JavaScript is disabled in your browser. Please enable JavaScript to view this website.
AB320078

Anti-Ret (phospho Y905) antibody [EPR26917-10]

Be the first to review this product! Submit a review

|

(0 Publication)

Rabbit Recombinant Monoclonal RET phospho Y905 antibody. Suitable for Dot, WB, IP and reacts with Synthetic peptide, Human samples.

View Alternative Names

CDHF12, CDHR16, PTC, Proto-oncogene tyrosine-protein kinase receptor Ret, Cadherin family member 12, Proto-oncogene c-Ret

5 Images
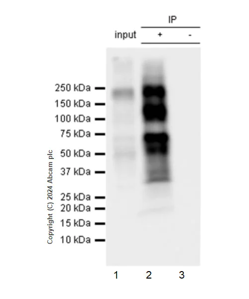
Immunoprecipitation - Anti-Ret (phospho Y905) antibody [EPR26917-10] (AB320078)
  • IP

Supplier Data

Immunoprecipitation - Anti-Ret (phospho Y905) antibody [EPR26917-10] (AB320078)

Ret (phospho Y905) was immunoprecipitated from 0.35 mg TT (human thyroid carcinoma epithelial cell) treated with 1mM pervanadate for 30min whole cell lysate with ab320078 at 1/30 dilution (2ug in 0.35mg lysates). Western blot was performed on the immunoprecipitate using ab320078 at 1/1000 dilution. VeriBlot for IP secondary antibody(HRP)(ab131366) was used at 1/5000 dilution.

Lane 1 : TT (human thyroid carcinoma epithelial cell) treated with 1mM pervanadate for 30min whole cell lysate
Lane 2 : ab320078 IP in TT (human thyroid carcinoma epithelial cell) treated with 1mM pervanadate for 30min whole cell lysate
Lane 3 : Rabbit monoclonal IgG (ab172730) instead of ab320078 in TT treated with 1mM pervanadate for 30min whole cell lysate

Blocking and dilution buffer and concentration : 5% NFDM/TBST

The bands beneath the target band (175 kDa) may represent C-terminal cleavage products of RET (PMID : 21357690). This has not been confirmed with additional tests.

All lanes:

Immunoprecipitation - Anti-Ret (phospho Y905) antibody [EPR26917-10] (ab320078) at 1/30 dilution

All lanes:

TT (human thyroid carcinoma epithelial cell) treated with 1mM pervanadate for 30min whole cell lysate

Secondary

All lanes:

Immunoprecipitation - VeriBlot for IP Detection Reagent (HRP) (<a href='/en-us/products/reagents/veriblot-for-ip-detection-reagent-hrp-ab131366'>ab131366</a>) at 1/5000 dilution

false

Exposure time: 180s

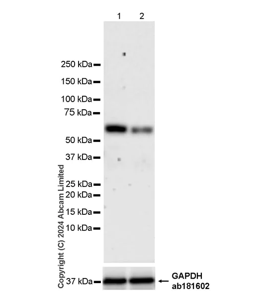
Western blot - Anti-Ret (phospho Y905) antibody [EPR26917-10] (AB320078)
  • WB

Supplier Data

Western blot - Anti-Ret (phospho Y905) antibody [EPR26917-10] (AB320078)

Blocking and diluting buffer and concentration : 5% NFDM/TBST.

LC-2/ad cells express the constitutively active CCDC6-RET fusion. The down-regulation of Ret phospho Y905 is induced by ponatinib treatment (PMID : 23526464) .

In Western blot, Anti-GAPDH antibody [EPR16891] - Loading Control (ab181602) staining at 1/200000 dilution.

All lanes:

Western blot - Anti-Ret (phospho Y905) antibody [EPR26917-10] (ab320078) at 1/1000 dilution

Lane 1:

Untreated LC-2/ad (human lung epithelial cell) whole lysate at 40 µg

Lane 2:

LC-2/ad treated with 300nM Ponatinib for 2 hours whole lysate at 40 µg

Secondary

All lanes:

Western blot - Goat Anti-Rabbit IgG H&L (HRP) (<a href='/en-us/products/secondary-antibodies/goat-rabbit-igg-h-l-hrp-ab97051'>ab97051</a>) at 1/100000 dilution

Observed band size: 60 kDa,36 kDa

false

Exposure time: 180s

Western blot - Anti-Ret (phospho Y905) antibody [EPR26917-10] (AB320078)
  • WB

Supplier Data

Western blot - Anti-Ret (phospho Y905) antibody [EPR26917-10] (AB320078)

Blocking and diluting buffer and concentration : 5% NFDM/TBST.

In Western blot, Anti-GAPDH antibody [EPR16891] - Loading Control (ab181602) staining at 1/200000 dilution.

In Western blot, Anti-Ret antibody [EPR2871] (ab134100) staining at 1/1000 dilution.

All lanes:

Western blot - Anti-Ret (phospho Y905) antibody [EPR26917-10] (ab320078) at 1/1000 dilution

Lane 1:

Untreated TT (human thyroid carcinoma epithelial cell) whole cell lysate (untreated membrane) at 20 µg

Lane 2:

TT treated with 1mM pervanadate for 30min whole cell lysate (untreated membrane) at 20 µg

Lane 3:

Untreated TT whole cell lysate (Alkaline phosphatase treated membrane) at 20 µg

Lane 4:

TT treated with 1mM pervanadate for 30min whole cell lysate (Alkaline phosphatase treated membrane) at 20 µg

Secondary

All lanes:

Western blot - Goat Anti-Rabbit IgG H&L (HRP) (<a href='/en-us/products/secondary-antibodies/goat-rabbit-igg-h-l-hrp-ab97051'>ab97051</a>) at 1/100000 dilution

Observed band size: 175 kDa,36 kDa

false

Exposure time: 180s

Western blot - Anti-Ret (phospho Y905) antibody [EPR26917-10] (AB320078)
  • WB

Supplier Data

Western blot - Anti-Ret (phospho Y905) antibody [EPR26917-10] (AB320078)

Blocking and diluting buffer and concentration : 5% NFDM/TBST.

The up-regulation of Ret phospho Y905 is induced by GDNF treatment (PMID : 33921066).

In Western blot, Anti-GAPDH antibody [EPR16891] - Loading Control (ab181602) staining at 1/200000 dilution.

In Western blot, Anti-Ret antibody [EPR2871] (ab134100) staining at 1/1000 dilution.

All lanes:

Western blot - Anti-Ret (phospho Y905) antibody [EPR26917-10] (ab320078) at 1/1000 dilution

Lane 1:

Untreated TT (human thyroid carcinoma epithelial cell) whole cell lysate at 40 µg

Lane 2:

TT treated with 100ng/ml GDNF for 10 mintues whole cell lysate at 40 µg

Secondary

All lanes:

Western blot - Goat Anti-Rabbit IgG H&L (HRP) (<a href='/en-us/products/secondary-antibodies/goat-rabbit-igg-h-l-hrp-ab97051'>ab97051</a>) at 1/100000 dilution

Observed band size: 175 kDa,36 kDa

false

Exposure time: 180s

Dot Blot - Anti-Ret (phospho Y905) antibody [EPR26917-10] (AB320078)
  • Dot

Supplier Data

Dot Blot - Anti-Ret (phospho Y905) antibody [EPR26917-10] (AB320078)

Dot blot analysis of Ret (phospho Y905) using ab320078 at 1 : 1000 (0.521 ug/ml) followed by a Goat Anti-Rabbit IgG, (H+L), Peroxidase conjugated (ab97051) at 1 : 10,000 dilution.

Exposure time : 180 seconds.

Blocking and diluting buffer and concentration : 5% NFDM/TBST.

All lanes:

Dot Blot - Anti-Ret (phospho Y905) antibody [EPR26917-10] (ab320078) at 1/1000 dilution

Lane 1:

Human Ret (phospho Y905) peptide a

Lane 2:

Human Ret (phospho Y905) peptide b

Lane 3:

Ret non-phospho peptide

Lane 4:

Human Ret (phospho Y900) peptide

Secondary

All lanes:

Dot Blot - Goat Anti-Rabbit IgG H&L (HRP) (<a href='/en-us/products/secondary-antibodies/goat-rabbit-igg-h-l-hrp-ab97051'>ab97051</a>) at 1/10000 dilution

false

Exposure time: 180s

  • Carrier free

    Anti-Ret (phospho Y905) antibody [EPR26917-10] - BSA and Azide free

  • Carrier free

    Anti-Ret (phospho Y905) antibody [EPR26917-10] - BSA and Azide free (Detector)

Key facts

Host species

Rabbit

Clonality

Monoclonal

Clone number

EPR26917-10

Isotype

IgG

Carrier free

No

Reacts with

Human

Applications

IP, WB, Dot

applications

Immunogen

The exact immunogen used to generate this antibody is proprietary information.

Reactivity data

{ "title": "Reactivity Data", "filters": { "stats": ["", "Species", "Dilution Info", "Notes"], "tabs": { "all-applications": {"fullname" : "All Applications", "shortname": "All Applications"}, "Dot" : {"fullname" : "Dot Blot", "shortname":"Dot"}, "WB" : {"fullname" : "Western blot", "shortname":"WB"}, "IP" : {"fullname" : "Immunoprecipitation", "shortname":"IP"}, "IHCP" : {"fullname" : "Immunohistochemistry (Formalin/PFA-fixed paraffin-embedded sections)", "shortname":"IHC-P"} }, "product-promise": { "all": "all", "testedAndGuaranteed": "tested", "guaranteed": "expected", "predicted": "predicted", "notRecommended": "not-recommended" } }, "values": { "Human": { "Dot-species-checked": "guaranteed", "Dot-species-dilution-info": "", "Dot-species-notes": "", "WB-species-checked": "testedAndGuaranteed", "WB-species-dilution-info": "1/1000", "WB-species-notes": "<p></p>", "IP-species-checked": "testedAndGuaranteed", "IP-species-dilution-info": "1/30", "IP-species-notes": "<p></p>", "IHCP-species-checked": "notRecommended", "IHCP-species-dilution-info": "", "IHCP-species-notes": "<p></p>" }, "Synthetic peptide": { "Dot-species-checked": "testedAndGuaranteed", "Dot-species-dilution-info": "1/1000", "Dot-species-notes": "<p></p>", "WB-species-checked": "notRecommended", "WB-species-dilution-info": "", "WB-species-notes": "", "IP-species-checked": "notRecommended", "IP-species-dilution-info": "", "IP-species-notes": "", "IHCP-species-checked": "notRecommended", "IHCP-species-dilution-info": "", "IHCP-species-notes": "" } } }

Product details

Patented technology
Our RabMAb® technology is a patented hybridoma-based technology for making rabbit monoclonal antibodies. For details on our patents, please refer to RabMAb® patents.

What are the advantages of a recombinant monoclonal antibody?
This product is a recombinant monoclonal antibody, which offers several advantages including:

  • - High batch-to-batch consistency and reproducibility
  • - Improved sensitivity and specificity
  • - Long-term security of supply
  • - Animal-free batch production

For more information, read more on recombinant antibodies.

Properties and storage information

Form
Liquid
Purification technique
Affinity purification Protein A
Storage buffer
pH: 7.2 - 7.4 Preservative: 0.01% Sodium azide Constituents: PBS, 40% Glycerol (glycerin, glycerine), 0.05% BSA
Shipped at conditions
Blue Ice
Appropriate short-term storage duration
1-2 weeks
Appropriate short-term storage conditions
+4°C
Appropriate long-term storage conditions
-20°C
Aliquoting information
Upon delivery aliquot
Storage information
Avoid freeze / thaw cycle

Supplementary information

This supplementary information is collated from multiple sources and compiled automatically.

Ret also known as "rearranged during transfection" is a receptor tyrosine kinase with a mass of approximately 170-175 kDa. Scientists often study Ret because of its key role in cellular signaling pathways. It is primarily expressed in neural crest-derived cells and tissues including the kidneys and the enteric nervous system. Ret is also found in various other cell types throughout the body such as endocrine and hematopoietic tissues.
Biological function summary

The Ret protein facilitates several critical processes within the body. It functions as part of a complex with co-receptors called GFRα (GDNF family receptor alpha) which are required for binding ligands such as GDNF (glial cell line-derived neurotrophic factor). This binding activates downstream signaling pathways that influence cell growth differentiation and survival particularly within the nervous system. The proper functioning of Ret is essential for the development and maintenance of these cellular environments.

Pathways

Ret is an important component of the MAPK/ERK and PI3K/AKT signaling pathways. These pathways mediate various cellular responses including cell proliferation survival and apoptosis. The interactions of Ret with other proteins like SHC and GRB2 within these pathways create ripple effects that impact larger cellular networks. Through these pathways Ret connects with multiple proteins to modulate essential biological processes.

Ret's dysregulation is closely associated with multiple endocrine neoplasia type 2 (MEN2) and Hirschsprung's disease. These conditions arise due to mutations affecting Ret's signaling capabilities. In MEN2 Ret mutations lead to uncontrolled cell growth often resulting in medullary thyroid carcinoma. Hirschsprung's disease on the other hand involves a failure in neural crest cell migration leading to congenital gut motility issues. Researchers explore Ret's interactions with other proteins such as endothelin receptor B (EDNRB) to further understand these diseases.

Product protocols

For this product, it's our understanding that no specific protocols are required. You can visit:

Target data

Receptor tyrosine-protein kinase involved in numerous cellular mechanisms including cell proliferation, neuronal navigation, cell migration, and cell differentiation in response to glia cell line-derived growth family factors (GDNF, NRTN, ARTN, PSPN and GDF15) (PubMed : 20064382, PubMed : 20616503, PubMed : 20702524, PubMed : 21357690, PubMed : 21454698, PubMed : 24560924, PubMed : 28846097, PubMed : 28846099, PubMed : 28953886, PubMed : 31118272). In contrast to most receptor tyrosine kinases, RET requires not only its cognate ligands but also coreceptors, for activation (PubMed : 21994944, PubMed : 23333276, PubMed : 28846097, PubMed : 28846099, PubMed : 28953886). GDNF ligands (GDNF, NRTN, ARTN, PSPN and GDF15) first bind their corresponding GDNFR coreceptors (GFRA1, GFRA2, GFRA3, GFRA4 and GFRAL, respectively), triggering RET autophosphorylation and activation, leading to activation of downstream signaling pathways, including the MAPK- and AKT-signaling pathways (PubMed : 21994944, PubMed : 23333276, PubMed : 24560924, PubMed : 25242331, PubMed : 28846097, PubMed : 28846099, PubMed : 28953886). Acts as a dependence receptor via the GDNF-GFRA1 signaling : in the presence of the ligand GDNF in somatotrophs within pituitary, promotes survival and down regulates growth hormone (GH) production, but triggers apoptosis in absence of GDNF (PubMed : 20616503, PubMed : 21994944). Required for the molecular mechanisms orchestration during intestine organogenesis via the ARTN-GFRA3 signaling : involved in the development of enteric nervous system and renal organogenesis during embryonic life, and promotes the formation of Peyer's patch-like structures, a major component of the gut-associated lymphoid tissue (By similarity). Mediates, through interaction with GDF15-receptor GFRAL, GDF15-induced cell-signaling in the brainstem which triggers an aversive response, characterized by nausea, vomiting, and/or loss of appetite in response to various stresses (PubMed : 28846097, PubMed : 28846099, PubMed : 28953886). Modulates cell adhesion via its cleavage by caspase in sympathetic neurons and mediates cell migration in an integrin (e.g. ITGB1 and ITGB3)-dependent manner (PubMed : 20702524, PubMed : 21357690). Also active in the absence of ligand, triggering apoptosis through a mechanism that requires receptor intracellular caspase cleavage (PubMed : 21357690). Triggers the differentiation of rapidly adapting (RA) mechanoreceptors (PubMed : 20064382). Involved in the development of the neural crest (By similarity). Regulates nociceptor survival and size (By similarity). Phosphorylates PTK2/FAK1 (PubMed : 21454698).. Isoform 1. Isoform 1 in complex with GFRAL induces higher activation of MAPK-signaling pathway than isoform 2 in complex with GFRAL.
See full target information Proto-oncogene tyrosine-protein kinase receptor Ret phospho Y905

Product promise

We are committed to supporting your work with high-quality reagents, and we're here for you every step of the way. In the unlikely event that one of our products does not perform as expected, you're protected by our Product Promise.
For full details, please see our Terms & Conditions

Please note: All products are 'FOR RESEARCH USE ONLY. NOT FOR USE IN DIAGNOSTIC OR THERAPEUTIC PROCEDURES'.

For licensing inquiries, please contact partnerships@abcam.com