JavaScript is disabled in your browser. Please enable JavaScript to view this website.
AB314303

Anti-Renalase antibody [EPR25655-163]

Be the first to review this product! Submit a review

|

(0 Publication)

Rabbit Recombinant Monoclonal Renalase antibody. Suitable for WB, IP and reacts with Human samples.

View Alternative Names

C10orf59, RNLS, Renalase, Monoamine oxidase-C, MAO-C

2 Images
Immunoprecipitation - Anti-Renalase antibody [EPR25655-163] (AB314303)
  • IP

Supplier Data

Immunoprecipitation - Anti-Renalase antibody [EPR25655-163] (AB314303)

Renalase was immunoprecipitated from 0.35 mg human kidney tissue lysate with ab314303 at 1/30 dilution (2ug in 0.35mg lysates). Western blot was performed on the immunoprecipitate using ab314303 at 1/1000 dilution. VeriBlot for IP secondary antibody(HRP)(ab131366) was used at 1/5000 dilution.

Blocking and dilution buffer and concentration : 5% NFDM/TBST.

This blot was developed using a high sensitivity ECL substrate. The high-sensitivity ECL substrate used allows for the detection of proteins in the mid-femtogram range.

All lanes:

Immunoprecipitation - Anti-Renalase antibody [EPR25655-163] (ab314303) at 1/1000 dilution

Lane 1:

Human kidney tissue lysate

Lane 2:

ab314303 at 1/30 IP in Human kidney tissue lysate at 10 µg

Lane 3:

Rabbit monoclonal IgG (<a href='/en-us/products/primary-antibodies/rabbit-igg-monoclonal-epr25a-isotype-control-ab172730'>ab172730</a>) instead of ab314303 in human kidney tissue lysate at 10 µg

Secondary

All lanes:

Immunoprecipitation - VeriBlot for IP Detection Reagent (HRP) (<a href='/en-us/products/reagents/veriblot-for-ip-detection-reagent-hrp-ab131366'>ab131366</a>) at 1/5000 dilution

true

Exposure time: 119s

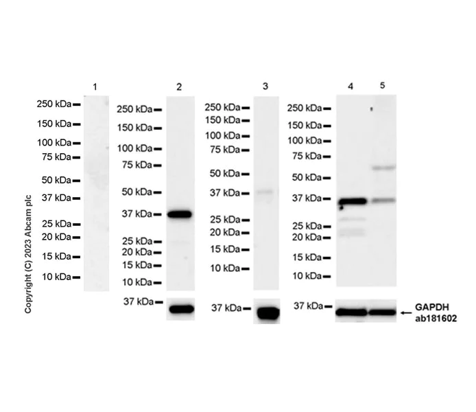
Western blot - Anti-Renalase antibody [EPR25655-163] (AB314303)
  • WB

Supplier Data

Western blot - Anti-Renalase antibody [EPR25655-163] (AB314303)

Blocking and diluting buffer and concentration : 5% NFDM/TBST. Low expression : skeletal muscle, heart, lung (PMID : 15841207). This reagent did not detect Renalase in healthy human plasma, but demonstrated a strong band in human kidney. The identity of the higher MW band at approximately 60 kDa (in lane 4) is unknown. In western blot, anti-GAPDH antibody [EPR16891] - Loading Control (ab181602) staining at 1/200000 dilution. Exposure time : Lane 1 : 180 seconds; Lanes 2-5 : 70 seconds.

All lanes:

Western blot - Anti-Renalase antibody [EPR25655-163] (ab314303) at 1/1000 dilution

Lane 1:

Human plasma at 20 µg

Lane 2:

Human kidney tissue lysate at 20 µg

Lane 3:

Human skeletal muscle tissue lysate at 20 µg

Lane 4:

Human heart tissue lysate at 20 µg

Lane 5:

Human lung tissue lysate at 20 µg

Secondary

All lanes:

Goat Anti-Rabbit IgG (HRP) with minimal cross-reactivity with human IgG at 1/2000 dilution

Observed band size: 37 kDa

false

  • Carrier free

    Anti-Renalase antibody [EPR25655-163] - BSA and Azide free

Key facts

Host species

Rabbit

Clonality

Monoclonal

Clone number

EPR25655-163

Isotype

IgG

Carrier free

No

Reacts with

Human

Applications

WB, IP

applications

Immunogen

The exact immunogen used to generate this antibody is proprietary information.

Reactivity data

{ "title": "Reactivity Data", "filters": { "stats": ["", "Species", "Dilution Info", "Notes"], "tabs": { "all-applications": {"fullname" : "All Applications", "shortname": "All Applications"}, "WB" : {"fullname" : "Western blot", "shortname":"WB"}, "IP" : {"fullname" : "Immunoprecipitation", "shortname":"IP"}, "IHCP" : {"fullname" : "Immunohistochemistry (Formalin/PFA-fixed paraffin-embedded sections)", "shortname":"IHC-P"}, "FlowCytIntra" : {"fullname" : "Flow Cytometry (Intracellular)", "shortname":"Flow Cyt (Intra)"}, "ICCIF" : {"fullname" : "Immunocytochemistry/ Immunofluorescence", "shortname":"ICC/IF"} }, "product-promise": { "all": "all", "testedAndGuaranteed": "tested", "guaranteed": "expected", "predicted": "predicted", "notRecommended": "not-recommended" } }, "values": { "Human": { "WB-species-checked": "testedAndGuaranteed", "WB-species-dilution-info": "1/1000", "WB-species-notes": "<p></p>", "IP-species-checked": "testedAndGuaranteed", "IP-species-dilution-info": "1/30", "IP-species-notes": "<p></p>", "IHCP-species-checked": "notRecommended", "IHCP-species-dilution-info": "", "IHCP-species-notes": "<p></p>", "FlowCytIntra-species-checked": "notRecommended", "FlowCytIntra-species-dilution-info": "", "FlowCytIntra-species-notes": "<p></p>", "ICCIF-species-checked": "notRecommended", "ICCIF-species-dilution-info": "", "ICCIF-species-notes": "<p></p>" }, "Mouse": { "WB-species-checked": "notRecommended", "WB-species-dilution-info": "", "WB-species-notes": "<p></p>", "IP-species-checked": "notRecommended", "IP-species-dilution-info": "", "IP-species-notes": "", "IHCP-species-checked": "notRecommended", "IHCP-species-dilution-info": "", "IHCP-species-notes": "<p></p>", "FlowCytIntra-species-checked": "notRecommended", "FlowCytIntra-species-dilution-info": "", "FlowCytIntra-species-notes": "", "ICCIF-species-checked": "notRecommended", "ICCIF-species-dilution-info": "", "ICCIF-species-notes": "" }, "Rat": { "WB-species-checked": "notRecommended", "WB-species-dilution-info": "", "WB-species-notes": "<p></p>", "IP-species-checked": "notRecommended", "IP-species-dilution-info": "", "IP-species-notes": "", "IHCP-species-checked": "notRecommended", "IHCP-species-dilution-info": "", "IHCP-species-notes": "<p></p>", "FlowCytIntra-species-checked": "notRecommended", "FlowCytIntra-species-dilution-info": "", "FlowCytIntra-species-notes": "", "ICCIF-species-checked": "notRecommended", "ICCIF-species-dilution-info": "", "ICCIF-species-notes": "" } } }

Product details

Patented technology
Our RabMAb® technology is a patented hybridoma-based technology for making rabbit monoclonal antibodies. For details on our patents, please refer to RabMAb® patents.

What are the advantages of a recombinant monoclonal antibody?
This product is a recombinant monoclonal antibody, which offers several advantages including:

  • - High batch-to-batch consistency and reproducibility
  • - Improved sensitivity and specificity
  • - Long-term security of supply
  • - Animal-free batch production

For more information, read more on recombinant antibodies.

Properties and storage information

Form
Liquid
Purification technique
Affinity purification Protein A
Storage buffer
pH: 7.2 - 7.4 Preservative: 0.01% Sodium azide Constituents: PBS, 40% Glycerol (glycerin, glycerine), 0.05% BSA
Shipped at conditions
Blue Ice
Appropriate short-term storage duration
1-2 weeks
Appropriate short-term storage conditions
+4°C
Appropriate long-term storage conditions
-20°C
Aliquoting information
Upon delivery aliquot
Storage information
Avoid freeze / thaw cycle

Supplementary information

This supplementary information is collated from multiple sources and compiled automatically.

Renalase also known as RNLS is a flavoprotein that catalyzes the oxidation of catecholamines such as dopamine and norepinephrine. It has a mass of approximately 37 kDa. The protein is expressed in the kidney heart and other tissues including the liver and brain. Its enzymatic activity helps in regulating blood pressure and cardiac function by metabolizing circulating monoamines.
Biological function summary

Renalase impacts the cardiovascular system through its enzymatic function that reduces systemic catecholamine levels. It has been shown the protein interacts with catecholamines beyond the boundaries of a simple enzymatic reaction. Renalase may form complexes with other enzymes that participate in detoxifying catecholamines. Researchers have studied its effects on catecholamine-related stress responses highlighting a potential modulatory function beyond simple substrate degradation.

Pathways

The metabolism of catecholamines involves Renalase in the regulation of the sympathetic nervous system and its associated pathways. Renalase fits into the catecholamine degradation pathway where it works alongside other enzymes such as monoamine oxidase which also breaks down neurotransmitters. These actions influence the broader systemic pathways associated with cardiovascular health by maintaining a balance in neurotransmitter levels and resultant blood pressure regulation.

Renalase has been associated with hypertension due to its role in catecholamine metabolism. Abnormal Renalase function can contribute to increased circulating catecholamines leading to elevated blood pressure. Additionally studies have suggested a link between Renalase and chronic kidney disease where alterations in Renalase activity may exacerbate kidney dysfunction. The relationship between Renalase and proteins like angiotensin-converting enzyme (ACE) further hints at its potential involvement in blood pressure regulation and renal pathology.

Product protocols

For this product, it's our understanding that no specific protocols are required. You can visit:

Target data

Catalyzes the oxidation of the less abundant 1,2-dihydro-beta-NAD(P) and 1,6-dihydro-beta-NAD(P) to form beta-NAD(P)(+). The enzyme hormone is secreted by the kidney, and circulates in blood and modulates cardiac function and systemic blood pressure. Lowers blood pressure in vivo by decreasing cardiac contractility and heart rate and preventing a compensatory increase in peripheral vascular tone, suggesting a causal link to the increased plasma catecholamine and heightened cardiovascular risk. High concentrations of catecholamines activate plasma renalase and promotes its secretion and synthesis.
See full target information RNLS

Product promise

We are committed to supporting your work with high-quality reagents, and we're here for you every step of the way. In the unlikely event that one of our products does not perform as expected, you're protected by our Product Promise.
For full details, please see our Terms & Conditions

Please note: All products are 'FOR RESEARCH USE ONLY. NOT FOR USE IN DIAGNOSTIC OR THERAPEUTIC PROCEDURES'.

For licensing inquiries, please contact partnerships@abcam.com