JavaScript is disabled in your browser. Please enable JavaScript to view this website.
AB154957

Anti-Rel B antibody

Be the first to review this product! Submit a review

|

(4 Publications)

Rabbit Polyclonal Rel B antibody. Suitable for IP, ChIP, WB, IHC-P and reacts with Human, Mouse samples. Cited in 4 publications. Immunogen corresponding to Recombinant Fragment Protein within Human RELB aa 350-550.

View Alternative Names

Transcription factor RelB, I-Rel, RELB

6 Images
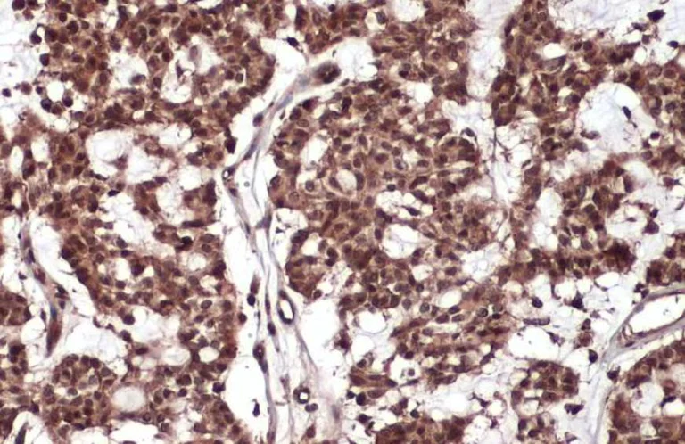
Immunohistochemistry (Formalin/PFA-fixed paraffin-embedded sections) - Anti-Rel B antibody (AB154957)
  • IHC-P

Supplier Data

Immunohistochemistry (Formalin/PFA-fixed paraffin-embedded sections) - Anti-Rel B antibody (AB154957)

Immunohistochemical analysis of paraffin-embedded human breast carcinoma tissue staining Rel B at cytoplasm and nucleus with ab154957 at 1/500.

Antigen Retrieval : Citrate buffer, pH 6.0, 15 min.

Immunoprecipitation - Anti-Rel B antibody (AB154957)
  • IP

Supplier Data

Immunoprecipitation - Anti-Rel B antibody (AB154957)

RelB antibody immunoprecipitates RelB protein in IP experiments.

IP Sample : HeLa (human epithelial cell line from cervix adenocarcinoma) whole cell lysate

A. Control with 2 μg of preimmune rabbit IgG

B. Immunoprecipitation of RelB protein by 2 μg of ab154957

7.5% SDS-PAGE

The immunoprecipitated RelB protein was detected by ab154957 at 1/1000 dilution, followed by anti-rabbit IgG antibody.

All lanes:

Immunoprecipitation - Anti-Rel B antibody (ab154957)

Predicted band size: 62 kDa

false

ChIP - Anti-Rel B antibody (AB154957)
  • ChIP

Supplier Data

ChIP - Anti-Rel B antibody (AB154957)

Cross-linked ChIP was performed with THP-1 (human monocytic leukemia cell line) chromatin extract treated with LPS (1.0 μg/ml for 3 h) and 5 μg of either normal rabbit IgG or ab154957. The precipitated DNA was detected by PCR with primer set targeting to IL-1β promoter.

Western blot - Anti-Rel B antibody (AB154957)
  • WB

Unknown

Western blot - Anti-Rel B antibody (AB154957)

7.5% SDS PAGE

All lanes:

Western blot - Anti-Rel B antibody (ab154957) at 1/10000 dilution

All lanes:

NIH/3T3 (mouse embryo fibroblast cell line) whole cell lysate at 30 µg

Secondary

All lanes:

HRP-conjugated anti-rabbit IgG antibody

Predicted band size: 62 kDa

false

Western blot - Anti-Rel B antibody (AB154957)
  • WB

Supplier Data

Western blot - Anti-Rel B antibody (AB154957)

7.5% SDS-PAGE

All lanes:

Western blot - Anti-Rel B antibody (ab154957) at 1/5000 dilution

Lane 1:

HEK-293T (human epithelial cell line from embryonic kidney transformed with large T antigen) whole cell lysate at 30 µg

Lane 2:

Transfected HEK-293T whole cell lysate at 30 µg

Secondary

All lanes:

HRP-conjugated anti-rabbit IgG antibody

Predicted band size: 62 kDa

false

Western blot - Anti-Rel B antibody (AB154957)
  • WB

Supplier Data

Western blot - Anti-Rel B antibody (AB154957)

All lanes:

Western blot - Anti-Rel B antibody (ab154957) at 1/10000 dilution

Lane 1:

Jurkat (human T cell leukemia cell line from peripheral blood) whole cell lysate at 30 µg

Lane 2:

Raji (human Burkitt's lymphoma cell line) whole cell lysate at 30 µg

Lane 3:

NCI-H1299 (human lung carcinoma cell line) whole cell lysate at 30 µg

Secondary

All lanes:

HRP-conjugated anti-rabbit IgG antibody

Predicted band size: 62 kDa

false

Key facts

Host species

Rabbit

Clonality

Polyclonal

Isotype

IgG

Carrier free

No

Reacts with

Mouse, Human

Applications

IHC-P, IP, ChIP, WB

applications

Immunogen

Recombinant Fragment Protein within Human RELB aa 350-550. The exact immunogen used to generate this antibody is proprietary information.

Q01201

Reactivity data

{ "title": "Reactivity Data", "filters": { "stats": ["", "Species", "Dilution Info", "Notes"], "tabs": { "all-applications": {"fullname" : "All Applications", "shortname": "All Applications"}, "IP" : {"fullname" : "Immunoprecipitation", "shortname":"IP"}, "ChIP" : {"fullname" : "ChIP", "shortname":"ChIP"}, "WB" : {"fullname" : "Western blot", "shortname":"WB"}, "IHCP" : {"fullname" : "Immunohistochemistry (Formalin/PFA-fixed paraffin-embedded sections)", "shortname":"IHC-P"} }, "product-promise": { "all": "all", "testedAndGuaranteed": "tested", "guaranteed": "expected", "predicted": "predicted", "notRecommended": "not-recommended" } }, "values": { "Human": { "IP-species-checked": "testedAndGuaranteed", "IP-species-dilution-info": "1/100 - 1/500", "IP-species-notes": "<p></p>", "ChIP-species-checked": "testedAndGuaranteed", "ChIP-species-dilution-info": "", "ChIP-species-notes": "<p></p>", "WB-species-checked": "testedAndGuaranteed", "WB-species-dilution-info": "1/1000 - 1/10000", "WB-species-notes": "<p></p>", "IHCP-species-checked": "testedAndGuaranteed", "IHCP-species-dilution-info": "1/100 - 1/1000", "IHCP-species-notes": "<p></p>" }, "Mouse": { "IP-species-checked": "guaranteed", "IP-species-dilution-info": "", "IP-species-notes": "", "ChIP-species-checked": "guaranteed", "ChIP-species-dilution-info": "", "ChIP-species-notes": "", "WB-species-checked": "testedAndGuaranteed", "WB-species-dilution-info": "1/1000 - 1/10000", "WB-species-notes": "<p></p>", "IHCP-species-checked": "guaranteed", "IHCP-species-dilution-info": "", "IHCP-species-notes": "" } } }

Properties and storage information

Form
Liquid
Purification technique
Affinity purification Immunogen
Storage buffer
pH: 7 Preservative: 0.025% Proclin 300 Constituents: PBS, 20% Glycerol (glycerin, glycerine)
Shipped at conditions
Blue Ice
Appropriate short-term storage duration
1-2 weeks
Appropriate short-term storage conditions
+4°C
Appropriate long-term storage conditions
-20°C
Aliquoting information
Upon delivery aliquot
Storage information
Avoid freeze / thaw cycle

Supplementary information

This supplementary information is collated from multiple sources and compiled automatically.

Rel B also known as RELB proto-oncogene is a member of the NF-κB family of transcription factors. This protein plays a significant role in regulating gene expression. Rel B has a molecular mass of approximately 68 kDa. It expresses in diverse tissues including lymphoid organs and epithelial cells. It generally resides in the cytoplasm and translocates to the nucleus upon activation.
Biological function summary

Rel B serves as a critical component of the alternative NF-κB signaling pathway. It often forms a complex with another NF-κB family member called p52. This complex controls the transcription of genes involved in the immune response cell survival and differentiation. Additionally Rel B contributes to the development of secondary lymphoid organs and modulation of immune responses.

Pathways

Rel B integrates into the non-canonical NF-κB signaling pathway also influencing the canonical pathway to a lesser extent. In the non-canonical pathway Rel B interacts with NIK and p100 to influence immune cell function. This involvement makes Rel B essential in processes like adaptive immunity and inflammatory responses. The protein p52 closely associates with Rel B aiding its activity in these pathways.

Rel B has connections to autoimmune diseases and certain cancers. Abnormal Rel B activity can lead to chronic inflammation and contribute to conditions like rheumatoid arthritis. In cancer its deregulation associates with lymphomas where it may interact with other NF-κB proteins like p50 and RelA affecting cell proliferation and survival. Understanding Rel B in these contexts could provide insights into therapeutic targets.

Product protocols

For this product, it's our understanding that no specific protocols are required. You can visit:

Target data

NF-kappa-B is a pleiotropic transcription factor which is present in almost all cell types and is involved in many biological processed such as inflammation, immunity, differentiation, cell growth, tumorigenesis and apoptosis. NF-kappa-B is a homo- or heterodimeric complex formed by the Rel-like domain-containing proteins RELA/p65, RELB, NFKB1/p105, NFKB1/p50, REL and NFKB2/p52. The dimers bind at kappa-B sites in the DNA of their target genes and the individual dimers have distinct preferences for different kappa-B sites that they can bind with distinguishable affinity and specificity. Different dimer combinations act as transcriptional activators or repressors, respectively. NF-kappa-B is controlled by various mechanisms of post-translational modification and subcellular compartmentalization as well as by interactions with other cofactors or corepressors. NF-kappa-B complexes are held in the cytoplasm in an inactive state complexed with members of the NF-kappa-B inhibitor (I-kappa-B) family. In a conventional activation pathway, I-kappa-B is phosphorylated by I-kappa-B kinases (IKKs) in response to different activators, subsequently degraded thus liberating the active NF-kappa-B complex which translocates to the nucleus. NF-kappa-B heterodimeric RelB-p50 and RelB-p52 complexes are transcriptional activators. RELB neither associates with DNA nor with RELA/p65 or REL. Stimulates promoter activity in the presence of NFKB2/p49. As a member of the NUPR1/RELB/IER3 survival pathway, may provide pancreatic ductal adenocarcinoma with remarkable resistance to cell stress, such as starvation or gemcitabine treatment. Regulates the circadian clock by repressing the transcriptional activator activity of the CLOCK-BMAL1 heterodimer in a CRY1/CRY2 independent manner. Increased repression of the heterodimer is seen in the presence of NFKB2/p52. Is required for both T and B lymphocyte maturation and function (PubMed : 26385063).
See full target information RELB

Publications (4)

Recent publications for all applications. Explore the full list and refine your search

Clinical and translational medicine 14:e70058 PubMed39415352

2024

Insight into prostate cancer osteolytic metastasis by RelB coordination of IL-8 and S100A4.

Applications

Unspecified application

Species

Unspecified reactive species

Wenbo Sun,Kenny Xu,Xiao Li,Peipei Qian,Fan Xu,Yanyan Zhang,Xiumei Wang,Zhi Xu,Jiaji Ding,Xinyu Xu,Xiaowei Wei,Qin Jiang,Yong Xu

Life science alliance 5: PubMed35820707

2022

Lack of bombesin receptor-activated protein attenuates bleomycin-induced pulmonary fibrosis in mice.

Applications

Unspecified application

Species

Unspecified reactive species

Hui Wang,Wenrui Zhang,Rujiao Liu,Jiaoyun Zheng,Xueping Yao,Hui Chen,Jie Wang,Horst Christian Weber,Xiaoqun Qin,Yang Xiang,Chi Liu,Huijun Liu,Lang Pan,Xiangping Qu

OncoTargets and therapy 13:1037-1046 PubMed32099406

2020

miR-873-5p Inhibits Cell Migration and Invasion of Papillary Thyroid Cancer via Regulation of CXCL16.

Applications

Unspecified application

Species

Unspecified reactive species

Zhenglin Wang,Wei Liu,Cong Wang,Zhilong Ai

Biomedicine & pharmacotherapy = Biomedecine & pharmacotherapie 109:1287-1295 PubMed30463808

2018

I-κB kinase-ε knockout protects against angiotensin II induced aortic valve thickening in apolipoprotein E deficient mice.

Applications

Unspecified application

Species

Unspecified reactive species

Shuai He,Fulai Nian,Wen Chen,Li Yin,Merveesh L Auchoybur,Zhonghao Tao,Shaowen Tang,Xin Chen
View all publications

Product promise

We are committed to supporting your work with high-quality reagents, and we're here for you every step of the way. In the unlikely event that one of our products does not perform as expected, you're protected by our Product Promise.
For full details, please see our Terms & Conditions

Please note: All products are 'FOR RESEARCH USE ONLY. NOT FOR USE IN DIAGNOSTIC OR THERAPEUTIC PROCEDURES'.

For licensing inquiries, please contact partnerships@abcam.com