JavaScript is disabled in your browser. Please enable JavaScript to view this website.
AB198824

Anti-Reg3a antibody

Be the first to review this product! Submit a review

|

(2 Publications)

Rabbit Polyclonal REG3A antibody. Suitable for IHC-P and reacts with Human samples. Cited in 2 publications. Immunogen corresponding to Synthetic Peptide within Human REG3A.

View Alternative Names

HIP, PAP, PAP1, REG3A, Regenerating islet-derived protein 3-alpha, REG-3-alpha, Hepatointestinal pancreatic protein, Human proislet peptide, Pancreatitis-associated protein 1, Regenerating islet-derived protein III-alpha, HIP/PAP, Reg III-alpha

2 Images
Immunohistochemistry (Formalin/PFA-fixed paraffin-embedded sections) - Anti-Reg3a antibody (AB198824)
  • IHC-P

Supplier Data

Immunohistochemistry (Formalin/PFA-fixed paraffin-embedded sections) - Anti-Reg3a antibody (AB198824)

Immunohistochemical staining of paraffin-embedded human brain tissue labeling Reg3a using ab198824 at a 1/20 dilution.

Immunohistochemistry (Formalin/PFA-fixed paraffin-embedded sections) - Anti-Reg3a antibody (AB198824)
  • IHC-P

Supplier Data

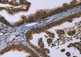
Immunohistochemistry (Formalin/PFA-fixed paraffin-embedded sections) - Anti-Reg3a antibody (AB198824)

Immunohistochemical staining of paraffin-embedded human gastric cancer tissue labeling Reg3a using ab198824 at a 1/20 dilution.

Key facts

Host species

Rabbit

Clonality

Polyclonal

Isotype

IgG

Carrier free

No

Reacts with

Human

Applications

IHC-P

applications

Immunogen

Synthetic Peptide within Human REG3A. The exact immunogen used to generate this antibody is proprietary information.

Q06141

Reactivity data

{ "title": "Reactivity Data", "filters": { "stats": ["", "Species", "Dilution Info", "Notes"], "tabs": { "all-applications": {"fullname" : "All Applications", "shortname": "All Applications"}, "IHCP" : {"fullname" : "Immunohistochemistry (Formalin/PFA-fixed paraffin-embedded sections)", "shortname":"IHC-P"} }, "product-promise": { "all": "all", "testedAndGuaranteed": "tested", "guaranteed": "expected", "predicted": "predicted", "notRecommended": "not-recommended" } }, "values": { "Human": { "IHCP-species-checked": "testedAndGuaranteed", "IHCP-species-dilution-info": "1/25 - 1/100", "IHCP-species-notes": "<p></p> Perform heat-mediated antigen retrieval with citrate buffer pH 6 before commencing with IHC staining protocol." } } }

Properties and storage information

Form
Liquid
Purification technique
Affinity purification Immunogen
Storage buffer
pH: 7.4 Preservative: 0.05% Sodium azide Constituents: PBS, 50% Glycerol (glycerin, glycerine)
Shipped at conditions
Blue Ice
Appropriate short-term storage duration
1-2 weeks
Appropriate short-term storage conditions
+4°C
Appropriate long-term storage conditions
-20°C
Aliquoting information
Upon delivery aliquot
Storage information
Avoid freeze / thaw cycle

Supplementary information

This supplementary information is collated from multiple sources and compiled automatically.

Reg3a also known as regenerating islet-derived protein 3 alpha or PAP1 (pancreatitis-associated protein 1) is a C-type lectin with a molecular mass of approximately 19 kDa. This protein is primarily found in the epithelial cells of the intestinal tract where it plays a significant role in the mucosal immune response. Reg3a is secreted into the intestinal lumen indicating its importance in maintaining gut homeostasis and defending against pathogenic bacteria. Expression of Reg3a increases upon inflammatory stimuli suggesting a strong link between inflammation and its function.
Biological function summary

Reg3a acts as an antimicrobial peptide that targets bacterial cell walls specifically binding to peptidoglycans. This ability to bind and break down the cell wall helps in controlling bacterial populations within the gut therefore Reg3a becomes an innate defense component. It works independently and is not known to be part of a larger protein complex. Moreover Reg3a shows bactericidal activity against Gram-positive bacteria contributing to the maintenance of a healthy gut flora.

Pathways

Reg3a functions prominently in the innate immune response and inflammatory pathways. The protein gets upregulated in response to cytokines like Interleukin-22 (IL-22) which helps Reg3a to exert its antimicrobial properties. Reg3a shares relatedness with proteins like Reg3g when considering their roles in the protection of intestinal epithelial barriers. These proteins work together to safeguard the gut lining by destroying harmful bacterial invaders therefore playing an important role in maintaining intestinal integrity.

Reg3a has been implicated in inflammatory bowel diseases such as Crohn's disease and ulcerative colitis. Studies show altered expression levels of Reg3a in these disorders connecting its antimicrobial function with disease pathogenesis. Additionally Reg3a shows as a biomarker for pancreatic disorders such as chronic pancreatitis potentially due to changes in its expression during inflammatory episodes. Reg3a engages with inflammation-related proteins including Tumor Necrosis Factor-alpha (TNF-alpha) which may influence disease outcomes and progression.

Product protocols

For this product, it's our understanding that no specific protocols are required. You can visit:

Target data

Regenerating islet-derived protein 3-alpha 15 kDa form. Bactericidal C-type lectin which acts exclusively against Gram-positive bacteria and mediates bacterial killing by binding to surface-exposed carbohydrate moieties of peptidoglycan (PubMed : 16931762). Binds membrane phospholipids and kills bacteria by forming a hexameric membrane-permeabilizing oligomeric pore (PubMed : 24256734).. Acts as a hormone in response to different stimuli like anti-inflammatory signals, such as IL17A, or gut microbiome. Secreted by different cell types to activate its receptor EXTL3 and induce cell specific signaling pathways (PubMed : 19158046, PubMed : 22727489, PubMed : 27830702, PubMed : 34099862). Induced by IL17A in keratinocytes, regulates keratinocyte proliferation and differentiation after skin injury via activation of EXTL3-PI3K-AKT signaling pathway (PubMed : 22727489). In parallel, inhibits skin inflammation through the inhibition of inflammatory cytokines such as IL6 and TNF (PubMed : 27830702). In pancreas, is able to permealize beta-cells membrane and stimulate their proliferation (PubMed : 19158046).. Regenerating islet-derived protein 3-alpha 16.5 kDa form. Has bacteriostatic activity.
See full target information REG3A

Publications (2)

Recent publications for all applications. Explore the full list and refine your search

Breast cancer research : BCR 26:92 PubMed38840145

2024

Increased expression of REG3A promotes tumorigenic behavior in triple negative breast cancer cells.

Applications

Unspecified application

Species

Unspecified reactive species

Xiaoxia Jin,Shuyun Yang,Xiaoyun Lu,Xudong Chen,Wencheng Dai

Nature communications 14:3372 PubMed37291151

2023

Astrocyte-oligodendrocyte interaction regulates central nervous system regeneration.

Applications

Unspecified application

Species

Unspecified reactive species

Irene Molina-Gonzalez,Rebecca K Holloway,Zoeb Jiwaji,Owen Dando,Sarah A Kent,Katie Emelianova,Amy F Lloyd,Lindsey H Forbes,Ayisha Mahmood,Thomas Skripuletz,Viktoria Gudi,James A Febery,Jeffrey A Johnson,Jill H Fowler,Tanja Kuhlmann,Anna Williams,Siddharthan Chandran,Martin Stangel,Andrew J M Howden,Giles E Hardingham,Veronique E Miron
View all publications

Product promise

We are committed to supporting your work with high-quality reagents, and we're here for you every step of the way. In the unlikely event that one of our products does not perform as expected, you're protected by our Product Promise.
For full details, please see our Terms & Conditions

Please note: All products are 'FOR RESEARCH USE ONLY. NOT FOR USE IN DIAGNOSTIC OR THERAPEUTIC PROCEDURES'.

For licensing inquiries, please contact partnerships@abcam.com