JavaScript is disabled in your browser. Please enable JavaScript to view this website.
AB243911

Anti-RENT1/hUPF1 antibody [EPR4681] - BSA and Azide free

Be the first to review this product! Submit a review

|

(1 Publication)

Rabbit Recombinant Monoclonal RENT1/hUPF1 antibody. Carrier free. Suitable for IHC-P, IP, WB, ICC/IF, Flow Cyt (Intra) and reacts with Human, Mouse samples. Cited in 1 publication.

View Alternative Names

KIAA0221, RENT1, UPF1, Regulator of nonsense transcripts 1, ATP-dependent helicase RENT1, Nonsense mRNA reducing factor 1, Up-frameshift suppressor 1 homolog, NORF1, hUpf1

8 Images
Immunocytochemistry/ Immunofluorescence - Anti-RENT1/hUPF1 antibody [EPR4681] - BSA and Azide free (AB243911)
  • ICC/IF

Unknown

Immunocytochemistry/ Immunofluorescence - Anti-RENT1/hUPF1 antibody [EPR4681] - BSA and Azide free (AB243911)

Immunocytochemistry/ Immunofluorescence analysis of HeLa (Human cervix adenocarcinoma epithelial cell) cells labeling RENT1/hUPF1 with Purified ab109363 at 1 : 100 dilution (5.1 μg/ml). Cells were fixed in 100% Methanol and permeabilized with None. Cells were counterstained with ab195889 Anti-alpha Tubulin antibody [DM1A] - Microtubule Marker (Alexa Fluor® 594) 1 : 200 (2.5 μg/ml). Goat anti rabbit IgG (Alexa Fluor® 488, ab150077) was used as the secondary antibody at 1 : 1000 (2 μg/ml) dilution. DAPI nuclear counterstain. PBS instead of the primary antibody was used as the secondary antibody only control.

This data was developed using the same antibody clone in a different buffer formulation containing PBS, BSA, glycerol, and sodium azide (ab109363)

Flow Cytometry (Intracellular) - Anti-RENT1/hUPF1 antibody [EPR4681] - BSA and Azide free (AB243911)
  • Flow Cyt (Intra)

Unknown

Flow Cytometry (Intracellular) - Anti-RENT1/hUPF1 antibody [EPR4681] - BSA and Azide free (AB243911)

Intracellular Flow Cytometry analysis of HeLa (Human cervix adenocarcinoma epithelial cell) cells labeling RENT1/hUPF1 with Purified ab109363 at 1/50 dilution (10μg/ml) (red). Cells were fixed with 4% Paraformaldehyde. A Goat anti rabbit IgG (Alexa Fluor® 488, ab150077) secondary antibody was used at 1/2000. Isotype control - Rabbit monoclonal IgG (Black). Unlabeled control - Cell without incubation with primary antibody and secondary antibody (Blue).

This data was developed using the same antibody clone in a different buffer formulation containing PBS, BSA, glycerol, and sodium azide (ab109363)

Immunohistochemistry (Formalin/PFA-fixed paraffin-embedded sections) - Anti-RENT1/hUPF1 antibody [EPR4681] - BSA and Azide free (AB243911)
  • IHC-P

Unknown

Immunohistochemistry (Formalin/PFA-fixed paraffin-embedded sections) - Anti-RENT1/hUPF1 antibody [EPR4681] - BSA and Azide free (AB243911)

ab109363, at 1/100, staining RENT1/hUPF1 in Human transitional cell carcinoma tissue by immunohistochemistry.

This data was developed using the same antibody clone in a different buffer formulation containing PBS, BSA, glycerol, and sodium azide (ab109363)

This image was generated using the unpurified version of the product.

Heat mediated antigen retrieval was performed with citrate buffer pH 6 before commencing with IHC staining protocol.

Immunohistochemistry (Formalin/PFA-fixed paraffin-embedded sections) - Anti-RENT1/hUPF1 antibody [EPR4681] - BSA and Azide free (AB243911)
  • IHC-P

Unknown

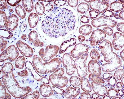
Immunohistochemistry (Formalin/PFA-fixed paraffin-embedded sections) - Anti-RENT1/hUPF1 antibody [EPR4681] - BSA and Azide free (AB243911)

ab109363, at 1/100, staining RENT1/hUPF1 in Human kidney tissue by immunohistochemistry.

This data was developed using the same antibody clone in a different buffer formulation containing PBS, BSA, glycerol, and sodium azide (ab109363)

This image was generated using the unpurified version of the product.

Perform heat mediated antigen retrieval with citrate buffer pH 6 before commencing with IHC staining protocol.

Immunocytochemistry/ Immunofluorescence - Anti-RENT1/hUPF1 antibody [EPR4681] - BSA and Azide free (AB243911)
  • ICC/IF

Unknown

Immunocytochemistry/ Immunofluorescence - Anti-RENT1/hUPF1 antibody [EPR4681] - BSA and Azide free (AB243911)

ab109363, at 1/100, staining RENT1/hUPF1 in HeLa cells by immunofluorescence.

This data was developed using the same antibody clone in a different buffer formulation containing PBS, BSA, glycerol, and sodium azide (ab109363)

This image was generated using the unpurified version of the product.

Immunocytochemistry/ Immunofluorescence - Anti-RENT1/hUPF1 antibody [EPR4681] - BSA and Azide free (AB243911)
  • ICC/IF

Lab

Immunocytochemistry/ Immunofluorescence - Anti-RENT1/hUPF1 antibody [EPR4681] - BSA and Azide free (AB243911)

Immunocytochemistry/Immunofluorescence analysis of HeLa (human cervix adenocarcinoma) cells labelling RENT1/hUPF1 with purified ab109363 at 1/500. Cells were fixed with 100% methanol. ab150077, Alexa Fluor® 488-conjugated goat anti-rabbit IgG (1/1000) was used as the secondary antibody. Nuclei were counterstained with DAPI (blue).

Secondary Only Control : PBS was used instead of the primary antibody as the negative control

This data was developed using the same antibody clone in a different buffer formulation containing PBS, BSA, glycerol, and sodium azide (ab109363)

Immunohistochemistry (Formalin/PFA-fixed paraffin-embedded sections) - Anti-RENT1/hUPF1 antibody [EPR4681] - BSA and Azide free (AB243911)
  • IHC-P

Unknown

Immunohistochemistry (Formalin/PFA-fixed paraffin-embedded sections) - Anti-RENT1/hUPF1 antibody [EPR4681] - BSA and Azide free (AB243911)

Immunohistochemistry (Formalin/PFA-fixed paraffin-embedded sections) analysis of Human liver tissue sections labeling RENT1/hUPF1 with Purified ab109363 at 1 : 100 dilution (5.14 μg/ml). Heat mediated antigen retrieval was performed using ab93684 (Tris/EDTA buffer, pH 9.0). ImmunoHistoProbe one step HRP Polymer (ready to use)was used as the secondary antibody. Negative control : PBS instead of the primary antibody. Hematoxylin was used as a counterstain.

This data was developed using the same antibody clone in a different buffer formulation containing PBS, BSA, glycerol, and sodium azide (ab109363)

Immunoprecipitation - Anti-RENT1/hUPF1 antibody [EPR4681] - BSA and Azide free (AB243911)
  • IP

Unknown

Immunoprecipitation - Anti-RENT1/hUPF1 antibody [EPR4681] - BSA and Azide free (AB243911)

ab109363 (purified) at 1 : 30 dilution (2μg) immunoprecipitating RENT1/hUPF1 in Raji whole cell lysate.

Lane 1 (input) : Raji (Human Burkitt's lymphoma B lymphocyte) whole cell lysate 10μg
Lane 2 (+) : ab109363 & Raji whole cell lysate
Lane 3 (-) : Rabbit monoclonal IgG (ab172730) instead of ab109363 in Raji whole cell lysate
For western blotting, VeriBlot for IP Detection Reagent (HRP) (ab131366) was used for detection at 1 : 1000 dilution.
Blocking and diluting buffer : 5% NFDM/TBST.

This data was developed using the same antibody clone in a different buffer formulation containing PBS, BSA, glycerol, and sodium azide (ab109363)

All lanes:

Immunoprecipitation - Anti-RENT1/hUPF1 antibody [EPR4681] (<a href='/en-us/products/primary-antibodies/rent1-hupf1-antibody-epr4681-ab109363'>ab109363</a>)

Predicted band size: 124 kDa

false

  • Unconjugated

    Anti-RENT1/hUPF1 antibody [EPR4681]

  • 665 Alexa Fluor® 647

    Alexa Fluor® 647 Anti-RENT1/hUPF1 antibody [EPR4681]

  • HRP

    HRP Anti-RENT1/hUPF1 antibody [EPR4681]

  • 519 Alexa Fluor® 488

    Alexa Fluor® 488 Anti-RENT1/hUPF1 antibody [EPR4681]

Key facts

Host species

Rabbit

Clonality

Monoclonal

Clone number

EPR4681

Isotype

IgG

Carrier free

Yes

Reacts with

Mouse, Human

Applications

IHC-P, IP, ICC/IF, Flow Cyt (Intra), WB

applications

Immunogen

The exact immunogen used to generate this antibody is proprietary information.

Reactivity data

{ "title": "Reactivity Data", "filters": { "stats": ["", "Species", "Dilution Info", "Notes"], "tabs": { "all-applications": {"fullname" : "All Applications", "shortname": "All Applications"}, "IHCP" : {"fullname" : "Immunohistochemistry (Formalin/PFA-fixed paraffin-embedded sections)", "shortname":"IHC-P"}, "IP" : {"fullname" : "Immunoprecipitation", "shortname":"IP"}, "WB" : {"fullname" : "Western blot", "shortname":"WB"}, "ICCIF" : {"fullname" : "Immunocytochemistry/ Immunofluorescence", "shortname":"ICC/IF"}, "FlowCytIntra" : {"fullname" : "Flow Cytometry (Intracellular)", "shortname":"Flow Cyt (Intra)"} }, "product-promise": { "all": "all", "testedAndGuaranteed": "tested", "guaranteed": "expected", "predicted": "predicted", "notRecommended": "not-recommended" } }, "values": { "Human": { "IHCP-species-checked": "testedAndGuaranteed", "IHCP-species-dilution-info": "", "IHCP-species-notes": "<p></p>", "IP-species-checked": "testedAndGuaranteed", "IP-species-dilution-info": "", "IP-species-notes": "<p></p>", "WB-species-checked": "guaranteed", "WB-species-dilution-info": "", "WB-species-notes": "<p></p>", "ICCIF-species-checked": "testedAndGuaranteed", "ICCIF-species-dilution-info": "", "ICCIF-species-notes": "<p></p>", "FlowCytIntra-species-checked": "testedAndGuaranteed", "FlowCytIntra-species-dilution-info": "", "FlowCytIntra-species-notes": "<p></p>" }, "Mouse": { "IHCP-species-checked": "notRecommended", "IHCP-species-dilution-info": "", "IHCP-species-notes": "<p></p>", "IP-species-checked": "predicted", "IP-species-dilution-info": "", "IP-species-notes": "", "WB-species-checked": "guaranteed", "WB-species-dilution-info": "", "WB-species-notes": "<p></p>", "ICCIF-species-checked": "predicted", "ICCIF-species-dilution-info": "", "ICCIF-species-notes": "", "FlowCytIntra-species-checked": "predicted", "FlowCytIntra-species-dilution-info": "", "FlowCytIntra-species-notes": "" } } }

Product details

ab243911 is the carrier-free version of ab109363.

Patented technology
Our RabMAb® technology is a patented hybridoma-based technology for making rabbit monoclonal antibodies. For details on our patents, please refer to RabMAb® patents.

What are the advantages of a recombinant monoclonal antibody?
This product is a recombinant monoclonal antibody, which offers several advantages including:

  • - High batch-to-batch consistency and reproducibility
  • - Improved sensitivity and specificity
  • - Long-term security of supply
  • - Animal-free batch production

For more information, read more on recombinant antibodies.

Species reactivity
Rat: We have preliminary internal testing data to indicate this antibody may not react with this species.
Please contact us for more information.

Conjugation ready
Our carrier-free antibodies are typically supplied in a PBS-only formulation, purified and free of BSA, sodium azide and glycerol. This conjugation-ready format is designed for use with fluorochromes, metal isotopes, oligonucleotides, and enzymes, which makes them ideal for antibody labelling, functional and cell-based assays, flow-based assays (e.g. mass cytometry) and Multiplex Imaging applications.

Use our conjugation kits for antibody conjugates that are ready-to-use in as little as 20 minutes with 1 minute hands-on-time and 100% antibody recovery: available for fluorescent dyes, HRP, biotin and gold.

Compatibility
This product is compatible with the Maxpar® Antibody Labeling Kit from Fluidigm, without the need for antibody preparation. Maxpar® is a trademark of Fluidigm Canada Inc.

Properties and storage information

Form
Liquid
Purification technique
Affinity purification Protein A
Storage buffer
pH: 7.2 - 7.4 Constituents: PBS
Shipped at conditions
Blue Ice
Appropriate short-term storage conditions
+4°C
Appropriate long-term storage conditions
+4°C
Storage information
Do Not Freeze

Supplementary information

This supplementary information is collated from multiple sources and compiled automatically.

RENT1/hUPF1 also known as regulator of nonsense transcripts 1 or human UPF1 is an important factor in RNA surveillance mechanisms. It is an ATP-dependent helicase with a molecular mass of approximately 130 kDa. This protein is ubiquitously expressed in various tissues highlighting its importance across different biological systems. Mechanically UPF1 plays an essential role in the nonsense-mediated mRNA decay (NMD) pathway where it interacts with other core NMD factors to identify and degrade mRNAs containing premature stop codons.
Biological function summary

RENT1/hUPF1 ensures the quality control of mRNA by facilitating the rapid degradation of defective transcripts and thereby preventing the synthesis of potentially harmful truncated proteins. As part of the NMD complex UPF1 partners with proteins like UPF2 and UPF3 to form a surveillance mechanism that maintains cellular homeostasis. The complex cooperates to distinguish transcripts that require elimination from those necessary for normal cellular function.

Pathways

RENT1/hUPF1 integrates into essential cellular pathways beyond just NMD. The protein also links to the mRNA decay and translation initiation pathways playing significant roles alongside proteins such as SMG1 and eRF1. In these pathways UPF1 regulates gene expression by modulating mRNA stability and protein synthesis ensuring that only correctly processed mRNAs translate into proteins.

RENT1/hUPF1 connects to conditions like neurodevelopmental disorders and cancer. Dysregulation of UPF1 activity can lead to improper mRNA decay contributing to the accumulation of faulty transcripts which may drive disease pathogenesis. In particular UPF1 alterations are linked to the disruption of pathways involving key proteins like p53 which are critical in tumor suppression. Understanding UPF1's role in these disorders could present opportunities for therapeutic interventions.

Product protocols

For this product, it's our understanding that no specific protocols are required. You can visit:

Target data

RNA-dependent helicase required for nonsense-mediated decay (NMD) of aberrant mRNAs containing premature stop codons and modulates the expression level of normal mRNAs (PubMed : 11163187, PubMed : 16086026, PubMed : 18172165, PubMed : 21145460, PubMed : 21419344, PubMed : 24726324). Is recruited to mRNAs upon translation termination and undergoes a cycle of phosphorylation and dephosphorylation; its phosphorylation appears to be a key step in NMD (PubMed : 11544179, PubMed : 25220460). Recruited by release factors to stalled ribosomes together with the SMG1C protein kinase complex to form the transient SURF (SMG1-UPF1-eRF1-eRF3) complex (PubMed : 19417104). In EJC-dependent NMD, the SURF complex associates with the exon junction complex (EJC) (located 50-55 or more nucleotides downstream from the termination codon) through UPF2 and allows the formation of an UPF1-UPF2-UPF3 surveillance complex which is believed to activate NMD (PubMed : 21419344). Phosphorylated UPF1 is recognized by EST1B/SMG5, SMG6 and SMG7 which are thought to provide a link to the mRNA degradation machinery involving exonucleolytic and endonucleolytic pathways, and to serve as adapters to protein phosphatase 2A (PP2A), thereby triggering UPF1 dephosphorylation and allowing the recycling of NMD factors (PubMed : 12554878). UPF1 can also activate NMD without UPF2 or UPF3, and in the absence of the NMD-enhancing downstream EJC indicative for alternative NMD pathways (PubMed : 18447585). Plays a role in replication-dependent histone mRNA degradation at the end of phase S; the function is independent of UPF2 (PubMed : 16086026, PubMed : 18172165). For the recognition of premature termination codons (PTC) and initiation of NMD a competitive interaction between UPF1 and PABPC1 with the ribosome-bound release factors is proposed (PubMed : 18447585, PubMed : 25220460). The ATPase activity of UPF1 is required for disassembly of mRNPs undergoing NMD (PubMed : 21145460). Together with UPF2 and dependent on TDRD6, mediates the degradation of mRNA harboring long 3'UTR by inducing the NMD machinery (By similarity). Also capable of unwinding double-stranded DNA and translocating on single-stranded DNA (PubMed : 30218034).
See full target information UPF1

Publications (1)

Recent publications for all applications. Explore the full list and refine your search

Cell death and differentiation : PubMed40770563

2025

ABCC10-mediated cGAMP efflux drives cancer cell radiotherapy resistance.

Applications

Unspecified application

Species

Unspecified reactive species

Zhengyang Zhang,Jie Gao,Xiang Liao,Zining Zhang,Xiongfeng Cao,Yi Gong,Wenlong Chen,Lirong Zhang,Hsiang-I Tsai,Dongqing Wang,Haitao Zhu
View all publications

Product promise

We are committed to supporting your work with high-quality reagents, and we're here for you every step of the way. In the unlikely event that one of our products does not perform as expected, you're protected by our Product Promise.
For full details, please see our Terms & Conditions

Please note: All products are 'FOR RESEARCH USE ONLY. NOT FOR USE IN DIAGNOSTIC OR THERAPEUTIC PROCEDURES'.

For licensing inquiries, please contact partnerships@abcam.com