JavaScript is disabled in your browser. Please enable JavaScript to view this website.
AB323859

Anti-Ref2P antibody [EPR28159-511]

Be the first to review this product! Submit a review

|

(0 Publication)

Rabbit Recombinant Monoclonal REF2P antibody. Suitable for WB and reacts with Drosophila melanogaster samples.

View Alternative Names

CG10360, ref(2)P, Protein ref(2)P, Refractory to sigma P

2 Images
Western blot - Anti-Ref2P antibody [EPR28159-511] (AB323859)
  • WB

Supplier Data

Western blot - Anti-Ref2P antibody [EPR28159-511] (AB323859)

Blocking and diluting buffer and concentration : 5% NFDM/TBST.

The expression of Ref2P is upregulated in response to reducing Atg8a (PMID : 18347073).

Loading control : Anti-Actin antibody [EPR16769] (ab179467) 1 : 5000 (42Kda).

All lanes:

Western blot - Anti-Ref2P antibody [EPR28159-511] (ab323859) at 1/1000 dilution

Lane 1:

SL2 (Drosophila melanogaster embryo epithelial cell) transfected with scrambled siRNA control whole cell lysate at 20 µg

Lane 2:

SL2 transfected with siRNA specifically targeting Atg8a whole cell lysate at 20 µg

Secondary

All lanes:

Western blot - Goat Anti-Rabbit IgG H&L (HRP) (<a href='/en-us/products/secondary-antibodies/goat-rabbit-igg-h-l-hrp-ab97051'>ab97051</a>) at 1/100000 dilution

Observed band size: 110 kDa,42 kDa

false

Exposure time: 180s

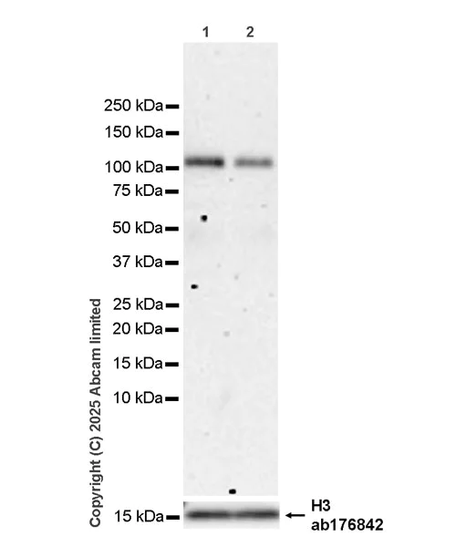
Western blot - Anti-Ref2P antibody [EPR28159-511] (AB323859)
  • WB

Supplier Data

Western blot - Anti-Ref2P antibody [EPR28159-511] (AB323859)

Blocking and diluting buffer and concentration : 5% NFDM/TBST.

Loading control : Anti-Histone H3 antibody [EPR16987] - Nuclear Marker and ChIP Grade (ab176842) 1 : 100000 (15Kda).

All lanes:

Western blot - Anti-Ref2P antibody [EPR28159-511] (ab323859) at 1/1000 dilution

Lane 1:

SL2 (Drosophila melanogaster embryo epithelial cell) transfected with scrambled siRNA control whole cell lysate at 20 µg

Lane 2:

SL2 transfected with siRNA specifically targeting Ref2P whole cell lysate at 20 µg

Secondary

All lanes:

Western blot - Goat Anti-Rabbit IgG H&L (HRP) (<a href='/en-us/products/secondary-antibodies/goat-rabbit-igg-h-l-hrp-ab97051'>ab97051</a>) at 1/100000 dilution

Observed band size: 110 kDa,15 kDa

false

Exposure time: 180s

Key facts

Host species

Rabbit

Clonality

Monoclonal

Clone number

EPR28159-511

Isotype

IgG

Carrier free

No

Reacts with

Drosophila melanogaster

Applications

WB

applications

Immunogen

The exact immunogen used to generate this antibody is proprietary information.

Reactivity data

{ "title": "Reactivity Data", "filters": { "stats": ["", "Species", "Dilution Info", "Notes"], "tabs": { "all-applications": {"fullname" : "All Applications", "shortname": "All Applications"}, "WB" : {"fullname" : "Western blot", "shortname":"WB"} }, "product-promise": { "all": "all", "testedAndGuaranteed": "tested", "guaranteed": "expected", "predicted": "predicted", "notRecommended": "not-recommended" } }, "values": { "Drosophila melanogaster": { "WB-species-checked": "testedAndGuaranteed", "WB-species-dilution-info": "1/1000", "WB-species-notes": "<p></p>" } } }

Product details

Patented technology
Our RabMAb® technology is a patented hybridoma-based technology for making rabbit monoclonal antibodies. For details on our patents, please refer to RabMAb® patents.

What are the advantages of a recombinant monoclonal antibody?
This product is a recombinant monoclonal antibody, which offers several advantages including:

  • - High batch-to-batch consistency and reproducibility
  • - Improved sensitivity and specificity
  • - Long-term security of supply
  • - Animal-free batch production

For more information, read more on recombinant antibodies.

Properties and storage information

Form
Liquid
Purification technique
Affinity purification Protein A
Storage buffer
pH: 7.2 - 7.4 Preservative: 0.01% Sodium azide Constituents: PBS, 40% Glycerol (glycerin, glycerine), 0.05% BSA
Shipped at conditions
Blue Ice
Appropriate short-term storage duration
1-2 weeks
Appropriate short-term storage conditions
+4°C
Appropriate long-term storage conditions
-20°C
Aliquoting information
Upon delivery aliquot
Storage information
Avoid freeze / thaw cycle

Product protocols

For this product, it's our understanding that no specific protocols are required. You can visit:

Target data

Required for selective autophagy activation by ubiquitinated proteins (PubMed : 22622177). Implicated in sigma rhabdovirus multiplication and necessary for male fertility. Involved in activating transcription of Drs (PubMed : 12446795, PubMed : 2510997).
See full target information ref(2)P

Product promise

We are committed to supporting your work with high-quality reagents, and we're here for you every step of the way. In the unlikely event that one of our products does not perform as expected, you're protected by our Product Promise.
For full details, please see our Terms & Conditions

Please note: All products are 'FOR RESEARCH USE ONLY. NOT FOR USE IN DIAGNOSTIC OR THERAPEUTIC PROCEDURES'.

For licensing inquiries, please contact partnerships@abcam.com