JavaScript is disabled in your browser. Please enable JavaScript to view this website.
AB249704

Anti-RECQ1 antibody [EPR8049(2)] - BSA and Azide free

Be the first to review this product! Submit a review

|

(1 Publication)

Rabbit Recombinant Monoclonal RECQ1 antibody. Carrier free. Suitable for IHC-P, ICC/IF, WB, Flow Cyt (Intra) and reacts with Human samples. Cited in 1 publication.

View Alternative Names

RECQ1, RECQL1, RECQL, ATP-dependent DNA helicase Q1, DNA 3'-5' helicase Q1, DNA-dependent ATPase Q1, RecQ protein-like 1, RecQ1

5 Images
Immunocytochemistry/ Immunofluorescence - Anti-RECQ1 antibody [EPR8049(2)] - BSA and Azide free (AB249704)
  • ICC/IF

Supplier Data

Immunocytochemistry/ Immunofluorescence - Anti-RECQ1 antibody [EPR8049(2)] - BSA and Azide free (AB249704)

This data was developed using ab172607, the same antibody clone in a different buffer formulation.

Immunofluorescent analysis of 293T cells labeling RECQ1 with ab172607 at 1/250 dilution.

Flow Cytometry (Intracellular) - Anti-RECQ1 antibody [EPR8049(2)] - BSA and Azide free (AB249704)
  • Flow Cyt (Intra)

Supplier Data

Flow Cytometry (Intracellular) - Anti-RECQ1 antibody [EPR8049(2)] - BSA and Azide free (AB249704)

This data was developed using ab172607, the same antibody clone in a different buffer formulation.

Intracellular flow cytometric analysis of permeabilized Ramos cells labeling RECQ1 with ab172607 at 1/10 dilution (red) compared to a Rabbit IgG negative control (green).

Immunohistochemistry (Formalin/PFA-fixed paraffin-embedded sections) - Anti-RECQ1 antibody [EPR8049(2)] - BSA and Azide free (AB249704)
  • IHC-P

Supplier Data

Immunohistochemistry (Formalin/PFA-fixed paraffin-embedded sections) - Anti-RECQ1 antibody [EPR8049(2)] - BSA and Azide free (AB249704)

This data was developed using ab172607, the same antibody clone in a different buffer formulation.

Immunohistochemical analysis of paraffin-embedded Human thyroid gland carcinoma tissue labeling RECQ1 with ab172607 at 1/50 dilution.

Perform heat mediated antigen retrieval with citrate buffer pH 6 before commencing with IHC staining protocol.

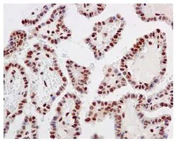
Immunohistochemistry (Formalin/PFA-fixed paraffin-embedded sections) - Anti-RECQ1 antibody [EPR8049(2)] - BSA and Azide free (AB249704)
  • IHC-P

Supplier Data

Immunohistochemistry (Formalin/PFA-fixed paraffin-embedded sections) - Anti-RECQ1 antibody [EPR8049(2)] - BSA and Azide free (AB249704)

This data was developed using ab172607, the same antibody clone in a different buffer formulation.

Immunohistochemical analysis of paraffin-embedded Human heart tissue labeling RECQ1 with ab172607 at 1/50 dilution.

Perform heat mediated antigen retrieval with citrate buffer pH 6 before commencing with IHC staining protocol.

Western blot - Anti-RECQ1 antibody [EPR8049(2)] - BSA and Azide free (AB249704)
  • WB

Supplier Data

Western blot - Anti-RECQ1 antibody [EPR8049(2)] - BSA and Azide free (AB249704)

This data was developed using ab172607, the same antibody clone in a different buffer formulation.

All lanes:

Western blot - Anti-RECQ1 antibody [EPR8049(2)] (<a href='/en-us/products/primary-antibodies/recq1-antibody-epr80492-ab172607'>ab172607</a>) at 1/1000 dilution

Lane 1:

HeLa cell lysate at 10 µg

Lane 2:

Raji cell lysate at 10 µg

Lane 3:

Ramos cell lysate at 10 µg

Lane 4:

293T cell lysate at 10 µg

Predicted band size: 73 kDa

false

Key facts

Host species

Rabbit

Clonality

Monoclonal

Clone number

EPR8049(2)

Isotype

IgG

Carrier free

Yes

Reacts with

Human

Applications

ICC/IF, Flow Cyt (Intra), WB, IHC-P

applications

Immunogen

The exact immunogen used to generate this antibody is proprietary information.

Reactivity data

{ "title": "Reactivity Data", "filters": { "stats": ["", "Species", "Dilution Info", "Notes"], "tabs": { "all-applications": {"fullname" : "All Applications", "shortname": "All Applications"}, "IHCP" : {"fullname" : "Immunohistochemistry (Formalin/PFA-fixed paraffin-embedded sections)", "shortname":"IHC-P"}, "ICCIF" : {"fullname" : "Immunocytochemistry/ Immunofluorescence", "shortname":"ICC/IF"}, "IP" : {"fullname" : "Immunoprecipitation", "shortname":"IP"}, "WB" : {"fullname" : "Western blot", "shortname":"WB"}, "FlowCytIntra" : {"fullname" : "Flow Cytometry (Intracellular)", "shortname":"Flow Cyt (Intra)"} }, "product-promise": { "all": "all", "testedAndGuaranteed": "tested", "guaranteed": "expected", "predicted": "predicted", "notRecommended": "not-recommended" } }, "values": { "Human": { "IHCP-species-checked": "testedAndGuaranteed", "IHCP-species-dilution-info": "", "IHCP-species-notes": "<p></p>", "ICCIF-species-checked": "testedAndGuaranteed", "ICCIF-species-dilution-info": "", "ICCIF-species-notes": "<p></p>", "IP-species-checked": "notRecommended", "IP-species-dilution-info": "", "IP-species-notes": "<p></p>", "WB-species-checked": "testedAndGuaranteed", "WB-species-dilution-info": "", "WB-species-notes": "<p></p>", "FlowCytIntra-species-checked": "testedAndGuaranteed", "FlowCytIntra-species-dilution-info": "", "FlowCytIntra-species-notes": "<p></p>" } } }

Product details

ab249704 is the carrier-free version of ab172607.

Species reactivity
Mouse, Rat: We have preliminary internal testing data to indicate this antibody may not react with these species.
Please contact us for more information.

Patented technology
Our RabMAb® technology is a patented hybridoma-based technology for making rabbit monoclonal antibodies. For details on our patents, please refer to RabMAb® patents.

What are the advantages of a recombinant monoclonal antibody?
This product is a recombinant monoclonal antibody, which offers several advantages including:

  • - High batch-to-batch consistency and reproducibility
  • - Improved sensitivity and specificity
  • - Long-term security of supply
  • - Animal-free batch production

For more information, read more on recombinant antibodies.

Conjugation ready
Our carrier-free antibodies are typically supplied in a PBS-only formulation, purified and free of BSA, sodium azide and glycerol. This conjugation-ready format is designed for use with fluorochromes, metal isotopes, oligonucleotides, and enzymes, which makes them ideal for antibody labelling, functional and cell-based assays, flow-based assays (e.g. mass cytometry) and Multiplex Imaging applications.

Use our conjugation kits for antibody conjugates that are ready-to-use in as little as 20 minutes with 1 minute hands-on-time and 100% antibody recovery: available for fluorescent dyes, HRP, biotin and gold.

Compatibility
This product is compatible with the Maxpar® Antibody Labeling Kit from Fluidigm, without the need for antibody preparation. Maxpar® is a trademark of Fluidigm Canada Inc.

Properties and storage information

Form
Liquid
Purification technique
Affinity purification
Storage buffer
pH: 7.2 - 7.4 Constituents: PBS
Shipped at conditions
Blue Ice
Appropriate short-term storage conditions
+4°C
Appropriate long-term storage conditions
+4°C
Storage information
Do Not Freeze

Supplementary information

This supplementary information is collated from multiple sources and compiled automatically.

RECQ1 also known as RECQL or RECQL1 is a DNA helicase with a molecular mass around 73 kDa. It functions to unwind double-stranded DNA into single strands facilitating important processes like replication repair recombination and transcription. RECQ1 is expressed in various tissues with notable expression in rapidly dividing cells such as those in the thymus and testis. By unwinding DNA RECQ1 plays an important role in maintaining genomic stability and preventing DNA damage accumulation.
Biological function summary

RECQ1 influences genomic integrity by engaging in DNA repair processes. It is part of the RecQ helicase family which includes other helicases like BLM and WRN each with distinct roles in DNA metabolism. RECQ1 primarily participates in the base excision repair and homologous recombination repair pathways. It interacts with key proteins such as PARP1 and XRCC1 to fulfill its role in repairing DNA breaks thereby safeguarding the cell from genotoxic stress.

Pathways

RECQ1 significantly influences the homologous recombination and base excision repair pathways. In the homologous recombination pathway RECQ1 associates with proteins like RAD51 to facilitate the accurate repair of DNA double-strand breaks. In the base excision repair pathway RECQ1 works alongside APE1 to address single-strand breaks ensuring the continuity of the DNA replication process. These pathways are central to genomic integrity making RECQ1 a critical player in cellular responses to DNA damage.

RECQ1 plays a relevant role in certain cancers and premature aging syndromes. Its dysfunction can lead to chromosomal instability which may contribute to the development of various cancers including breast cancer. Additionally RECQ1's interaction with tumor suppressor proteins such as p53 further links it to cancer pathways and the cellular response to DNA damage. Mutations or diminished activity of RECQ1 have been associated with increased susceptibility to genomic disorders similar to those found in other RecQ helicase deficiencies such as Werner syndrome highlighting its importance in maintaining health.

Product protocols

For this product, it's our understanding that no specific protocols are required. You can visit:

Target data

DNA helicase that plays a role in DNA damage repair and genome stability (PubMed : 15886194, PubMed : 35025765, PubMed : 7527136, PubMed : 7961977, PubMed : 8056767). Exhibits a Mg(2+)- and ATP-dependent DNA-helicase activity that unwinds single- and double-stranded DNA in a 3'-5' direction (PubMed : 19151156, PubMed : 35025765, PubMed : 7527136, PubMed : 8056767). Full-length protein unwinds forked DNA substrates, resolves Holliday junctions, and has DNA strand annealing activity (PubMed : 19151156, PubMed : 25831490). Plays a role in restoring regressed replication forks (PubMed : 35025765). Required to restart stalled replication forks induced by abortive topoisomerase 1 and 2 lesions (PubMed : 35025765). Does not unwind G-quadruplex DNA (PubMed : 18426915). May play a role in the repair of DNA that is damaged by ultraviolet light or other mutagens (PubMed : 15886194, PubMed : 7961977).
See full target information RECQL

Publications (1)

Recent publications for all applications. Explore the full list and refine your search

Oxidative medicine and cellular longevity 2021:8379962 PubMed34630853

2021

circ_0023461 Silencing Protects Cardiomyocytes from Hypoxia-Induced Dysfunction through Targeting miR-370-3p/PDE4D Signaling.

Applications

Unspecified application

Species

Unspecified reactive species

Kai Ren,Buying Li,Liqing Jiang,Zhiheng Liu,Fan Wu,Yi Zhang,Jincheng Liu,Weixun Duan
View all publications

Product promise

We are committed to supporting your work with high-quality reagents, and we're here for you every step of the way. In the unlikely event that one of our products does not perform as expected, you're protected by our Product Promise.
For full details, please see our Terms & Conditions

Please note: All products are 'FOR RESEARCH USE ONLY. NOT FOR USE IN DIAGNOSTIC OR THERAPEUTIC PROCEDURES'.

For licensing inquiries, please contact partnerships@abcam.com