JavaScript is disabled in your browser. Please enable JavaScript to view this website.
AB275745

Anti-Retinoic Acid Receptor alpha antibody [EPR23871-271]

  • BOND RX™ Validated
  • RabMAb
  • Recombinant
  • KO Validated
  • 20ul selling size
  • What is this?

4

(1 Review)

|

(2 Publications)

Rabbit Recombinant Monoclonal Retinoic Acid Receptor alpha antibody. Suitable for IP, WB, IHC-P and reacts with Mouse, Human, Rat samples. Cited in 2 publications.

View Alternative Names

NR1B1, RARA, Retinoic acid receptor alpha, RAR-alpha, Nuclear receptor subfamily 1 group B member 1

10 Images
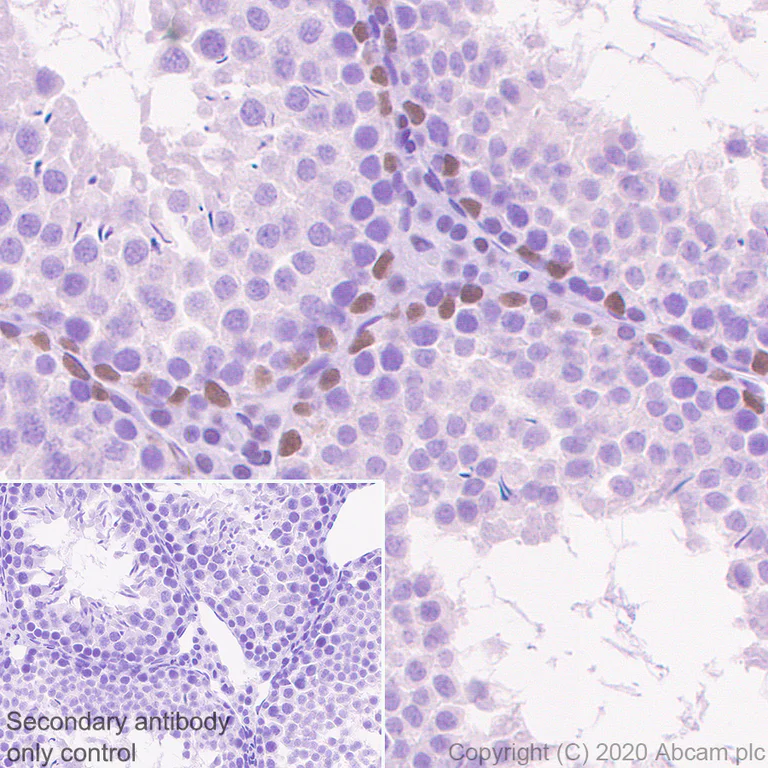
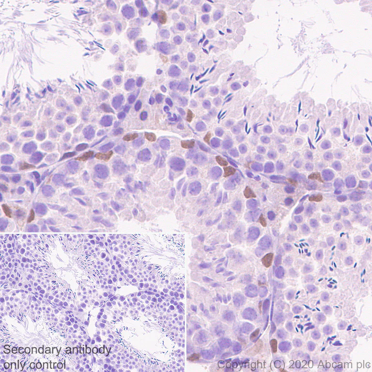
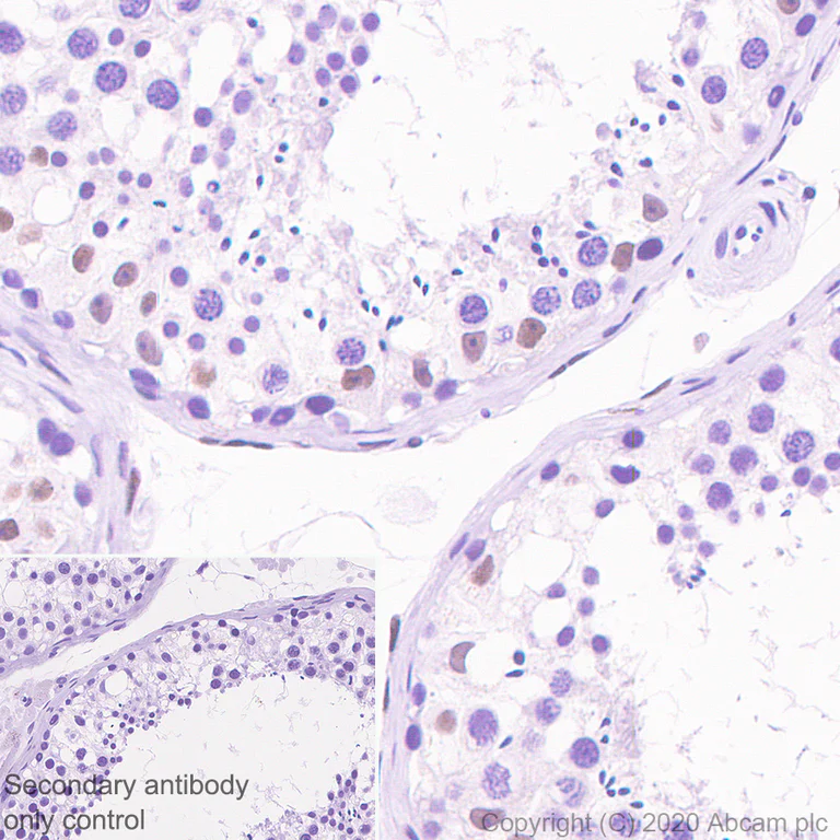
Immunohistochemistry (Formalin/PFA-fixed paraffin-embedded sections) - Anti-Retinoic Acid Receptor alpha antibody [EPR23871-271] (AB275745)
  • IHC-P

Unknown

Immunohistochemistry (Formalin/PFA-fixed paraffin-embedded sections) - Anti-Retinoic Acid Receptor alpha antibody [EPR23871-271] (AB275745)

Immunohistochemical analysis of paraffin-embedded Human testis tissue labeling Retinoic Acid Receptor alpha with ab275745 at 1/1000 (2.71 ug/ml) dilution followed by a ready to use LeicaDS9800 (Bond™ Polymer Refine Detection) was used. Nuclear staining on sertoli cells of human testis. The section was incubated with ab275745 for 30 mins at room temperature. The immunostaining was performed on a Leica Biosystems BOND® RX instrument. Counterstained with Hematoxylin.

Secondary antibody only control : Secondary antibody is a ready to use LeicaDS9800 (Bond™ Polymer Refine Detection).

Heat mediated antigen retrieval using ab93684 (Tris/EDTA buffer, pH 9.0).

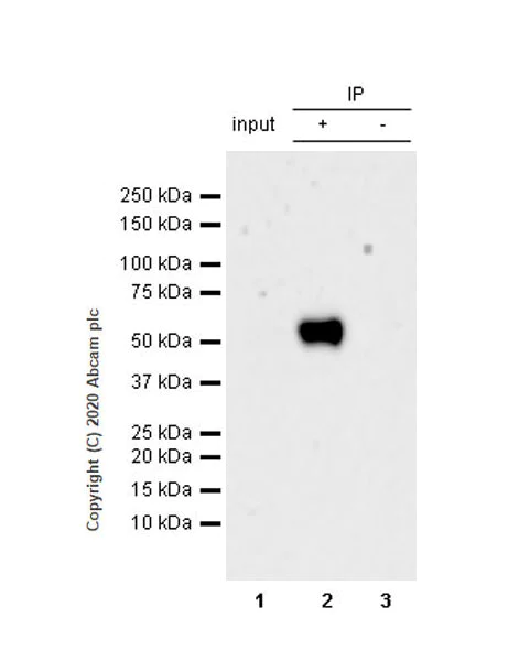
Immunoprecipitation - Anti-Retinoic Acid Receptor alpha antibody [EPR23871-271] (AB275745)
  • IP

Unknown

Immunoprecipitation - Anti-Retinoic Acid Receptor alpha antibody [EPR23871-271] (AB275745)

Retinoic Acid Receptor alpha was immunoprecipitated from 0.35 mg HEK-293 (human embryonic kidney epithelial cell) whole cell lysate with ab275745 at 1/30 dilution (2ug in 0.35mg lysates). Western blot was performed on the immunoprecipitate using ab275745 at 1/1000 dilution. VeriBlot for IP Detection Reagent (HRP)(ab131366) was used at 1/5000 dilution.

Lane 1 : HEK-293 (human embryonic kidney epithelial cell) whole cell lysate 10 ug

Lane 2 : ab275745 IP in HEK-293 whole cell lysate

Lane 3 : Rabbit monoclonal IgG (ab172730) instead of ab275745 in HEK-293 whole cell lysate

Blocking and dilution buffer and concentration : 5% NFDM/TBST.

Exposure time : 84 seconds.

All lanes:

Immunoprecipitation - Anti-Retinoic Acid Receptor alpha antibody [EPR23871-271] (ab275745)

Predicted band size: 51 kDa

Observed band size: 52 kDa

false

Immunohistochemistry (Formalin/PFA-fixed paraffin-embedded sections) - Anti-Retinoic Acid Receptor alpha antibody [EPR23871-271] (AB275745)
  • IHC-P

Unknown

Immunohistochemistry (Formalin/PFA-fixed paraffin-embedded sections) - Anti-Retinoic Acid Receptor alpha antibody [EPR23871-271] (AB275745)

Immunohistochemical analysis of paraffin-embedded Mouse testis tissue labeling Retinoic Acid Receptor alpha with ab275745 at 1/1000 (0.542 ug/ml) dilution followed by a ready to use LeicaDS9800 (Bond™ Polymer Refine Detection) was used. Nuclear staining on sertoli cells of mouse testis (PMID : 16210368). The section was incubated with ab275745 for 30 mins at room temperature. The immunostaining was performed on a Leica Biosystems BOND® RX instrument. Counterstained with Hematoxylin. Secondary antibody only control : Secondary antibody is a ready to use LeicaDS9800 (Bond™ Polymer Refine Detection) was used. Heat mediated antigen retrieval using ab93684 (Tris/EDTA buffer, pH 9.0).

Immunohistochemistry (Formalin/PFA-fixed paraffin-embedded sections) - Anti-Retinoic Acid Receptor alpha antibody [EPR23871-271] (AB275745)
  • IHC-P

Unknown

Immunohistochemistry (Formalin/PFA-fixed paraffin-embedded sections) - Anti-Retinoic Acid Receptor alpha antibody [EPR23871-271] (AB275745)

Immunohistochemical analysis of paraffin-embedded Rat testis tissue labeling Retinoic Acid Receptor alpha with ab275745 at 1/1000 (0.542 ug/ml) dilution followed by a ready to use LeicaDS9800 (Bond™ Polymer Refine Detection) was used. Nuclear staining on sertoli cells of rat testis. The section was incubated with ab275745 for 30 mins at room temperature. The immunostaining was performed on a Leica Biosystems BOND® RX instrument. Counterstained with Hematoxylin.

Secondary antibody only control : Secondary antibody is a ready to use LeicaDS9800 (Bond™ Polymer Refine Detection).

Heat mediated antigen retrieval using ab93684 (Tris/EDTA buffer, pH 9.0).

Immunoprecipitation - Anti-Retinoic Acid Receptor alpha antibody [EPR23871-271] (AB275745)
  • IP

Unknown

Immunoprecipitation - Anti-Retinoic Acid Receptor alpha antibody [EPR23871-271] (AB275745)

Retinoic Acid Receptor alpha was immunoprecipitated from 0.35 mg NIH/3T3 (mouse embryonic fibroblast) whole cell lysate with ab275745 at 1/30 dilution (2ug in 0.35mg lysates). Western blot was performed on the immunoprecipitate using ab275745 at 1/1000 dilution. VeriBlot for IP Detection Reagent (HRP)(ab131366) was used at 1/5000 dilution.

Lane 1 : NIH/3T3 (mouse embryonic fibroblast) whole cell lysate 10 ug

Lane 2 : ab275745 IP in NIH/3T3 whole cell lysate

Lane 3 : Rabbit monoclonal IgG (ab172730) instead of ab275745 in NIH/3T3 whole cell lysate

Blocking and dilution buffer and concentration : 5% NFDM/TBST.

Exposure time : 84 seconds.

All lanes:

Immunoprecipitation - Anti-Retinoic Acid Receptor alpha antibody [EPR23871-271] (ab275745)

Predicted band size: 51 kDa

Observed band size: 52 kDa

false

Western blot - Anti-Retinoic Acid Receptor alpha antibody [EPR23871-271] (AB275745)
  • WB

Lab

Western blot - Anti-Retinoic Acid Receptor alpha antibody [EPR23871-271] (AB275745)

Anti-RARA antibody [EPR23871-271] (ab275745) staining at 1/1000 dilution, shown in green; Mouse anti-GAPDH antibody [6C5] (ab8245) loading control staining at 1/20000 dilution, shown in red. In Western blot, ab275745 was shown to bind specifically to RARA. A band was observed at 50-55 kDa in wild-type MCF7 cell lysates with no signal observed at this size in RARA knockout cell line ab277158 (knockout cell lysate ab281383). To generate this image, wild-type and RARA knockout MCF7 cell lysates were analysed. First, samples were run on an SDS-PAGE gel then transferred onto a nitrocellulose membrane. Membranes were blocked in 3 % milk in TBS-0.1 % Tween® 20 (TBS-T) before incubation with primary antibodies overnight at 4 °C. Blots were washed four times in TBS-T, incubated with secondary antibodies for 1 h at room temperature, washed again four times then imaged. Secondary antibodies used were Goat anti-Rabbit IgG H&L 800CW and Goat anti-Mouse IgG H&L 680RD at 1/20000 dilution.

All lanes:

Western blot - Anti-Retinoic Acid Receptor alpha antibody [EPR23871-271] (ab275745) at 1/1000 dilution

Lane 1:

Wild-type MCF7 cell lysate at 20 µg

Lane 2:

Western blot - Human RARA (Retinoic Acid Receptor alpha) knockout MCF7 cell line (ab277158)

Lane 2:

Western blot - Human RARA (Retinoic Acid Receptor alpha) knockout MCF7 cell lysate (ab281383)

Lane 2:

RARA knockout MCF7 cell lysate at 20 µg

Lane 3:

Human Testis cell lysate at 20 µg

Lane 4:

Human Brain cell lysate at 20 µg

Secondary

All lanes:

Goat anti-Rabbit IgG H&L 800CW and Goat anti-Mouse IgG H&L 680RD at 1/20000 dilution

Predicted band size: 51 kDa

false

Western blot - Anti-Retinoic Acid Receptor alpha antibody [EPR23871-271] (AB275745)
  • WB

Lab

Western blot - Anti-Retinoic Acid Receptor alpha antibody [EPR23871-271] (AB275745)

Blocking and diluting buffer and concentration : 5% NFDM/TBST.

Low expression : MOLT-4.(Database : HPA).

Exposure time : Lane 1 : 8 seconds Lane2-4 : 70 seconds.

All lanes:

Western blot - Anti-Retinoic Acid Receptor alpha antibody [EPR23871-271] (ab275745) at 1/1000 dilution

Lane 1:

MCF7 (human breast adenocarcinoma epithelial cell) whole cell lysate at 20 µg

Lane 2:

U937 (human histiocytic lymphoma monocyte) whole cell lysate at 20 µg

Lane 3:

HEK-293 (human embryonic kidney epithelial cell) whole cell lysate at 20 µg

Lane 4:

MOLT-4 (human lymphoblastic leukemia T lymphoblast) whole cell lysate at 20 µg

Secondary

All lanes:

Goat Anti-Rabbit IgG, (H+L), Peroxidase conjugated (<a href='/en-us/products/secondary-antibodies/goat-rabbit-igg-h-l-hrp-ab97051'>ab97051</a>) at 1/20000 dilution

Predicted band size: 51 kDa

Observed band size: 52 kDa

false

Western blot - Anti-Retinoic Acid Receptor alpha antibody [EPR23871-271] (AB275745)
  • WB

Lab

Western blot - Anti-Retinoic Acid Receptor alpha antibody [EPR23871-271] (AB275745)

Lanes 1 - 4 : Merged signal (red and green). Green - ab275745 observed at 40 kDa. Red - loading control, ab8245 (Mouse anti-GAPDH antibody [6C5]) observed at 37 kDa.

ab275745 was shown to react with Retinoic Acid Receptor alpha in wild-type HeLa cells in western blot. The bands observed in RARA knockout cell line ab265176 (RARA knockout cell lysate ab257629) below 40 kDa may represent truncated forms and cleaved fragments. This has not been investigated further. Wild-type and RARA CRISPR/Cas9 HeLa edited cell lysates were subjected to SDS-PAGE. Membranes were blocked in 3 % milk in TBS-T (0.1 % Tween®) before incubation with ab275745 and ab8245 (Mouse anti-GAPDH antibody [6C5]) overnight at 4°C at a 1 in 1000 dilution and a 1 in 20000 dilution respectively. Blots were incubated with Goat anti-Rabbit IgG H&L (IRDye® 800CW) preabsorbed (ab216773) and Goat anti-Mouse IgG H&L (IRDye® 680RD) preabsorbed (ab216776) secondary antibodies at 1 in 20000 dilution for 1 h at room temperature before imaging.

All lanes:

Western blot - Anti-Retinoic Acid Receptor alpha antibody [EPR23871-271] (ab275745) at 1/1000 dilution

Lane 1:

Wild-type HeLa cell lysate at 20 µg

Lane 2:

RARA CRISPR-Cas9 edited HeLa cell lysate at 20 µg

Lane 2:

Western blot - Human RARA (Retinoic Acid Receptor alpha) knockout HeLa cell line (<a href='/en-us/products/cell-lines/human-rara-retinoic-acid-receptor-alpha-knockout-hela-cell-line-ab265176'>ab265176</a>)

Lane 3:

MCF7 cell lysate at 20 µg

Lane 4:

HepG2 cell lysate at 20 µg

Predicted band size: 51 kDa

Observed band size: 50-55 kDa

false

Western blot - Anti-Retinoic Acid Receptor alpha antibody [EPR23871-271] (AB275745)
  • WB

Lab

Western blot - Anti-Retinoic Acid Receptor alpha antibody [EPR23871-271] (AB275745)

Blocking and diluting buffer and concentration : 5% NFDM/TBST.

Low expression : human brain, human skeletal muscle (Database : GTExPortal, HPA).

Exposure time : 103 seconds.

All lanes:

Western blot - Anti-Retinoic Acid Receptor alpha antibody [EPR23871-271] (ab275745) at 1/1000 dilution

Lane 1:

Human testis tissue lysate at 20 µg

Lane 2:

Human brain tissue lysate at 20 µg

Lane 3:

Human skeletal muscle tissue lysate at 20 µg

Secondary

All lanes:

VeriBlot for IP secondary antibody(HRP)(<a href='/en-us/products/reagents/veriblot-for-ip-detection-reagent-hrp-ab131366'>ab131366</a>) at 1/1000 dilution

Predicted band size: 51 kDa

Observed band size: 52 kDa

false

Western blot - Anti-Retinoic Acid Receptor alpha antibody [EPR23871-271] (AB275745)
  • WB

Lab

Western blot - Anti-Retinoic Acid Receptor alpha antibody [EPR23871-271] (AB275745)

Blocking and diluting buffer and concentration : 5% NFDM/TBST.

Exposure time : 70 seconds.

All lanes:

Western blot - Anti-Retinoic Acid Receptor alpha antibody [EPR23871-271] (ab275745) at 1/1000 dilution

Lane 1:

NIH/3T3 (mouse embryonic fibroblast) whole cell lysate at 20 µg

Lane 2:

PC-12 (rat adrenal gland pheochromocytoma) whole cell lysate at 20 µg

Secondary

All lanes:

Goat Anti-Rabbit IgG, (H+L), Peroxidase conjugated (<a href='/en-us/products/secondary-antibodies/goat-rabbit-igg-h-l-hrp-ab97051'>ab97051</a>) at 1/20000 dilution

Predicted band size: 51 kDa

Observed band size: 52 kDa

false

  • Carrier free

    Anti-Retinoic Acid Receptor alpha antibody [EPR23871-271] - BSA and Azide free

Key facts

Host species

Rabbit

Clonality

Monoclonal

Clone number

EPR23871-271

Isotype

IgG

Carrier free

No

Reacts with

Mouse, Rat, Human

Applications

WB, IP, IHC-P

applications

Immunogen

The exact immunogen used to generate this antibody is proprietary information.

Reactivity data

{ "title": "Reactivity Data", "filters": { "stats": ["", "Species", "Dilution Info", "Notes"], "tabs": { "all-applications": {"fullname" : "All Applications", "shortname": "All Applications"}, "ICCIF" : {"fullname" : "Immunocytochemistry/ Immunofluorescence", "shortname":"ICC/IF"}, "IP" : {"fullname" : "Immunoprecipitation", "shortname":"IP"}, "FlowCyt" : {"fullname" : "Flow Cytometry", "shortname":"Flow Cyt"}, "WB" : {"fullname" : "Western blot", "shortname":"WB"}, "IHCP" : {"fullname" : "Immunohistochemistry (Formalin/PFA-fixed paraffin-embedded sections)", "shortname":"IHC-P"} }, "product-promise": { "all": "all", "testedAndGuaranteed": "tested", "guaranteed": "expected", "predicted": "predicted", "notRecommended": "not-recommended" } }, "values": { "Human": { "ICCIF-species-checked": "notRecommended", "ICCIF-species-dilution-info": "", "ICCIF-species-notes": "<p></p>", "IP-species-checked": "testedAndGuaranteed", "IP-species-dilution-info": "1/30", "IP-species-notes": "<p></p>", "FlowCyt-species-checked": "notRecommended", "FlowCyt-species-dilution-info": "", "FlowCyt-species-notes": "<p></p>", "WB-species-checked": "testedAndGuaranteed", "WB-species-dilution-info": "1/1000", "WB-species-notes": "<p></p>", "IHCP-species-checked": "testedAndGuaranteed", "IHCP-species-dilution-info": "1/1000", "IHCP-species-notes": "<p></p> Perform heat-mediated antigen retrieval with Tris/EDTA buffer pH 9.0 before commencing with IHC staining protocol." }, "Mouse": { "ICCIF-species-checked": "notRecommended", "ICCIF-species-dilution-info": "", "ICCIF-species-notes": "", "IP-species-checked": "testedAndGuaranteed", "IP-species-dilution-info": "1/30", "IP-species-notes": "<p></p>", "FlowCyt-species-checked": "notRecommended", "FlowCyt-species-dilution-info": "", "FlowCyt-species-notes": "", "WB-species-checked": "testedAndGuaranteed", "WB-species-dilution-info": "1/1000", "WB-species-notes": "<p></p>", "IHCP-species-checked": "testedAndGuaranteed", "IHCP-species-dilution-info": "1/1000", "IHCP-species-notes": "<p></p> Perform heat-mediated antigen retrieval with Tris/EDTA buffer pH 9.0 before commencing with IHC staining protocol." }, "Rat": { "ICCIF-species-checked": "notRecommended", "ICCIF-species-dilution-info": "", "ICCIF-species-notes": "", "IP-species-checked": "guaranteed", "IP-species-dilution-info": "", "IP-species-notes": "", "FlowCyt-species-checked": "notRecommended", "FlowCyt-species-dilution-info": "", "FlowCyt-species-notes": "", "WB-species-checked": "testedAndGuaranteed", "WB-species-dilution-info": "1/1000", "WB-species-notes": "<p></p>", "IHCP-species-checked": "testedAndGuaranteed", "IHCP-species-dilution-info": "1/1000", "IHCP-species-notes": "<p></p> Perform heat-mediated antigen retrieval with Tris/EDTA buffer pH 9.0 before commencing with IHC staining protocol." } } }

Product details

Patented technology
Our RabMAb® technology is a patented hybridoma-based technology for making rabbit monoclonal antibodies. For details on our patents, please refer to RabMAb® patents.

What are the advantages of a recombinant monoclonal antibody?
This product is a recombinant monoclonal antibody, which offers several advantages including:

  • - High batch-to-batch consistency and reproducibility
  • - Improved sensitivity and specificity
  • - Long-term security of supply
  • - Animal-free batch production

For more information, read more on recombinant antibodies.

Properties and storage information

Form
Liquid
Purification technique
Affinity purification Protein A
Storage buffer
Preservative: 0.01% Sodium azide Constituents: PBS, 40% Glycerol (glycerin, glycerine), 0.05% BSA
Shipped at conditions
Blue Ice
Appropriate short-term storage duration
1-2 weeks
Appropriate short-term storage conditions
+4°C
Appropriate long-term storage conditions
-20°C
Aliquoting information
Upon delivery aliquot
Storage information
Avoid freeze / thaw cycle

Supplementary information

This supplementary information is collated from multiple sources and compiled automatically.

Retinoic Acid Receptor alpha (RARA) a member of the nuclear receptor superfamily functions as a transcription factor activated by retinoic acid. Commonly referenced in literature RARA has an approximate molecular mass of 50 kDa. It is expressed in a variety of tissues including the liver the lung and the immune system. By forming heterodimers with retinoid X receptors RARA regulates the transcription of genes linked to cell differentiation proliferation and apoptosis.
Biological function summary

RARA plays an essential role in mediating the effects of retinoic acid in the body. It is part of a larger receptor complex that interacts with co-regulators to modulate gene expression. This process is significant for embryonic development and the maintenance of normal physiological functions. Through its action RARA contributes to the proper development of organs and is critical for maintaining immune homeostasis and enabling the cellular response to environmental changes.

Pathways

RARA's activity impacts important signaling routes such as the retinoic acid signaling pathway and the Wnt signaling pathway. It collaborates with proteins like retinoid X receptors (RXRs) and other nuclear receptors to influence gene expression processes. These pathways maintain cellular differentiation and tissue homeostasis demonstrating RARA's integrative role in cellular signaling and communication.

RARA's dysregulation has been linked to acute promyelocytic leukemia (APL) and some autoimmune diseases. In APL aberrant fusion proteins involving RARA disrupt normal transcriptional regulation leading to malignant transformation. Additionally the interaction of RARA with proteins such as promyelocytic leukemia protein (PML) further influences the disease's development. Research on these associations highlights the therapeutic potential of targeting RARA activities for disease intervention and treatment strategies.

Product protocols

For this product, it's our understanding that no specific protocols are required. You can visit:

Target data

Receptor for retinoic acid (PubMed : 16417524, PubMed : 19850744, PubMed : 20215566, PubMed : 21152046, PubMed : 37478846). Retinoic acid receptors bind as heterodimers to their target response elements in response to their ligands, all-trans or 9-cis retinoic acid, and regulate gene expression in various biological processes (PubMed : 21152046, PubMed : 28167758, PubMed : 37478846). The RXR/RAR heterodimers bind to the retinoic acid response elements (RARE) composed of tandem 5'-AGGTCA-3' sites known as DR1-DR5 (PubMed : 19398580, PubMed : 28167758). In the absence of ligand, the RXR-RAR heterodimers associate with a multiprotein complex containing transcription corepressors that induce histone deacetylation, chromatin condensation and transcriptional suppression (PubMed : 16417524). On ligand binding, the corepressors dissociate from the receptors and associate with the coactivators leading to transcriptional activation (PubMed : 19850744, PubMed : 20215566, PubMed : 37478846, PubMed : 9267036). Formation of a complex with histone deacetylases might lead to inhibition of RARE DNA element binding and to transcriptional repression (PubMed : 28167758). Transcriptional activation and RARE DNA element binding might be supported by the transcription factor KLF2 (PubMed : 28167758). RARA plays an essential role in the regulation of retinoic acid-induced germ cell development during spermatogenesis (By similarity). Has a role in the survival of early spermatocytes at the beginning prophase of meiosis (By similarity). In Sertoli cells, may promote the survival and development of early meiotic prophase spermatocytes (By similarity). In concert with RARG, required for skeletal growth, matrix homeostasis and growth plate function (By similarity). Together with RXRA, positively regulates microRNA-10a expression, thereby inhibiting the GATA6/VCAM1 signaling response to pulsatile shear stress in vascular endothelial cells (PubMed : 28167758). In association with HDAC3, HDAC5 and HDAC7 corepressors, plays a role in the repression of microRNA-10a and thereby promotes the inflammatory response (PubMed : 28167758).
See full target information RARA

Publications (2)

Recent publications for all applications. Explore the full list and refine your search

JCI insight 7: PubMed36134659

2022

A gut-oral microbiome-driven axis controls oropharyngeal candidiasis through retinoic acid.

Applications

Unspecified application

Species

Unspecified reactive species

Felix Ey Aggor,Martinna Bertolini,Chunsheng Zhou,Tiffany C Taylor,Darryl A Abbott,Javonn Musgrove,Vincent M Bruno,Timothy W Hand,Sarah L Gaffen

Frontiers in genetics 12:681295 PubMed33995501

2021

Epilepsy-Associated UBE3A Deficiency Downregulates Retinoic Acid Signalling Pathway.

Applications

Unspecified application

Species

Unspecified reactive species

Meimiao Fang,Yali Li,Jin Ren,Ronggui Hu,Xiaobo Gao,Liang Chen
View all publications

Product promise

We are committed to supporting your work with high-quality reagents, and we're here for you every step of the way. In the unlikely event that one of our products does not perform as expected, you're protected by our Product Promise.
For full details, please see our Terms & Conditions

Please note: All products are 'FOR RESEARCH USE ONLY. NOT FOR USE IN DIAGNOSTIC OR THERAPEUTIC PROCEDURES'.

For licensing inquiries, please contact partnerships@abcam.com