JavaScript is disabled in your browser. Please enable JavaScript to view this website.
AB216840

Anti-Resistin antibody

Be the first to review this product! Submit a review

|

(1 Publication)

Rabbit Polyclonal Resistin antibody. Suitable for IHC-P and reacts with Rat samples. Cited in 1 publication.
1 Images
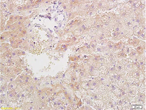
Immunohistochemistry (Formalin/PFA-fixed paraffin-embedded sections) - Anti-Resistin antibody (AB216840)
  • IHC-P

Unknown

Immunohistochemistry (Formalin/PFA-fixed paraffin-embedded sections) - Anti-Resistin antibody (AB216840)

Immunohistochemical analysis of formalin-fixed, paraffin-embedded rat liver tissue labeling Resistin with ab216840 at 1/400 dilution followed by conjugation to the secondary antibody and DAB staining.

Key facts

Host species

Rabbit

Clonality

Polyclonal

Isotype

IgG

Carrier free

No

Reacts with

Rat

Applications

IHC-P

applications

Reactivity data

{ "title": "Reactivity Data", "filters": { "stats": ["", "Species", "Dilution Info", "Notes"], "tabs": { "all-applications": {"fullname" : "All Applications", "shortname": "All Applications"}, "IHCP" : {"fullname" : "Immunohistochemistry (Formalin/PFA-fixed paraffin-embedded sections)", "shortname":"IHC-P"} }, "product-promise": { "all": "all", "testedAndGuaranteed": "tested", "guaranteed": "expected", "predicted": "predicted", "notRecommended": "not-recommended" } }, "values": { "Rat": { "IHCP-species-checked": "testedAndGuaranteed", "IHCP-species-dilution-info": "1/100 - 1/500", "IHCP-species-notes": "<p></p>" } } }

Properties and storage information

Form
Liquid
Purification technique
Affinity purification Protein A
Storage buffer
pH: 7.4 Preservative: 0.02% Proclin 300 Constituents: 50% Glycerol (glycerin, glycerine), 48.98% TBS, 1X, 1% BSA
Shipped at conditions
Blue Ice
Appropriate short-term storage duration
1-2 weeks
Appropriate short-term storage conditions
+4°C
Appropriate long-term storage conditions
-20°C
Aliquoting information
Upon delivery aliquot
Storage information
Avoid freeze / thaw cycle

Supplementary information

This supplementary information is collated from multiple sources and compiled automatically.

Resistin also known as FIZZ3 or ADSF is a protein with a mass of approximately 12.5 kDa. It is mainly expressed in adipose tissue and secreted by adipocytes. In human beings it is also found in inflammatory zones like macrophages and the placenta. Resistin functions as a signaling molecule or cytokine which plays roles in inflammation and metabolism.
Biological function summary

Resistin affects glucose homeostasis and has been shown to modulate insulin resistance. It does not function as part of a larger protein complex but instead acts through specific receptors on cell surfaces. Resistin influences several cellular processes including energy balance and the modulation of inflammatory responses.

Pathways

Several processes contribute to the detailed function of resistin. It is involved in the insulin signaling pathway and the inflammatory pathway. Resistin interacts with proteins and receptors like TLR4 which have key roles in inflammatory response signaling and metabolic regulation. These interactions can disrupt insulin signaling and glucose uptake in many cell types.

Resistin has connections to type 2 diabetes and obesity. Its role in insulin resistance makes it a significant molecule in the pathophysiology of type 2 diabetes. Additionally resistin can influence obesity through its effect on energy balance and fat distribution. Resistin's relationship with proteins like TNF-alpha and IL-6 further emphasizes its role in linking metabolic syndrome with chronic inflammatory states.

Product protocols

For this product, it's our understanding that no specific protocols are required. You can visit:

Publications (1)

Recent publications for all applications. Explore the full list and refine your search

Mediators of inflammation 2020:9817095 PubMed32410876

2020

Resistin Is Increased in Periodontal Cells and Tissues: and Studies.

Applications

Unspecified application

Species

Unspecified reactive species

Andressa V B Nogueira,Marjan Nokhbehsaim,Sema Tekin,Rafael S de Molon,Luis C Spolidorio,Svenja Memmert,Anna Damanaki,Andreas Jäger,Sigrun Eick,James Deschner,Joni A Cirelli
View all publications

Product promise

We are committed to supporting your work with high-quality reagents, and we're here for you every step of the way. In the unlikely event that one of our products does not perform as expected, you're protected by our Product Promise.
For full details, please see our Terms & Conditions

Please note: All products are 'FOR RESEARCH USE ONLY. NOT FOR USE IN DIAGNOSTIC OR THERAPEUTIC PROCEDURES'.

For licensing inquiries, please contact partnerships@abcam.com