQL

Publications (1)

Recent publications for all applications. Explore the full list and refine your search

Heliyon 10:e30044 PubMed38698981

2024

Conditional reprogrammed human limbal epithelial cell model for anti-SARS-CoV-2 drug screening.

Applications

Unspecified application

Species

Unspecified reactive species

Yu Xiao,Ling Wang,Shi-Xu Li,Shi-Song Fang,Fan Luo,Shu-Liang Chen,Xuan Zou,Lin Ye,Wei Hou
View all publications

Product promise

We are committed to supporting your work with high-quality reagents, and we're here for you every step of the way. In the unlikely event that one of our products does not perform as expected, you're protected by our Product Promise.
For full details, please see our Terms & Conditions

Please note: All products are 'FOR RESEARCH USE ONLY. NOT FOR USE IN DIAGNOSTIC OR THERAPEUTIC PROCEDURES'.

For licensing inquiries, please contact partnerships@abcam.com