JavaScript is disabled in your browser. Please enable JavaScript to view this website.
AB78540

Anti-Reelin antibody [G10]

5

(4 Reviews)

|

(44 Publications)

Anti-Reelin antibody [G10] (ab78540) is a mouse monoclonal antibody detecting Reelin in Western Blot. Suitable for Human, Mouse, Rat.

- Over 30 publications
- Trusted since 2009

View Alternative Names

Reelin, RELN

4 Images
Immunohistochemistry (PFA fixed) - Anti-Reelin antibody [G10] (AB78540)
  • IHC (PFA fixed)

Unknown

Immunohistochemistry (PFA fixed) - Anti-Reelin antibody [G10] (AB78540)

ab78540, at 1/1000 dilution staining Reelin in embryonic cerebral cortex at 15 days in utero, with the pial surface above and the ventricle below. The positive zone is the Cajal-Retzius cell layer in the marginal zone.

This image was generated using the ascites version of the product.

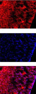
Immunohistochemistry (PFA fixed) - Anti-Reelin antibody [G10] (AB78540)
  • IHC (PFA fixed)

Unknown

Immunohistochemistry (PFA fixed) - Anti-Reelin antibody [G10] (AB78540)

Immunolocalization of Reelin (red) in the cortex of e14.5 mouse CNS using ab78540 at 1/1000 dilution. The blue stain is Hoechst nuclear counter stain.

This image was generated using the ascites version of the product.

Western blot - Anti-Reelin antibody [G10] (AB78540)
  • WB

Unknown

Western blot - Anti-Reelin antibody [G10] (AB78540)

This image was generated using the ascites version of the product.

All lanes:

Western blot - Anti-Reelin antibody [G10] (ab78540) at 1/500 dilution

Lane 1:

Rat brain lysate

Lane 2:

Mouse brain membrane lysate

Secondary

All lanes:

Goat anti-mouse secondary antibody conjugated to HRP

Predicted band size: 388 kDa

Observed band size: 140 kDa,388 kDa

false

Western blot - Anti-Reelin antibody [G10] (AB78540)
  • WB

Unknown

Western blot - Anti-Reelin antibody [G10] (AB78540)

This image was generated using the ascites version of the product.

All lanes:

Western blot - Anti-Reelin antibody [G10] (ab78540) at 1/500 dilution

All lanes:

Rat brain lysate at 10 µg

Secondary

All lanes:

Goat anti-mouse secondary antibody conjugated to HRP

Predicted band size: 388 kDa

Observed band size: 388 kDa

false

Key facts

Host species

Mouse

Clonality

Monoclonal

Clone number

G10

Isotype

IgG1

Light chain type

kappa

Carrier free

No

Reacts with

Mouse, Rat, Human

Applications

IHC (PFA fixed), WB

applications

Immunogen

Recombinant Fragment Protein within Mouse Reln aa 150-500. The exact immunogen used to generate this antibody is proprietary information.

Q60841

Reactivity data

{ "title": "Reactivity Data", "filters": { "stats": ["", "Species", "Dilution Info", "Notes"], "tabs": { "all-applications": {"fullname" : "All Applications", "shortname": "All Applications"}, "WB" : {"fullname" : "Western blot", "shortname":"WB"}, "IHCPFAfixed" : {"fullname" : "Immunohistochemistry (PFA fixed)", "shortname":"IHC (PFA fixed)"} }, "product-promise": { "all": "all", "testedAndGuaranteed": "tested", "guaranteed": "expected", "predicted": "predicted", "notRecommended": "not-recommended" } }, "values": { "Human": { "WB-species-checked": "guaranteed", "WB-species-dilution-info": "", "WB-species-notes": "", "IHCPFAfixed-species-checked": "testedAndGuaranteed", "IHCPFAfixed-species-dilution-info": "", "IHCPFAfixed-species-notes": "<p></p>" }, "Mouse": { "WB-species-checked": "testedAndGuaranteed", "WB-species-dilution-info": "", "WB-species-notes": "<p></p>", "IHCPFAfixed-species-checked": "testedAndGuaranteed", "IHCPFAfixed-species-dilution-info": "", "IHCPFAfixed-species-notes": "<p></p>" }, "Rat": { "WB-species-checked": "testedAndGuaranteed", "WB-species-dilution-info": "", "WB-species-notes": "<p></p>", "IHCPFAfixed-species-checked": "guaranteed", "IHCPFAfixed-species-dilution-info": "", "IHCPFAfixed-species-notes": "" } } }

Product details

What is this antibody validated in?
Anti-Reelin antibody [G10] (ab78540) is a mouse monoclonal antibody and is validated for use in Western Blot (WB) in Human, Mouse, Rat samples.

What is the molecular weight of Reelin?
Anti-Reelin [G10] (ab78540) specifically detects a band for Reelin (UniProt: Q60841) at a molecular weight of 388kDa.

Trusted by the scientific community
Anti-Reelin [G10] (ab78540) was first used in a scientific publication in 2009 and has been cited over 30 times in peer-reviewed journals.

Properties and storage information

Form
Liquid
Purity
Tissue culture supernatant
Purification notes
Purified from TCS.
Storage buffer
Preservative: 0.1% Sodium azide Constituents: 1.45% Sodium chloride, 0.242% Tris
Shipped at conditions
Blue Ice
Appropriate short-term storage duration
1-2 weeks
Appropriate short-term storage conditions
+4°C
Appropriate long-term storage conditions
-20°C
Storage information
Avoid freeze / thaw cycle

Supplementary information

This supplementary information is collated from multiple sources and compiled automatically.

Reelin a large glycoprotein with a mass of approximately 388 kDa plays an integral role in brain development and function. Known for its presence in the extracellular matrix it is frequently referred to as RELN protein. Reelin is predominantly expressed in the brain especially in regions such as the cerebral cortex hippocampus and cerebellum. Its expression is highly regulated suggesting its importance in neurological processes.
Biological function summary

Reelin functions in the regulation of neuronal migration and positioning in the developing brain. Acting as a signaling molecule it forms part of a larger complex essential for proper neuronal layering and synaptic plasticity. Reelin interacts with various receptors on the cell surface initiating a cascade of intracellular signaling that influences cell orientation and dendritic growth.

Pathways

Reelin engages both the Reelin signaling pathway and the PI3K-Akt pathway highlighting its diverse influence on cellular processes. In the Reelin signaling pathway it associates with proteins like Dab1 and VLDLR playing an important role in the modulation of tyrosine kinases. This association affects neuronal structures by guiding their architectural development while interactions with the PI3K-Akt pathway impact cell survival and growth.

Reelin has been implicated in conditions such as lissencephaly and autism spectrum disorders. Altered Reelin signaling may contribute to the abnormal neuronal migration seen in these diseases. Moreover its interplay with other proteins like ApoE which modifies brain structure and function in these disorders highlights Reelin’s relevance in maintaining neurological health.

Product protocols

For this product, it's our understanding that no specific protocols are required. You can visit:

Target data

Extracellular matrix serine protease secreted by pioneer neurons that plays a role in layering of neurons in the cerebral cortex and cerebellum by coordinating cell positioning during neurodevelopment. Regulates microtubule function in neurons and neuronal migration. Binding to the extracellular domains of lipoprotein receptors VLDLR and LRP8/APOER2 induces tyrosine phosphorylation of DAB1 and modulation of TAU phosphorylation. Affects migration of sympathetic preganglionic neurons in the spinal cord, where it seems to act as a barrier to neuronal migration. Enzymatic activity is important for the modulation of cell adhesion.
See full target information RELN

Publications (44)

Recent publications for all applications. Explore the full list and refine your search

PLoS genetics 20:e1011428 PubMed39405291

2024

Loss of PHF6 causes spontaneous seizures, enlarged brain ventricles and altered transcription in the cortex of a mouse model of the Börjeson-Forssman-Lehmann intellectual disability syndrome.

Applications

Unspecified application

Species

Unspecified reactive species

Helen M McRae,Melody P Y Leong,Maria I Bergamasco,Alexandra L Garnham,Yifang Hu,Mark A Corbett,Lachlan Whitehead,Farrah El-Saafin,Bilal N Sheikh,Stephen Wilcox,Anthony J Hannan,Jozef Gécz,Gordon K Smyth,Tim Thomas,Anne K Voss

Science advances 10:eadj9305 PubMed38569042

2024

An in vitro neurogenetics platform for precision disease modeling in the mouse.

Applications

Unspecified application

Species

Unspecified reactive species

Daniel E Cortes,Mélanie Escudero,Austin C Korgan,Arojit Mitra,Alyssa Edwards,Selcan C Aydin,Steven C Munger,Kevin Charland,Zhong-Wei Zhang,Kristen M S O'Connell,Laura G Reinholdt,Martin F Pera

Nature communications 15:1457 PubMed38368457

2024

A consistent map in the medial entorhinal cortex supports spatial memory.

Applications

Unspecified application

Species

Unspecified reactive species

Taylor J Malone,Nai-Wen Tien,Yan Ma,Lian Cui,Shangru Lyu,Garret Wang,Duc Nguyen,Kai Zhang,Maxym V Myroshnychenko,Jean Tyan,Joshua A Gordon,David A Kupferschmidt,Yi Gu

Development (Cambridge, England) 151: PubMed38095282

2023

Postnatal persistence of hippocampal Cajal-Retzius cells has a crucial role in the establishment of the hippocampal circuit.

Applications

Unspecified application

Species

Unspecified reactive species

Ingvild Lynneberg Glærum,Keagan Dunville,Kristian Moan,Maike Krause,Nicola Pietro Montaldo,Hinako Kirikae,Maximiliano Jose Nigro,Pål Sætrom,Barbara van Loon,Giulia Quattrocolo

eNeuro 10: PubMed37775311

2023

A Versatile Strategy for Genetic Manipulation of Cajal-Retzius Cells in the Adult Mouse Hippocampus.

Applications

Unspecified application

Species

Unspecified reactive species

Rebekah van Bruggen,Zain H Patel,Mi Wang,Terry R Suk,Maxime W C Rousseaux,Qiumin Tan

Nature cell biology 25:1506-1519 PubMed37783795

2023

Crosstalk between small-cell lung cancer cells and astrocytes mimics brain development to promote brain metastasis.

Applications

Unspecified application

Species

Unspecified reactive species

Fangfei Qu,Siqi C Brough,Wojciech Michno,Chioma J Madubata,Griffin G Hartmann,Alyssa Puno,Alexandros P Drainas,Debadrita Bhattacharya,Erwin Tomasich,Myung Chang Lee,Dian Yang,Jun Kim,Maria Peiris-Pagès,Kathryn L Simpson,Caroline Dive,Matthias Preusser,Angus Toland,Christina Kong,Millie Das,Monte M Winslow,Anca M Pasca,Julien Sage

The Journal of neuroscience : the official journal of the Society for Neuroscience 43:1310-1320 PubMed36717228

2023

Postsynaptic NMDA Receptor Expression Is Required for Visual Corticocollicular Projection Refinement in the Mouse Superior Colliculus.

Applications

Unspecified application

Species

Unspecified reactive species

Kristy O Johnson,Leeor Harel,Jason W Triplett

Developmental neurobiology 82:565-580 PubMed36067402

2022

The cortical hem lacks stem cell potential despite expressing SOX9 and HOPX.

Applications

Unspecified application

Species

Unspecified reactive species

Alessia Caramello,Christophe Galichet,Miriam Llorian Sopena,Robin Lovell-Badge,Karine Rizzoti

Nature neuroscience 25:1163-1178 PubMed36042312

2022

Aberrant astrocyte protein secretion contributes to altered neuronal development in multiple models of neurodevelopmental disorders.

Applications

Unspecified application

Species

Unspecified reactive species

Alison L M Caldwell,Laura Sancho,James Deng,Alexandra Bosworth,Audrey Miglietta,Jolene K Diedrich,Maxim N Shokhirev,Nicola J Allen

The Journal of physiology 600:4001-4017 PubMed35876215

2022

Long-term potentiation in neurogliaform interneurons modulates excitation-inhibition balance in the temporoammonic pathway.

Applications

Unspecified application

Species

Unspecified reactive species

Marion S Mercier,Vincent Magloire,Jonathan H Cornford,Dimitri M Kullmann
View all publications

Product promise

We are committed to supporting your work with high-quality reagents, and we're here for you every step of the way. In the unlikely event that one of our products does not perform as expected, you're protected by our Product Promise.
For full details, please see our Terms & Conditions

Please note: All products are 'FOR RESEARCH USE ONLY. NOT FOR USE IN DIAGNOSTIC OR THERAPEUTIC PROCEDURES'.

For licensing inquiries, please contact partnerships@abcam.com