JavaScript is disabled in your browser. Please enable JavaScript to view this website.
AB235439

Anti-RERG antibody

Be the first to review this product! Submit a review

|

(1 Publication)

Rabbit Polyclonal RERG antibody. Suitable for WB, IHC-P and reacts with Rat, Mouse, Human samples. Cited in 1 publication. Immunogen corresponding to Recombinant Full Length Protein corresponding to Human Ras-related and estrogen-regulated growth inhibitor.

View Alternative Names

Ras-related and estrogen-regulated growth inhibitor, RERG

4 Images
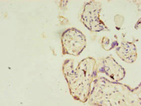
Immunohistochemistry (Formalin/PFA-fixed paraffin-embedded sections) - Anti-RERG antibody (AB235439)
  • IHC-P

Supplier Data

Immunohistochemistry (Formalin/PFA-fixed paraffin-embedded sections) - Anti-RERG antibody (AB235439)

Paraffin-embedded human placenta tissue stained for RERG using ab235439 at 1/100 dilution in immunohistochemical analysis.

Immunohistochemistry (Formalin/PFA-fixed paraffin-embedded sections) - Anti-RERG antibody (AB235439)
  • IHC-P

Supplier Data

Immunohistochemistry (Formalin/PFA-fixed paraffin-embedded sections) - Anti-RERG antibody (AB235439)

Paraffin-embedded human skin tissue stained for RERG using ab235439 at 1/100 dilution in immunohistochemical analysis.

Immunohistochemistry (Formalin/PFA-fixed paraffin-embedded sections) - Anti-RERG antibody (AB235439)
  • IHC-P

Supplier Data

Immunohistochemistry (Formalin/PFA-fixed paraffin-embedded sections) - Anti-RERG antibody (AB235439)

Paraffin-embedded human breast cancer tissue stained for RERG using ab235439 at 1/100 dilution in immunohistochemical analysis.

Western blot - Anti-RERG antibody (AB235439)
  • WB

Supplier Data

Western blot - Anti-RERG antibody (AB235439)

All lanes:

Western blot - Anti-RERG antibody (ab235439) at 1/500 dilution

Lane 1:

Mouse thymus lysate

Lane 2:

Rat lung lysate

Secondary

All lanes:

Goat polyclonal to rabbit at 1/10000 dilution

Predicted band size: 23 kDa,37 kDa

false

Key facts

Host species

Rabbit

Clonality

Polyclonal

Isotype

IgG

Carrier free

No

Reacts with

Mouse, Rat, Human

Applications

IHC-P, WB

applications

Immunogen

Recombinant Full Length Protein corresponding to Human Ras-related and estrogen-regulated growth inhibitor.

Q96A58

Reactivity data

{ "title": "Reactivity Data", "filters": { "stats": ["", "Species", "Dilution Info", "Notes"], "tabs": { "all-applications": {"fullname" : "All Applications", "shortname": "All Applications"}, "WB" : {"fullname" : "Western blot", "shortname":"WB"}, "IHCP" : {"fullname" : "Immunohistochemistry (Formalin/PFA-fixed paraffin-embedded sections)", "shortname":"IHC-P"} }, "product-promise": { "all": "all", "testedAndGuaranteed": "tested", "guaranteed": "expected", "predicted": "predicted", "notRecommended": "not-recommended" } }, "values": { "Human": { "WB-species-checked": "guaranteed", "WB-species-dilution-info": "", "WB-species-notes": "", "IHCP-species-checked": "testedAndGuaranteed", "IHCP-species-dilution-info": "1/20 - 1/200", "IHCP-species-notes": "<p></p>" }, "Mouse": { "WB-species-checked": "testedAndGuaranteed", "WB-species-dilution-info": "1/500 - 1/2000", "WB-species-notes": "<p></p>", "IHCP-species-checked": "guaranteed", "IHCP-species-dilution-info": "", "IHCP-species-notes": "" }, "Rat": { "WB-species-checked": "testedAndGuaranteed", "WB-species-dilution-info": "1/500 - 1/2000", "WB-species-notes": "<p></p>", "IHCP-species-checked": "guaranteed", "IHCP-species-dilution-info": "", "IHCP-species-notes": "" }, "Cow": { "WB-species-checked": "predicted", "WB-species-dilution-info": "", "WB-species-notes": "", "IHCP-species-checked": "predicted", "IHCP-species-dilution-info": "", "IHCP-species-notes": "" } } }

Properties and storage information

Form
Liquid
Purification technique
Affinity purification Protein G
Purification notes
Purity >95%.
Storage buffer
pH: 7.4 Preservative: 0.03% Proclin 300 Constituents: PBS, 50% Glycerol (glycerin, glycerine)
Shipped at conditions
Blue Ice
Appropriate short-term storage duration
1-2 weeks
Appropriate short-term storage conditions
+4°C
Appropriate long-term storage conditions
-20°C
Aliquoting information
Upon delivery aliquot
Storage information
Avoid freeze / thaw cycle

Supplementary information

This supplementary information is collated from multiple sources and compiled automatically.

The RERG protein also known as RAS-like estrogen-regulated growth-inhibitor is a small GTPase with a molecular mass of approximately 25 kDa. RERG belongs to the RAS superfamily of GTPases acting as a molecular switch by cycling between active GTP-bound and inactive GDP-bound states. It is expressed in various tissues but shows high levels in estrogen receptor-positive breast cancer cells. The protein engages with nucleotide binding hydrolysis and possibly further cellular functions.
Biological function summary

RERG influences cell growth and proliferation. While not part of a larger complex RERG impacts estrogen-responsive signaling pathways. Its expression correlates with reduced cellular growth suggesting a suppressor function in certain contexts. Research shows its involvement in cellular processes that may oppose cancerous transformation particularly in hormone-responsive tissues.

Pathways

RERG impacts signaling pathways involved with estrogen receptor signaling and cell cycle regulation. It associates with other RAS superfamily proteins through its role in these pathways modulating growth and division in response to hormonal changes. ERK/MAPK pathways also interact with RERG influencing its ability to regulate cellular responses to external stimuli.

Research highlights RERG's role in breast cancer where it may act as a potential suppressor. RERG expression inversely relates to tumor progression in estrogen receptor-positive breast cancer linking it with survival outcomes. Additionally alterations in RERG are investigated in other hormone-sensitive cancers although less extensively. The protein has connections with other GTPases such as RAS influencing carcinogenic pathways and offering potential therapeutic targets.

Product protocols

For this product, it's our understanding that no specific protocols are required. You can visit:

Target data

Binds GDP/GTP and possesses intrinsic GTPase activity. Has higher affinity for GDP than for GTP. In cell lines overexpression leads to a reduction in the rate of proliferation, colony formation and in tumorigenic potential.
See full target information Ras-related and estrogen-regulated growth inhibitor

Publications (1)

Recent publications for all applications. Explore the full list and refine your search

Journal of translational medicine 23:415 PubMed40211376

2025

Acetylation suppresses breast cancer progression by sustaining CLYBL stability.

Applications

Unspecified application

Species

Unspecified reactive species

Xinyue Deng,Chenglong Ma,Xingyu Chen,Ming Yi,Qianhua Cao,Ruocen Liao,Xingyu Lei,Longchang Bai,Bin Zhao,Yingnan Wang,Zhuoyang Shen,Liujing Wu,Chenfang Dong,Zhijun Dai
View all publications

Product promise

We are committed to supporting your work with high-quality reagents, and we're here for you every step of the way. In the unlikely event that one of our products does not perform as expected, you're protected by our Product Promise.
For full details, please see our Terms & Conditions

Please note: All products are 'FOR RESEARCH USE ONLY. NOT FOR USE IN DIAGNOSTIC OR THERAPEUTIC PROCEDURES'.

For licensing inquiries, please contact partnerships@abcam.com