JavaScript is disabled in your browser. Please enable JavaScript to view this website.
AB225743

Anti-Renin antibody [EPR20693] - BSA and Azide free

1

(1 Review)

|

(0 Publication)

Rabbit Recombinant Monoclonal Renin antibody. Carrier free. Suitable for IHC-Fr, IHC-P and reacts with Rat, Mouse, Human samples.

View Alternative Names

Renin, Angiotensinogenase, REN

4 Images
Immunohistochemistry (Formalin/PFA-fixed paraffin-embedded sections) - Anti-Renin antibody [EPR20693] - BSA and Azide free (AB225743)
  • IHC-P

Supplier Data

Immunohistochemistry (Formalin/PFA-fixed paraffin-embedded sections) - Anti-Renin antibody [EPR20693] - BSA and Azide free (AB225743)

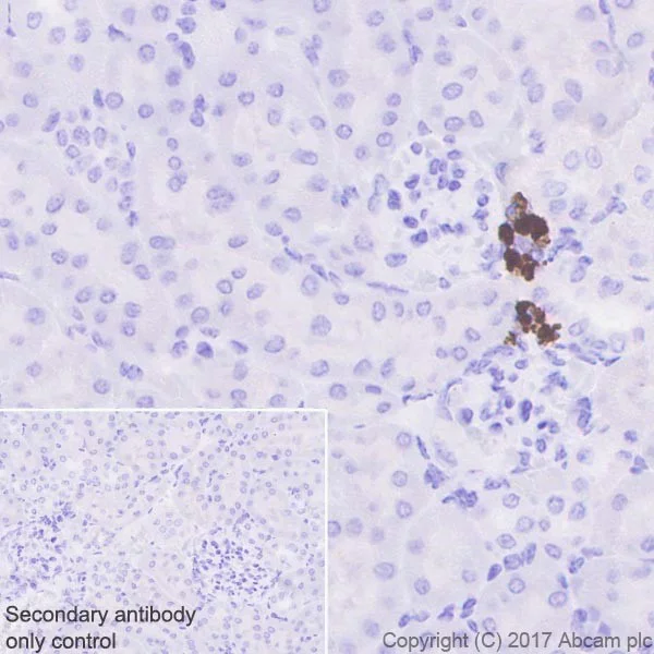
Immunohistochemical analysis of paraffin-embedded mouse kidney tissue labeling Renin with ab212197 at 1/5000 dilution, followed by Goat Anti-Rabbit IgG H&L (HRP) Ready to use. Cytoplasmic staining on juxtaglomerular cells of mouse kidney (PMID : 1898348). Counter stained with hematoxylin.

Secondary antibody only control : Used PBS instead of primary antibody, secondary antibody is Goat Anti-Rabbit IgG H&L (HRP) Ready to use.

Heat mediated antigen retrieval performed using ab93684 (Tris/EDTA buffer, pH 9.0).

This data was developed using the same antibody clone in a different buffer formulation containing PBS, BSA, glycerol, and sodium azide (ab212197).

Immunohistochemistry (Frozen sections) - Anti-Renin antibody [EPR20693] - BSA and Azide free (AB225743)
  • IHC-Fr

Supplier Data

Immunohistochemistry (Frozen sections) - Anti-Renin antibody [EPR20693] - BSA and Azide free (AB225743)

Immunohistochemical analysis of 4% paraformaldehyde-fixed, 0.2% Triton X-100 permeabilized frozen mouse kidney tissue labeling Renin with ab212197  at 1/6000 dilution, followed by Goat Anti-Rabbit IgG H&L (Alexa Fluor® 488) (ab150077) secondary antibody at 1/1000 dilution (green). Positive cytoplasmic staining in juxtaglomerular cells of mouse kidney tissue section (PMID : 27080979).

The nuclear counter stain is DAPI (blue).

Secondary antibody only control : Used PBS instead of primary antibody, secondary antibody is Goat Anti-Rabbit IgG H&L (Alexa Fluor® 488) (ab150077) secondary antibody at 1/1000 dilution.

Heat mediated antigen retrieval performed using Tris-EDTA buffer (pH9.0) (ab94681).

This data was developed using the same antibody clone in a different buffer formulation containing PBS, BSA, glycerol, and sodium azide (ab212197).

Immunohistochemistry (Frozen sections) - Anti-Renin antibody [EPR20693] - BSA and Azide free (AB225743)
  • IHC-Fr

Supplier Data

Immunohistochemistry (Frozen sections) - Anti-Renin antibody [EPR20693] - BSA and Azide free (AB225743)

Immunohistochemical analysis of 4% paraformaldehyde-fixed, 0.2% Triton X-100 permeabilized frozen rat kidney tissue labeling Renin with ab212197  at 1/6000 dilution, followed by Goat Anti-Rabbit IgG H&L (Alexa Fluor® 488) (ab150077) secondary antibody at 1/1000 dilution (green). Positive cytoplasmic staining in juxtaglomerular cells of rat kidney tissue section (PMID : 27080979).

The nuclear counter stain is DAPI (blue).

Secondary antibody only control : Used PBS instead of primary antibody, secondary antibody is Goat Anti-Rabbit IgG H&L (Alexa Fluor® 488) (ab150077) secondary antibody at 1/1000 dilution.

Heat mediated antigen retrieval performed using Tris-EDTA buffer (pH9.0) (ab94681).

This data was developed using the same antibody clone in a different buffer formulation containing PBS, BSA, glycerol, and sodium azide (ab212197).

Immunohistochemistry (Formalin/PFA-fixed paraffin-embedded sections) - Anti-Renin antibody [EPR20693] - BSA and Azide free (AB225743)
  • IHC-P

Supplier Data

Immunohistochemistry (Formalin/PFA-fixed paraffin-embedded sections) - Anti-Renin antibody [EPR20693] - BSA and Azide free (AB225743)

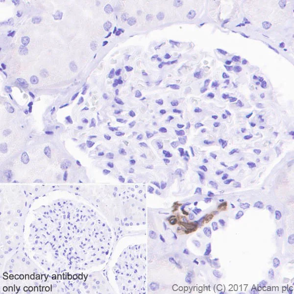
Immunohistochemical analysis of paraffin-embedded human kidney tissue labeling Renin with ab212197 at 1/2000 dilution, followed by Goat Anti-Rabbit IgG H&L (HRP) Ready to use. Cytoplasmic staining on juxtaglomerular cells of human kidney (PMID : 1898348). Counter stained with hematoxylin.

Secondary antibody only control : Used PBS instead of primary antibody, secondary antibody is Goat Anti-Rabbit IgG H&L (HRP) Ready to use.

Heat mediated antigen retrieval performed using ab93684 (Tris/EDTA buffer, pH 9.0).

This data was developed using the same antibody clone in a different buffer formulation containing PBS, BSA, glycerol, and sodium azide (ab212197).

Key facts

Host species

Rabbit

Clonality

Monoclonal

Clone number

EPR20693

Isotype

IgG

Carrier free

Yes

Reacts with

Mouse, Rat, Human

Applications

IHC-Fr, IHC-P

applications

Immunogen

The exact immunogen used to generate this antibody is proprietary information.

Reactivity data

{ "title": "Reactivity Data", "filters": { "stats": ["", "Species", "Dilution Info", "Notes"], "tabs": { "all-applications": {"fullname" : "All Applications", "shortname": "All Applications"}, "IHCFr" : {"fullname" : "Immunohistochemistry (Frozen sections)", "shortname":"IHC-Fr"}, "IHCP" : {"fullname" : "Immunohistochemistry (Formalin/PFA-fixed paraffin-embedded sections)", "shortname":"IHC-P"} }, "product-promise": { "all": "all", "testedAndGuaranteed": "tested", "guaranteed": "expected", "predicted": "predicted", "notRecommended": "not-recommended" } }, "values": { "Human": { "IHCFr-species-checked": "guaranteed", "IHCFr-species-dilution-info": "", "IHCFr-species-notes": "", "IHCP-species-checked": "testedAndGuaranteed", "IHCP-species-dilution-info": "", "IHCP-species-notes": "<p>This antibody is not recommended for rat species in IHC application. In our hands this antibody showed non-specific staining on rat kidney tissue sections</p> Perform heat-mediated antigen retrieval with Tris/EDTA buffer pH 9.0 before commencing with IHC staining protocol." }, "Mouse": { "IHCFr-species-checked": "testedAndGuaranteed", "IHCFr-species-dilution-info": "", "IHCFr-species-notes": "<p></p>", "IHCP-species-checked": "testedAndGuaranteed", "IHCP-species-dilution-info": "", "IHCP-species-notes": "<p>This antibody is not recommended for rat species in IHC application. In our hands this antibody showed non-specific staining on rat kidney tissue sections</p> Perform heat-mediated antigen retrieval with Tris/EDTA buffer pH 9.0 before commencing with IHC staining protocol." }, "Rat": { "IHCFr-species-checked": "testedAndGuaranteed", "IHCFr-species-dilution-info": "", "IHCFr-species-notes": "<p></p>", "IHCP-species-checked": "guaranteed", "IHCP-species-dilution-info": "", "IHCP-species-notes": "" } } }

You may be interested in:

AB138875

Renin Assay Kit (Fluorometric)

0

0 Reviews

View product

We recommend this product because it’s often used in the same experiment or related research.

We advise that you always check the datasheet to ensure it fits your experiments, or contact ourtechnical teamfor help.

Product details

Properties and storage information

Form
Liquid
Purification technique
Affinity purification Protein A
Storage buffer
pH: 7.2 - 7.4 Constituents: PBS
Shipped at conditions
Blue Ice
Appropriate short-term storage conditions
+4°C
Appropriate long-term storage conditions
+4°C
Storage information
Do Not Freeze

Supplementary information

This supplementary information is collated from multiple sources and compiled automatically.

Renin also known as angiotensinogenase is a proteolytic enzyme with a molecular weight of approximately 40 kDa. It is mainly expressed in the juxtaglomerular cells of the kidneys. Renin plays an important role in the renin-angiotensin system where it initiates the conversion of angiotensinogen to angiotensin I. This process is the first step in a cascade leading to a series of effects in blood pressure regulation and fluid balance.
Biological function summary

The renin enzyme is responsible for blood pressure control and electrolyte homeostasis. It acts as a significant regulator within the renin-angiotensin aldosterone system (RAAS). By catalyzing the formation of angiotensin I from angiotensinogen renin sets off a sequence of reactions that influence vascular tone and sodium reabsorption. The activity of renin significantly interacts with various cardiovascular functions alongside complex regulatory feedback from other hormones such as aldosterone.

Pathways

Renin is a pivotal part of RAAS and interlinks with multiple cardiovascular pathways. The RAAS pathway involves angiotensinogen renin angiotensin I converting enzyme (ACE) and angiotensin II. Angiotensin II then acts on its receptor to mediate vasoconstriction and aldosterone secretion. The direct relationship between renin and ACE places this enzyme in the center of blood pressure management and has implications on kidney function and homeostasis.

High renin activity has connections with hypertension and cardiovascular diseases. Elevated renin levels contribute to increased angiotensin II production causing vasoconstriction and blood pressure elevation. Disorders like renal hypertension see direct involvement of the renin-angiotensin system. Therapeutic approaches often target RAAS with angiotensin-converting enzyme inhibitors (ACE inhibitors) and angiotensin receptor blockers aiming to mitigate the renin-related impact on these diseases.

Product protocols

For this product, it's our understanding that no specific protocols are required. You can visit:

Target data

Renin is a highly specific endopeptidase, whose only known function is to generate angiotensin I from angiotensinogen in the plasma, initiating a cascade of reactions that produce an elevation of blood pressure and increased sodium retention by the kidney.
See full target information REN

Product promise

We are committed to supporting your work with high-quality reagents, and we're here for you every step of the way. In the unlikely event that one of our products does not perform as expected, you're protected by our Product Promise.
For full details, please see our Terms & Conditions

Associated Products

Select an associated product type
Alternative Product
Primary Antibodies

AB125012

Anti-Renin antibody [EPR6433]

primary-antibodies

renin-antibody-epr6433-ab125012

0

(0 reviews)

Alternative Product
Primary Antibodies

AB134783

Anti-Renin antibody [7D3-E3]

primary-antibodies

renin-antibody-7d3-e3-ab134783

0

(0 reviews)

Please note: All products are 'FOR RESEARCH USE ONLY. NOT FOR USE IN DIAGNOSTIC OR THERAPEUTIC PROCEDURES'.

For licensing inquiries, please contact partnerships@abcam.com