JavaScript is disabled in your browser. Please enable JavaScript to view this website.
AB204171

Anti-REG4 antibody

Be the first to review this product! Submit a review

|

(1 Publication)

Rabbit Polyclonal REG4 antibody. Suitable for IHC-P and reacts with Human samples. Cited in 1 publication. Immunogen corresponding to Recombinant Fragment Protein within Human REG4 aa 50 to C-terminus.

View Alternative Names

GISP, RELP, REG4, Regenerating islet-derived protein 4, REG-4, Gastrointestinal secretory protein, REG-like protein, Regenerating islet-derived protein IV, Reg IV

4 Images
Immunohistochemistry (Formalin/PFA-fixed paraffin-embedded sections) - Anti-REG4 antibody (AB204171)
  • IHC-P

Supplier Data

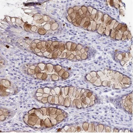
Immunohistochemistry (Formalin/PFA-fixed paraffin-embedded sections) - Anti-REG4 antibody (AB204171)

Immunohistochemical analysis of human rectum tissue labeling REG4 in the cytoplasm of glandular cells with ab204171 at a 1/200 dilution.

Performed heat mediated antigen retrieval with citrate buffer pH 6 before commencing with IHC staining protocol.

Immunohistochemistry (Formalin/PFA-fixed paraffin-embedded sections) - Anti-REG4 antibody (AB204171)
  • IHC-P

Supplier Data

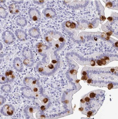
Immunohistochemistry (Formalin/PFA-fixed paraffin-embedded sections) - Anti-REG4 antibody (AB204171)

Immunohistochemical analysis of human duodenum tissue labeling REG4 in the mucus of goblet cells with ab204171 at a 1/200 dilution.

Performed heat mediated antigen retrieval with citrate buffer pH 6 before commencing with IHC staining protocol.

Immunohistochemistry (Formalin/PFA-fixed paraffin-embedded sections) - Anti-REG4 antibody (AB204171)
  • IHC-P

Supplier Data

Immunohistochemistry (Formalin/PFA-fixed paraffin-embedded sections) - Anti-REG4 antibody (AB204171)

Immunohistochemical analysis of human liver tissue labeling REG4 with ab204171 at a 1/200 dilution. No positivity as expected.

Performed heat mediated antigen retrieval with citrate buffer pH 6 before commencing with IHC staining protocol.

Immunohistochemistry (Formalin/PFA-fixed paraffin-embedded sections) - Anti-REG4 antibody (AB204171)
  • IHC-P

Supplier Data

Immunohistochemistry (Formalin/PFA-fixed paraffin-embedded sections) - Anti-REG4 antibody (AB204171)

Immunohistochemical analysis of human stomach tissue labeling REG4 with ab204171 at a 1/200 dilution. No positivity as expected.

Performed heat mediated antigen retrieval with citrate buffer pH 6 before commencing with IHC staining protocol.

Key facts

Host species

Rabbit

Clonality

Polyclonal

Isotype

IgG

Carrier free

No

Reacts with

Human

Applications

IHC-P

applications

Immunogen

Recombinant Fragment Protein within Human REG4 aa 50 to C-terminus. The exact immunogen used to generate this antibody is proprietary information.

Q9BYZ8

Reactivity data

{ "title": "Reactivity Data", "filters": { "stats": ["", "Species", "Dilution Info", "Notes"], "tabs": { "all-applications": {"fullname" : "All Applications", "shortname": "All Applications"}, "IHCP" : {"fullname" : "Immunohistochemistry (Formalin/PFA-fixed paraffin-embedded sections)", "shortname":"IHC-P"} }, "product-promise": { "all": "all", "testedAndGuaranteed": "tested", "guaranteed": "expected", "predicted": "predicted", "notRecommended": "not-recommended" } }, "values": { "Human": { "IHCP-species-checked": "testedAndGuaranteed", "IHCP-species-dilution-info": "1/200 - 1/500", "IHCP-species-notes": "<p></p>" } } }

Properties and storage information

Form
Liquid
Purification technique
Affinity purification Immunogen
Storage buffer
pH: 7.2 Preservative: 0.02% Sodium azide Constituents: 59% PBS, 40% Glycerol (glycerin, glycerine)
Shipped at conditions
Blue Ice
Appropriate short-term storage duration
1-2 weeks
Appropriate short-term storage conditions
+4°C
Appropriate long-term storage conditions
-20°C
Aliquoting information
Upon delivery aliquot
Storage information
Avoid freeze / thaw cycle

Supplementary information

This supplementary information is collated from multiple sources and compiled automatically.

REG4 also known as Reg IV or regenerating islet-derived 4 is a protein with a mass of about 19 kDa. It belongs to the regenerating gene family and has roles in cell growth and regeneration. REG4 expression occurs mainly in the gastric antrum small intestine colon and pancreas. It also appears in certain epithelial tissues particularly ones undergoing regeneration or transformation. REG4's structure includes a C-type lectin domain which suggests its potential involvement in cell adhesion or signaling.
Biological function summary

REG4 strengthens the protection of epithelial cells and supports regeneration during tissue damage or inflammation. It acts as part of cell growth and survival pathways and does not form large complexes on its own. The protein can promote proliferation and maintain integrity in epithelial tissues influencing both normal and cancerous cell behavior. The presence of REG4 might modulate cell response to environmental stress and impact cellular differentiation processes.

Pathways

REG4 impacts both the MAPK/ERK and PI3K/AKT signaling pathways. These pathways are important for cell proliferation and survival indicating REG4's involvement in cellular stress response and oncogenesis. REG4 interacts with other proteins such as EGFR (Epidermal Growth Factor Receptor) which participate in these pathways. This protein co-activity may enhance cellular responses contributing to growth regulation and survival signaling in various tissues.

REG4 has a strong association with colorectal cancer and inflammatory bowel disease (IBD). Its overexpression has been noted in colorectal cancer tissues and can relate to tumor growth and metastasis. In the context of IBD REG4 expression connects with inflammation markers and mucosal healing processes. Proteins like MUC2 (Mucin 2) and CDX2 (Caudal Type Homeobox 2) involved in these diseases show relationships with REG4 emphasizing its role in disease progression and regulation within epithelial tissues.

Product protocols

For this product, it's our understanding that no specific protocols are required. You can visit:

Target data

Calcium-independent lectin displaying mannose-binding specificity and able to maintain carbohydrate recognition activity in an acidic environment. May be involved in inflammatory and metaplastic responses of the gastrointestinal epithelium.
See full target information REG4

Publications (1)

Recent publications for all applications. Explore the full list and refine your search

Neuroendocrinology 112:510-522 PubMed34348341

2021

Alternative Lengthening of Telomeres Phenotype Predicts Progression Risk in Noninsulinomas in a Chinese Cohort.

Applications

Unspecified application

Species

Unspecified reactive species

Xinchao Ban,Shengwei Mo,Zhaohui Lu,Congwei Jia,Huilin Shao,Jie Yan,Xiaoyan Chang,Xinxin Mao,Yan Wu,Yue Zhang,Xiaojie Fan,Shuangni Yu,Jie Chen
View all publications

Product promise

We are committed to supporting your work with high-quality reagents, and we're here for you every step of the way. In the unlikely event that one of our products does not perform as expected, you're protected by our Product Promise.
For full details, please see our Terms & Conditions

Please note: All products are 'FOR RESEARCH USE ONLY. NOT FOR USE IN DIAGNOSTIC OR THERAPEUTIC PROCEDURES'.

For licensing inquiries, please contact partnerships@abcam.com