JavaScript is disabled in your browser. Please enable JavaScript to view this website.
AB230026

Anti-REEP1 antibody

Be the first to review this product! Submit a review

|

(2 Publications)

Rabbit Polyclonal REEP1 antibody. Suitable for WB, IHC-P and reacts with Mouse, Human samples. Cited in 2 publications. Immunogen corresponding to Recombinant Fragment Protein within Human REEP1 aa 100 to C-terminus.

View Alternative Names

C2orf23, SPG31, REEP1, Receptor expression-enhancing protein 1, Spastic paraplegia 31 protein

3 Images
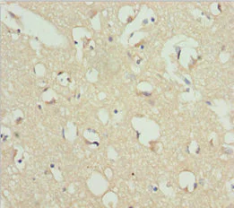
Immunohistochemistry (Formalin/PFA-fixed paraffin-embedded sections) - Anti-REEP1 antibody (AB230026)
  • IHC-P

Supplier Data

Immunohistochemistry (Formalin/PFA-fixed paraffin-embedded sections) - Anti-REEP1 antibody (AB230026)

Paraffin-embedded human brain tissue stained for REEP1 with ab230026 at 1/100 dilution in immunohistochemical analysis.

Immunohistochemistry (Formalin/PFA-fixed paraffin-embedded sections) - Anti-REEP1 antibody (AB230026)
  • IHC-P

Supplier Data

Immunohistochemistry (Formalin/PFA-fixed paraffin-embedded sections) - Anti-REEP1 antibody (AB230026)

Paraffin-embedded human testis tissue stained for REEP1 with ab230026 at 1/100 dilution in immunohistochemical analysis.

Western blot - Anti-REEP1 antibody (AB230026)
  • WB

Supplier Data

Western blot - Anti-REEP1 antibody (AB230026)

All lanes:

Western blot - Anti-REEP1 antibody (ab230026) at 1/1000 dilution

All lanes:

Mouse gonadal tissue lysate

Secondary

All lanes:

Goat polyclonal to rabbit IgG at 1/10000 dilution

Predicted band size: 22 kDa

Observed band size: 22 kDa,80 kDa

true

Key facts

Host species

Rabbit

Clonality

Polyclonal

Isotype

IgG

Carrier free

No

Reacts with

Mouse, Human

Applications

WB, IHC-P

applications

Immunogen

Recombinant Fragment Protein within Human REEP1 aa 100 to C-terminus. The exact immunogen used to generate this antibody is proprietary information.

Q9H902

Reactivity data

{ "title": "Reactivity Data", "filters": { "stats": ["", "Species", "Dilution Info", "Notes"], "tabs": { "all-applications": {"fullname" : "All Applications", "shortname": "All Applications"}, "WB" : {"fullname" : "Western blot", "shortname":"WB"}, "IHCP" : {"fullname" : "Immunohistochemistry (Formalin/PFA-fixed paraffin-embedded sections)", "shortname":"IHC-P"} }, "product-promise": { "all": "all", "testedAndGuaranteed": "tested", "guaranteed": "expected", "predicted": "predicted", "notRecommended": "not-recommended" } }, "values": { "Human": { "WB-species-checked": "guaranteed", "WB-species-dilution-info": "", "WB-species-notes": "", "IHCP-species-checked": "testedAndGuaranteed", "IHCP-species-dilution-info": "1/20 - 1/200", "IHCP-species-notes": "<p></p>" }, "Mouse": { "WB-species-checked": "testedAndGuaranteed", "WB-species-dilution-info": "1/1000 - 1/5000", "WB-species-notes": "<p></p>", "IHCP-species-checked": "guaranteed", "IHCP-species-dilution-info": "", "IHCP-species-notes": "" } } }

Properties and storage information

Form
Liquid
Purification technique
Affinity purification Immunogen
Storage buffer
pH: 7.3 Preservative: 0.02% Sodium azide Constituents: PBS, 50% Glycerol (glycerin, glycerine)
Shipped at conditions
Blue Ice
Appropriate short-term storage duration
1-2 weeks
Appropriate short-term storage conditions
+4°C
Appropriate long-term storage conditions
-20°C
Aliquoting information
Upon delivery aliquot
Storage information
Avoid freeze / thaw cycle

Supplementary information

This supplementary information is collated from multiple sources and compiled automatically.

REEP1 also known as Receptor Expression Enhancing Protein 1 is a protein with a mass of approximately 22.4 kDa. It plays a mechanical role in the modulation and shaping of the endoplasmic reticulum (ER) membrane. REEP1 is expressed in multiple tissues particularly in the nervous system where it contributes to the maintenance of ER morphology.
Biological function summary

The protein facilitates the trafficking of receptors and other proteins to the cell surface. REEP1 interacts as part of a complex with other ER-shaping proteins like atlastin and reticulon. It ensures efficient transport and proper function of specific proteins maintaining cellular homeostasis by assisting in the organization of the ER network.

Pathways

The protein plays a role in the ER-associated degradation (ERAD) pathway and the unfolded protein response (UPR). It has interactions with proteins such as atlastin-1 and spastin which are involved in ER dynamics and intracellular transport processes. These interactions are critical for cellular adaptation to stress and the refolding or disposal of misfolded proteins.

Mutations in REEP1 have been linked to hereditary spastic paraplegia (HSP) highlighting its role in neuronal function. The disorder involves progressive lower limb spasticity due to degeneration of the corticospinal tracts. REEP1 interacts with atlastin-1 a protein also linked to HSP forming a network important for maintaining neuronal integrity. Dysfunctional pathways involving REEP1 contribute to the pathology of these neurodegenerative conditions.

Product protocols

For this product, it's our understanding that no specific protocols are required. You can visit:

Target data

Required for endoplasmic reticulum (ER) network formation, shaping and remodeling; it links ER tubules to the cytoskeleton. May also enhance the cell surface expression of odorant receptors (PubMed : 20200447). May play a role in long-term axonal maintenance (PubMed : 24478229).
See full target information REEP1

Publications (2)

Recent publications for all applications. Explore the full list and refine your search

Stem cell research 77:103378 PubMed38479332

2024

Generation of homozygous and heterozygous REEP1 knockout induced pluripotent stem cell lines by CRISPR/Cas9 gene editing.

Applications

Unspecified application

Species

Unspecified reactive species

M Korneck,A Leonhardt,L Schöls,S Hauser

Cell death & disease 12:42 PubMed33414446

2021

TRIB2 modulates proteasome function to reduce ubiquitin stability and protect liver cancer cells against oxidative stress.

Applications

Unspecified application

Species

Unspecified reactive species

Susu Guo,Yuxin Chen,Yueyue Yang,Xiao Zhang,Lifang Ma,Xiangfei Xue,Yongxia Qiao,Jiayi Wang
View all publications

Product promise

We are committed to supporting your work with high-quality reagents, and we're here for you every step of the way. In the unlikely event that one of our products does not perform as expected, you're protected by our Product Promise.
For full details, please see our Terms & Conditions

Please note: All products are 'FOR RESEARCH USE ONLY. NOT FOR USE IN DIAGNOSTIC OR THERAPEUTIC PROCEDURES'.

For licensing inquiries, please contact partnerships@abcam.com