JavaScript is disabled in your browser. Please enable JavaScript to view this website.
AB204170

Anti-RED antibody

Be the first to review this product! Submit a review

|

(1 Publication)

Rabbit Polyclonal RED antibody. Suitable for IHC-P, ICC/IF and reacts with Human samples. Cited in 1 publication. Immunogen corresponding to Recombinant Fragment Protein within Human IK aa 450 to C-terminus.

View Alternative Names

RED, RER, IK, Protein Red, Cytokine IK, IK factor, Protein RER

2 Images
Immunocytochemistry/ Immunofluorescence - Anti-RED antibody (AB204170)
  • ICC/IF

Supplier Data

Immunocytochemistry/ Immunofluorescence - Anti-RED antibody (AB204170)

Immunofluorescent analysis of paraformaldehyde-fixed,Triton X-100 permeabilized A431 cells labeling RED with ab204170 at 4μg/ml (green).

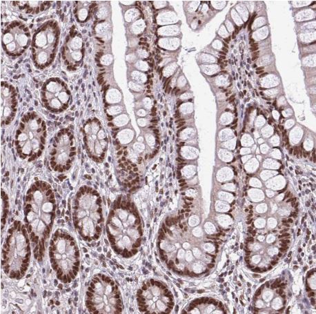
Immunohistochemistry (Formalin/PFA-fixed paraffin-embedded sections) - Anti-RED antibody (AB204170)
  • IHC-P

Supplier Data

Immunohistochemistry (Formalin/PFA-fixed paraffin-embedded sections) - Anti-RED antibody (AB204170)

Immunohistochemical analysis of formalin fixed, paraffin embedded Human colon tissue labeling RED with ab204170 at 1/200 dilution.

Key facts

Host species

Rabbit

Clonality

Polyclonal

Isotype

IgG

Carrier free

No

Reacts with

Human

Applications

IHC-P, ICC/IF

applications

Immunogen

Recombinant Fragment Protein within Human IK aa 450 to C-terminus. The exact immunogen used to generate this antibody is proprietary information.

Q13123

Reactivity data

{ "title": "Reactivity Data", "filters": { "stats": ["", "Species", "Dilution Info", "Notes"], "tabs": { "all-applications": {"fullname" : "All Applications", "shortname": "All Applications"}, "IHCP" : {"fullname" : "Immunohistochemistry (Formalin/PFA-fixed paraffin-embedded sections)", "shortname":"IHC-P"}, "ICCIF" : {"fullname" : "Immunocytochemistry/ Immunofluorescence", "shortname":"ICC/IF"} }, "product-promise": { "all": "all", "testedAndGuaranteed": "tested", "guaranteed": "expected", "predicted": "predicted", "notRecommended": "not-recommended" } }, "values": { "Human": { "IHCP-species-checked": "testedAndGuaranteed", "IHCP-species-dilution-info": "1/200 - 1/500", "IHCP-species-notes": "<p></p> Perform heat-mediated antigen retrieval with citrate buffer pH 6 before commencing with IHC staining protocol.", "ICCIF-species-checked": "testedAndGuaranteed", "ICCIF-species-dilution-info": "0.25-2 µg/mL", "ICCIF-species-notes": "<p></p>" }, "Mouse": { "IHCP-species-checked": "predicted", "IHCP-species-dilution-info": "", "IHCP-species-notes": "", "ICCIF-species-checked": "predicted", "ICCIF-species-dilution-info": "", "ICCIF-species-notes": "" }, "Rat": { "IHCP-species-checked": "predicted", "IHCP-species-dilution-info": "", "IHCP-species-notes": "", "ICCIF-species-checked": "predicted", "ICCIF-species-dilution-info": "", "ICCIF-species-notes": "" } } }

Properties and storage information

Form
Liquid
Purification technique
Affinity purification Immunogen
Storage buffer
pH: 7.2 Preservative: 0.02% Sodium azide Constituents: PBS, 40% Glycerol (glycerin, glycerine)
Shipped at conditions
Blue Ice
Appropriate short-term storage duration
1-2 weeks
Appropriate short-term storage conditions
+4°C
Appropriate long-term storage conditions
-20°C
Aliquoting information
Upon delivery aliquot
Storage information
Avoid freeze / thaw cycle

Supplementary information

This supplementary information is collated from multiple sources and compiled automatically.

The biological target 'RED' or Receptor Erythropoietic Differentiation is a protein involved in cellular processes. It is also known by alternate names such as EpoR (Erythropoietin Receptor). This protein weighs approximately 65 kDa. RED is primarily expressed in erythroid progenitor cells in bone marrow with additional expression observed in some non-erythroid tissues including the brain and kidney.
Biological function summary

RED functions as an important regulator in erythropoiesis which involves the production of red blood cells. It forms a receptor complex with Janus Kinase 2 (JAK2) a non-receptor tyrosine kinase. When EPO or erythropoietin binds to RED it triggers dimerization and autophosphorylation of JAK2 initiating signal transduction cascades that promote cell survival and proliferation. Through this mechanism RED maintains oxygen homeostasis by regulating red blood cell counts.

Pathways

There are two significant pathways that involve RED. The JAK-STAT pathway is a major component of RED's function as it is activated upon EPO binding. This pathway leads to the transcription of genes that promote erythroid cell development and survival. Additionally RED relates to the PI3K-Akt pathway which influences cell cycle progression and apoptosis prevention. Proteins such as STAT5 and PI3K interact with RED in these pathways enhancing its regulatory roles.

RED is associated with anemia and polycythemia. Anemia can occur due to insufficient RED function leading to reduced red blood cell production and subsequently low oxygen delivery to tissues. Alternatively dysregulation in RED activity might contribute to polycythemia where excessive red blood cell production can occur. Within these contexts proteins like JAK2 and PI3K play a significant role in the disease mechanisms often serving as therapeutic targets or diagnostic indicators.

Product protocols

For this product, it's our understanding that no specific protocols are required. You can visit:

Target data

Involved in pre-mRNA splicing as a component of the spliceosome (PubMed : 28781166). Auxiliary spliceosomal protein that regulates selection of alternative splice sites in a small set of target pre-mRNA species (Probable). Required for normal mitotic cell cycle progression (PubMed : 22351768, PubMed : 24252166). Recruits MAD1L1 and MAD2L1 to kinetochores, and is required to trigger the spindle assembly checkpoint (PubMed : 22351768). Required for normal accumulation of SMU1 (PubMed : 24945353).. (Microbial infection) Required, together with SMU1, for normal splicing of influenza A virus NS1 pre-mRNA, which is required for the production of the exportin NS2 and for the production of influenza A virus particles. Not required for the production of VSV virus particles.
See full target information IK

Publications (1)

Recent publications for all applications. Explore the full list and refine your search

Neuroendocrinology 112:510-522 PubMed34348341

2021

Alternative Lengthening of Telomeres Phenotype Predicts Progression Risk in Noninsulinomas in a Chinese Cohort.

Applications

Unspecified application

Species

Unspecified reactive species

Xinchao Ban,Shengwei Mo,Zhaohui Lu,Congwei Jia,Huilin Shao,Jie Yan,Xiaoyan Chang,Xinxin Mao,Yan Wu,Yue Zhang,Xiaojie Fan,Shuangni Yu,Jie Chen
View all publications

Product promise

We are committed to supporting your work with high-quality reagents, and we're here for you every step of the way. In the unlikely event that one of our products does not perform as expected, you're protected by our Product Promise.
For full details, please see our Terms & Conditions

Please note: All products are 'FOR RESEARCH USE ONLY. NOT FOR USE IN DIAGNOSTIC OR THERAPEUTIC PROCEDURES'.

For licensing inquiries, please contact partnerships@abcam.com