JavaScript is disabled in your browser. Please enable JavaScript to view this website.
AB197361

Anti-RELM beta antibody

Be the first to review this product! Submit a review

|

(0 Publication)

Rabbit Polyclonal RELM beta antibody. Suitable for IHC-P and reacts with Human samples. Immunogen corresponding to Recombinant Fragment Protein within Human RETNLB.

View Alternative Names

CCRG, FIZZ2, HXCP2, RETNL2, UNQ408/PRO770, RETNLB, Resistin-like beta, Colon and small intestine-specific cysteine-rich protein, Colon carcinoma-related gene protein, Cysteine-rich secreted protein A12-alpha-like 1, Cysteine-rich secreted protein FIZZ2, RELMbeta

2 Images
Immunohistochemistry (Formalin/PFA-fixed paraffin-embedded sections) - Anti-RELM beta antibody (AB197361)
  • IHC-P

Supplier Data

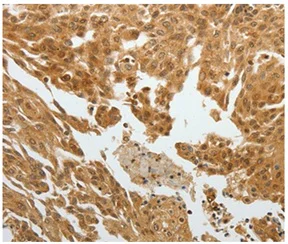
Immunohistochemistry (Formalin/PFA-fixed paraffin-embedded sections) - Anti-RELM beta antibody (AB197361)

Immunohistochemical analysis of paraffin-embedded Human colon cancer tissue labeling RELM beta with ab197361 at 1/40 dilution

Immunohistochemistry (Formalin/PFA-fixed paraffin-embedded sections) - Anti-RELM beta antibody (AB197361)
  • IHC-P

Supplier Data

Immunohistochemistry (Formalin/PFA-fixed paraffin-embedded sections) - Anti-RELM beta antibody (AB197361)

Immunohistochemical analysis of paraffin-embedded Human cervical cancer tissue labeling RELM beta with ab197361 at 1/40 dilution.

Key facts

Host species

Rabbit

Clonality

Polyclonal

Isotype

IgG

Carrier free

No

Reacts with

Human

Applications

IHC-P

applications

Immunogen

Recombinant Fragment Protein within Human RETNLB. The exact immunogen used to generate this antibody is proprietary information.

Q9BQ08

Reactivity data

{ "title": "Reactivity Data", "filters": { "stats": ["", "Species", "Dilution Info", "Notes"], "tabs": { "all-applications": {"fullname" : "All Applications", "shortname": "All Applications"}, "IHCP" : {"fullname" : "Immunohistochemistry (Formalin/PFA-fixed paraffin-embedded sections)", "shortname":"IHC-P"} }, "product-promise": { "all": "all", "testedAndGuaranteed": "tested", "guaranteed": "expected", "predicted": "predicted", "notRecommended": "not-recommended" } }, "values": { "Human": { "IHCP-species-checked": "testedAndGuaranteed", "IHCP-species-dilution-info": "1/40 - 1/200", "IHCP-species-notes": "<p></p>" } } }

Properties and storage information

Form
Liquid
Purification technique
Affinity purification Immunogen
Storage buffer
pH: 7.4 Preservative: 0.05% Sodium azide Constituents: 50% Glycerol (glycerin, glycerine), 49% PBS
Shipped at conditions
Blue Ice
Appropriate short-term storage duration
1-2 weeks
Appropriate short-term storage conditions
+4°C
Appropriate long-term storage conditions
-20°C
Aliquoting information
Upon delivery aliquot
Storage information
Avoid freeze / thaw cycle

Supplementary information

This supplementary information is collated from multiple sources and compiled automatically.

RELM beta also known as Resistin-Like Molecule Beta or FIZZ2 is a cysteine-rich secreted protein with an approximate mass of 19 kDa. This protein expresses mainly in tissues like the colon small intestine and adipose tissue. It belongs to the resistin-like molecule (RELM) family which is known for its similarities in amino acid sequence and structural features. RELM beta usually gets secreted by epithelial cells particularly in the intestinal region which suggests its active involvement in the gut environment.
Biological function summary

The RELM beta protein modulates immune responses and interacts with elements of the metabolic processes. It plays a role in bridging innate and adaptive immunity affecting inflammatory cascades through its cytokine-like activities. Although it is not part of a large complex RELM beta influences receptor signaling pathways and can affect macrophages and other immune cells. Its activity on energy homeostasis and glucose metabolism indicates key interactions in metabolic pathways influencing overall cellular functions.

Pathways

RELM beta prominently interacts with pathways involved in inflammation and metabolism. It participates in the NF-kB signaling pathway which is a central mediator in inflammation and immune responses. Also it connects to the adipokine signaling pathway where it works alongside other resistin family proteins. Through these pathways RELM beta coordinates with proteins like TNF-alpha and IL-6 in modulating inflammation and energy balance.

RELM beta relates to conditions such as inflammatory bowel disease (IBD) and type 2 diabetes. Its increased expression associates with elevated inflammatory states found in IBD and insights suggest a role in disease progression through interactions with proteins like IL-1β. In type 2 diabetes the regulation of glucose homeostasis implicates RELM beta as a participant in metabolic dysregulation. Changes in RELM beta expression can influence risk factors potentially in conjunction with other mediators like insulin.

Product protocols

For this product, it's our understanding that no specific protocols are required. You can visit:

Target data

Probable hormone.
See full target information RETNLB

Product promise

We are committed to supporting your work with high-quality reagents, and we're here for you every step of the way. In the unlikely event that one of our products does not perform as expected, you're protected by our Product Promise.
For full details, please see our Terms & Conditions

Associated Products

Select an associated product type
Alternative Product
Primary Antibodies

AB11429

Anti-RELM beta antibody

primary-antibodies

relm-beta-antibody-ab11429

0

(0 reviews)

Please note: All products are 'FOR RESEARCH USE ONLY. NOT FOR USE IN DIAGNOSTIC OR THERAPEUTIC PROCEDURES'.

For licensing inquiries, please contact partnerships@abcam.com