JavaScript is disabled in your browser. Please enable JavaScript to view this website.
AB307894

Anti-RED1 + RED2 antibody [EPR26577-102] - BSA and Azide free

Be the first to review this product! Submit a review

|

(0 Publication)

Rabbit Recombinant Monoclonal RED2 antibody. Carrier free. Suitable for WB, IHC-P and reacts with Mouse, Transfected cell lysate - Human samples.

View Alternative Names

Adar3, Red2, Adarb2, Double-stranded RNA-specific editase B2, RNA-dependent adenosine deaminase 3, RNA-editing deaminase 2, RNA-editing enzyme 2, dsRNA adenosine deaminase B2

5 Images
Immunohistochemistry (Formalin/PFA-fixed paraffin-embedded sections) - Anti-RED1 + RED2 antibody [EPR26577-102] - BSA and Azide free (AB307894)
  • IHC-P

Supplier Data

Immunohistochemistry (Formalin/PFA-fixed paraffin-embedded sections) - Anti-RED1 + RED2 antibody [EPR26577-102] - BSA and Azide free (AB307894)

This data was produced using ab307893 the same antibody clone but in a different buffer. Immunohistochemical analysis of paraffin-embedded mouse hippocampus tissue labeling RED2 with ab307893 at 1/2000 dilution (0.268 ug/ml) followed by a ready to use LeicaDS9800 (Bond® Polymer Refine Detection). Positive staining on mouse hippocampus. The section was incubated with ab307893 for 30 mins at room temperature. The immunostaining was performed on a Leica Biosystems BOND® RX instrument. Counterstained with Hematoxylin. Secondary antibody only control : Secondary antibody is a ready to use LeicaDS9800 (Bond® Polymer Refine Detection). Heat mediated antigen retrieval was performed with Tris-EDTA buffer (pH 9.0, Epitope Retrieval Solution2) for 20 mins.

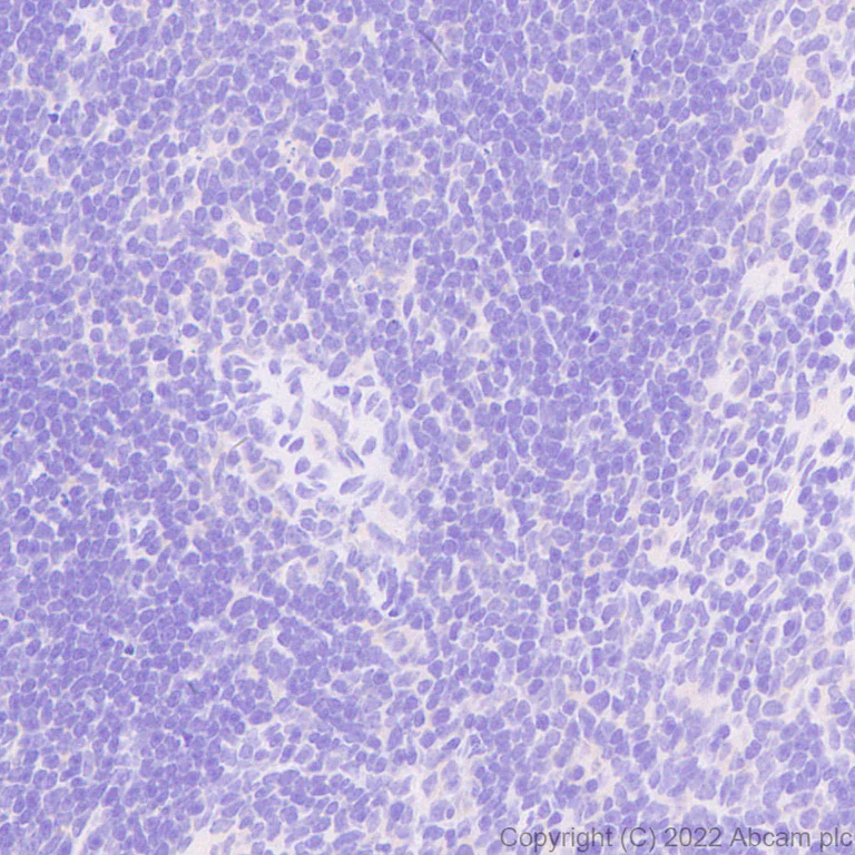
Immunohistochemistry (Formalin/PFA-fixed paraffin-embedded sections) - Anti-RED1 + RED2 antibody [EPR26577-102] - BSA and Azide free (AB307894)
  • IHC-P

Supplier Data

Immunohistochemistry (Formalin/PFA-fixed paraffin-embedded sections) - Anti-RED1 + RED2 antibody [EPR26577-102] - BSA and Azide free (AB307894)

This data was produced using ab307893 the same antibody clone but in a different buffer. Immunohistochemical analysis of paraffin-embedded mouse spleen tissue labeling RED2 with ab307893 at 1/2000 dilution (0.268 ug/ml) followed by a ready to use LeicaDS9800 (Bond® Polymer Refine Detection). Negative control : No staining on mouse spleen. The section was incubated with ab307893 for 30 mins at room temperature. The immunostaining was performed on a Leica Biosystems BOND® RX instrument. Counterstained with Hematoxylin. Secondary antibody only control : Secondary antibody is a ready to use LeicaDS9800 (Bond® Polymer Refine Detection). Heat mediated antigen retrieval was performed with Tris-EDTA buffer (pH 9.0, Epitope Retrieval Solution2) for 20 mins.

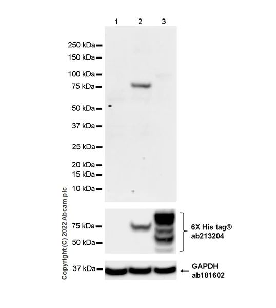
Western blot - Anti-RED1 + RED2 antibody [EPR26577-102] - BSA and Azide free (AB307894)
  • WB

Supplier Data

Western blot - Anti-RED1 + RED2 antibody [EPR26577-102] - BSA and Azide free (AB307894)

This data was produced using ab307893 the same antibody clone but in a different buffer.

Blocking/Dilution buffer : 5% NFDM/TBST.

This blot was developed using a high sensitivity ECL substrate. The high-sensitivity ECL substrate used allows for the detection of proteins in the mid-femtogram range.

This antibody weakly detects RED1 when high levels of recombinant protein of RED1 is over-loaded in Western Blot. Please apply the antibody with an optimized dilution.

In Western blot, anti-His antibody (ab213204) staining at 1/5000 dilution.

In Western blot, anti-GAPDH antibody (ab181602) loading control staining at 1/200000 dilution.

All lanes:

Western blot - Anti-RED1 + RED2 antibody [EPR26577-102] (<a href='/en-us/products/primary-antibodies/red1-red2-antibody-epr26577-102-ab307893'>ab307893</a>) at 1/1000 dilution

Lane 1:

293T cells transfected with an empty vector containing a his tag whole cell lysate at 20 µg

Lane 2:

293T cells transfected with a human RED2 expression vector containing a his tag whole cell lysate at 20 µg

Lane 3:

293T cells transfected with a human RED1 expression vector containing a his tag whole cell lysate at 4 µg

Secondary

All lanes:

Western blot - Goat Anti-Rabbit IgG H&L (HRP) (<a href='/en-us/products/secondary-antibodies/goat-rabbit-igg-h-l-hrp-ab97051'>ab97051</a>) at 1/100000 dilution

true

Exposure time: 59s

Western blot - Anti-RED1 + RED2 antibody [EPR26577-102] - BSA and Azide free (AB307894)
  • WB

Supplier Data

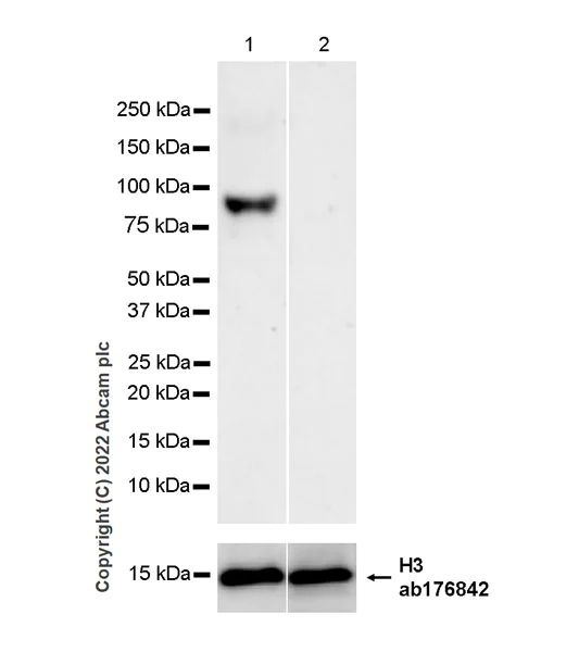
Western blot - Anti-RED1 + RED2 antibody [EPR26577-102] - BSA and Azide free (AB307894)

This data was produced using ab307893 the same antibody clone but in a different buffer. Blocking/Dilution buffer : 5% NFDM/TBST. Negative control : spleen (PMID : 31355950). In Western blot, anti-H3 antibody (ab176842) loading control staining at 1/100000 dilution. Exposure time : 103 seconds.

All lanes:

Western blot - Anti-RED1 + RED2 antibody [EPR26577-102] (<a href='/en-us/products/primary-antibodies/red1-red2-antibody-epr26577-102-ab307893'>ab307893</a>) at 1/1000 dilution

Lane 1:

Mouse cerebral cortex tissue lysate at 20 µg

Lane 2:

Mouse spleen tissue lysate at 20 µg

Secondary

All lanes:

Western blot - Goat Anti-Rabbit IgG H&L (HRP) (<a href='/en-us/products/secondary-antibodies/goat-rabbit-igg-h-l-hrp-ab97051'>ab97051</a>) at 1/20000 dilution

Predicted band size: 81 kDa

Observed band size: 80 kDa

false

Exposure time: 103s

Western blot - Anti-RED1 + RED2 antibody [EPR26577-102] - BSA and Azide free (AB307894)
  • WB

Lab

Western blot - Anti-RED1 + RED2 antibody [EPR26577-102] - BSA and Azide free (AB307894)

This data was produced using ab307893 the same antibody clone but in a different buffer. Blocking/Diluting buffer and concentration : 5% NFDM/TBST

Lanes 1 - 3:

Western blot - Anti-RED1 + RED2 antibody [EPR26577-102] (<a href='/en-us/products/primary-antibodies/red1-red2-antibody-epr26577-102-ab307893'>ab307893</a>) at 1/1000 dilution

Lanes 1 - 3:

Western blot - Anti-RED1 + RED2 antibody [EPR26577-102] - BSA and Azide free (ab307894)

Lane 1:

293T (Human embryonic kidney epithelial cell) +OE-empty at 20 µg

Lane 2:

293T (Human embryonic kidney epithelial cell) +OE-mouse RED2 at 20 µg

Lane 3:

293T (Human embryonic kidney epithelial cell) +OE-mouse RED1 at 20 µg

Secondary

All lanes:

Western blot - Goat Anti-Rabbit IgG H&L (HRP) (<a href='/en-us/products/secondary-antibodies/goat-rabbit-igg-h-l-hrp-ab97051'>ab97051</a>) at 1/20000 dilution

Observed band size: 80 kDa

false

Exposure time: 10s

Key facts

Host species

Rabbit

Clonality

Monoclonal

Clone number

EPR26577-102

Isotype

IgG

Carrier free

Yes

Reacts with

Mouse

Applications

IHC-P, WB

applications

Immunogen

The exact immunogen used to generate this antibody is proprietary information.

Reactivity data

{ "title": "Reactivity Data", "filters": { "stats": ["", "Species", "Dilution Info", "Notes"], "tabs": { "all-applications": {"fullname" : "All Applications", "shortname": "All Applications"}, "WB" : {"fullname" : "Western blot", "shortname":"WB"}, "IHCP" : {"fullname" : "Immunohistochemistry (Formalin/PFA-fixed paraffin-embedded sections)", "shortname":"IHC-P"}, "ICCIF" : {"fullname" : "Immunocytochemistry/ Immunofluorescence", "shortname":"ICC/IF"}, "FlowCyt" : {"fullname" : "Flow Cytometry", "shortname":"Flow Cyt"}, "IP" : {"fullname" : "Immunoprecipitation", "shortname":"IP"} }, "product-promise": { "all": "all", "testedAndGuaranteed": "tested", "guaranteed": "expected", "predicted": "predicted", "notRecommended": "not-recommended" } }, "values": { "Human": { "WB-species-checked": "notRecommended", "WB-species-dilution-info": "", "WB-species-notes": "<p></p>", "IHCP-species-checked": "notRecommended", "IHCP-species-dilution-info": "", "IHCP-species-notes": "<p></p>", "ICCIF-species-checked": "notRecommended", "ICCIF-species-dilution-info": "", "ICCIF-species-notes": "", "FlowCyt-species-checked": "notRecommended", "FlowCyt-species-dilution-info": "", "FlowCyt-species-notes": "", "IP-species-checked": "notRecommended", "IP-species-dilution-info": "", "IP-species-notes": "" }, "Mouse": { "WB-species-checked": "testedAndGuaranteed", "WB-species-dilution-info": "", "WB-species-notes": "<p></p>", "IHCP-species-checked": "testedAndGuaranteed", "IHCP-species-dilution-info": "", "IHCP-species-notes": "<p></p>", "ICCIF-species-checked": "notRecommended", "ICCIF-species-dilution-info": "", "ICCIF-species-notes": "<p></p>", "FlowCyt-species-checked": "notRecommended", "FlowCyt-species-dilution-info": "", "FlowCyt-species-notes": "<p></p>", "IP-species-checked": "notRecommended", "IP-species-dilution-info": "", "IP-species-notes": "<p></p>" }, "Rat": { "WB-species-checked": "notRecommended", "WB-species-dilution-info": "", "WB-species-notes": "<p></p>", "IHCP-species-checked": "notRecommended", "IHCP-species-dilution-info": "", "IHCP-species-notes": "<p></p>", "ICCIF-species-checked": "notRecommended", "ICCIF-species-dilution-info": "", "ICCIF-species-notes": "", "FlowCyt-species-checked": "notRecommended", "FlowCyt-species-dilution-info": "", "FlowCyt-species-notes": "", "IP-species-checked": "notRecommended", "IP-species-dilution-info": "", "IP-species-notes": "" }, "Transfected cell lysate - Human": { "WB-species-checked": "testedAndGuaranteed", "WB-species-dilution-info": "", "WB-species-notes": "<p></p>", "IHCP-species-checked": "notRecommended", "IHCP-species-dilution-info": "", "IHCP-species-notes": "", "ICCIF-species-checked": "notRecommended", "ICCIF-species-dilution-info": "", "ICCIF-species-notes": "", "FlowCyt-species-checked": "notRecommended", "FlowCyt-species-dilution-info": "", "FlowCyt-species-notes": "", "IP-species-checked": "notRecommended", "IP-species-dilution-info": "", "IP-species-notes": "" } } }

Product details

Patented technology
Our RabMAb® technology is a patented hybridoma-based technology for making rabbit monoclonal antibodies. For details on our patents, please refer to RabMAb® patents.

What are the advantages of a recombinant monoclonal antibody?
This product is a recombinant monoclonal antibody, which offers several advantages including:

  • - High batch-to-batch consistency and reproducibility
  • - Improved sensitivity and specificity
  • - Long-term security of supply
  • - Animal-free batch production

For more information, read more on recombinant antibodies.

Conjugation ready
Our carrier-free antibodies are typically supplied in a PBS-only formulation, purified and free of BSA, sodium azide and glycerol. This conjugation-ready format is designed for use with fluorochromes, metal isotopes, oligonucleotides, and enzymes, which makes them ideal for antibody labelling, functional and cell-based assays, flow-based assays (e.g. mass cytometry) and Multiplex Imaging applications.

Use our conjugation kits for antibody conjugates that are ready-to-use in as little as 20 minutes with 1 minute hands-on-time and 100% antibody recovery: available for fluorescent dyes, HRP, biotin and gold.

Compatibility
This product is compatible with the Maxpar® Antibody Labeling Kit from Fluidigm, without the need for antibody preparation. Maxpar® is a trademark of Fluidigm Canada Inc.

Properties and storage information

Form
Liquid
Purification technique
Affinity purification Protein A
Storage buffer
pH: 7.2 - 7.4 Constituents: PBS
Shipped at conditions
Blue Ice
Appropriate short-term storage conditions
+4°C
Appropriate long-term storage conditions
+4°C

Supplementary information

This supplementary information is collated from multiple sources and compiled automatically.

RED1 and RED2 also known as RNA editing proteins are involved in the post-transcriptional modification of RNA molecules. RED1 has a molecular mass of approximately 60 kDa while RED2 weighs around 62 kDa. Both proteins are expressed in various tissues notably in the brain and liver where they function in RNA editing processes. These proteins participate actively in the editing of adenosine to inosine within RNA a critical step in processing RNA molecules for proper function.
Biological function summary

RED1 and RED2 play key roles in the regulation of gene expression by influencing the maturation and stability of RNA transcripts. Both proteins are integral components of the RNA editing complex working with other editing enzymes to make precise modifications. Through their activity they affect the function and diversity of proteins encoded by the modified RNA impacting cellular mRNA landscapes and influencing coding potential.

Pathways

RED1 and RED2 are significant contributors within the RNA-related regulatory pathways. Their editing activities are important in the RNA editing pathway impacting neuronal signaling and immune response pathways. These proteins interact with ADAR enzymes which help facilitate the conversion of adenosine to inosine in double-stranded RNA regions ensuring correct RNA sequence processing and function.

RED1 and RED2 have associations with neurodegenerative diseases and certain cancers. Aberrant RNA editing patterns involving these proteins are linked to Alzheimer's disease where disrupted RNA splicing and regulation occur. Furthermore cancerous growths often show altered expression of RED1 and RED2 connecting them to dysregulated cellular proliferation. These proteins interact with other key regulatory proteins like ADAR1 which also influences similar pathological pathways in these conditions.

Product protocols

For this product, it's our understanding that no specific protocols are required. You can visit:

Target data

Lacks editing activity. It prevents the binding of other ADAR enzymes to targets in vitro, and decreases the efficiency of these enzymes. Capable of binding to dsRNA but also to ssRNA (By similarity).
See full target information Adarb2

Additional targets

ADARB1

Product promise

We are committed to supporting your work with high-quality reagents, and we're here for you every step of the way. In the unlikely event that one of our products does not perform as expected, you're protected by our Product Promise.
For full details, please see our Terms & Conditions

Please note: All products are 'FOR RESEARCH USE ONLY. NOT FOR USE IN DIAGNOSTIC OR THERAPEUTIC PROCEDURES'.

For licensing inquiries, please contact partnerships@abcam.com