JavaScript is disabled in your browser. Please enable JavaScript to view this website.
AB91462

Anti-Reptin/TIP49B/RUVB2 antibody

4

(1 Review)

|

(3 Publications)

Rabbit Polyclonal Reptin/TIP49B/RUVB2 antibody. Suitable for IHC-P, IP, WB and reacts with Human, Mouse samples. Cited in 3 publications.

View Alternative Names

INO80J, TIP48, TIP49B, CGI-46, RUVBL2, RuvB-like 2, 48 kDa TATA box-binding protein-interacting protein, 51 kDa erythrocyte cytosolic protein, INO80 complex subunit J, Repressing pontin 52, TIP49b, TIP60-associated protein 54-beta, 48 kDa TBP-interacting protein, ECP-51, Reptin 52, TAP54-beta

3 Images
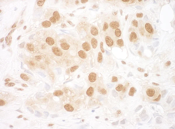
Immunohistochemistry (Formalin/PFA-fixed paraffin-embedded sections) - Anti-Reptin/TIP49B/RUVB2 antibody (AB91462)
  • IHC-P

Unknown

Immunohistochemistry (Formalin/PFA-fixed paraffin-embedded sections) - Anti-Reptin/TIP49B/RUVB2 antibody (AB91462)

Immunohistochemistry (Formalin/PFA-fixed paraffin-embedded sections) analysis of human breast carcinoma tissue labelling Reptin/TIP49B/RUVB2 with ab91462 at 1/1000 (1µg/ml). Detection : DAB.

Immunoprecipitation - Anti-Reptin/TIP49B/RUVB2 antibody (AB91462)
  • IP

Unknown

Immunoprecipitation - Anti-Reptin/TIP49B/RUVB2 antibody (AB91462)

ab91462 at 1 µg/ml detecting Reptin/TIP49B/RUVB2 in HeLa whole cell lysate by WB following IP. Immunoprecipitation utilised ab91462 at 10 µg/mg of lysate (lane 1). Reptin/TIP49B/RUVB2 was also immunoprecipitated by an antibody to an downstream epitope of Reptin/TIP49B/RUVB2 (lane 2) but not by control IgG (lane 3). 1 mg of lysate was used for IP and 20% of IP was loaded. Detection utilised ECL with a 30 second exposure.

All lanes:

Immunoprecipitation - Anti-Reptin/TIP49B/RUVB2 antibody (ab91462)

Predicted band size: 51 kDa

false

Western blot - Anti-Reptin/TIP49B/RUVB2 antibody (AB91462)
  • WB

Unknown

Western blot - Anti-Reptin/TIP49B/RUVB2 antibody (AB91462)

All lanes:

Western blot - Anti-Reptin/TIP49B/RUVB2 antibody (ab91462) at 0.1 µg/mL

Lane 1:

HeLa whole cell lysate at 50 µg

Lane 2:

HeLa whole cell lysate at 15 µg

Lane 3:

HeLa whole cell lysate at 5 µg

Lane 4:

293T whole cell lysate at 50 µg

Lane 5:

Mouse NIH3T3 whole cell lysate at 50 µg

Predicted band size: 51 kDa

true

Exposure time: 3min

Key facts

Host species

Rabbit

Clonality

Polyclonal

Isotype

IgG

Carrier free

No

Reacts with

Mouse, Human

Applications

IHC-P, IP, WB

applications

Immunogen

The exact immunogen used to generate this antibody is proprietary information.

Reactivity data

{ "title": "Reactivity Data", "filters": { "stats": ["", "Species", "Dilution Info", "Notes"], "tabs": { "all-applications": {"fullname" : "All Applications", "shortname": "All Applications"}, "IHCP" : {"fullname" : "Immunohistochemistry (Formalin/PFA-fixed paraffin-embedded sections)", "shortname":"IHC-P"}, "IP" : {"fullname" : "Immunoprecipitation", "shortname":"IP"}, "WB" : {"fullname" : "Western blot", "shortname":"WB"} }, "product-promise": { "all": "all", "testedAndGuaranteed": "tested", "guaranteed": "expected", "predicted": "predicted", "notRecommended": "not-recommended" } }, "values": { "Human": { "IHCP-species-checked": "testedAndGuaranteed", "IHCP-species-dilution-info": "1/500 - 1/2000", "IHCP-species-notes": "<p></p> Perform heat-mediated antigen retrieval with citrate buffer pH 6 before commencing with IHC staining protocol.", "IP-species-checked": "testedAndGuaranteed", "IP-species-dilution-info": "5-15 µg/mg of lysate", "IP-species-notes": "<p></p>", "WB-species-checked": "testedAndGuaranteed", "WB-species-dilution-info": "1/2000 - 1/10000", "WB-species-notes": "<p></p>" }, "Mouse": { "IHCP-species-checked": "guaranteed", "IHCP-species-dilution-info": "", "IHCP-species-notes": "", "IP-species-checked": "guaranteed", "IP-species-dilution-info": "", "IP-species-notes": "", "WB-species-checked": "testedAndGuaranteed", "WB-species-dilution-info": "1/2000 - 1/10000", "WB-species-notes": "<p></p>" }, "Rat": { "IHCP-species-checked": "predicted", "IHCP-species-dilution-info": "", "IHCP-species-notes": "", "IP-species-checked": "predicted", "IP-species-dilution-info": "", "IP-species-notes": "", "WB-species-checked": "predicted", "WB-species-dilution-info": "", "WB-species-notes": "" }, "Chimpanzee": { "IHCP-species-checked": "predicted", "IHCP-species-dilution-info": "", "IHCP-species-notes": "", "IP-species-checked": "predicted", "IP-species-dilution-info": "", "IP-species-notes": "", "WB-species-checked": "predicted", "WB-species-dilution-info": "", "WB-species-notes": "" }, "Cow": { "IHCP-species-checked": "predicted", "IHCP-species-dilution-info": "", "IHCP-species-notes": "", "IP-species-checked": "predicted", "IP-species-dilution-info": "", "IP-species-notes": "", "WB-species-checked": "predicted", "WB-species-dilution-info": "", "WB-species-notes": "" }, "Dog": { "IHCP-species-checked": "predicted", "IHCP-species-dilution-info": "", "IHCP-species-notes": "", "IP-species-checked": "predicted", "IP-species-dilution-info": "", "IP-species-notes": "", "WB-species-checked": "predicted", "WB-species-dilution-info": "", "WB-species-notes": "" }, "Ferret": { "IHCP-species-checked": "predicted", "IHCP-species-dilution-info": "", "IHCP-species-notes": "", "IP-species-checked": "predicted", "IP-species-dilution-info": "", "IP-species-notes": "", "WB-species-checked": "predicted", "WB-species-dilution-info": "", "WB-species-notes": "" }, "Gorilla": { "IHCP-species-checked": "predicted", "IHCP-species-dilution-info": "", "IHCP-species-notes": "", "IP-species-checked": "predicted", "IP-species-dilution-info": "", "IP-species-notes": "", "WB-species-checked": "predicted", "WB-species-dilution-info": "", "WB-species-notes": "" }, "Guinea pig": { "IHCP-species-checked": "predicted", "IHCP-species-dilution-info": "", "IHCP-species-notes": "", "IP-species-checked": "predicted", "IP-species-dilution-info": "", "IP-species-notes": "", "WB-species-checked": "predicted", "WB-species-dilution-info": "", "WB-species-notes": "" }, "Horse": { "IHCP-species-checked": "predicted", "IHCP-species-dilution-info": "", "IHCP-species-notes": "", "IP-species-checked": "predicted", "IP-species-dilution-info": "", "IP-species-notes": "", "WB-species-checked": "predicted", "WB-species-dilution-info": "", "WB-species-notes": "" }, "Orangutan": { "IHCP-species-checked": "predicted", "IHCP-species-dilution-info": "", "IHCP-species-notes": "", "IP-species-checked": "predicted", "IP-species-dilution-info": "", "IP-species-notes": "", "WB-species-checked": "predicted", "WB-species-dilution-info": "", "WB-species-notes": "" }, "Pig": { "IHCP-species-checked": "predicted", "IHCP-species-dilution-info": "", "IHCP-species-notes": "", "IP-species-checked": "predicted", "IP-species-dilution-info": "", "IP-species-notes": "", "WB-species-checked": "predicted", "WB-species-dilution-info": "", "WB-species-notes": "" }, "Rabbit": { "IHCP-species-checked": "predicted", "IHCP-species-dilution-info": "", "IHCP-species-notes": "", "IP-species-checked": "predicted", "IP-species-dilution-info": "", "IP-species-notes": "", "WB-species-checked": "predicted", "WB-species-dilution-info": "", "WB-species-notes": "" }, "Rhesus monkey": { "IHCP-species-checked": "predicted", "IHCP-species-dilution-info": "", "IHCP-species-notes": "", "IP-species-checked": "predicted", "IP-species-dilution-info": "", "IP-species-notes": "", "WB-species-checked": "predicted", "WB-species-dilution-info": "", "WB-species-notes": "" } } }

Properties and storage information

Form
Liquid
Purification technique
Affinity purification Immunogen
Purification notes
This antibody was affinity purified using an epitope specific to Reptin/TIP49B/RUVB2 immobilized on solid support
Storage buffer
pH: 7 - 8 Preservative: 0.09% Sodium azide Constituents: Tris citrate/phosphate
Shipped at conditions
Blue Ice
Appropriate short-term storage conditions
+4°C
Appropriate long-term storage conditions
+4°C
Aliquoting information
Upon delivery aliquot
Storage information
Avoid freeze / thaw cycle

Supplementary information

This supplementary information is collated from multiple sources and compiled automatically.

Reptin also known as TIP49B or RUVB2 is an ATPase with a mass of approximately 52 kDa. It is expressed ubiquitously across various tissues playing significant roles in cellular processes. Mechanically Reptin functions as part of a complex that facilitates chromatin remodeling and transcription regulation. It often works in conjunction with its paralog Pontin/TIP49A/RUVB1 forming a dodecameric ring structure essential for its activity.
Biological function summary

Reptin plays essential roles in modulating gene expression and contributing to the assembly of ribonucleoprotein complexes. It forms part of the chromatin remodeling complexes such as INO80 and TIP60 participating in DNA repair processes and transcriptional regulation. Its function in these complexes makes it indispensable for maintaining genomic integrity and controlling cell cycle progression.

Pathways

Various critical cellular pathways involve Reptin's biological function. It is an important player in the Wnt/beta-catenin signaling pathway where it regulates the transcription of target genes. Additionally Reptin associates with the Myc pathway contributing to oncogenic transformation. In these pathways Reptin interacts with proteins like beta-catenin and c-Myc integrating signals necessary for cell proliferation and differentiation.

Aberrant Reptin activity links to cancer and neurological disorders. Overexpression of Reptin has strong connections to tumor progression and metastasis in cancers including colorectal and lung cancer. In these diseases Reptin partners with proteins such as c-Myc augmenting its transcriptional activity to promote cell growth. Additionally Reptin's dysregulation may influence neurodegenerative conditions by disrupting protein complexes involved in maintaining neural functions.

Product protocols

For this product, it's our understanding that no specific protocols are required. You can visit:

Target data

Possesses single-stranded DNA-stimulated ATPase and ATP-dependent DNA helicase (5' to 3') activity; hexamerization is thought to be critical for ATP hydrolysis and adjacent subunits in the ring-like structure contribute to the ATPase activity (PubMed : 10428817, PubMed : 17157868, PubMed : 33205750). Component of the NuA4 histone acetyltransferase complex which is involved in transcriptional activation of select genes principally by acetylation of nucleosomal histones H4 and H2A (PubMed : 14966270). This modification may both alter nucleosome -DNA interactions and promote interaction of the modified histones with other proteins which positively regulate transcription (PubMed : 14966270). This complex may be required for the activation of transcriptional programs associated with oncogene and proto-oncogene mediated growth induction, tumor suppressor mediated growth arrest and replicative senescence, apoptosis, and DNA repair (PubMed : 14966270). The NuA4 complex ATPase and helicase activities seem to be, at least in part, contributed by the association of RUVBL1 and RUVBL2 with EP400 (PubMed : 14966270). NuA4 may also play a direct role in DNA repair when recruited to sites of DNA damage (PubMed : 14966270). Component of a SWR1-like complex that specifically mediates the removal of histone H2A.Z/H2AZ1 from the nucleosome (PubMed : 24463511). Proposed core component of the chromatin remodeling INO80 complex which exhibits DNA- and nucleosome-activated ATPase activity and catalyzes ATP-dependent nucleosome sliding (PubMed : 16230350, PubMed : 21303910). Plays an essential role in oncogenic transformation by MYC and also modulates transcriptional activation by the LEF1/TCF1-CTNNB1 complex (PubMed : 10882073, PubMed : 16014379). May also inhibit the transcriptional activity of ATF2 (PubMed : 11713276). Involved in the endoplasmic reticulum (ER)-associated degradation (ERAD) pathway where it negatively regulates expression of ER stress response genes (PubMed : 25652260). May play a role in regulating the composition of the U5 snRNP complex (PubMed : 28561026).
See full target information RUVBL2

Publications (3)

Recent publications for all applications. Explore the full list and refine your search

BioFactors (Oxford, England) 51:e70041 PubMed40757751

2025

Profiling of RUVBL2-Induced Transcriptome Alterations Highlights a Critical Role for Chromatin Remodeling in Ovarian Cancer.

Applications

Unspecified application

Species

Unspecified reactive species

Renhao Xue,Yingjie Wang,Xiaomei Luo,Hao Zhang,Dongcheng Guan,Shuo Shi,Yu Wang

eLife 7: PubMed30561330

2018

A liquid-like organelle at the root of motile ciliopathy.

Applications

Unspecified application

Species

Unspecified reactive species

Ryan L Huizar,Chanjae Lee,Alexander A Boulgakov,Amjad Horani,Fan Tu,Edward M Marcotte,Steven L Brody,John B Wallingford

Development (Cambridge, England) 144:4684-4693 PubMed29113992

2017

Axonemal dynein assembly requires the R2TP complex component Pontin.

Applications

Unspecified application

Species

Unspecified reactive species

Yuanyuan Li,Lu Zhao,Shiaulou Yuan,Jiefang Zhang,Zhaoxia Sun
View all publications

Product promise

We are committed to supporting your work with high-quality reagents, and we're here for you every step of the way. In the unlikely event that one of our products does not perform as expected, you're protected by our Product Promise.
For full details, please see our Terms & Conditions

Please note: All products are 'FOR RESEARCH USE ONLY. NOT FOR USE IN DIAGNOSTIC OR THERAPEUTIC PROCEDURES'.

For licensing inquiries, please contact partnerships@abcam.com