JavaScript is disabled in your browser. Please enable JavaScript to view this website.
AB188125

Anti-RECQL4 antibody

Be the first to review this product! Submit a review

|

(3 Publications)

Rabbit Polyclonal RECQL4 antibody. Suitable for IHC-P, WB, ICC/IF and reacts with Human samples. Cited in 3 publications. Immunogen corresponding to Recombinant Fragment Protein within Human RECQL4 aa 150-350.

View Alternative Names

RECQ4, RECQL4, ATP-dependent DNA helicase Q4, DNA 3'-5' helicase RecQ4, RTS, RecQ protein-like 4, RecQ4

3 Images
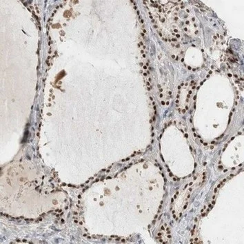
Immunohistochemistry (Formalin/PFA-fixed paraffin-embedded sections) - Anti-RECQL4 antibody (AB188125)
  • IHC-P

Supplier Data

Immunohistochemistry (Formalin/PFA-fixed paraffin-embedded sections) - Anti-RECQL4 antibody (AB188125)

Paraffin embedded human thyroid gland tissue stained for RECQL4 using ab188125 at 1/50 dilution in immunohistochemical analysis.

Heat mediated antigen retrieval was performed with citrate buffer pH 6 before the IHC staining protocol.

Immunocytochemistry/ Immunofluorescence - Anti-RECQL4 antibody (AB188125)
  • ICC/IF

Supplier Data

Immunocytochemistry/ Immunofluorescence - Anti-RECQL4 antibody (AB188125)

Immunocytochemistry/ Immunofluorescence staining of human cell line A431 staining RECQL4 with ab188125. Antibody staining is shown in green.

Western blot - Anti-RECQL4 antibody (AB188125)
  • WB

Unknown

Western blot - Anti-RECQL4 antibody (AB188125)

All lanes:

Western blot - Anti-RECQL4 antibody (ab188125) at 0.4 µg/mL

All lanes:

U-2 OS cells

Predicted band size: 133 kDa

false

Key facts

Host species

Rabbit

Clonality

Polyclonal

Isotype

IgG

Carrier free

No

Reacts with

Human

Applications

WB, ICC/IF, IHC-P

applications

Immunogen

Recombinant Fragment Protein within Human RECQL4 aa 150-350. The exact immunogen used to generate this antibody is proprietary information.

O94761

Reactivity data

{ "title": "Reactivity Data", "filters": { "stats": ["", "Species", "Dilution Info", "Notes"], "tabs": { "all-applications": {"fullname" : "All Applications", "shortname": "All Applications"}, "IHCP" : {"fullname" : "Immunohistochemistry (Formalin/PFA-fixed paraffin-embedded sections)", "shortname":"IHC-P"}, "WB" : {"fullname" : "Western blot", "shortname":"WB"}, "ICCIF" : {"fullname" : "Immunocytochemistry/ Immunofluorescence", "shortname":"ICC/IF"} }, "product-promise": { "all": "all", "testedAndGuaranteed": "tested", "guaranteed": "expected", "predicted": "predicted", "notRecommended": "not-recommended" } }, "values": { "Human": { "IHCP-species-checked": "testedAndGuaranteed", "IHCP-species-dilution-info": "1/20 - 1/50", "IHCP-species-notes": "<p></p> Perform heat-mediated antigen retrieval with citrate buffer pH 6 before commencing with IHC staining protocol.", "WB-species-checked": "testedAndGuaranteed", "WB-species-dilution-info": "0.04-0.4 µg/mL", "WB-species-notes": "<p></p>", "ICCIF-species-checked": "testedAndGuaranteed", "ICCIF-species-dilution-info": "0.25-2 µg/mL", "ICCIF-species-notes": "<p></p>" } } }

Properties and storage information

Form
Liquid
Purification technique
Affinity purification Immunogen
Storage buffer
pH: 7.2 Preservative: 0.02% Sodium azide Constituents: PBS, 40% Glycerol (glycerin, glycerine)
Shipped at conditions
Blue Ice
Appropriate short-term storage duration
1-2 weeks
Appropriate short-term storage conditions
+4°C
Appropriate long-term storage conditions
-20°C
Aliquoting information
Upon delivery aliquot
Storage information
Avoid freeze / thaw cycle

Supplementary information

This supplementary information is collated from multiple sources and compiled automatically.

RECQL4 also known as RecQ protein-like 4 is a member of the RecQ helicase family predominantly found in the nucleus. This protein weighs approximately 133 kDa. It functions as a DNA helicase responsible for unwinding DNA strands playing an essential role in DNA replication repair and maintenance. Expression of RECQL4 occurs in various tissues with high levels noted in the testis thymus and fetal tissues. Its involvement in DNA manipulation places it at the center of maintaining genome integrity.
Biological function summary

RECQL4 participates in critical cellular processes. As part of the DNA replication complex it ensures the accurate replication of DNA minimizing errors that could lead to genomic instability. Its role extends to telomere maintenance ensuring that the chromosome ends are preserved during cell division. RECQL4 also contributes to the recovery of stalled replication forks preventing prolonged cell cycle arrest and potential DNA damage. This helicase along with other proteins in the RecQ family acts as a guardian of the genome.

Pathways

RECQL4 participates in the DNA damage response and repair pathways. It interacts with proteins such as ATR an important player in the DNA damage response pathway facilitating cell cycle checkpoints and repair processes. Additionally RECQL4 is involved in telomere maintenance associated with the telomerase pathway in cooperation with TRF1 a telomere-binding protein. These interactions highlight its role in safeguarding genome stability through efficient DNA repair and replication.

Mutations in RECQL4 are linked to Rothmund-Thomson syndrome characterized by skin rash skeletal anomalies and predisposition to cancer. Defects in this protein can also lead to potential association with other genomic instability syndromes. Notably the connection of RECQL4 with p53 a critical regulator of the cell cycle and apoptosis highlights its importance in disease pathways. These associations emphasize the need for proper RECQL4 function for maintaining cellular health and preventing disorder manifestations.

Product protocols

For this product, it's our understanding that no specific protocols are required. You can visit:

Target data

An ATP-dependent DNA helicase which unwinds dsDNA with a 3'-overhang in a 3'-5' direction (PubMed : 28653661). Does not unwind more than 18 bp of dsDNA (PubMed : 28653661). May modulate chromosome segregation. The N-terminal domain (residues 1-54) binds DNA Y-shaped DNA better than ss- or dsDNA (PubMed : 22730300). The core helicase domain binds ssDNA (PubMed : 22730300, PubMed : 28653661).
See full target information RECQL4

Publications (3)

Recent publications for all applications. Explore the full list and refine your search

BJOG : an international journal of obstetrics and gynaecology 132:107-119 PubMed39973029

2025

Effects of Gonadotropin-Releasing Hormone Analogues on Ovarian Function and Embryogenesis: A Cyclophosphamide-Induced Mouse Model Study.

Applications

Unspecified application

Species

Unspecified reactive species

Qiwang Lin,Mingzhu Cao,Zijin Xu,He Fei,Yunfeng Jin,Jianqiao Liu,Hua Jiang

World journal of surgical oncology 21:231 PubMed37516854

2023

TRIM58 functions as a tumor suppressor in colorectal cancer by promoting RECQL4 ubiquitination to inhibit the AKT signaling pathway.

Applications

Unspecified application

Species

Unspecified reactive species

Naizhi Sun,Jiacheng Shen,Yuhua Shi,Biao Liu,Shengguo Gao,Yichuan Chen,Jinwei Sun

Modern pathology : an official journal of the Unit 33:1537-1545 PubMed32152520

2020

Next-generation sequencing identifies recurrent copy number variations in invasive breast carcinomas from Ghana.

Applications

Unspecified application

Species

Unspecified reactive species

Talha Anwar,Miguel L Rufail,Sabra I Djomehri,Maria E Gonzalez,Lorena Lazo de la Vega,Scott A Tomlins,Lisa A Newman,Celina G Kleer
View all publications

Product promise

We are committed to supporting your work with high-quality reagents, and we're here for you every step of the way. In the unlikely event that one of our products does not perform as expected, you're protected by our Product Promise.
For full details, please see our Terms & Conditions

Please note: All products are 'FOR RESEARCH USE ONLY. NOT FOR USE IN DIAGNOSTIC OR THERAPEUTIC PROCEDURES'.

For licensing inquiries, please contact partnerships@abcam.com