JavaScript is disabled in your browser. Please enable JavaScript to view this website.
AB290649

Anti-RED1 antibody [EPR25433-101] - BSA and Azide free

Be the first to review this product! Submit a review

|

(0 Publication)

Rabbit Recombinant Monoclonal RED1 antibody. Carrier free. Suitable for ICC/IF, WB, IHC-P, Flow Cyt (Intra) and reacts with Mouse, Human, Rat samples.

View Alternative Names

ADAR2, DRADA2, RED1, ADARB1, Double-stranded RNA-specific editase 1, RNA-editing deaminase 1, RNA-editing enzyme 1, dsRNA adenosine deaminase

11 Images
Immunohistochemistry (Formalin/PFA-fixed paraffin-embedded sections) - Anti-RED1 antibody [EPR25433-101] - BSA and Azide free (AB290649)
  • IHC-P

Supplier Data

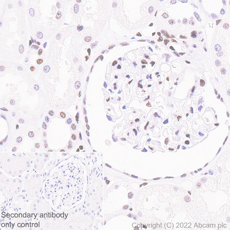
Immunohistochemistry (Formalin/PFA-fixed paraffin-embedded sections) - Anti-RED1 antibody [EPR25433-101] - BSA and Azide free (AB290649)

This data was developed using ab290638, the same antibody clone in a different buffer formulation.

Immunohistochemical analysis of paraffin-embedded Human kidney tissue labelling RED1 with ab290638 at 1/500 (1.206 μg/ml) followed by a ready to use LeicaDS9800 (BOND™ Polymer Refine Detection) . Nuclear staining on human kidney. The section was incubated with ab290638 for 30 mins at room temperature.The immunostaining was performed on a Leica Biosystems BOND® RX instrument. Counterstained with Hematoxylin.

Secondary antibody only control : Secondary antibody is a ready to use LeicaDS9800 (BOND™ Polymer Refine Detection) .

Heat mediated antigen retrieval with Tris-EDTA buffer (pH 9.0, epitope retrieval solution2) for 20 mins.

Flow Cytometry (Intracellular) - Anti-RED1 antibody [EPR25433-101] - BSA and Azide free (AB290649)
  • Flow Cyt (Intra)

Supplier Data

Flow Cytometry (Intracellular) - Anti-RED1 antibody [EPR25433-101] - BSA and Azide free (AB290649)

This data was developed using ab290638, the same antibody clone in a different buffer formulation.

Intracellular flow cytometric analysis of HeLa (Human cervix adenocarcinoma epithelial cell) cells labelling RED1 with ab290638 at 1/500 dilution (0.1μg) (Red) compared with a Rabbit monoclonal IgG (ab172730) (Black) isotype control and an unlabelled control (cells without incubation with primary antibody and secondary antibody) (Blue). Goat Anti-Rabbit IgG (Alexa Fluor® 488, ab150081) at 1/2000 dilution was used as the secondary antibody.

Immunohistochemistry (Formalin/PFA-fixed paraffin-embedded sections) - Anti-RED1 antibody [EPR25433-101] - BSA and Azide free (AB290649)
  • IHC-P

Supplier Data

Immunohistochemistry (Formalin/PFA-fixed paraffin-embedded sections) - Anti-RED1 antibody [EPR25433-101] - BSA and Azide free (AB290649)

This data was developed using ab290638, the same antibody clone in a different buffer formulation.

Immunohistochemical analysis of paraffin-embedded Human cerebrum tissue labelling RED1 with ab290638 at 1/500 (1.206 μg/ml) followed by a ready to use LeicaDS9800 (BOND™ Polymer Refine Detection) . Nuclear staining on human cerebrum. The section was incubated with ab290638 for 30 mins at room temperature.The immunostaining was performed on a Leica Biosystems BOND® RX instrument. Counterstained with Hematoxylin.

Secondary antibody only control : Secondary antibody is a ready to use LeicaDS9800 (BOND™ Polymer Refine Detection) .

Heat mediated antigen retrieval with Tris-EDTA buffer (pH 9.0, epitope retrieval solution2) for 20 mins.

Immunocytochemistry/ Immunofluorescence - Anti-RED1 antibody [EPR25433-101] - BSA and Azide free (AB290649)
  • ICC/IF

Supplier Data

Immunocytochemistry/ Immunofluorescence - Anti-RED1 antibody [EPR25433-101] - BSA and Azide free (AB290649)

This data was developed using ab290638, the same antibody clone in a different buffer formulation.

Immunofluorescent analysis of 4% Paraformaldehyde-fixed, 0.1% TritonX-100 permeabilized HeLa (human cervix adenocarcinoma epithelial cell) cells labelling RED1 with ab290638 at 1/50 (12.06 μg/ml) dilution, followed by ab150081 Goat Anti-Rabbit IgG H&L (Alexa Fluor® 488) preadsorbed antibody at 1/1000 (2μg/mL) dilution (Green). Confocal image showing nuclear staining in HeLa cell line is observed. ab195889 Anti-alpha Tubulin mouse monoclonal antibody - Microtubule Marker (Alexa Fluor® 594) was used to counterstain tubulin at 1/200 (2.5μg/ml) dilution (Red). The Nuclear counterstain was DAPI (Blue).

Secondary antibody only control : Secondary antibody is ab150081 Goat Anti-Rabbit IgG H&L (Alexa Fluor® 488) preadsorbed at 1/1000 (2μg/mL) dilution.

Immunohistochemistry (Formalin/PFA-fixed paraffin-embedded sections) - Anti-RED1 antibody [EPR25433-101] - BSA and Azide free (AB290649)
  • IHC-P

Supplier Data

Immunohistochemistry (Formalin/PFA-fixed paraffin-embedded sections) - Anti-RED1 antibody [EPR25433-101] - BSA and Azide free (AB290649)

Immunohistochemical analysis of paraffin-embedded Rat cerebrum tissue labelling RED1 with ab290638 at 1/500 (1.206 μg/ml) followed by a ready to use LeicaDS9800 (BOND™ C Polymer Refine Detection) . Nuclear staining on rat cerebrum. The section was incubated with ab290638 for 30 mins at room temperature.The immunostaining was performed on a Leica Biosystems BOND® RX instrument. Counterstained with Hematoxylin.

Secondary antibody only control : Secondary antibody is a ready to use LeicaDS9800 (BOND™ Polymer Refine Detection) .

Heat mediated antigen retrieval with Tris-EDTA buffer (pH 9.0, epitope retrieval solution2) for 20 mins.

Immunohistochemistry (Formalin/PFA-fixed paraffin-embedded sections) - Anti-RED1 antibody [EPR25433-101] - BSA and Azide free (AB290649)
  • IHC-P

Supplier Data

Immunohistochemistry (Formalin/PFA-fixed paraffin-embedded sections) - Anti-RED1 antibody [EPR25433-101] - BSA and Azide free (AB290649)

This data was developed using ab290638, the same antibody clone in a different buffer formulation.

Immunohistochemical analysis of paraffin-embedded Mouse cerebrum tissue labelling RED1 with ab290638 at 1/500 (1.206 μg/ml) followed by a ready to use LeicaDS9800 (BOND™ Polymer Refine Detection) . Nuclear staining on mouse cerebrum. The section was incubated with ab290638 for 30 mins at room temperature.The immunostaining was performed on a Leica Biosystems BOND® RX instrument. Counterstained with Hematoxylin.

Secondary antibody only control : Secondary antibody is a ready to use LeicaDS9800 (BOND™ Polymer Refine Detection) .

Heat mediated antigen retrieval with Tris-EDTA buffer (pH 9.0, epitope retrieval solution2) for 20 mins.

Immunocytochemistry/ Immunofluorescence - Anti-RED1 antibody [EPR25433-101] - BSA and Azide free (AB290649)
  • ICC/IF

Supplier Data

Immunocytochemistry/ Immunofluorescence - Anti-RED1 antibody [EPR25433-101] - BSA and Azide free (AB290649)

This data was developed using ab290638, the same antibody clone in a different buffer formulation.

Immunofluorescent analysis of 4% Paraformaldehyde-fixed, 0.1% TritonX-100 permeabilized NIH/3T3 (mouse embryonic fibroblast adherent) cells labelling RED1 with ab290638 at 1/50 (12.06 μg/ml) dilution, followed by ab150081 Goat Anti-Rabbit IgG H&L (Alexa Fluor® 488) preadsorbed antibody at 1/1000 (2μg/mL) dilution (Green). Confocal image showing nuclear staining in NIH/3T3 cell line is observed. ab195889 Anti-alpha Tubulin mouse monoclonal antibody - Microtubule Marker (Alexa Fluor® 594) was used to counterstain tubulin at 1/200 (2.5μg/ml) dilution (Red). The Nuclear counterstain was DAPI (Blue).

Secondary antibody only control : Secondary antibody is ab150081 Goat Anti-Rabbit IgG H&L (Alexa Fluor® 488) preadsorbed at 1/1000 (2μg/mL) dilution.

Flow Cytometry (Intracellular) - Anti-RED1 antibody [EPR25433-101] - BSA and Azide free (AB290649)
  • Flow Cyt (Intra)

Supplier Data

Flow Cytometry (Intracellular) - Anti-RED1 antibody [EPR25433-101] - BSA and Azide free (AB290649)

This data was developed using ab290638, the same antibody clone in a different buffer formulation.

Intracellular flow cytometric analysis of NIH/3T3 (Mouse embryonic fibroblast) cells labelling RED1 with ab290638 at 1/500 dilution (0.1μg) (Red) compared with a Rabbit monoclonal IgG (ab172730) (Black) isotype control and an unlabelled control (cells without incubation with primary antibody and secondary antibody) (Blue). Goat Anti-Rabbit IgG (Alexa Fluor® 488, ab150081) at 1/2000 dilution was used as the secondary antibody.

Western blot - Anti-RED1 antibody [EPR25433-101] - BSA and Azide free (AB290649)
  • WB

Supplier Data

Western blot - Anti-RED1 antibody [EPR25433-101] - BSA and Azide free (AB290649)

This data was developed using ab290638, the same antibody clone in a different buffer formulation.

Blocking and diluting buffer and concentration was 5% NFDM/TBST.

All lanes:

Western blot - Anti-RED1 antibody [EPR25433-101] (<a href='/en-us/products/primary-antibodies/red1-antibody-epr25433-101-ab290638'>ab290638</a>) at 1/1000 dilution

Lane 1:

HeLa (human cervix adenocarcinoma epithelial cell) whole cell lysate at 20 µg

Lane 2:

HEL (human erythroleukemia erythroblast) whole cell lysate at 20 µg

Lane 3:

NIH/3T3 (mouse embryonic fibroblast) whole cell lysate at 20 µg

Lane 4:

C2C12 ( mouse myoblasts myoblast) whole cell lysate at 20 µg

Secondary

All lanes:

Western blot - Goat Anti-Rabbit IgG H&L (HRP) (<a href='/en-us/products/secondary-antibodies/goat-rabbit-igg-h-l-hrp-ab97051'>ab97051</a>) at 1/100000 dilution

Predicted band size: 81 kDa

Observed band size: 90 kDa

false

Exposure time: 3s

Western blot - Anti-RED1 antibody [EPR25433-101] - BSA and Azide free (AB290649)
  • WB

Supplier Data

Western blot - Anti-RED1 antibody [EPR25433-101] - BSA and Azide free (AB290649)

This data was developed using ab290638, the same antibody clone in a different buffer formulation.

Blocking and diluting buffer and concentration was 5% NFDM/TBST.

The bolts of lanes 1&2 and lanes 3-5 were incubated with Goat Anti-Rabbit IgG (HRP) with minimal cross-reactivity with human IgG (Merck DC03L, 1 : 2000) and Goat Anti-Rabbit IgG, (H+L), Peroxidase conjugated (ab97051, 1 : 100, 000), respectively.

All lanes:

Western blot - Anti-RED1 antibody [EPR25433-101] (<a href='/en-us/products/primary-antibodies/red1-antibody-epr25433-101-ab290638'>ab290638</a>) at 1/1000 dilution

Lane 1:

Human placenta tissue lysate at 20 µg

Lane 2:

Human kidney tissue lysate at 20 µg

Lane 3:

Mouse brain tissue lysate at 20 µg

Lane 4:

Rat brain tissue lysate at 20 µg

Lane 5:

Rat placenta tissue lysate at 20 µg

Secondary

Lanes 1 - 2:

oat Anti-Rabbit IgG (HRP) with minimal cross-reactivity with human IgG (Merck DC03L) at 1/2000 dilution

Lanes 3 - 5:

Western blot - Goat Anti-Rabbit IgG H&L (HRP) (<a href='/en-us/products/secondary-antibodies/goat-rabbit-igg-h-l-hrp-ab97051'>ab97051</a>) at 1/100000 dilution

Predicted band size: 81 kDa

Observed band size: 90 kDa

false

Exposure time: 48s

Western blot - Anti-RED1 antibody [EPR25433-101] - BSA and Azide free (AB290649)
  • WB

Unknown

Western blot - Anti-RED1 antibody [EPR25433-101] - BSA and Azide free (AB290649)

This data was developed using ab290638, the same antibody clone in a different buffer formulation.

Blocking and diluting buffer and concentration was 5% NFDM/TBST.

All lanes:

Western blot - Anti-RED1 antibody [EPR25433-101] (<a href='/en-us/products/primary-antibodies/red1-antibody-epr25433-101-ab290638'>ab290638</a>) at 1/1000 dilution

Lane 1:

HEK-293 (human embryonic kidney) transfected with an empty vector (vector control), containing a myc-His-tag®, whole cell lysate at 20 µg

Lane 2:

HEK-293 transfected with ADARB1(WT) expression vector containing a myc-His-tag®, whole cell lysate at 20 µg

Lane 3:

HEK-293 transfected with ADARB2 (WT) expression vector containing a myc-His-tag®, whole cell lysate at 20 µg

Secondary

All lanes:

Western blot - Goat Anti-Rabbit IgG H&L (HRP) (<a href='/en-us/products/secondary-antibodies/goat-rabbit-igg-h-l-hrp-ab97051'>ab97051</a>) at 1/100000 dilution

Predicted band size: 81 kDa

Observed band size: 90 kDa

false

Exposure time: 3s

Key facts

Host species

Rabbit

Clonality

Monoclonal

Clone number

EPR25433-101

Isotype

IgG

Carrier free

Yes

Reacts with

Human, Mouse, Rat

Applications

ICC/IF, Flow Cyt (Intra), WB, IHC-P

applications

Immunogen

The exact immunogen used to generate this antibody is proprietary information.

Reactivity data

{ "title": "Reactivity Data", "filters": { "stats": ["", "Species", "Dilution Info", "Notes"], "tabs": { "all-applications": {"fullname" : "All Applications", "shortname": "All Applications"}, "ICCIF" : {"fullname" : "Immunocytochemistry/ Immunofluorescence", "shortname":"ICC/IF"}, "IP" : {"fullname" : "Immunoprecipitation", "shortname":"IP"}, "WB" : {"fullname" : "Western blot", "shortname":"WB"}, "IHCP" : {"fullname" : "Immunohistochemistry (Formalin/PFA-fixed paraffin-embedded sections)", "shortname":"IHC-P"}, "FlowCytIntra" : {"fullname" : "Flow Cytometry (Intracellular)", "shortname":"Flow Cyt (Intra)"} }, "product-promise": { "all": "all", "testedAndGuaranteed": "tested", "guaranteed": "expected", "predicted": "predicted", "notRecommended": "not-recommended" } }, "values": { "Human": { "ICCIF-species-checked": "testedAndGuaranteed", "ICCIF-species-dilution-info": "", "ICCIF-species-notes": "<p></p>", "IP-species-checked": "notRecommended", "IP-species-dilution-info": "", "IP-species-notes": "<p></p>", "WB-species-checked": "testedAndGuaranteed", "WB-species-dilution-info": "", "WB-species-notes": "<p></p>", "IHCP-species-checked": "testedAndGuaranteed", "IHCP-species-dilution-info": "", "IHCP-species-notes": "<p></p>", "FlowCytIntra-species-checked": "testedAndGuaranteed", "FlowCytIntra-species-dilution-info": "", "FlowCytIntra-species-notes": "<p></p>" }, "Mouse": { "ICCIF-species-checked": "testedAndGuaranteed", "ICCIF-species-dilution-info": "", "ICCIF-species-notes": "<p></p>", "IP-species-checked": "notRecommended", "IP-species-dilution-info": "", "IP-species-notes": "<p></p>", "WB-species-checked": "testedAndGuaranteed", "WB-species-dilution-info": "", "WB-species-notes": "<p></p>", "IHCP-species-checked": "testedAndGuaranteed", "IHCP-species-dilution-info": "", "IHCP-species-notes": "<p></p>", "FlowCytIntra-species-checked": "testedAndGuaranteed", "FlowCytIntra-species-dilution-info": "", "FlowCytIntra-species-notes": "<p></p>" }, "Rat": { "ICCIF-species-checked": "guaranteed", "ICCIF-species-dilution-info": "", "ICCIF-species-notes": "", "IP-species-checked": "notRecommended", "IP-species-dilution-info": "", "IP-species-notes": "", "WB-species-checked": "testedAndGuaranteed", "WB-species-dilution-info": "", "WB-species-notes": "<p></p>", "IHCP-species-checked": "testedAndGuaranteed", "IHCP-species-dilution-info": "", "IHCP-species-notes": "<p></p>", "FlowCytIntra-species-checked": "guaranteed", "FlowCytIntra-species-dilution-info": "", "FlowCytIntra-species-notes": "" } } }

Product details

ab290649 is a carrier free version of ab290638.

Patented technology
Our RabMAb® technology is a patented hybridoma-based technology for making rabbit monoclonal antibodies. For details on our patents, please refer to RabMAb® patents.

What are the advantages of a recombinant monoclonal antibody?
This product is a recombinant monoclonal antibody, which offers several advantages including:

  • - High batch-to-batch consistency and reproducibility
  • - Improved sensitivity and specificity
  • - Long-term security of supply
  • - Animal-free batch production

For more information, read more on recombinant antibodies.

Conjugation ready
Our carrier-free antibodies are typically supplied in a PBS-only formulation, purified and free of BSA, sodium azide and glycerol. This conjugation-ready format is designed for use with fluorochromes, metal isotopes, oligonucleotides, and enzymes, which makes them ideal for antibody labelling, functional and cell-based assays, flow-based assays (e.g. mass cytometry) and Multiplex Imaging applications.

Use our conjugation kits for antibody conjugates that are ready-to-use in as little as 20 minutes with 1 minute hands-on-time and 100% antibody recovery: available for fluorescent dyes, HRP, biotin and gold.

Properties and storage information

Form
Liquid
Purification technique
Affinity purification Protein A
Storage buffer
pH: 7.2 - 7.4 Constituents: PBS
Shipped at conditions
Blue Ice
Appropriate short-term storage conditions
+4°C
Appropriate long-term storage conditions
+4°C

Supplementary information

This supplementary information is collated from multiple sources and compiled automatically.

RED1 also known as ADARB1 is a protein involved in RNA editing. It weighs approximately 73 kDa. RED1 mainly expresses itself in the central nervous system but also appears in other tissues. This protein modifies RNA molecules by catalyzing the conversion of adenosine to inosine which can alter the coding potential and metabolism of the RNA it acts upon.
Biological function summary

The protein RED1 functions within RNA editing complexes. It co-operates with other proteins like ADAR1 to carry out its editing role. In particular RED1 affects the regulation of gene expression influencing neuronal function and development in the brain. Through its editing capabilities the protein contributes to the diversity and stability of RNA transcripts.

Pathways

RED1 plays a role in neurotransmission and neurodevelopment pathways. It interacts with other editing proteins in the ADAR family to ensure proper RNA sequence modifications critical for brain function. The editing process that RED1 participates in impacts synaptic transmission important for neuronal communication and neural network formation.

The protein RED1 is associated with neurological disorders. Changes in RED1 expression or mutations can link to conditions such as epilepsy and schizophrenia. Aberrations in RNA editing performed by RED1 might lead to the dysfunction of proteins involved in neuronal signaling. It also connects with proteins like ADAR2 influencing the pathological progress of these conditions.

Product protocols

For this product, it's our understanding that no specific protocols are required. You can visit:

Target data

Catalyzes the hydrolytic deamination of adenosine to inosine in double-stranded RNA (dsRNA) referred to as A-to-I RNA editing. This may affect gene expression and function in a number of ways that include mRNA translation by changing codons and hence the amino acid sequence of proteins; pre-mRNA splicing by altering splice site recognition sequences; RNA stability by changing sequences involved in nuclease recognition; genetic stability in the case of RNA virus genomes by changing sequences during viral RNA replication; and RNA structure-dependent activities such as microRNA production or targeting or protein-RNA interactions. Can edit both viral and cellular RNAs and can edit RNAs at multiple sites (hyper-editing) or at specific sites (site-specific editing). Its cellular RNA substrates include : bladder cancer-associated protein (BLCAP), neurotransmitter receptors for glutamate (GRIA2 and GRIK2) and serotonin (HTR2C), GABA receptor (GABRA3) and potassium voltage-gated channel (KCNA1). Site-specific RNA editing of transcripts encoding these proteins results in amino acid substitutions which consequently alter their functional activities. Edits GRIA2 at both the Q/R and R/G sites efficiently but converts the adenosine in hotspot1 much less efficiently. Can exert a proviral effect towards human immunodeficiency virus type 1 (HIV-1) and enhances its replication via both an editing-dependent and editing-independent mechanism. The former involves editing of adenosines in the 5'UTR while the latter occurs via suppression of EIF2AK2/PKR activation and function. Can inhibit cell proliferation and migration and can stimulate exocytosis.. Isoform 1. Has a lower catalytic activity than isoform 2.. Isoform 2. Has a higher catalytic activity than isoform 1.
See full target information ADARB1

Product promise

We are committed to supporting your work with high-quality reagents, and we're here for you every step of the way. In the unlikely event that one of our products does not perform as expected, you're protected by our Product Promise.
For full details, please see our Terms & Conditions

Please note: All products are 'FOR RESEARCH USE ONLY. NOT FOR USE IN DIAGNOSTIC OR THERAPEUTIC PROCEDURES'.

For licensing inquiries, please contact partnerships@abcam.com