JavaScript is disabled in your browser. Please enable JavaScript to view this website.
AB64957

Anti-Renin Receptor antibody

4

(1 Review)

|

(8 Publications)

Rabbit Polyclonal Renin Receptor antibody. Suitable for WB, IHC-P, ICC/IF and reacts with Human samples. Cited in 8 publications. Immunogen corresponding to Synthetic Peptide within Human ATP6AP2.

View Alternative Names

ATP6IP2, CAPER, ELDF10, HT028, MSTP009, PSEC0072, ATP6AP2, Renin receptor, ATPase H(+)-transporting lysosomal accessory protein 2, ATPase H(+)-transporting lysosomal-interacting protein 2, ER-localized type I transmembrane adapter, Embryonic liver differentiation factor 10, N14F, Renin/prorenin receptor, Vacuolar ATP synthase membrane sector-associated protein M8-9, ATP6M8-9, V-ATPase M8.9 subunit

3 Images
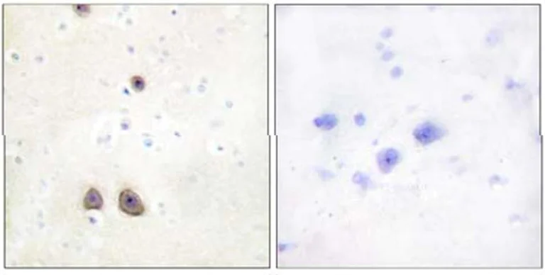
Immunohistochemistry (Formalin/PFA-fixed paraffin-embedded sections) - Anti-Renin Receptor antibody (AB64957)
  • IHC-P

Unknown

Immunohistochemistry (Formalin/PFA-fixed paraffin-embedded sections) - Anti-Renin Receptor antibody (AB64957)

Immunohistochemical analysis of paraffin-embedded human brain tissue using ab64957 at 1/50 dilution. Right hand panel was also treated with immunising peptide.

Immunocytochemistry/ Immunofluorescence - Anti-Renin Receptor antibody (AB64957)
  • ICC/IF

Unknown

Immunocytochemistry/ Immunofluorescence - Anti-Renin Receptor antibody (AB64957)

Immunofluorescence analysis of HeLa cells, using ab64957 at 1/500 dilution. Right hand panel was also treated with immunising peptide.

Western blot - Anti-Renin Receptor antibody (AB64957)
  • WB

Unknown

Western blot - Anti-Renin Receptor antibody (AB64957)

All lanes:

Western blot - Anti-Renin Receptor antibody (ab64957) at 1/500 dilution

Lane 1:

COLO205 cell extract at 5 µg

Lane 2:

HeLa cell extract at 5 µg

Lane 3:

HeLa cell extract at 5 µg with immunising peptide

Predicted band size: 39 kDa

Observed band size: 39 kDa

false

Key facts

Host species

Rabbit

Clonality

Polyclonal

Isotype

IgG

Carrier free

No

Reacts with

Human

Applications

ICC/IF, IHC-P, WB

applications

Immunogen

Synthetic Peptide within Human ATP6AP2. The exact immunogen used to generate this antibody is proprietary information.

O75787

Reactivity data

{ "title": "Reactivity Data", "filters": { "stats": ["", "Species", "Dilution Info", "Notes"], "tabs": { "all-applications": {"fullname" : "All Applications", "shortname": "All Applications"}, "WB" : {"fullname" : "Western blot", "shortname":"WB"}, "IHCP" : {"fullname" : "Immunohistochemistry (Formalin/PFA-fixed paraffin-embedded sections)", "shortname":"IHC-P"}, "ICCIF" : {"fullname" : "Immunocytochemistry/ Immunofluorescence", "shortname":"ICC/IF"} }, "product-promise": { "all": "all", "testedAndGuaranteed": "tested", "guaranteed": "expected", "predicted": "predicted", "notRecommended": "not-recommended" } }, "values": { "Human": { "WB-species-checked": "testedAndGuaranteed", "WB-species-dilution-info": "1/500 - 1/1000", "WB-species-notes": "<p></p>", "IHCP-species-checked": "testedAndGuaranteed", "IHCP-species-dilution-info": "1/50 - 1/100", "IHCP-species-notes": "<p></p>", "ICCIF-species-checked": "testedAndGuaranteed", "ICCIF-species-dilution-info": "1/500 - 1/1000", "ICCIF-species-notes": "<p></p>" }, "Mouse": { "WB-species-checked": "predicted", "WB-species-dilution-info": "", "WB-species-notes": "", "IHCP-species-checked": "predicted", "IHCP-species-dilution-info": "", "IHCP-species-notes": "", "ICCIF-species-checked": "predicted", "ICCIF-species-dilution-info": "", "ICCIF-species-notes": "" }, "Rat": { "WB-species-checked": "predicted", "WB-species-dilution-info": "", "WB-species-notes": "", "IHCP-species-checked": "predicted", "IHCP-species-dilution-info": "", "IHCP-species-notes": "", "ICCIF-species-checked": "predicted", "ICCIF-species-dilution-info": "", "ICCIF-species-notes": "" } } }

Properties and storage information

Form
Liquid
Purification technique
Affinity purification Immunogen
Storage buffer
pH: 7.4 Preservative: 0.02% Sodium azide Constituents: PBS, 50% Glycerol (glycerin, glycerine), 0.87% Sodium chloride
Shipped at conditions
Blue Ice
Appropriate short-term storage conditions
+4°C
Appropriate long-term storage conditions
-20°C
Storage information
Stable for 12 months at -20°C

Supplementary information

This supplementary information is collated from multiple sources and compiled automatically.

The Renin Receptor also known as ATP6AP2 or the (pro)renin receptor is an important protein involved in the regulation of the renin-angiotensin system. It has a molecular mass of approximately 37 kDa. Expressed widely across several tissues including the kidneys heart and brain it acts by binding renin and prorenin leading to their activation and subsequent signaling. This receptor also facilitates cellular responses by increasing the efficiency of angiotensinogen conversion to angiotensin I which is a precursor to the potent vasoconstrictor angiotensin II.
Biological function summary

The Renin Receptor participates in maintaining homeostasis within the renin-angiotensin-aldosterone system. It potentially forms part of a larger receptor complex by interacting with other pathway components. By modulating the activity of renin and prorenin it enhances blood pressure regulation and fluid balance contributing to cardiovascular function and cellular ion homeostasis. Its involvement extends to promoting cell signaling events related to growth development and metabolism through the MAPK pathway.

Pathways

The Renin Receptor integrates into the renin-angiotensin system and the Wnt signaling pathway. In the renin-angiotensin system the receptor interacts with proteins such as angiotensin-converting enzyme (ACE) and angiotensin receptors playing an important role in blood pressure and electrolyte balance. Its engagement in the Wnt pathway suggests a role in development and cellular proliferation highlighting its interaction with proteins involved in cellular communication and embryonic development.

The Renin Receptor is linked to hypertension and cardiovascular diseases. Its overactivity or dysregulation may lead to elevated blood pressure due to increased angiotensin II formation. Additionally it is associated with heart failure where it contributes to pathological cardiac remodeling. The receptor's interaction with ACE and the renin-angiotensin system components highlights its involvement in these cardiovascular disorders suggesting potential targets for therapeutic intervention.

Product protocols

For this product, it's our understanding that no specific protocols are required. You can visit:

Target data

Multifunctional protein which functions as a renin, prorenin cellular receptor and is involved in the assembly of the lysosomal proton-transporting V-type ATPase (V-ATPase) and the acidification of the endo-lysosomal system (PubMed : 12045255, PubMed : 29127204, PubMed : 30374053, PubMed : 32276428). May mediate renin-dependent cellular responses by activating ERK1 and ERK2 (PubMed : 12045255). By increasing the catalytic efficiency of renin in AGT/angiotensinogen conversion to angiotensin I, may also play a role in the renin-angiotensin system (RAS) (PubMed : 12045255). Through its function in V-type ATPase (v-ATPase) assembly and acidification of the lysosome it regulates protein degradation and may control different signaling pathways important for proper brain development, synapse morphology and synaptic transmission (By similarity).
See full target information ATP6AP2

Publications (8)

Recent publications for all applications. Explore the full list and refine your search

International journal of molecular sciences 25: PubMed38396894

2024

Renal Expression and Localization of the Receptor for (Pro)renin and Its Ligands in Rodent Models of Diabetes, Metabolic Syndrome, and Age-Dependent Focal and Segmental Glomerulosclerosis.

Applications

Unspecified application

Species

Unspecified reactive species

Carla Iacobini,Martina Vitale,Federica Sentinelli,Jonida Haxhi,Giuseppe Pugliese,Stefano Menini

PloS one 18:e0288622 PubMed37463144

2023

Cleavage of the V-ATPase associated prorenin receptor is mediated by PACE4 and is essential for growth of prostate cancer cells.

Applications

Unspecified application

Species

Unspecified reactive species

Amro H Mohammad,Frédéric Couture,Isabelle Gamache,Owen Chen,Wissal El-Assaad,Nelly Abdel-Malak,Anna Kwiatkowska,William Muller,Robert Day,Jose G Teodoro

Cell death discovery 8:161 PubMed35379787

2022

ATP6AP2 knockdown in cardiomyocyte deteriorates heart function via compromising autophagic flux and NLRP3 inflammasome activation.

Applications

Unspecified application

Species

Unspecified reactive species

Lei Li,Ya-Juan Cui,Yu Liu,Hui-Xin Li,Yu-Dong Su,Sheng-Nan Li,Lan-Lan Wang,Yue-Wen Zhao,Shuang-Xi Wang,Feng Yan,Bo Dong

PloS one 9:e92937 PubMed25302502

2014

Direct pro-inflammatory effects of prorenin on microglia.

Applications

IHC

Species

Mouse

Peng Shi,Justin L Grobe,Fiona A Desland,Guannan Zhou,Xiao Z Shen,Zhiying Shan,Meng Liu,Mohan K Raizada,Colin Sumners

Journal of the renin-angiotensin-aldosterone syste 16:59-66 PubMed25287897

2014

Expression of classical components of the renin-angiotensin system in the human eye.

Applications

IHC

Species

Human

Andrew J R White,Sarat C Cheruvu,Maria Sarris,Surabhi S Liyanage,Eugenie Lumbers,Jeanie Chui,Denis Wakefield,Peter J McCluskey

Journal of the renin-angiotensin-aldosterone syste 16:1135-48 PubMed24961503

2014

Nuclear expression of renin-angiotensin system components in NRK-52E renal epithelial cells.

Applications

ICC/IF

Species

Unspecified reactive species

Ebaa M Alzayadneh,Mark C Chappell

Placenta 32:956-62 PubMed22018415

2011

The expression and localization of the human placental prorenin/renin-angiotensin system throughout pregnancy: roles in trophoblast invasion and angiogenesis?

Applications

Unspecified application

Species

Unspecified reactive species

K G Pringle,M A Tadros,R J Callister,E R Lumbers

Placenta 32:214-21 PubMed21215447

2011

Molecular characterization of renin-angiotensin system components in human intrauterine tissues and fetal membranes from vaginal delivery and cesarean section.

Applications

Unspecified application

Species

Unspecified reactive species

F Z Marques,K G Pringle,A Conquest,J J Hirst,M A Markus,M Sarris,T Zakar,B J Morris,E R Lumbers
View all publications

Product promise

We are committed to supporting your work with high-quality reagents, and we're here for you every step of the way. In the unlikely event that one of our products does not perform as expected, you're protected by our Product Promise.
For full details, please see our Terms & Conditions

Please note: All products are 'FOR RESEARCH USE ONLY. NOT FOR USE IN DIAGNOSTIC OR THERAPEUTIC PROCEDURES'.

For licensing inquiries, please contact partnerships@abcam.com