JavaScript is disabled in your browser. Please enable JavaScript to view this website.
AB212197

Anti-Renin antibody [EPR20693]

5

(8 Reviews)

|

(18 Publications)

Rabbit Recombinant Monoclonal Renin antibody. Suitable for IHC-Fr, IHC-P, mIHC and reacts with Mouse, Rat, Human samples. Cited in 18 publications.

View Alternative Names

Renin, Angiotensinogenase, REN

11 Images
Multiplex immunohistochemistry - Anti-Renin antibody [EPR20693] (AB212197)
  • mIHC

Lab

Multiplex immunohistochemistry - Anti-Renin antibody [EPR20693] (AB212197)

Multiplex immunohistochemistry analysis of formalin/PFA-fixed paraffin-embedded human kidney tissue staining GLEPP1/PTPRO with ab322047 at a 1/2000 dilution, ab273021 anti-V2R used at 1/100 dilution and ab212197 anti-Renin used at a 1/4000 dilution.

Panel A : merged staining of anti-GLEPP1/PTPRO (green; Opal™520), anti-V2R (magenta; Opal™690) and anti-Renin (gray; Opal™570) on human kidney.

Panel B : anti-GLEPP1/PTPRO staining glomerulus in human kidney.

Panel C : anti-V2R staining connecting ducts in human kidney.

Panel D : anti-Renin staining juxtaglomerular cells in human kidney.

Nuclear DNA was labeled with DAPI (shown in blue).

The section was incubated in three rounds of staining : in the order of ab322047, ab273021 and ab212197 for 30 mins at room temperature. Each round was followed by a separate fluorescent tyramide signal amplification system.

The immunostaining was performed on a Leica Biosystems BOND® RX instrument with an Opal™ 4-color kit. Image acquisition was performed with Leica SP8 confocal microscope.

Heat mediated antigen retrieval with Tris-EDTA buffer (pH 9.0, epitope retrieval solution2) for 20 mins.

Multiplex immunohistochemistry - Anti-Renin antibody [EPR20693] (AB212197)
  • mIHC

Lab

Multiplex immunohistochemistry - Anti-Renin antibody [EPR20693] (AB212197)

Multiplex immunohistochemistry analysis of formalin/PFA-fixed paraffin-embedded human kidney tissue staining CD34 with ab317588 at a 1/2000 dilution, ab199975 anti-Aquaporin 2 used at 1/4000 dilution and ab212197 anti-Renin used at a 1/4000 dilution.

Panel A : merged staining of anti-CD34 (green; Opal™520), anti-Aquaporin 2 (magenta; Opal™690) and anti-Renin (gray; Opal™570) on human kidney.

Panel B : anti-CD34 staining endothelium in human kidney.

Panel C : anti-Aquaporin 2 staining collecting tubules in human kidney.

Panel D : anti-Renin staining juxtaglomerular cells in human kidney.

Nuclear DNA was labeled with DAPI (shown in blue).

The section was incubated in three rounds of staining : in the order of ab317588, ab199975 and ab212197 for 30 mins at room temperature. Each round was followed by a separate fluorescent tyramide signal amplification system.

The immunostaining was performed on a Leica Biosystems BOND® RX instrument with an Opal™ 4-color kit. Image acquisition was performed with Leica SP8 confocal microscope.

Heat mediated antigen retrieval with Tris-EDTA buffer (pH 9.0, epitope retrieval solution2) for 20 mins.

Multiplex immunohistochemistry - Anti-Renin antibody [EPR20693] (AB212197)
  • mIHC

Lab

Multiplex immunohistochemistry - Anti-Renin antibody [EPR20693] (AB212197)

Multiplex immunohistochemistry analysis of formalin/PFA-fixed paraffin-embedded human kidney tissue staining CD34 with ab317588 at a 1/2000 dilution, ab321787 anti-SGLT1 used at 1/2000 dilution and ab212197 anti-Renin used at a 1/4000 dilution.

Panel A : merged staining of anti-CD34 (green; Opal™520), anti-SGLT1 (magenta; Opal™690) and anti-Renin (gray; Opal™570) on human kidney.

Panel B : anti-CD34 staining endothelium in human kidney.

Panel C : anti-SGLT1 staining tubules in human kidney.

Panel D : anti-Renin staining juxtaglomerular cells in human kidney.

Nuclear DNA was labeled with DAPI (shown in blue).

The section was incubated in three rounds of staining : in the order of ab317588, ab321787 and ab212197 for 30 mins at room temperature. Each round was followed by a separate fluorescent tyramide signal amplification system.

The immunostaining was performed on a Leica Biosystems BOND® RX instrument with an Opal™ 4-color kit. Image acquisition was performed with Leica SP8 confocal microscope.

Heat mediated antigen retrieval with Tris-EDTA buffer (pH 9.0, epitope retrieval solution2) for 20 mins.

Multiplex immunohistochemistry - Anti-Renin antibody [EPR20693] (AB212197)
  • mIHC

Lab

Multiplex immunohistochemistry - Anti-Renin antibody [EPR20693] (AB212197)

Multiplex immunohistochemistry analysis of formalin/PFA-fixed paraffin-embedded Human kidney tissue staining GLEPP1/PTPRO with ab322047 at a 1/2000 dilution, ab199975 anti-Aquaporin 2 used at 1/4000 dilution and ab212197 anti-Renin used at a 1/4000 dilution.

Panel A : merged staining of anti-GLEPP1/PTPRO (green; Opal™520), anti-Aquaporin 2 (magenta; Opal™690) and anti-Renin (gray; Opal™570) on human kidney.

Panel B : anti-GLEPP1/PTPRO staining glomerulus in human kidney.

Panel C : anti-Aquaporin 2 staining collecting tubules in human kidney.

Panel D : anti-Renin staining juxtaglomerular cells in human kidney.

Nuclear DNA was labeled with DAPI (shown in blue).

The section was incubated in three rounds of staining : in the order of ab322047, ab199975 and ab212197 for 30 mins at room temperature. Each round was followed by a separate fluorescent tyramide signal amplification system.

The immunostaining was performed on a Leica Biosystems BOND® RX instrument with an Opal™ 4-color kit. Image acquisition was performed with Leica SP8 confocal microscope.

Heat mediated antigen retrieval with Tris-EDTA buffer (pH 9.0, epitope retrieval solution2) for 20 mins.

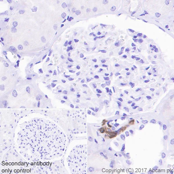
Immunohistochemistry (Formalin/PFA-fixed paraffin-embedded sections) - Anti-Renin antibody [EPR20693] (AB212197)
  • IHC-P

Supplier Data

Immunohistochemistry (Formalin/PFA-fixed paraffin-embedded sections) - Anti-Renin antibody [EPR20693] (AB212197)

Immunohistochemical analysis of paraffin-embedded human kidney tissue labeling Renin with ab212197 at 1/2000 dilution, followed by Goat Anti-Rabbit IgG H&L (HRP) Ready to use. Cytoplasmic staining on juxtaglomerular cells of human kidney (PMID : 1898348). Counter stained with hematoxylin.

Secondary antibody only control : Used PBS instead of primary antibody, secondary antibody is Goat Anti-Rabbit IgG H&L (HRP) Ready to use.

Heat mediated antigen retrieval performed using ab93684 (Tris/EDTA buffer, pH 9.0).

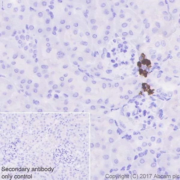
Immunohistochemistry (Formalin/PFA-fixed paraffin-embedded sections) - Anti-Renin antibody [EPR20693] (AB212197)
  • IHC-P

Supplier Data

Immunohistochemistry (Formalin/PFA-fixed paraffin-embedded sections) - Anti-Renin antibody [EPR20693] (AB212197)

Immunohistochemical analysis of paraffin-embedded mouse kidney tissue labeling Renin with ab212197 at 1/5000 dilution, followed by Goat Anti-Rabbit IgG H&L (HRP) Ready to use. Cytoplasmic staining on juxtaglomerular cells of mouse kidney (PMID : 1898348). Counter stained with hematoxylin.

Secondary antibody only control : Used PBS instead of primary antibody, secondary antibody is Goat Anti-Rabbit IgG H&L (HRP) Ready to use.

Heat mediated antigen retrieval performed using ab93684 (Tris/EDTA buffer, pH 9.0).

Immunohistochemistry - Anti-Renin antibody [EPR20693] (AB212197)
  • IHC

Lab

Immunohistochemistry - Anti-Renin antibody [EPR20693] (AB212197)

Multiplex immunohistochemistry analysis of formalin/PFA-fixed paraffin-embedded mouse kidney tissue staining PAR1/Thrombin Receptor with ab306558 at a 1/500 dilution, ab306558 anti-SGLT2 used at 1/5000 dilution and ab212197 anti-Renin used at a 1/4000 dilution.

Panel A : merged staining of anti-PAR1/Thrombin Receptor (green; Opal™520), anti-SGLT2 (magenta; Opal™690) and anti-Renin (gray; Opal™570) on mouse kidney.

Panel B : anti-PAR1/Thrombin Receptor staining endothelium in mouse kidney.

Panel C : anti-SGLT2 staining the brush border of proximal tubules in mouse kidney.

Panel D : anti-Renin staining juxtaglomerular cells in mouse kidney.

Nuclear DNA was labeled with DAPI (shown in blue).

The section was incubated in three rounds of staining : in the order of ab322457, ab306558 and ab212197 for 30 mins at room temperature. Each round was followed by a separate fluorescent tyramide signal amplification system.

The immunostaining was performed on a Leica Biosystems BOND® RX instrument with an Opal™ 4-color kit. Image acquisition was performed with Leica SP8 confocal microscope.

Heat mediated antigen retrieval with Tris-EDTA buffer (pH 9.0, epitope retrieval solution2) for 20 mins.

Immunohistochemistry (Frozen sections) - Anti-Renin antibody [EPR20693] (AB212197)
  • IHC-Fr

Supplier Data

Immunohistochemistry (Frozen sections) - Anti-Renin antibody [EPR20693] (AB212197)

Immunohistochemical analysis of 4% paraformaldehyde-fixed, 0.2% Triton X-100 permeabilized frozen rat kidney tissue labeling Renin with ab212197 at 1/6000 dilution, followed by Goat Anti-Rabbit IgG H&L (Alexa Fluor® 488) (ab150077) secondary antibody at 1/1000 dilution (green). Positive cytoplasmic staining in juxtaglomerular cells of rat kidney tissue section (PMID : 27080979).

The nuclear counter stain is DAPI (blue).

Secondary antibody only control : Used PBS instead of primary antibody, secondary antibody is Goat Anti-Rabbit IgG H&L (Alexa Fluor® 488) (ab150077) secondary antibody at 1/1000 dilution.

Heat mediated antigen retrieval performed using Tris-EDTA buffer (pH9.0) (ab94681).

Immunohistochemistry (Frozen sections) - Anti-Renin antibody [EPR20693] (AB212197)
  • IHC-Fr

Supplier Data

Immunohistochemistry (Frozen sections) - Anti-Renin antibody [EPR20693] (AB212197)

Immunohistochemical analysis of 4% paraformaldehyde-fixed, 0.2% Triton X-100 permeabilized frozen mouse kidney tissue labeling Renin with ab212197 at 1/6000 dilution, followed by Goat Anti-Rabbit IgG H&L (Alexa Fluor® 488) (ab150077) secondary antibody at 1/1000 dilution (green). Positive cytoplasmic staining in juxtaglomerular cells of mouse kidney tissue section (PMID : 27080979).

The nuclear counter stain is DAPI (blue).

Secondary antibody only control : Used PBS instead of primary antibody, secondary antibody is Goat Anti-Rabbit IgG H&L (Alexa Fluor® 488) (ab150077) secondary antibody at 1/1000 dilution.

Heat mediated antigen retrieval performed using Tris-EDTA buffer (pH9.0) (ab94681).

Multiplex immunohistochemistry - Anti-Renin antibody [EPR20693] (AB212197)
  • mIHC

Lab

Multiplex immunohistochemistry - Anti-Renin antibody [EPR20693] (AB212197)

Multiplex immunohistochemistry analysis of formalin/PFA-fixed paraffin-embedded Human kidney tissue staining GLEPP1/PTPRO with ab322047 at a 1/2000 dilution, ab199975 anti-Aquaporin 2 used at 1/4000 dilution and ab212197 anti-Renin used at a 1/4000 dilution.

Panel A : merged staining of anti-GLEPP1/PTPRO (green; Opal™520), anti-Aquaporin 2 (magenta; Opal™690) and anti-Renin (gray; Opal™570) on human kidney.

Panel B : anti-GLEPP1/PTPRO staining glomerulus in human kidney.

Panel C : anti-Aquaporin 2 staining collecting tubules in human kidney.

Panel D : anti-Renin staining juxtaglomerular cells in human kidney.

Nuclear DNA was labeled with DAPI (shown in blue).

The section was incubated in three rounds of staining : in the order of ab322047, ab199975 and ab212197 for 30 mins at room temperature. Each round was followed by a separate fluorescent tyramide signal amplification system.

The immunostaining was performed on a Leica Biosystems BOND® RX instrument with an Opal™ 4-color kit. Image acquisition was performed with Leica SP8 confocal microscope.

Heat mediated antigen retrieval with Tris-EDTA buffer (pH 9.0, epitope retrieval solution2) for 20 mins.

Multiplex immunohistochemistry - Anti-Renin antibody [EPR20693] (AB212197)
  • mIHC

Lab

Multiplex immunohistochemistry - Anti-Renin antibody [EPR20693] (AB212197)

Multiplex immunohistochemistry analysis of formalin/PFA-fixed paraffin-embedded mouse kidney tissue staining CD34 with ab317588 at a 1/5000 dilution, ab199975 anti-Aquaporin 2 used at 1/4000 dilution and ab212197 anti-Renin used at a 1/4000 dilution.

Panel A : merged staining of anti-CD34 (green; Opal™520), anti-Aquaporin 2 (magenta; Opal™690) and anti-Renin (gray; Opal™570) on human kidney.

Panel B : anti-CD34 staining endothelium in mouse kidney.

Panel C : anti-Aquaporin 2 staining collecting tubules in mouse kidney.

Panel D : anti-Renin staining juxtaglomerular cells in mouse kidney.

Nuclear DNA was labeled with DAPI (shown in blue).

The section was incubated in three rounds of staining : in the order of ab317588, ab199975 and ab212197 for 30 mins at room temperature. Each round was followed by a separate fluorescent tyramide signal amplification system.

The immunostaining was performed on a Leica Biosystems BOND® RX instrument with an Opal™ 4-color kit. Image acquisition was performed with Leica SP8 confocal microscope.

Heat mediated antigen retrieval with Tris-EDTA buffer (pH 9.0, epitope retrieval solution2) for 20 mins.

  • Carrier free

    Anti-Renin antibody [EPR20693] - BSA and Azide free

Key facts

Host species

Rabbit

Clonality

Monoclonal

Clone number

EPR20693

Isotype

IgG

Carrier free

No

Reacts with

Mouse, Rat, Human

Applications

IHC-Fr, IHC-P, mIHC

applications

Immunogen

The exact immunogen used to generate this antibody is proprietary information.

Reactivity data

{ "title": "Reactivity Data", "filters": { "stats": ["", "Species", "Dilution Info", "Notes"], "tabs": { "all-applications": {"fullname" : "All Applications", "shortname": "All Applications"}, "WB" : {"fullname" : "Western blot", "shortname":"WB"}, "IHCFr" : {"fullname" : "Immunohistochemistry (Frozen sections)", "shortname":"IHC-Fr"}, "IHCP" : {"fullname" : "Immunohistochemistry (Formalin/PFA-fixed paraffin-embedded sections)", "shortname":"IHC-P"}, "mIHC" : {"fullname" : "Multiplex immunohistochemistry", "shortname":"mIHC"} }, "product-promise": { "all": "all", "testedAndGuaranteed": "tested", "guaranteed": "expected", "predicted": "predicted", "notRecommended": "not-recommended" } }, "values": { "Human": { "WB-species-checked": "notRecommended", "WB-species-dilution-info": "", "WB-species-notes": "<p>WB application is not recommended due to no signal in endogenous lysates.</p>", "IHCFr-species-checked": "guaranteed", "IHCFr-species-dilution-info": "", "IHCFr-species-notes": "", "IHCP-species-checked": "testedAndGuaranteed", "IHCP-species-dilution-info": "1/2000", "IHCP-species-notes": "<p>(for human); Use at 1/5000 dilution (for mouse).</p><p>This antibody is not recommended for rat species in IHC application. In our hands this antibody showed non-specific staining on rat kidney tissue sections</p> Perform heat-mediated antigen retrieval with Tris/EDTA buffer pH 9.0 before commencing with IHC staining protocol.", "mIHC-species-checked": "testedAndGuaranteed", "mIHC-species-dilution-info": "1/4000", "mIHC-species-notes": "<p></p> Perform heat-mediated antigen retrieval with Tris/EDTA buffer pH 9.0 before commencing with IHC staining protocol." }, "Mouse": { "WB-species-checked": "notRecommended", "WB-species-dilution-info": "", "WB-species-notes": "<p>WB application is not recommended due to no signal in endogenous lysates.</p>", "IHCFr-species-checked": "testedAndGuaranteed", "IHCFr-species-dilution-info": "1/6000", "IHCFr-species-notes": "<p></p>", "IHCP-species-checked": "testedAndGuaranteed", "IHCP-species-dilution-info": "1/2000", "IHCP-species-notes": "<p>(for human); Use at 1/5000 dilution (for mouse).</p><p>This antibody is not recommended for rat species in IHC application. In our hands this antibody showed non-specific staining on rat kidney tissue sections</p> Perform heat-mediated antigen retrieval with Tris/EDTA buffer pH 9.0 before commencing with IHC staining protocol.", "mIHC-species-checked": "testedAndGuaranteed", "mIHC-species-dilution-info": "1/4000", "mIHC-species-notes": "<p></p> Perform heat-mediated antigen retrieval with Tris/EDTA buffer pH 9.0 before commencing with IHC staining protocol." }, "Rat": { "WB-species-checked": "notRecommended", "WB-species-dilution-info": "", "WB-species-notes": "<p>WB application is not recommended due to no signal in endogenous lysates.</p>", "IHCFr-species-checked": "testedAndGuaranteed", "IHCFr-species-dilution-info": "1/6000", "IHCFr-species-notes": "<p></p>", "IHCP-species-checked": "guaranteed", "IHCP-species-dilution-info": "", "IHCP-species-notes": "", "mIHC-species-checked": "guaranteed", "mIHC-species-dilution-info": "", "mIHC-species-notes": "" } } }

Product details

Patented technology
Our RabMAb® technology is a patented hybridoma-based technology for making rabbit monoclonal antibodies. For details on our patents, please refer to RabMAb® patents.

What are the advantages of a recombinant monoclonal antibody?
This product is a recombinant monoclonal antibody, which offers several advantages including:

  • - High batch-to-batch consistency and reproducibility
  • - Improved sensitivity and specificity
  • - Long-term security of supply
  • - Animal-free batch production

For more information, read more on recombinant antibodies.

Properties and storage information

Form
Liquid
Purification technique
Affinity purification Protein A
Storage buffer
pH: 7.2 - 7.4 Preservative: 0.09% Sodium azide Constituents: PBS, 40% Glycerol (glycerin, glycerine), 0.05% BSA
Shipped at conditions
Blue Ice
Appropriate short-term storage duration
1-2 weeks
Appropriate short-term storage conditions
+4°C
Appropriate long-term storage conditions
-20°C
Aliquoting information
Upon delivery aliquot
Storage information
Avoid freeze / thaw cycle

Supplementary information

This supplementary information is collated from multiple sources and compiled automatically.

Renin also known as angiotensinogenase is a proteolytic enzyme with a molecular weight of approximately 40 kDa. It is mainly expressed in the juxtaglomerular cells of the kidneys. Renin plays an important role in the renin-angiotensin system where it initiates the conversion of angiotensinogen to angiotensin I. This process is the first step in a cascade leading to a series of effects in blood pressure regulation and fluid balance.
Biological function summary

The renin enzyme is responsible for blood pressure control and electrolyte homeostasis. It acts as a significant regulator within the renin-angiotensin aldosterone system (RAAS). By catalyzing the formation of angiotensin I from angiotensinogen renin sets off a sequence of reactions that influence vascular tone and sodium reabsorption. The activity of renin significantly interacts with various cardiovascular functions alongside complex regulatory feedback from other hormones such as aldosterone.

Pathways

Renin is a pivotal part of RAAS and interlinks with multiple cardiovascular pathways. The RAAS pathway involves angiotensinogen renin angiotensin I converting enzyme (ACE) and angiotensin II. Angiotensin II then acts on its receptor to mediate vasoconstriction and aldosterone secretion. The direct relationship between renin and ACE places this enzyme in the center of blood pressure management and has implications on kidney function and homeostasis.

High renin activity has connections with hypertension and cardiovascular diseases. Elevated renin levels contribute to increased angiotensin II production causing vasoconstriction and blood pressure elevation. Disorders like renal hypertension see direct involvement of the renin-angiotensin system. Therapeutic approaches often target RAAS with angiotensin-converting enzyme inhibitors (ACE inhibitors) and angiotensin receptor blockers aiming to mitigate the renin-related impact on these diseases.

Product protocols

For this product, it's our understanding that no specific protocols are required. You can visit:

Target data

Renin is a highly specific endopeptidase, whose only known function is to generate angiotensin I from angiotensinogen in the plasma, initiating a cascade of reactions that produce an elevation of blood pressure and increased sodium retention by the kidney.
See full target information REN

Publications (18)

Recent publications for all applications. Explore the full list and refine your search

Circulation research 137:1051-1068 PubMed40899273

2025

Calcium Oscillations Within Juxtaglomerular Cell Clusters Control Renin Release.

Applications

IHC-Fr

Species

Mouse

Hiroki Yamaguchi,Nick A Guagliardo,Laura A Bell,Manako Yamaguchi,Daisuke Matsuoka,Fang Xu,Jason P Smith,Mohamed Diagne,Sophie Condron,Lucas F Almeida,Silvia Medrano,Paula Q Barrett,Edward H Nieh,R Ariel Gomez,Maria Luisa S Sequeira-Lopez

The journal of headache and pain 26:179 PubMed40770605

2025

Compromised PGF2α signaling in the paraventricular hypothalamic nucleus contributes to the central sensitization of the nitroglycerin-induced chronic migraine in male mice.

Applications

Unspecified application

Species

Unspecified reactive species

Xianrong Hu,Lunquan Wu,Li Wang,Congxue Peng,Yunyun Tian,Qian Zhu,Hongwei Zhu,Liang Nie,Li Yin,Yuehui Zhang,Jiang Bian

International journal of medical sciences 22:971-981 PubMed39991763

2025

Kidney Injury under Diminished Pulsatile Flow Induced by V-A ECMO in Sheep.

Applications

Unspecified application

Species

Unspecified reactive species

Weidong Yan,Tianlong Wang,Jiachen Qi,Luyu Bian,Shengqiang Pei,Qiaoni Zhang,Sizhe Gao,Shujie Yan,Gang Liu,Yuan Teng,Jian Wang,Chun Zhou,Qian Wang,Jing Wang,Bingyang Ji

Urology case reports 57:102880 PubMed39583333

2024

Page kidney in a child with ureteropelvic junction obstruction of lower moiety in a partial duplex system.

Applications

Unspecified application

Species

Unspecified reactive species

Hidenori Nishio,Kentaro Mizuno,Takuya Sakata,Daisuke Matsumoto,Hideyuki Kamisawa,Satoshi Kurokawa,Akihiro Nakane,Tetsuji Maruyama,Takahiro Yasui,Yutaro Hayashi

Neurobiology of disease 202:106729 PubMed39515529

2024

Neuronal ACE1 knockout disrupts the hippocampal renin angiotensin system leading to memory impairment and vascular loss in normal aging.

Applications

Unspecified application

Species

Unspecified reactive species

Sohee Jeon,Miranda A Salvo,Alia O Alia,Jelena Popovic,Mitchell Zagardo,Sidhanth Chandra,Malik Nassan,David Gate,Robert Vassar,Leah K Cuddy

Frontiers in pharmacology 15:1415879 PubMed39434906

2024

SGLT2i and GLP1-RA exert additive cardiorenal protection with a RAS blocker in uninephrectomized db/db mice.

Applications

Unspecified application

Species

Unspecified reactive species

Nerea Martos-Guillami,Ander Vergara,Carmen Llorens-Cebrià,Aku Enam Motto,Irene Martínez-Díaz,Francisco Gonçalves,Maria Magdalena Garcias-Ramis,Estibaliz Allo-Urzainqui,Alonso Narváez,Sheila Bermejo,Vicent Muñoz,Juan León-Román,Roser Ferrer-Costa,Conxita Jacobs-Cachá,Jordi Vilardell-Vilà,María José Soler

Discovery medicine 35:525-532 PubMed37553306

2023

Macula Densa Nitric Oxide Synthase 1 Controls Renin Release and Renin-Dependent Blood Pressure Changes.

Applications

Unspecified application

Species

Unspecified reactive species

Catherine Liu,Ximing Wang,Colby Parris,Qi Pang,Muhammad Usman Naeem,Lei Wang

Cell & bioscience 12:197 PubMed36471394

2022

Activation of Piezo1 downregulates renin in juxtaglomerular cells and contributes to blood pressure homeostasis.

Applications

Unspecified application

Species

Unspecified reactive species

Xiaoqiang Yang,Honghui Zeng,Le Wang,Siweier Luo,Yiming Zhou

International journal of molecular sciences 23: PubMed36361612

2022

Enhanced Cardiorenal Protective Effects of Combining SGLT2 Inhibition, Endothelin Receptor Antagonism and RAS Blockade in Type 2 Diabetic Mice.

Applications

Unspecified application

Species

Unspecified reactive species

Ander Vergara,Conxita Jacobs-Cacha,Carmen Llorens-Cebria,Alberto Ortiz,Irene Martinez-Diaz,Nerea Martos,Pamela Dominguez-Báez,Mireia Molina Van den Bosch,Sheila Bermejo,Michael Paul Pieper,Begoña Benito,Maria Jose Soler

Scientific reports 12:5389 PubMed35354870

2022

A novel renal perivascular mesenchymal cell subset gives rise to fibroblasts distinct from classic myofibroblasts.

Applications

Unspecified application

Species

Unspecified reactive species

Shun Minatoguchi,Shoji Saito,Kazuhiro Furuhashi,Yuriko Sawa,Masaki Okazaki,Yuko Shimamura,Ahmad Baseer Kaihan,Yusaku Hashimoto,Yoshinari Yasuda,Akitoshi Hara,Yasuyuki Mizutani,Ryota Ando,Noritoshi Kato,Takuji Ishimoto,Naotake Tsuboi,Nobutoshi Esaki,Makoto Matsuyama,Yukihiro Shiraki,Hiroki Kobayashi,Naoya Asai,Atsushi Enomoto,Shoichi Maruyama
View all publications

Product promise

We are committed to supporting your work with high-quality reagents, and we're here for you every step of the way. In the unlikely event that one of our products does not perform as expected, you're protected by our Product Promise.
For full details, please see our Terms & Conditions

Please note: All products are 'FOR RESEARCH USE ONLY. NOT FOR USE IN DIAGNOSTIC OR THERAPEUTIC PROCEDURES'.

For licensing inquiries, please contact partnerships@abcam.com