JavaScript is disabled in your browser. Please enable JavaScript to view this website.
AB326049

Anti-Renin-1+ Renin-2 antibody [EPR30219-25]

  • Advanced Validation
  • RabMAb
  • Recombinant
  • 20ul selling size
  • What is this?

Be the first to review this product! Submit a review

|

(0 Publication)

Rabbit Recombinant Monoclonal RENI1 antibody. Suitable for IHC-P, WB, mIHC, Dot and reacts with Mouse, Rat, Recombinant full length protein - Mouse samples.

View Alternative Names

Ren, Ren-1, Ren1, Renin-1, Angiotensinogenase, Kidney renin, Ren, Ren1, Renin, Angiotensinogenase, Ren-2, Renin-2, Angiotensinogenase, Submandibular gland renin

10 Images
Immunohistochemistry (Formalin/PFA-fixed paraffin-embedded sections) - Anti-Renin-1+ Renin-2 antibody [EPR30219-25] (AB326049)
  • IHC-P

Lab

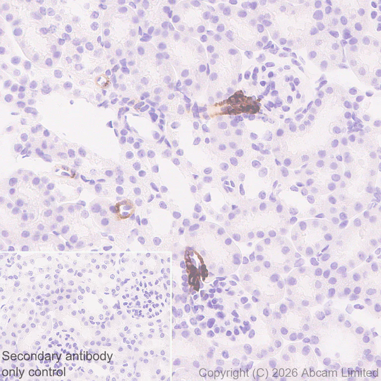
Immunohistochemistry (Formalin/PFA-fixed paraffin-embedded sections) - Anti-Renin-1+ Renin-2 antibody [EPR30219-25] (AB326049)

Immunohistochemical analysis of paraffin-embedded Mouse kidney tissue labeling Renin with ab326049 at 1/2000 (0.26 µg/ml) dilution, followed by a ready to use LeicaDS9800 (Bond™ Polymer Refine Detection).

Positive staining on juxtaglomerular cells in mouse kidney (PMID : 33508746).

The primary antibody was incubated for 30 mins at room temperature.

The immunostaining was performed on a Leica Biosystems BOND® RX instrument

Counterstained with Hematoxylin.

Secondary antibody only control : Secondary antibody is a ready to use LeicaDS9800 (Bond™ Polymer Refine Detection).

Heat mediated antigen retrieval was performed with Tris-EDTA buffer (pH 9.0, Epitope Retrieval Solution2) for 20 mins

Multiplex immunohistochemistry - Anti-Renin-1+ Renin-2 antibody [EPR30219-25] (AB326049)
  • mIHC

Lab

Multiplex immunohistochemistry - Anti-Renin-1+ Renin-2 antibody [EPR30219-25] (AB326049)

Multiplex immunohistochemistry analysis of formalin/PFA-fixed paraffin-embedded mouse kidney tissue staining Renin with ab326049 at a 1 : 5000 (0.103 µg/ml) dilution ab317588 anti-CD34 used at 1 : 5000 (0.099 µg/ml) dilution and ab199975 anti-Aquaporin 2 used at a 1 : 4000 (0.152 µg/ml) dilution.

Panel A : merged staining of anti-Renin (green; Opal™520) anti-CD34 (magenta; Opal™690) and anti-Aquaporin 2 (gray; Opal™570) on mouse kidney.
Panel B : anti-Renin staining juxtaglomerular cells in mouse kidney.
Panel C : anti-CD34 staining endothelium in mouse kidney.
Panel D : anti-Aquaporin 2 staining collecting tubules in mouse kidney.
Nuclear DNA was labeled with DAPI (shown in blue).

The section was incubated in three rounds of staining : in the order of ab326049 ab317588 and ab199975 for 30 mins at room temperature. Each round was followed by a separate fluorescent tyramide signal amplification system.

The immunostaining was performed on a Leica Biosystems BOND® RX instrument with an Opal™ 4-color kit. Image acquisition was performed with Leica SP8 confocal microscope.

Nuclear counter stain with DAPI.

Heat mediated antigen retrieval with Tris-EDTA buffer (pH 9.0 epitope retrieval solution2) for 20 mins.

Immunohistochemistry (Formalin/PFA-fixed paraffin-embedded sections) - Anti-Renin-1+ Renin-2 antibody [EPR30219-25] (AB326049)
  • IHC-P

Lab

Immunohistochemistry (Formalin/PFA-fixed paraffin-embedded sections) - Anti-Renin-1+ Renin-2 antibody [EPR30219-25] (AB326049)

Immunohistochemical analysis of paraffin-embedded Rat kidney tissue labeling Renin with ab326049 at 1/2000 (0.26 µg/ml) dilution, followed by a ready to use LeicaDS9800 (Bond™ Polymer Refine Detection).

Positive staining on juxtaglomerular cells in rat kidney.

The primary antibody was incubated for 30 mins at room temperature.

The immunostaining was performed on a Leica Biosystems BOND® RX instrument

Counterstained with Hematoxylin.

Secondary antibody only control : Secondary antibody is a ready to use LeicaDS9800 (Bond™ Polymer Refine Detection).

Heat mediated antigen retrieval was performed with Tris-EDTA buffer (pH 9.0, Epitope Retrieval Solution2) for 20 mins

Multiplex immunohistochemistry - Anti-Renin-1+ Renin-2 antibody [EPR30219-25] (AB326049)
  • mIHC

Lab

Multiplex immunohistochemistry - Anti-Renin-1+ Renin-2 antibody [EPR30219-25] (AB326049)

Multiplex immunohistochemistry analysis of formalin/PFA-fixed paraffin-embedded rat kidney tissue staining Renin with ab326049 at a 1 : 5000 (0.103 µg/ml) dilution ab317588 anti-CD34 used at 1 : 5000 (0.099 µg/ml) dilution and ab199975 anti-Aquaporin 2 used at a 1 : 4000 (0.152 µg/ml) dilution.

Panel A : merged staining of anti-Renin (green; Opal™520) anti-CD34 (magenta; Opal™690) and anti-Aquaporin 2 (gray; Opal™570) on rat kidney.
Panel B : anti-Renin staining juxtaglomerular cells in rat kidney.
Panel C : anti-CD34 staining endothelium in rat kidney.
Panel D : anti-Aquaporin 2 staining collecting tubules in rat kidney.
Nuclear DNA was labeled with DAPI (shown in blue).

The section was incubated in three rounds of staining : in the order of ab326049 ab317588 and ab199975 for 30 mins at room temperature. Each round was followed by a separate fluorescent tyramide signal amplification system.

The immunostaining was performed on a Leica Biosystems BOND® RX instrument with an Opal™ 4-color kit. Image acquisition was performed with Leica SP8 confocal microscope.

Nuclear counter stain with DAPI.

Heat mediated antigen retrieval with Tris-EDTA buffer (pH 9.0 epitope retrieval solution2) for 20 mins.

Western blot - Anti-Renin-1+ Renin-2 antibody [EPR30219-25] (AB326049)
  • WB

Lab

Western blot - Anti-Renin-1+ Renin-2 antibody [EPR30219-25] (AB326049)

Blocking and diluting buffer and concentration : 5% NFDM/TBST.

Negative control : spleen.

The identity of the higher MW band at approximately 250 kDa (in lanes2, 3 and 6) is unknown.

In Western blot, Anti-GAPDH antibody [EPR16891] - Loading Control (ab181602) (1 : 200000) (36KDa).

All lanes:

Western blot - Anti-Renin-1+ Renin-2 antibody [EPR30219-25] (ab326049) at 1/1000 dilution

Lane 1:

Mouse kidney tissue lysate at 50 µg

Lane 2:

Mouse spleen tissue lysate at 50 µg

Lane 3:

Rat kidney tissue lysate at 50 µg

Lane 4:

Rat spleen tissue lysate at 50 µg

Secondary

All lanes:

Western blot - Goat Anti-Rabbit IgG H&L (HRP) (<a href='/en-us/products/secondary-antibodies/goat-rabbit-igg-h-l-hrp-ab97051'>ab97051</a>) at 1/20000 dilution

Observed band size: 37 kDa,50 kDa,36 kDa

false

Exposure time: 180s

Immunohistochemistry (Formalin/PFA-fixed paraffin-embedded sections) - Anti-Renin-1+ Renin-2 antibody [EPR30219-25] (AB326049)
  • IHC-P

Lab

Immunohistochemistry (Formalin/PFA-fixed paraffin-embedded sections) - Anti-Renin-1+ Renin-2 antibody [EPR30219-25] (AB326049)

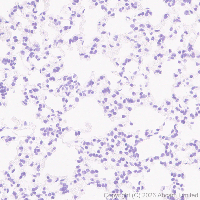
Immunohistochemical analysis of paraffin-embedded Mouse lung tissue labeling Renin with ab326049 at 1/2000 (0.26 µg/ml) dilution, followed by a ready to use LeicaDS9800 (Bond™ Polymer Refine Detection).

Negative control : No staining on mouse lung.

The primary antibody was incubated for 30 mins at room temperature.

The immunostaining was performed on a Leica Biosystems BOND® RX instrument

Counterstained with Hematoxylin.

Secondary antibody only control : Secondary antibody is a ready to use LeicaDS9800 (Bond™ Polymer Refine Detection).

Heat mediated antigen retrieval was performed with Tris-EDTA buffer (pH 9.0, Epitope Retrieval Solution2) for 20 mins

Immunohistochemistry (Formalin/PFA-fixed paraffin-embedded sections) - Anti-Renin-1+ Renin-2 antibody [EPR30219-25] (AB326049)
  • IHC-P

Lab

Immunohistochemistry (Formalin/PFA-fixed paraffin-embedded sections) - Anti-Renin-1+ Renin-2 antibody [EPR30219-25] (AB326049)

Immunohistochemical analysis of paraffin-embedded Rat spleen tissue labeling Renin with ab326049 at 1/2000 (0.26 µg/ml) dilution, followed by a ready to use LeicaDS9800 (Bond™ Polymer Refine Detection).

Negative control : No staining on rat spleen.

The primary antibody was incubated for 30 mins at room temperature.

The immunostaining was performed on a Leica Biosystems BOND® RX instrument

Counterstained with Hematoxylin.

Secondary antibody only control : Secondary antibody is a ready to use LeicaDS9800 (Bond™ Polymer Refine Detection).

Heat mediated antigen retrieval was performed with Tris-EDTA buffer (pH 9.0, Epitope Retrieval Solution2) for 20 mins

Immunohistochemistry (Formalin/PFA-fixed paraffin-embedded sections) - Anti-Renin-1+ Renin-2 antibody [EPR30219-25] (AB326049)
  • IHC-P

Lab

Immunohistochemistry (Formalin/PFA-fixed paraffin-embedded sections) - Anti-Renin-1+ Renin-2 antibody [EPR30219-25] (AB326049)

Immunohistochemical analysis of paraffin-embedded Mouse spleen tissue labeling Renin with ab326049 at 1/2000 (0.26 µg/ml) dilution, followed by a ready to use LeicaDS9800 (Bond™ Polymer Refine Detection).

Negative control : No staining on mouse spleen.

The primary antibody was incubated for 30 mins at room temperature.

The immunostaining was performed on a Leica Biosystems BOND® RX instrument

Counterstained with Hematoxylin.

Secondary antibody only control : Secondary antibody is a ready to use LeicaDS9800 (Bond™ Polymer Refine Detection).

Heat mediated antigen retrieval was performed with Tris-EDTA buffer (pH 9.0, Epitope Retrieval Solution2) for 20 mins

Immunohistochemistry (Formalin/PFA-fixed paraffin-embedded sections) - Anti-Renin-1+ Renin-2 antibody [EPR30219-25] (AB326049)
  • IHC-P

Lab

Immunohistochemistry (Formalin/PFA-fixed paraffin-embedded sections) - Anti-Renin-1+ Renin-2 antibody [EPR30219-25] (AB326049)

Immunohistochemical analysis of paraffin-embedded Rat lung tissue labeling Renin with ab326049 at 1/2000 (0.26 µg/ml) dilution, followed by a ready to use LeicaDS9800 (Bond™ Polymer Refine Detection).

Negative control : No staining on rat lung.

The primary antibody was incubated for 30 mins at room temperature.

The immunostaining was performed on a Leica Biosystems BOND® RX instrument

Counterstained with Hematoxylin.

Secondary antibody only control : Secondary antibody is a ready to use LeicaDS9800 (Bond™ Polymer Refine Detection).

Heat mediated antigen retrieval was performed with Tris-EDTA buffer (pH 9.0, Epitope Retrieval Solution2) for 20 mins

Dot Blot - Anti-Renin-1+ Renin-2 antibody [EPR30219-25] (AB326049)
  • Dot

Lab

Dot Blot - Anti-Renin-1+ Renin-2 antibody [EPR30219-25] (AB326049)

Dot blot analysis of Renin using ab326049 at 1 : 1000 (0.519 µg/ml) followed by a Goat Anti-Rabbit IgG, (H+L), Peroxidase conjugated (ab97051) at 1 : 100,000 dilution.

Lane 1 : His-tagged mouse Renin-1 recombinant protein

Lane 2 : His-tagged mouse Renin-2 recombinant protein

Exposure time : 180 seconds.

Blocking and diluting buffer and concentration : 5% NFDM/TBST.

This antibody could react with mouse Renin-1 and Renin-2.

All lanes:

Dot Blot - Anti-Renin-1+ Renin-2 antibody [EPR30219-25] (ab326049) at 1/1000 dilution

Lane 1:

His-tagged mouse Renin-1 recombinant protein

Lane 2:

His-tagged mouse Renin-2 recombinant protein

Secondary

All lanes:

Dot Blot - Goat Anti-Rabbit IgG H&L (HRP) (<a href='/en-us/products/secondary-antibodies/goat-rabbit-igg-h-l-hrp-ab97051'>ab97051</a>) at 1/100000 dilution

false

Exposure time: 180s

Key facts

Host species

Rabbit

Clonality

Monoclonal

Clone number

EPR30219-25

Isotype

IgG

Carrier free

No

Reacts with

Mouse, Rat

Applications

Dot, WB, mIHC, IHC-P

applications

Immunogen

The exact immunogen used to generate this antibody is proprietary information.

Reactivity data

{ "title": "Reactivity Data", "filters": { "stats": ["", "Species", "Dilution Info", "Notes"], "tabs": { "all-applications": {"fullname" : "All Applications", "shortname": "All Applications"}, "IHCP" : {"fullname" : "Immunohistochemistry (Formalin/PFA-fixed paraffin-embedded sections)", "shortname":"IHC-P"}, "WB" : {"fullname" : "Western blot", "shortname":"WB"}, "mIHC" : {"fullname" : "Multiplex immunohistochemistry", "shortname":"mIHC"}, "Dot" : {"fullname" : "Dot Blot", "shortname":"Dot"} }, "product-promise": { "all": "all", "testedAndGuaranteed": "tested", "guaranteed": "expected", "predicted": "predicted", "notRecommended": "not-recommended" } }, "values": { "Mouse": { "IHCP-species-checked": "testedAndGuaranteed", "IHCP-species-dilution-info": "1/2000", "IHCP-species-notes": "<p></p> Perform heat-mediated antigen retrieval with Tris/EDTA buffer pH 9.0 before commencing with IHC staining protocol.", "WB-species-checked": "testedAndGuaranteed", "WB-species-dilution-info": "1/1000", "WB-species-notes": "<p></p>", "mIHC-species-checked": "testedAndGuaranteed", "mIHC-species-dilution-info": "1/5000", "mIHC-species-notes": "<p></p> Perform heat-mediated antigen retrieval with Tris/EDTA buffer pH 9.0 before commencing with IHC staining protocol.", "Dot-species-checked": "guaranteed", "Dot-species-dilution-info": "", "Dot-species-notes": "" }, "Rat": { "IHCP-species-checked": "testedAndGuaranteed", "IHCP-species-dilution-info": "1/2000", "IHCP-species-notes": "<p></p> Perform heat-mediated antigen retrieval with Tris/EDTA buffer pH 9.0 before commencing with IHC staining protocol.", "WB-species-checked": "testedAndGuaranteed", "WB-species-dilution-info": "1/1000", "WB-species-notes": "<p></p>", "mIHC-species-checked": "testedAndGuaranteed", "mIHC-species-dilution-info": "1/5000", "mIHC-species-notes": "<p></p> Perform heat-mediated antigen retrieval with Tris/EDTA buffer pH 9.0 before commencing with IHC staining protocol.", "Dot-species-checked": "guaranteed", "Dot-species-dilution-info": "", "Dot-species-notes": "" }, "Recombinant full length protein - Mouse": { "IHCP-species-checked": "notRecommended", "IHCP-species-dilution-info": "", "IHCP-species-notes": "", "WB-species-checked": "notRecommended", "WB-species-dilution-info": "", "WB-species-notes": "", "mIHC-species-checked": "notRecommended", "mIHC-species-dilution-info": "", "mIHC-species-notes": "", "Dot-species-checked": "testedAndGuaranteed", "Dot-species-dilution-info": "1/1000", "Dot-species-notes": "<p></p>" } } }

Product details

Patented technology
Our RabMAb® technology is a patented hybridoma-based technology for making rabbit monoclonal antibodies. For details on our patents, please refer to RabMAb® patents.

What are the advantages of a recombinant monoclonal antibody?
This product is a recombinant monoclonal antibody, which offers several advantages including:

  • - High batch-to-batch consistency and reproducibility
  • - Improved sensitivity and specificity
  • - Long-term security of supply
  • - Animal-free batch production

For more information, read more on recombinant antibodies.

Properties and storage information

Form
Liquid
Purification technique
Affinity purification Protein A
Storage buffer
pH: 7.2 - 7.4 Preservative: 0.01% Sodium azide Constituents: PBS, 40% Glycerol (glycerin, glycerine), 0.05% BSA
Shipped at conditions
Blue Ice
Appropriate short-term storage duration
1-2 weeks
Appropriate short-term storage conditions
+4°C
Appropriate long-term storage conditions
-20°C
Aliquoting information
Upon delivery aliquot
Storage information
Avoid freeze / thaw cycle

Product protocols

For this product, it's our understanding that no specific protocols are required. You can visit:

Target data

Renin is a highly specific endopeptidase, whose only known function is to generate angiotensin I from angiotensinogen in the plasma, initiating a cascade of reactions that produce an elevation of blood pressure and increased sodium retention by the kidney.
See full target information Ren1

Additional targets

Ren2,Ren1

Product promise

We are committed to supporting your work with high-quality reagents, and we're here for you every step of the way. In the unlikely event that one of our products does not perform as expected, you're protected by our Product Promise.
For full details, please see our Terms & Conditions

Please note: All products are 'FOR RESEARCH USE ONLY. NOT FOR USE IN DIAGNOSTIC OR THERAPEUTIC PROCEDURES'.

For licensing inquiries, please contact partnerships@abcam.com