JavaScript is disabled in your browser. Please enable JavaScript to view this website.
AB312310

Anti-Reelin antibody [EPR26278-30]

  • BOND RX™ Validated
  • 20ul selling size
  • RabMAb
  • Recombinant
  • What is this?

Be the first to review this product! Submit a review

|

(3 Publications)

Anti-Reelin antibody [EPR26278-30] (ab312310) is a rabbit monoclonal antibody detecting Reelin in Western Blot, Flow Cytometry (Intra), Flow Cytometry, IHC-P, IHC-Fr, ICC/IF. Suitable for Human, Mouse, Rat.

- Biophysical QC for unrivalled batch-batch consistency

View Alternative Names

Reelin, RELN

15 Images
Immunohistochemistry (Formalin/PFA-fixed paraffin-embedded sections) - Anti-Reelin antibody [EPR26278-30] (AB312310)
  • IHC-P

Supplier Data

Immunohistochemistry (Formalin/PFA-fixed paraffin-embedded sections) - Anti-Reelin antibody [EPR26278-30] (AB312310)

Immunohistochemical analysis of paraffin-embedded Human cerebrum tissue labeling Reelin with ab312310 at 1/500 (1.03 ug/ml) followed by a ready to use LeicaDS9800 (Bond™ Polymer Refine Detection). Cytoplasmic staining on a subset of neurons on human cerebrum (PMID : 9861036).The section was incubated with ab312310 for 30 mins at room temperature.The immunostaining was performed on a Leica Biosystems BOND® RX instrument Counterstained with Hematoxylin. Secondary antibody only control : Secondary antibody is a ready to use LeicaDS9800 (Bond™ Polymer Refine Detection). Heat mediated antigen retrieval was performed with Tris-EDTA buffer (pH 9.0, Epitope Retrieval Solution2) for 20 mins

Immunohistochemistry (Frozen sections) - Anti-Reelin antibody [EPR26278-30] (AB312310)
  • IHC-Fr

Supplier Data

Immunohistochemistry (Frozen sections) - Anti-Reelin antibody [EPR26278-30] (AB312310)

Immunohistochemical analysis of 4% PFA-fixed, 0.2% Triton X-100 permeabilized frozen Rat skeletal muscle (fresh) tissue labeling Reelin with ab312310 at 1/100 (5.15 ug/ml) dilution followed by ab150081 Goat Anti-Rabbit IgG H&L (Alexa Fluor® 488) preadsorbed at 1/1000 2 ug/mL dilution (Green). Negative control : confocal image showing no staining on rat skeletal muscle. The nuclear counterstain was DAPI (Blue). The section was incubated with ab312310 for 60 mins at room temperature. The section was then mounted using Fluoromount®.The immunostaining was performed on a Leica Biosystems BOND® RX instrument. Image was taken with a confocal microscope (Leica-Microsystems, TCS SP8). is observed. The nuclear counterstain was DAPI (Blue). Secondary antibody control : Secondary antibody is ab150081 Goat Anti-Rabbit IgG H&L (Alexa Fluor® 488) preadsorbedat 1/1000 2 ug/mL dilution.

Immunohistochemistry (Formalin/PFA-fixed paraffin-embedded sections) - Anti-Reelin antibody [EPR26278-30] (AB312310)
  • IHC-P

Supplier Data

Immunohistochemistry (Formalin/PFA-fixed paraffin-embedded sections) - Anti-Reelin antibody [EPR26278-30] (AB312310)

Immunohistochemical analysis of paraffin-embedded Mouse skeletal muscl tissue labeling Reelin with ab312310 at 1/2000 (0.258 ug/ml) followed by a ready to use LeicaDS9800 (Bond™ Polymer Refine Detection). Negative control : No staining on mouse skeletal muscle.The section was incubated with ab312310 for 30 mins at room temperature.The immunostaining was performed on a Leica Biosystems BOND® RX instrument Counterstained with Hematoxylin. Secondary antibody only control : Secondary antibody is a ready to use LeicaDS9800 (Bond™ Polymer Refine Detection). Heat mediated antigen retrieval was performed with Tris-EDTA buffer (pH 9.0, Epitope Retrieval Solution2) for 20 mins

Immunohistochemistry (Formalin/PFA-fixed paraffin-embedded sections) - Anti-Reelin antibody [EPR26278-30] (AB312310)
  • IHC-P

Supplier Data

Immunohistochemistry (Formalin/PFA-fixed paraffin-embedded sections) - Anti-Reelin antibody [EPR26278-30] (AB312310)

Immunohistochemical analysis of paraffin-embedded Rat liver tissue labeling Reelin with ab312310 at 1/2000 (0.258 ug/ml) followed by a ready to use LeicaDS9800 (Bond™ Polymer Refine Detection). Cytoplasmic staining on rat liver hepatic stellate cells.The section was incubated with ab312310 for 30 mins at room temperature.The immunostaining was performed on a Leica Biosystems BOND® RX instrument Counterstained with Hematoxylin. Secondary antibody only control : Secondary antibody is a ready to use LeicaDS9800 (Bond™ Polymer Refine Detection). Heat mediated antigen retrieval was performed with Tris-EDTA buffer (pH 9.0, Epitope Retrieval Solution2) for 20 mins

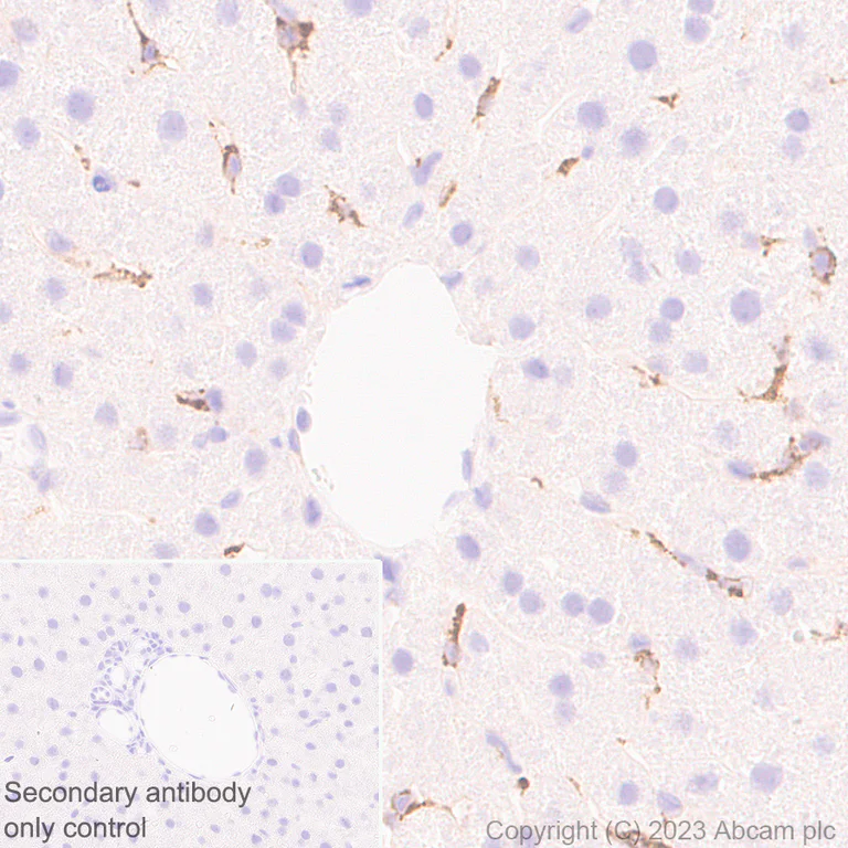
Immunohistochemistry (Formalin/PFA-fixed paraffin-embedded sections) - Anti-Reelin antibody [EPR26278-30] (AB312310)
  • IHC-P

Supplier Data

Immunohistochemistry (Formalin/PFA-fixed paraffin-embedded sections) - Anti-Reelin antibody [EPR26278-30] (AB312310)

Immunohistochemical analysis of paraffin-embedded Mouse liver tissue labeling Reelin with ab312310 at 1/2000 (0.258 ug/ml) followed by a ready to use LeicaDS9800 (Bond™ Polymer Refine Detection). Cytoplasmic staining on mouse liver hepatic stellate cells.The section was incubated with ab312310 for 30 mins at room temperature.The immunostaining was performed on a Leica Biosystems BOND® RX instrument Counterstained with Hematoxylin. Secondary antibody only control : Secondary antibody is a ready to use LeicaDS9800 (Bond™ Polymer Refine Detection). Heat mediated antigen retrieval was performed with Tris-EDTA buffer (pH 9.0, Epitope Retrieval Solution2) for 20 mins

Immunohistochemistry (Formalin/PFA-fixed paraffin-embedded sections) - Anti-Reelin antibody [EPR26278-30] (AB312310)
  • IHC-P

Supplier Data

Immunohistochemistry (Formalin/PFA-fixed paraffin-embedded sections) - Anti-Reelin antibody [EPR26278-30] (AB312310)

Immunohistochemical analysis of paraffin-embedded Mouse cerebrum tissue labeling Reelin with ab312310 at 1/2000 (0.258 ug/ml) followed by a ready to use LeicaDS9800 (Bond™ Polymer Refine Detection). Cytoplasmic staining on a subset of neurons on mouse cerebrum (PMID : 20610758).The section was incubated with ab312310 for 30 mins at room temperature.The immunostaining was performed on a Leica Biosystems BOND® RX instrument Counterstained with Hematoxylin. Secondary antibody only control : Secondary antibody is a ready to use LeicaDS9800 (Bond™ Polymer Refine Detection). Heat mediated antigen retrieval was performed with Tris-EDTA buffer (pH 9.0, Epitope Retrieval Solution2) for 20 mins

Immunohistochemistry (Formalin/PFA-fixed paraffin-embedded sections) - Anti-Reelin antibody [EPR26278-30] (AB312310)
  • IHC-P

Supplier Data

Immunohistochemistry (Formalin/PFA-fixed paraffin-embedded sections) - Anti-Reelin antibody [EPR26278-30] (AB312310)

Immunohistochemical analysis of paraffin-embedded Rat cerebrum tissue labeling Reelin with ab312310 at 1/2000 (0.258 ug/ml) followed by a ready to use LeicaDS9800 (Bond™ Polymer Refine Detection). Cytoplasmic staining on a subset of neurons on rat cerebrum (PMID : 9501244).The section was incubated with ab312310 for 30 mins at room temperature.The immunostaining was performed on a Leica Biosystems BOND® RX instrument Counterstained with Hematoxylin. Secondary antibody only control : Secondary antibody is a ready to use LeicaDS9800 (Bond™ Polymer Refine Detection). Heat mediated antigen retrieval was performed with Tris-EDTA buffer (pH 9.0, Epitope Retrieval Solution2) for 20 mins

Immunohistochemistry (Frozen sections) - Anti-Reelin antibody [EPR26278-30] (AB312310)
  • IHC-Fr

Supplier Data

Immunohistochemistry (Frozen sections) - Anti-Reelin antibody [EPR26278-30] (AB312310)

Immunohistochemical analysis of 4% PFA-fixed, 0.2% Triton X-100 permeabilized frozen Mouse p0 hippocampus (fresh) tissue labeling Reelin with ab312310 at 1/100 (5.15 ug/ml) dilution followed by ab150081 Goat Anti-Rabbit IgG H&L (Alexa Fluor® 488) preadsorbed at 1/1000 2 ug/mL dilution (Green). Confocal image showing positive staining on mouse p0 hippocampus. The nuclear counterstain was DAPI (Blue). The section was incubated with ab312310 for 60 mins at room temperature. The section was then mounted using Fluoromount®.The immunostaining was performed on a Leica Biosystems BOND® RX instrument. Image was taken with a confocal microscope (Leica-Microsystems, TCS SP8). is observed. The nuclear counterstain was DAPI (Blue). Secondary antibody control : Secondary antibody is ab150081 Goat Anti-Rabbit IgG H&L (Alexa Fluor® 488) preadsorbedat 1/1000 2 ug/mL dilution.

Immunocytochemistry/ Immunofluorescence - Anti-Reelin antibody [EPR26278-30] (AB312310)
  • ICC/IF

Supplier Data

Immunocytochemistry/ Immunofluorescence - Anti-Reelin antibody [EPR26278-30] (AB312310)

Immunofluorescent analysis of 4% Paraformaldehyde-fixed, 0.1% TritonX-100 permeabilized Mouse hippocampus primary neuron cells labelling Reelin with ab312310 at 1/50 (10.3 ug/ml) dilution, followed by ab150081 Goat Anti-Rabbit IgG H&L (Alexa Fluor® 488) preadsorbed antibody at 1/1000 2 ug/ml dilution (Green). Confocal image showing cytoplasmic staining in mouse hippocampus primary neuron.Confocal scanning Z step was set as 0.3 ?m followed by image processing with maximum Z projectionImage was taken with a confocal microscope(Leica-Microsystems, TCS SP8). is observed. ab11267 Anti-MAP2 mouse monoclonal antibody was used to counterstain tubulin at 1/500 4ug/ml dilution (Red). The Nuclear counterstain was DAPI (Blue). Secondary antibody only control : Secondary antibody is ab150081 Goat Anti-Rabbit IgG H&L (Alexa Fluor® 488) preadsorbed at 1/1000 2 ug/ml dilution.

Immunohistochemistry (Frozen sections) - Anti-Reelin antibody [EPR26278-30] (AB312310)
  • IHC-Fr

Supplier Data

Immunohistochemistry (Frozen sections) - Anti-Reelin antibody [EPR26278-30] (AB312310)

Immunohistochemical analysis of 4% PFA-fixed, 0.2% Triton X-100 permeabilized frozen Rat p0 hippocampus (fresh) tissue labeling Reelin with ab312310 at 1/100 (5.15 ug/ml) dilution followed by ab150081 Goat Anti-Rabbit IgG H&L (Alexa Fluor® 488) preadsorbed at 1/1000 2 ug/mL dilution (Green). Confocal image showing positive staining on rat p0 hippocampus. The nuclear counterstain was DAPI (Blue). The section was incubated with ab312310 for 60 mins at room temperature. The section was then mounted using Fluoromount®.The immunostaining was performed on a Leica Biosystems BOND® RX instrument. Image was taken with a confocal microscope (Leica-Microsystems, TCS SP8). is observed. The nuclear counterstain was DAPI (Blue). Secondary antibody control : Secondary antibody is ab150081 Goat Anti-Rabbit IgG H&L (Alexa Fluor® 488) preadsorbedat 1/1000 2 ug/mL dilution.

Flow Cytometry (Intracellular) - Anti-Reelin antibody [EPR26278-30] (AB312310)
  • Flow Cyt (Intra)

Supplier Data

Flow Cytometry (Intracellular) - Anti-Reelin antibody [EPR26278-30] (AB312310)

Flow cytometric analysis of 4% paraformaldehyde fixed 90% methanol permeabilized rat hippocampal neuron cells labelling Reelin with ab312310 at 1/50 dilution (1 ug)/Red (Red) compared with a Rabbit monoclonal IgG (ab172730) / Left isotype control and an unlabelled control (cells without incubation with primary antibody and secondary antibody) (Blue). A Goat Anti-Rabbit IgG (Alexa Fluor® 488, ab150081) at 1/5000 dilution was used as the secondary antibody.

Flow Cytometry (Intracellular) - Anti-Reelin antibody [EPR26278-30] (AB312310)
  • Flow Cyt (Intra)

Supplier Data

Flow Cytometry (Intracellular) - Anti-Reelin antibody [EPR26278-30] (AB312310)

Flow cytometric analysis of 4% paraformaldehyde fixed 90% methanol permeabilized mouse cortex primary neuron cells labelling Reelin with ab312310 at 1/50 dilution (1 ug)/Red (Red) compared with a Rabbit monoclonal IgG (ab172730) / Left isotype control and an unlabelled control (cells without incubation with primary antibody and secondary antibody) (Blue). A Goat Anti-Rabbit IgG (Alexa Fluor® 488, ab150081) at 1/5000 dilution was used as the secondary antibody.

Immunohistochemistry (Frozen sections) - Anti-Reelin antibody [EPR26278-30] (AB312310)
  • IHC-Fr

Supplier Data

Immunohistochemistry (Frozen sections) - Anti-Reelin antibody [EPR26278-30] (AB312310)

Immunohistochemical analysis of 4% PFA-fixed, 0.2% Triton X-100 permeabilized frozen Mouse skeletal muscle (fresh) tissue labeling Reelin with ab312310 at 1/100 (5.15 ug/ml) dilution followed by ab150081 Goat Anti-Rabbit IgG H&L (Alexa Fluor® 488) preadsorbed at 1/1000 2 ug/mL dilution (Green). Negative control : confocal image showing no staining on mouse skeletal muscle. The nuclear counterstain was DAPI (Blue). The section was incubated with ab312310 for 60 mins at room temperature. The section was then mounted using Fluoromount®.The immunostaining was performed on a Leica Biosystems BOND® RX instrument. Image was taken with a confocal microscope (Leica-Microsystems, TCS SP8). is observed. The nuclear counterstain was DAPI (Blue). Secondary antibody control : Secondary antibody is ab150081 Goat Anti-Rabbit IgG H&L (Alexa Fluor® 488) preadsorbedat 1/1000 2 ug/mL dilution.

Western blot - Anti-Reelin antibody [EPR26278-30] (AB312310)
  • WB

Supplier Data

Western blot - Anti-Reelin antibody [EPR26278-30] (AB312310)

Blocking and diluting buffer and concentration : 5% NFDM/TBST Negative control : U-937; skeletal muscle. In Western blot, anti- Vinculin antibody (ab129002) loading control staining at 1/10000 dilution. Exposure time : 103 seconds

All lanes:

Western blot - Anti-Reelin antibody [EPR26278-30] (ab312310) at 1/1000 dilution

Lane 1:

HepG2 (human hepatocellar carcinoma epithelial cell) whole cell lysate 20 at 20 µg

Lane 2:

U-937 (human histiocytic lymphoma monocyte) whole cell lysate at 20 µg

Lane 3:

C6 (rat glial tumor glial cell) whole cell lysate at 40 µg

Lane 4:

Mouse P0 hippocampus tissue lysate at 20 µg

Lane 5:

Mouse skeletal muscle tissue lysate at 20 µg

Secondary

All lanes:

Western blot - Goat Anti-Rabbit IgG H&L (HRP) (<a href='/en-us/products/secondary-antibodies/goat-rabbit-igg-h-l-hrp-ab97051'>ab97051</a>) at 1/20000 dilution

Observed band size: 420 kDa

false

Exposure time: 103s

Western blot - Anti-Reelin antibody [EPR26278-30] (AB312310)
  • WB

Supplier Data

Western blot - Anti-Reelin antibody [EPR26278-30] (AB312310)

Blocking and diluting buffer and concentration : 5% NFDM/TBST Negative control : skeletal muscle. In Western blot, anti- Vinculin antibody (ab129002) loading control staining at 1/10000 dilution. Exposure time : 37 seconds

All lanes:

Western blot - Anti-Reelin antibody [EPR26278-30] (ab312310) at 1/1000 dilution

Lane 1:

Rat cerebellum tissue lysate at 20 µg

Lane 2:

Rat hippocampus tissue lysate at 20 µg

Lane 3:

Rat skeletal muscle tissue lysate at 20 µg

Secondary

All lanes:

Western blot - Goat Anti-Rabbit IgG H&L (HRP) (<a href='/en-us/products/secondary-antibodies/goat-rabbit-igg-h-l-hrp-ab97051'>ab97051</a>) at 1/20000 dilution

Observed band size: 420 kDa

false

Exposure time: 37s

  • Carrier free

    Anti-Reelin antibody [EPR26278-30] - BSA and Azide free

Key facts

Host species

Rabbit

Clonality

Monoclonal

Clone number

EPR26278-30

Isotype

IgG

Carrier free

No

Reacts with

Mouse, Human, Rat

Applications

WB, ICC/IF, Flow Cyt (Intra), IHC-P, IHC-Fr

applications

Immunogen

The exact immunogen used to generate this antibody is proprietary information.

Reactivity data

{ "title": "Reactivity Data", "filters": { "stats": ["", "Species", "Dilution Info", "Notes"], "tabs": { "all-applications": {"fullname" : "All Applications", "shortname": "All Applications"}, "WB" : {"fullname" : "Western blot", "shortname":"WB"}, "IHCP" : {"fullname" : "Immunohistochemistry (Formalin/PFA-fixed paraffin-embedded sections)", "shortname":"IHC-P"}, "IHCFr" : {"fullname" : "Immunohistochemistry (Frozen sections)", "shortname":"IHC-Fr"}, "FlowCytIntra" : {"fullname" : "Flow Cytometry (Intracellular)", "shortname":"Flow Cyt (Intra)"}, "ICCIF" : {"fullname" : "Immunocytochemistry/ Immunofluorescence", "shortname":"ICC/IF"}, "IP" : {"fullname" : "Immunoprecipitation", "shortname":"IP"} }, "product-promise": { "all": "all", "testedAndGuaranteed": "tested", "guaranteed": "expected", "predicted": "predicted", "notRecommended": "not-recommended" } }, "values": { "Human": { "WB-species-checked": "testedAndGuaranteed", "WB-species-dilution-info": "1/1000", "WB-species-notes": "<p>0.515 ug/ml</p>", "IHCP-species-checked": "testedAndGuaranteed", "IHCP-species-dilution-info": "1/500", "IHCP-species-notes": "<p></p> Perform heat-mediated antigen retrieval with Tris/EDTA buffer pH 9.0 before commencing with IHC staining protocol.", "IHCFr-species-checked": "guaranteed", "IHCFr-species-dilution-info": "", "IHCFr-species-notes": "", "FlowCytIntra-species-checked": "notRecommended", "FlowCytIntra-species-dilution-info": "", "FlowCytIntra-species-notes": "<p></p>", "ICCIF-species-checked": "notRecommended", "ICCIF-species-dilution-info": "", "ICCIF-species-notes": "<p></p>", "IP-species-checked": "notRecommended", "IP-species-dilution-info": "", "IP-species-notes": "<p></p>" }, "Mouse": { "WB-species-checked": "testedAndGuaranteed", "WB-species-dilution-info": "1/1000", "WB-species-notes": "<p>0.515 ug/ml</p>", "IHCP-species-checked": "testedAndGuaranteed", "IHCP-species-dilution-info": "1/500", "IHCP-species-notes": "<p></p> Perform heat-mediated antigen retrieval with Tris/EDTA buffer pH 9.0 before commencing with IHC staining protocol.", "IHCFr-species-checked": "testedAndGuaranteed", "IHCFr-species-dilution-info": "1/100", "IHCFr-species-notes": "<p></p>", "FlowCytIntra-species-checked": "testedAndGuaranteed", "FlowCytIntra-species-dilution-info": "1/50", "FlowCytIntra-species-notes": "<p></p>", "ICCIF-species-checked": "testedAndGuaranteed", "ICCIF-species-dilution-info": "1/50", "ICCIF-species-notes": "<p></p>", "IP-species-checked": "notRecommended", "IP-species-dilution-info": "", "IP-species-notes": "" }, "Rat": { "WB-species-checked": "testedAndGuaranteed", "WB-species-dilution-info": "1/1000", "WB-species-notes": "<p>0.515 ug/ml</p>", "IHCP-species-checked": "testedAndGuaranteed", "IHCP-species-dilution-info": "1/500", "IHCP-species-notes": "<p></p> Perform heat-mediated antigen retrieval with Tris/EDTA buffer pH 9.0 before commencing with IHC staining protocol.", "IHCFr-species-checked": "testedAndGuaranteed", "IHCFr-species-dilution-info": "1/100", "IHCFr-species-notes": "<p></p>", "FlowCytIntra-species-checked": "testedAndGuaranteed", "FlowCytIntra-species-dilution-info": "1/50", "FlowCytIntra-species-notes": "<p></p>", "ICCIF-species-checked": "notRecommended", "ICCIF-species-dilution-info": "", "ICCIF-species-notes": "<p></p>", "IP-species-checked": "notRecommended", "IP-species-dilution-info": "", "IP-species-notes": "" } } }

Product details

What is this antibody validated in?
Anti-Reelin antibody [EPR26278-30] (ab312310) is a rabbit recombinant monoclonal antibody and is validated for use in Western Blot (WB), Flow Cytometry (Intra), Flow Cytometry (Flow Cyt), Immunohistochemistry (IHC-P), Immunohistochemistry (IHC-Fr), Immunocytochemistry/immunofluorescence (ICC/IF) in Human, Mouse, Rat samples.

What is the molecular weight of Reelin?
Anti-Reelin [EPR26278-30] (ab312310) specifically detects a band for Reelin (UniProt: P78509) at a molecular weight of 388kDa.

Trial sizes available!
Test your antibody or perform pre-screening before committing to a larger quantity. Sold in 10µl. Discover our selection of trial-size antibodies.

Other related products
We have a range of other formats of antibody clone [EPR26278-30] also available for your convenience: ab312310, Carrier free - ab312311

Patented technology
Our RabMAb® technology is a patented hybridoma-based technology for making rabbit monoclonal antibodies. For details on our patents, please refer to RabMAb® patents.

What are the advantages of a recombinant monoclonal antibody?
This product is a recombinant monoclonal antibody, which offers several advantages including:

  • - High batch-to-batch consistency and reproducibility
  • - Improved sensitivity and specificity
  • - Long-term security of supply
  • - Animal-free batch production

For more information, read more on recombinant antibodies.

Properties and storage information

Form
Liquid
Purification technique
Affinity purification Protein A
Storage buffer
pH: 7.2 - 7.4 Preservative: 0.01% Sodium azide Constituents: PBS, 40% Glycerol (glycerin, glycerine), 0.05% BSA
Shipped at conditions
Blue Ice
Appropriate short-term storage duration
1-2 weeks
Appropriate short-term storage conditions
+4°C
Appropriate long-term storage conditions
-20°C
Aliquoting information
Upon delivery aliquot
Storage information
Avoid freeze / thaw cycle

Supplementary information

This supplementary information is collated from multiple sources and compiled automatically.

Reelin a large glycoprotein with a mass of approximately 388 kDa plays an integral role in brain development and function. Known for its presence in the extracellular matrix it is frequently referred to as RELN protein. Reelin is predominantly expressed in the brain especially in regions such as the cerebral cortex hippocampus and cerebellum. Its expression is highly regulated suggesting its importance in neurological processes.
Biological function summary

Reelin functions in the regulation of neuronal migration and positioning in the developing brain. Acting as a signaling molecule it forms part of a larger complex essential for proper neuronal layering and synaptic plasticity. Reelin interacts with various receptors on the cell surface initiating a cascade of intracellular signaling that influences cell orientation and dendritic growth.

Pathways

Reelin engages both the Reelin signaling pathway and the PI3K-Akt pathway highlighting its diverse influence on cellular processes. In the Reelin signaling pathway it associates with proteins like Dab1 and VLDLR playing an important role in the modulation of tyrosine kinases. This association affects neuronal structures by guiding their architectural development while interactions with the PI3K-Akt pathway impact cell survival and growth.

Reelin has been implicated in conditions such as lissencephaly and autism spectrum disorders. Altered Reelin signaling may contribute to the abnormal neuronal migration seen in these diseases. Moreover its interplay with other proteins like ApoE which modifies brain structure and function in these disorders highlights Reelin's relevance in maintaining neurological health.

Product protocols

For this product, it's our understanding that no specific protocols are required. You can visit:

Target data

Extracellular matrix serine protease secreted by pioneer neurons that plays a role in layering of neurons in the cerebral cortex and cerebellum by coordinating cell positioning during neurodevelopment. Regulates microtubule function in neurons and neuronal migration. Binding to the extracellular domains of lipoprotein receptors VLDLR and LRP8/APOER2 induces tyrosine phosphorylation of DAB1 and modulation of TAU phosphorylation. Affects migration of sympathetic preganglionic neurons in the spinal cord, where it seems to act as a barrier to neuronal migration. Enzymatic activity is important for the modulation of cell adhesion.
See full target information RELN

Publications (3)

Recent publications for all applications. Explore the full list and refine your search

Molecular neurodegeneration 20:103 PubMed41035073

2025

Molecular hallmarks of excitatory and inhibitory neuronal resilience to Alzheimer's disease.

Applications

Unspecified application

Species

Unspecified reactive species

Isabel Castanho,Pourya Naderi Yeganeh,Carles A Boix,Sarah L Morgan,Hansruedi Mathys,Dmitry Prokopenko,Bartholomew White,Larisa M Soto,Giulia Pegoraro,Saloni Shah,Athanasios Ploumakis,Nikolas Kalavros,David A Bennett,Christoph Lange,Doo Yeon Kim,Lars Bertram,Li-Huei Tsai,Manolis Kellis,Rudolph E Tanzi,Winston Hide

Nature communications 16:5082 PubMed40450008

2025

Single-nucleus and spatial signatures of the brainstem in normal brain and mild traumatic brain injury in male mice.

Applications

Unspecified application

Species

Unspecified reactive species

Yuan Zhuang,Xixian Liao,Fei Niu,Ming Li,Yu Yan,Chuanhang He,Xiang Wu,Runfa Tian,Guoyi Gao

eNeuro 11: PubMed38834299

2024

Inflammatory Response and Defects on Myelin Integrity in the Olfactory System of K18hACE2 Mice Infected with SARS-CoV-2.

Applications

Unspecified application

Species

Unspecified reactive species

Eduardo Martin-Lopez,Bowen Brennan,Tianyang Mao,Natalie Spence,Sarah J Meller,Kimberly Han,Nawal Yahiaoui,Chelsea Wang,Akiko Iwasaki,Charles A Greer
View all publications

Product promise

We are committed to supporting your work with high-quality reagents, and we're here for you every step of the way. In the unlikely event that one of our products does not perform as expected, you're protected by our Product Promise.
For full details, please see our Terms & Conditions

Please note: All products are 'FOR RESEARCH USE ONLY. NOT FOR USE IN DIAGNOSTIC OR THERAPEUTIC PROCEDURES'.

For licensing inquiries, please contact partnerships@abcam.com