JavaScript is disabled in your browser. Please enable JavaScript to view this website.
AB256818

Anti-REG4 antibody [EPR22810-327] - BSA and Azide free

Be the first to review this product! Submit a review

|

(1 Publication)

Rabbit Recombinant Monoclonal REG4 antibody. Carrier free. Suitable for IP, WB, IHC-P and reacts with Human samples. Cited in 1 publication.

View Alternative Names

GISP, RELP, REG4, Regenerating islet-derived protein 4, REG-4, Gastrointestinal secretory protein, REG-like protein, Regenerating islet-derived protein IV, Reg IV

3 Images
Immunohistochemistry (Formalin/PFA-fixed paraffin-embedded sections) - Anti-REG4 antibody [EPR22810-327] - BSA and Azide free (AB256818)
  • IHC-P

Unknown

Immunohistochemistry (Formalin/PFA-fixed paraffin-embedded sections) - Anti-REG4 antibody [EPR22810-327] - BSA and Azide free (AB256818)

Immunohistochemical analysis of paraffin-embedded Human colon tissue labeling REG4 with ab255820 at 1 : 2000 dilution (0.262 μg/ml) followed by a ready to use Rabbit specific IHC polymer detection kit HRP/DAB (ab209101). Positive staining on human colon (PMID : 25295732) The section was incubated with ab255820 for 15 mins at RT. The immunostaining was performed on a Leica Biosystems BOND® RX instrument. Counterstained with Hematoxylin. Heat mediated antigen retrieval with Tris-EDTA buffer (pH 9.0, epitope retrieval solution 2) for 20 mins.

Secondary antibody only control : Used PBS instead of primary antibody, secondary antibody is a ready to use Rabbit specific IHC polymer detection kit HRP/DAB (ab209101).

This data was developed using the same antibody clone in a different buffer formulation containing PBS, BSA, glycerol, and sodium azide (ab255820).

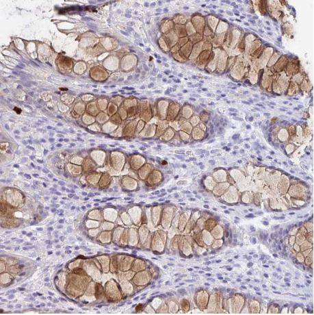
Immunohistochemistry (Formalin/PFA-fixed paraffin-embedded sections) - Anti-REG4 antibody [EPR22810-327] - BSA and Azide free (AB256818)
  • IHC-P

Unknown

Immunohistochemistry (Formalin/PFA-fixed paraffin-embedded sections) - Anti-REG4 antibody [EPR22810-327] - BSA and Azide free (AB256818)

Immunohistochemical analysis of paraffin-embedded Human colon carcinoma tissue labeling REG4 with ab255820 at 1 : 2000 dilution (0.262 μg/ml) followed by a ready to use Rabbit specific IHC polymer detection kit HRP/DAB (ab209101). Positive staining on human colon carcinoma (PMID : 25295732) The section was incubated with ab255820 for 15 mins at RT. The immunostaining was performed on a Leica Biosystems BOND® RX instrument. Counterstained with Hematoxylin. Heat mediated antigen retrieval with Tris-EDTA buffer (pH 9.0, epitope retrieval solution 2) for 20 mins.

Secondary antibody only control : Used PBS instead of primary antibody, secondary antibody is a ready to use Rabbit specific IHC polymer detection kit HRP/DAB (ab209101).

This data was developed using the same antibody clone in a different buffer formulation containing PBS, BSA, glycerol, and sodium azide (ab255820).

Immunoprecipitation - Anti-REG4 antibody [EPR22810-327] - BSA and Azide free (AB256818)
  • IP

Unknown

Immunoprecipitation - Anti-REG4 antibody [EPR22810-327] - BSA and Azide free (AB256818)

REG4 was immunoprecipitated from 0.35 mg LoVo (human colorectal adenocarcinoma epithelial cell) whole cell lysate 10μg with ab255820 at 1/30 dilution (2μg in 0.35mg lysates). Western blot was performed on the immunoprecipitate using ab255820 1/1000 dilution (0.52 μg/ml). VeriBlot for IP Detection Reagent (HRP) (ab131366) was used at 1/5000 dilution.

Lane 1 : LoVo (human colorectal adenocarcinoma epithelial cell) whole cell lysate 10μg Lane 2 : ab255820 IP in LoVo whole cell lysate
Lane 3 : Rabbit monoclonal IgG (ab172730) instead of ab255820 in LoVo whole cell lysate.

Blocking and dilution buffer and concentration : 5% NFDM/TBST.
Exposure time : 3 min

This blot was developed using a higher sensitivity ECL substrate.

This data was developed using the same antibody clone in a different buffer formulation containing PBS, BSA, glycerol, and sodium azide (ab255820).

All lanes:

Immunoprecipitation - Anti-REG4 antibody [EPR22810-327] (<a href='/en-us/products/primary-antibodies/reg4-antibody-epr22810-327-ab255820'>ab255820</a>)

Predicted band size: 18 kDa

false

Key facts

Host species

Rabbit

Clonality

Monoclonal

Clone number

EPR22810-327

Isotype

IgG

Carrier free

Yes

Reacts with

Human

Applications

IHC-P, WB, IP

applications

Immunogen

The exact immunogen used to generate this antibody is proprietary information.

Reactivity data

{ "title": "Reactivity Data", "filters": { "stats": ["", "Species", "Dilution Info", "Notes"], "tabs": { "all-applications": {"fullname" : "All Applications", "shortname": "All Applications"}, "IP" : {"fullname" : "Immunoprecipitation", "shortname":"IP"}, "FlowCyt" : {"fullname" : "Flow Cytometry", "shortname":"Flow Cyt"}, "WB" : {"fullname" : "Western blot", "shortname":"WB"}, "ICCIF" : {"fullname" : "Immunocytochemistry/ Immunofluorescence", "shortname":"ICC/IF"}, "IHCP" : {"fullname" : "Immunohistochemistry (Formalin/PFA-fixed paraffin-embedded sections)", "shortname":"IHC-P"} }, "product-promise": { "all": "all", "testedAndGuaranteed": "tested", "guaranteed": "expected", "predicted": "predicted", "notRecommended": "not-recommended" } }, "values": { "Human": { "IP-species-checked": "testedAndGuaranteed", "IP-species-dilution-info": "", "IP-species-notes": "<p></p>", "FlowCyt-species-checked": "notRecommended", "FlowCyt-species-dilution-info": "", "FlowCyt-species-notes": "<p></p>", "WB-species-checked": "guaranteed", "WB-species-dilution-info": "", "WB-species-notes": "<p></p>", "ICCIF-species-checked": "notRecommended", "ICCIF-species-dilution-info": "", "ICCIF-species-notes": "<p></p>", "IHCP-species-checked": "testedAndGuaranteed", "IHCP-species-dilution-info": "", "IHCP-species-notes": "<p></p>" } } }

Product details

ab256818 is the carrier-free version of ab255820.

Patented technology
Our RabMAb® technology is a patented hybridoma-based technology for making rabbit monoclonal antibodies. For details on our patents, please refer to RabMAb® patents.

What are the advantages of a recombinant monoclonal antibody?
This product is a recombinant monoclonal antibody, which offers several advantages including:

  • - High batch-to-batch consistency and reproducibility
  • - Improved sensitivity and specificity
  • - Long-term security of supply
  • - Animal-free batch production

For more information, read more on recombinant antibodies.

Conjugation ready
Our carrier-free antibodies are typically supplied in a PBS-only formulation, purified and free of BSA, sodium azide and glycerol. This conjugation-ready format is designed for use with fluorochromes, metal isotopes, oligonucleotides, and enzymes, which makes them ideal for antibody labelling, functional and cell-based assays, flow-based assays (e.g. mass cytometry) and Multiplex Imaging applications.

Use our conjugation kits for antibody conjugates that are ready-to-use in as little as 20 minutes with 1 minute hands-on-time and 100% antibody recovery: available for fluorescent dyes, HRP, biotin and gold.

Compatibility
This product is compatible with the Maxpar® Antibody Labeling Kit from Fluidigm, without the need for antibody preparation. Maxpar® is a trademark of Fluidigm Canada Inc.

Properties and storage information

Form
Liquid
Purification technique
Affinity purification Protein A
Storage buffer
pH: 7.2 - 7.4 Constituents: PBS
Shipped at conditions
Blue Ice
Appropriate short-term storage conditions
+4°C
Appropriate long-term storage conditions
+4°C
Storage information
Do Not Freeze

Supplementary information

This supplementary information is collated from multiple sources and compiled automatically.

REG4 also known as Reg IV or regenerating islet-derived 4 is a protein with a mass of about 19 kDa. It belongs to the regenerating gene family and has roles in cell growth and regeneration. REG4 expression occurs mainly in the gastric antrum small intestine colon and pancreas. It also appears in certain epithelial tissues particularly ones undergoing regeneration or transformation. REG4's structure includes a C-type lectin domain which suggests its potential involvement in cell adhesion or signaling.
Biological function summary

REG4 strengthens the protection of epithelial cells and supports regeneration during tissue damage or inflammation. It acts as part of cell growth and survival pathways and does not form large complexes on its own. The protein can promote proliferation and maintain integrity in epithelial tissues influencing both normal and cancerous cell behavior. The presence of REG4 might modulate cell response to environmental stress and impact cellular differentiation processes.

Pathways

REG4 impacts both the MAPK/ERK and PI3K/AKT signaling pathways. These pathways are important for cell proliferation and survival indicating REG4's involvement in cellular stress response and oncogenesis. REG4 interacts with other proteins such as EGFR (Epidermal Growth Factor Receptor) which participate in these pathways. This protein co-activity may enhance cellular responses contributing to growth regulation and survival signaling in various tissues.

REG4 has a strong association with colorectal cancer and inflammatory bowel disease (IBD). Its overexpression has been noted in colorectal cancer tissues and can relate to tumor growth and metastasis. In the context of IBD REG4 expression connects with inflammation markers and mucosal healing processes. Proteins like MUC2 (Mucin 2) and CDX2 (Caudal Type Homeobox 2) involved in these diseases show relationships with REG4 emphasizing its role in disease progression and regulation within epithelial tissues.

Product protocols

For this product, it's our understanding that no specific protocols are required. You can visit:

Target data

Calcium-independent lectin displaying mannose-binding specificity and able to maintain carbohydrate recognition activity in an acidic environment. May be involved in inflammatory and metaplastic responses of the gastrointestinal epithelium.
See full target information REG4

Publications (1)

Recent publications for all applications. Explore the full list and refine your search

Science advances 8:eabn5899 PubMed36044580

2022

Crossing nerve transfer drives sensory input-dependent plasticity for motor recovery after brain injury.

Applications

Unspecified application

Species

Unspecified reactive species

Zhengrun Gao,Zhen Pang,Gaowei Lei,Yiming Chen,Zeyu Cai,Shuai Zhu,Weishan Lin,Zilong Qiu,Yizheng Wang,Yundong Shen,Wendong Xu
View all publications

Product promise

We are committed to supporting your work with high-quality reagents, and we're here for you every step of the way. In the unlikely event that one of our products does not perform as expected, you're protected by our Product Promise.
For full details, please see our Terms & Conditions

Please note: All products are 'FOR RESEARCH USE ONLY. NOT FOR USE IN DIAGNOSTIC OR THERAPEUTIC PROCEDURES'.

For licensing inquiries, please contact partnerships@abcam.com