JavaScript is disabled in your browser. Please enable JavaScript to view this website.
AB315008

Anti-REST / NRSF antibody [EPR24988-29] - BSA and Azide free

Be the first to review this product! Submit a review

|

(0 Publication)

Rabbit Recombinant Monoclonal REST / NRSF antibody. Carrier free. Suitable for IHC-P and reacts with Human samples.

View Alternative Names

Nrsf, Rest, RE1-silencing transcription factor, Neural-restrictive silencer factor

4 Images
Immunohistochemistry (Formalin/PFA-fixed paraffin-embedded sections) - Anti-REST / NRSF antibody [EPR24988-29] - BSA and Azide free (AB315008)
  • IHC-P

Supplier Data

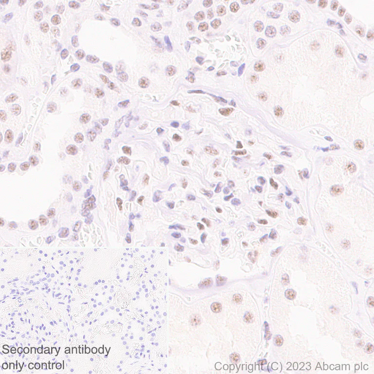
Immunohistochemistry (Formalin/PFA-fixed paraffin-embedded sections) - Anti-REST / NRSF antibody [EPR24988-29] - BSA and Azide free (AB315008)

This data was developed using ab315007, the same antibody clone in a different buffer formulation.

Immunohistochemical analysis of paraffin-embedded Human kidney tissue labeling REST / NRSF with ab315007 at 1/500 (1.048 ug/ml) dilution, followed by a ready to use LeicaDS9800 (Bond™ Polymer Refine Detection).

Nuclear staining on human kidney (PMID : 29961578).
The section was incubated with ab315007 for 30 mins at room temperature.
The immunostaining was performed on a Leica Biosystems BOND® RX instrument

Counterstained with Hematoxylin.

Secondary antibody only control : Secondary antibody is a ready to use LeicaDS9800 (Bond™ Polymer Refine Detection).

Heat mediated antigen retrieval was performed with Tris-EDTA buffer (pH 9.0, Epitope Retrieval Solution2) for 20 mins

Immunohistochemistry (Formalin/PFA-fixed paraffin-embedded sections) - Anti-REST / NRSF antibody [EPR24988-29] - BSA and Azide free (AB315008)
  • IHC-P

Supplier Data

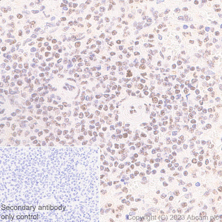
Immunohistochemistry (Formalin/PFA-fixed paraffin-embedded sections) - Anti-REST / NRSF antibody [EPR24988-29] - BSA and Azide free (AB315008)

This data was developed using ab315007, the same antibody clone in a different buffer formulation.

Immunohistochemical analysis of paraffin-embedded Human spleen tissue labeling REST / NRSF with ab315007 at 1/500 (1.048 ug/ml) dilution, followed by a ready to use LeicaDS9800 (Bond™ Polymer Refine Detection).

Nuclear staining on human spleen (PMID : 29961578).
The section was incubated with ab315007 for 30 mins at room temperature.
The immunostaining was performed on a Leica Biosystems BOND® RX instrument

Counterstained with Hematoxylin.

Secondary antibody only control : Secondary antibody is a ready to use LeicaDS9800 (Bond™ Polymer Refine Detection).

Heat mediated antigen retrieval was performed with Tris-EDTA buffer (pH 9.0, Epitope Retrieval Solution2) for 20 mins

Immunohistochemistry (Formalin/PFA-fixed paraffin-embedded sections) - Anti-REST / NRSF antibody [EPR24988-29] - BSA and Azide free (AB315008)
  • IHC-P

Supplier Data

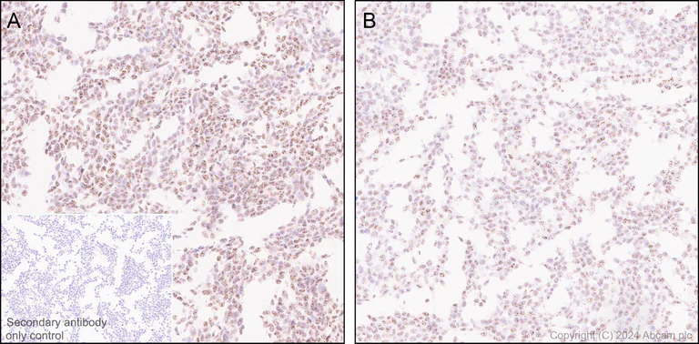
Immunohistochemistry (Formalin/PFA-fixed paraffin-embedded sections) - Anti-REST / NRSF antibody [EPR24988-29] - BSA and Azide free (AB315008)

This data was developed using ab315007, the same antibody clone in a different buffer formulation.

Immunohistochemical analysis of paraffin-embedded (A) SH-SY5Y (Human neuroblastoma epithelial cell) (Untreated), (B) SH-SY5Y (16 nM 48h) (TPA treated). tissue labeling REST / NRSF with ab315007 at 1/2000 (0.262 ug/ml) dilution, followed by a ready to use LeicaDS9800 (Bond™ Polymer Refine Detection).

Positive staining on (A) untreated SH-SY5Y, and the expression of (B) SH-SY5Y (16 nM 48h) (TPA treated) decreased (PMID : 25093670).
The section was incubated with ab315007 for 30 mins at room temperature.
The immunostaining was performed on a Leica Biosystems BOND® RX instrument

Counterstained with Hematoxylin.

Secondary antibody only control : Secondary antibody is a ready to use LeicaDS9800 (Bond™ Polymer Refine Detection).

Heat mediated antigen retrieval was performed with Tris-EDTA buffer (pH 9.0, Epitope Retrieval Solution2) for 20 mins

Immunohistochemistry (Formalin/PFA-fixed paraffin-embedded sections) - Anti-REST / NRSF antibody [EPR24988-29] - BSA and Azide free (AB315008)
  • IHC-P

Supplier Data

Immunohistochemistry (Formalin/PFA-fixed paraffin-embedded sections) - Anti-REST / NRSF antibody [EPR24988-29] - BSA and Azide free (AB315008)

This data was developed using ab315007, the same antibody clone in a different buffer formulation.

Immunohistochemical analysis of paraffin-embedded Human colon tissue labeling REST / NRSF with ab315007 at 1/500 (1.048 ug/ml) dilution, followed by a ready to use LeicaDS9800 (Bond™ Polymer Refine Detection).

Nuclear staining on human colon.
The section was incubated with ab315007 for 30 mins at room temperature.
The immunostaining was performed on a Leica Biosystems BOND® RX instrument

Counterstained with Hematoxylin.

Secondary antibody only control : Secondary antibody is a ready to use LeicaDS9800 (Bond™ Polymer Refine Detection).

Heat mediated antigen retrieval was performed with Tris-EDTA buffer (pH 9.0, Epitope Retrieval Solution2) for 20 mins

Key facts

Host species

Rabbit

Clonality

Monoclonal

Clone number

EPR24988-29

Isotype

IgG

Carrier free

Yes

Reacts with

Human

Applications

IHC-P

applications

Immunogen

The exact immunogen used to generate this antibody is proprietary information.

Reactivity data

{ "title": "Reactivity Data", "filters": { "stats": ["", "Species", "Dilution Info", "Notes"], "tabs": { "all-applications": {"fullname" : "All Applications", "shortname": "All Applications"}, "IHCP" : {"fullname" : "Immunohistochemistry (Formalin/PFA-fixed paraffin-embedded sections)", "shortname":"IHC-P"}, "IP" : {"fullname" : "Immunoprecipitation", "shortname":"IP"}, "FlowCytIntra" : {"fullname" : "Flow Cytometry (Intracellular)", "shortname":"Flow Cyt (Intra)"}, "WB" : {"fullname" : "Western blot", "shortname":"WB"}, "ICCIF" : {"fullname" : "Immunocytochemistry/ Immunofluorescence", "shortname":"ICC/IF"} }, "product-promise": { "all": "all", "testedAndGuaranteed": "tested", "guaranteed": "expected", "predicted": "predicted", "notRecommended": "not-recommended" } }, "values": { "Human": { "IHCP-species-checked": "testedAndGuaranteed", "IHCP-species-dilution-info": "", "IHCP-species-notes": "<p></p>", "IP-species-checked": "notRecommended", "IP-species-dilution-info": "", "IP-species-notes": "<p></p>", "FlowCytIntra-species-checked": "notRecommended", "FlowCytIntra-species-dilution-info": "", "FlowCytIntra-species-notes": "", "WB-species-checked": "notRecommended", "WB-species-dilution-info": "", "WB-species-notes": "<p></p>", "ICCIF-species-checked": "notRecommended", "ICCIF-species-dilution-info": "", "ICCIF-species-notes": "" }, "Mouse": { "IHCP-species-checked": "notRecommended", "IHCP-species-dilution-info": "", "IHCP-species-notes": "<p></p>", "IP-species-checked": "notRecommended", "IP-species-dilution-info": "", "IP-species-notes": "<p></p>", "FlowCytIntra-species-checked": "notRecommended", "FlowCytIntra-species-dilution-info": "", "FlowCytIntra-species-notes": "<p></p>", "WB-species-checked": "notRecommended", "WB-species-dilution-info": "", "WB-species-notes": "<p></p>", "ICCIF-species-checked": "notRecommended", "ICCIF-species-dilution-info": "", "ICCIF-species-notes": "<p></p>" }, "Rat": { "IHCP-species-checked": "notRecommended", "IHCP-species-dilution-info": "", "IHCP-species-notes": "<p></p>", "IP-species-checked": "notRecommended", "IP-species-dilution-info": "", "IP-species-notes": "", "FlowCytIntra-species-checked": "notRecommended", "FlowCytIntra-species-dilution-info": "", "FlowCytIntra-species-notes": "", "WB-species-checked": "notRecommended", "WB-species-dilution-info": "", "WB-species-notes": "<p></p>", "ICCIF-species-checked": "notRecommended", "ICCIF-species-dilution-info": "", "ICCIF-species-notes": "" } } }

Product details

ab315008 is the carrier-free version of ab315007.

Patented technology
Our RabMAb® technology is a patented hybridoma-based technology for making rabbit monoclonal antibodies. For details on our patents, please refer to RabMAb® patents.

What are the advantages of a recombinant monoclonal antibody?
This product is a recombinant monoclonal antibody, which offers several advantages including:

  • - High batch-to-batch consistency and reproducibility
  • - Improved sensitivity and specificity
  • - Long-term security of supply
  • - Animal-free batch production

For more information, read more on recombinant antibodies.

Conjugation ready
Our carrier-free antibodies are typically supplied in a PBS-only formulation, purified and free of BSA, sodium azide and glycerol. This conjugation-ready format is designed for use with fluorochromes, metal isotopes, oligonucleotides, and enzymes, which makes them ideal for antibody labelling, functional and cell-based assays, flow-based assays (e.g. mass cytometry) and Multiplex Imaging applications.

Use our conjugation kits for antibody conjugates that are ready-to-use in as little as 20 minutes with 1 minute hands-on-time and 100% antibody recovery: available for fluorescent dyes, HRP, biotin and gold.

Compatibility
This product is compatible with the Maxpar® Antibody Labeling Kit from Fluidigm, without the need for antibody preparation. Maxpar® is a trademark of Fluidigm Canada Inc.

Properties and storage information

Form
Liquid
Purification technique
Affinity purification Protein A
Storage buffer
pH: 7.2 - 7.4 Constituents: PBS
Shipped at conditions
Blue Ice
Appropriate short-term storage conditions
+4°C
Appropriate long-term storage conditions
+4°C

Supplementary information

This supplementary information is collated from multiple sources and compiled automatically.

REST also known as NRSF (neuron-restrictive silencer factor) is a transcriptional repressor weighing approximately 116 kDa. It regulates gene expression by binding to the RE1 silencing transcription factor (RE1-silencing element) in the DNA. REST is widely expressed in non-neuronal cells and plays a significant role in maintaining neuronal gene silencing in embryonic and adult stem cells. By interacting with co-repressors REST recruits histone deacetylases and methylases to modify chromatin structure effectively shutting down gene transcription in specific contexts.
Biological function summary

REST regulates neuronal differentiation and plasticity by controlling the expression of neuronal-specific genes. It forms a complex with co-repressors such as mSin3 and CoREST participating in diverse biological processes including neurogenesis. REST expression is important for balancing the neuronal gene expression program preventing untimely or inappropriate activation of neuronal genes in non-neuronal tissues. By modulating the expression of synaptic proteins and neurotransmitter receptors REST influences synaptic plasticity and neuronal excitability.

Pathways

REST participates in the neural stem cell differentiation pathway and cell fate determination. It interacts with pathways involving proteins such as HDAC1 and SWI/SNF complexes contributing to chromatin remodeling and transcriptional regulation. Within these pathways REST ensures the maintenance of non-neuronal identity by repressing neuronal gene activation coordinating with other proteins to influence cellular outcomes and fate decisions.

REST has been linked to neurological disorders such as Huntington's disease and epilepsy. In Huntington's disease REST dissociation from the Huntingtin protein increases leading to misregulation of neuronal genes and contributing to neurodegenerative changes. REST also plays a role in epilepsy where its dysregulation can lead to an imbalance in excitatory and inhibitory signals within the brain potentially triggering epileptic episodes. Through its interactions with disease-associated proteins REST exemplifies the complex interplay between transcriptional regulation and cellular dysfunction in disease pathology.

Product protocols

For this product, it's our understanding that no specific protocols are required. You can visit:

Target data

Transcriptional repressor which binds neuron-restrictive silencer element (NRSE) and represses neuronal gene transcription in non-neuronal cells (PubMed : 29961578, PubMed : 9771705). Restricts the expression of neuronal genes by associating with two distinct corepressors, SIN3A and RCOR1, which in turn recruit histone deacetylase to the promoters of REST-regulated genes (By similarity). Mediates repression by recruiting the BHC complex at RE1/NRSE sites which acts by deacetylating and demethylating specific sites on histones, thereby acting as a chromatin modifier (By similarity). Transcriptional repression by REST-CDYL via the recruitment of histone methyltransferase EHMT2 may be important in transformation suppression (By similarity). Represses the expression of SRRM4 in non-neural cells to prevent the activation of neural-specific splicing events and to prevent production of REST isoform 2 (PubMed : 21884984). Repressor activity may be inhibited by forming heterodimers with isoform 2, thereby preventing binding to NRSE or binding to corepressors and leading to derepression of target genes (PubMed : 10490617, PubMed : 11039732). Also maintains repression of neuronal genes in neural stem cells, and allows transcription and differentiation into neurons by dissociation from RE1/NRSE sites of target genes (PubMed : 15907476). Thereby is involved in maintaining the quiescent state of adult neural stem cells and preventing premature differentiation into mature neurons (PubMed : 27819263). Plays a role in the developmental switch in synaptic NMDA receptor composition during postnatal development, by repressing GRIN2B expression and thereby altering NMDA receptor properties from containing primarily GRIN2B to primarily GRIN2A subunits (By similarity). Acts as a regulator of osteoblast differentiation (PubMed : 25727884). Key repressor of gene expression in hypoxia; represses genes in hypoxia by direct binding to an RE1/NRSE site on their promoter regions (By similarity). May also function in stress resistance in the brain during aging; possibly by regulating expression of genes involved in cell death and in the stress response (PubMed : 24670762). Repressor of gene expression in the hippocampus after ischemia by directly binding to RE1/NRSE sites and recruiting SIN3A and RCOR1 to promoters of target genes, thereby promoting changes in chromatin modifications and ischemia-induced cell death (By similarity). After ischemia, might play a role in repression of miR-132 expression in hippocampal neurons, thereby leading to neuronal cell death (By similarity).. Isoform 2. Binds to the 3' region of the neuron-restrictive silencer element (NRSE), with lower affinity than isoform 1 (PubMed : 11039732). Exhibits weaker repressor activity compared to isoform 1 (By similarity). May negatively regulate the repressor activity of isoform 1 by binding to isoform 1, thereby preventing its binding to NRSE and leading to derepression of target genes (PubMed : 10490617, PubMed : 11039732). However, in another study, does not appear to be implicated in repressor activity of a NRSE motif-containing reporter construct nor in inhibitory activity on the isoform 1 transcriptional repressor activity (By similarity). Post-transcriptional inactivation of REST by SRRM4-dependent alternative splicing into isoform 2 is required in mechanosensory hair cells in the inner ear for derepression of neuronal genes, maintenance of hair cells and hearing (PubMed : 29961578).
See full target information Rest

Product promise

We are committed to supporting your work with high-quality reagents, and we're here for you every step of the way. In the unlikely event that one of our products does not perform as expected, you're protected by our Product Promise.
For full details, please see our Terms & Conditions

Please note: All products are 'FOR RESEARCH USE ONLY. NOT FOR USE IN DIAGNOSTIC OR THERAPEUTIC PROCEDURES'.

For licensing inquiries, please contact partnerships@abcam.com