JavaScript is disabled in your browser. Please enable JavaScript to view this website.
AB53161

Anti-Retinoic Acid Receptor beta antibody

0

(2 Reviews)

|

(26 Publications)

Rabbit Polyclonal Retinoic Acid Receptor beta antibody. Suitable for IP, ELISA, WB, IHC-P, ICC/IF and reacts with Mouse, Rat, Human samples. Cited in 26 publications. Immunogen corresponding to Synthetic Peptide within Human RARB aa 350-400.

View Alternative Names

HAP, NR1B2, RARB, Retinoic acid receptor beta, RAR-beta, HBV-activated protein, Nuclear receptor subfamily 1 group B member 2, RAR-epsilon

3 Images
Immunocytochemistry/ Immunofluorescence - Anti-Retinoic Acid Receptor beta antibody (AB53161)
  • ICC/IF

Unknown

Immunocytochemistry/ Immunofluorescence - Anti-Retinoic Acid Receptor beta antibody (AB53161)

ICC/IF image of ab53161 stained HeLa cells. The cells were 4% PFA fixed (10 min) and then incubated in 1%BSA / 10% normal goat serum / 0.3M glycine in 0.1% PBS-Tween for 1h to permeabilise the cells and block non-specific protein-protein interactions. The cells were then incubated with the antibody (ab53161, 1µg/ml) overnight at +4°C. The secondary antibody (green) was Alexa Fluor® 488 goat anti-rabbit IgG (H+L) used at a 1/1000 dilution for 1h. Alexa Fluor® 594 WGA was used to label plasma membranes (red) at a 1/200 dilution for 1h. DAPI was used to stain the cell nuclei (blue) at a concentration of 1.43µM.

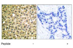
Immunohistochemistry (Formalin/PFA-fixed paraffin-embedded sections) - Anti-Retinoic Acid Receptor beta antibody (AB53161)
  • IHC-P

Unknown

Immunohistochemistry (Formalin/PFA-fixed paraffin-embedded sections) - Anti-Retinoic Acid Receptor beta antibody (AB53161)

This image shows human breast carcinoma tissue stained with ab53161 at 1/50 dilution. The left hand image shows untreated tissue; the right hand image shows tissue treated with the immunising peptide.

Western blot - Anti-Retinoic Acid Receptor beta antibody (AB53161)
  • WB

Unknown

Western blot - Anti-Retinoic Acid Receptor beta antibody (AB53161)

All lanes:

Western blot - Anti-Retinoic Acid Receptor beta antibody (ab53161) at 1/500 dilution

Lane 1:

HepG2 cell extract, untreated.

Lane 2:

HepG2 cell extract treated with the immunising peptide.

Predicted band size: 50 kDa

Observed band size: 50 kDa

false

Key facts

Host species

Rabbit

Clonality

Polyclonal

Isotype

IgG

Carrier free

No

Reacts with

Human, Mouse, Rat

Applications

IHC-P, IP, ICC/IF, ELISA, WB

applications

Immunogen

Synthetic Peptide within Human RARB aa 350-400. The exact immunogen used to generate this antibody is proprietary information.

P10826

Reactivity data

{ "title": "Reactivity Data", "filters": { "stats": ["", "Species", "Dilution Info", "Notes"], "tabs": { "all-applications": {"fullname" : "All Applications", "shortname": "All Applications"}, "IP" : {"fullname" : "Immunoprecipitation", "shortname":"IP"}, "ELISA" : {"fullname" : "ELISA", "shortname":"ELISA"}, "WB" : {"fullname" : "Western blot", "shortname":"WB"}, "IHCP" : {"fullname" : "Immunohistochemistry (Formalin/PFA-fixed paraffin-embedded sections)", "shortname":"IHC-P"}, "ICCIF" : {"fullname" : "Immunocytochemistry/ Immunofluorescence", "shortname":"ICC/IF"} }, "product-promise": { "all": "all", "testedAndGuaranteed": "tested", "guaranteed": "expected", "predicted": "predicted", "notRecommended": "not-recommended" } }, "values": { "Human": { "IP-species-checked": "guaranteed", "IP-species-dilution-info": "", "IP-species-notes": "<p></p>", "ELISA-species-checked": "guaranteed", "ELISA-species-dilution-info": "", "ELISA-species-notes": "<p></p>", "WB-species-checked": "testedAndGuaranteed", "WB-species-dilution-info": "1/500 - 1/1000", "WB-species-notes": "<p></p>", "IHCP-species-checked": "testedAndGuaranteed", "IHCP-species-dilution-info": "", "IHCP-species-notes": "<p></p>", "ICCIF-species-checked": "testedAndGuaranteed", "ICCIF-species-dilution-info": "1-5 µg/mL", "ICCIF-species-notes": "<p></p>" }, "Mouse": { "IP-species-checked": "guaranteed", "IP-species-dilution-info": "", "IP-species-notes": "<p></p>", "ELISA-species-checked": "guaranteed", "ELISA-species-dilution-info": "", "ELISA-species-notes": "<p></p>", "WB-species-checked": "predicted", "WB-species-dilution-info": "", "WB-species-notes": "", "IHCP-species-checked": "predicted", "IHCP-species-dilution-info": "", "IHCP-species-notes": "", "ICCIF-species-checked": "predicted", "ICCIF-species-dilution-info": "", "ICCIF-species-notes": "" }, "Rat": { "IP-species-checked": "guaranteed", "IP-species-dilution-info": "", "IP-species-notes": "<p></p>", "ELISA-species-checked": "guaranteed", "ELISA-species-dilution-info": "", "ELISA-species-notes": "<p></p>", "WB-species-checked": "predicted", "WB-species-dilution-info": "", "WB-species-notes": "", "IHCP-species-checked": "predicted", "IHCP-species-dilution-info": "", "IHCP-species-notes": "", "ICCIF-species-checked": "predicted", "ICCIF-species-dilution-info": "", "ICCIF-species-notes": "" } } }

Properties and storage information

Form
Liquid
Purification technique
Affinity purification Immunogen
Storage buffer
pH: 7.4 Preservative: 0.02% Sodium azide Constituents: PBS, 50% Glycerol (glycerin, glycerine), 0.87% Sodium chloride
Shipped at conditions
Blue Ice
Appropriate short-term storage conditions
+4°C
Appropriate long-term storage conditions
-20°C
Storage information
Stable for 12 months at -20°C

Supplementary information

This supplementary information is collated from multiple sources and compiled automatically.

Retinoic Acid Receptor beta (RARβ) also known as NR1B2 is a nuclear receptor with a molecular mass of approximately 51 kDa. This receptor functions mechanically by binding retinoic acid which induces conformational changes that allow it to regulate gene transcription. RARβ is expressed in various tissues including the central nervous system lungs and kidneys. Its role as a transcription factor influences gene expression patterns by interacting with specific retinoic acid response elements (RARE) in the DNA.
Biological function summary

Retinoic Acid Receptor beta plays a significant role in cell differentiation and development. It often forms heterodimers with retinoid X receptors (RXRs) to execute its functions. This interaction enhances the receptor's ability to modulate gene expression. The complex orchestrates a broad range of developmental processes particularly in embryogenesis and organogenesis. RARβ influences several cellular activities including the regulation of apoptosis and the maintenance of cellular homeostasis.

Pathways

The activity of Retinoic Acid Receptor beta integrates predominantly into the retinoic acid signaling pathway and the Wnt signaling pathway. Through these pathways RARβ contributes to the regulation of cell fate and the inhibition of cell proliferation. It functions alongside proteins such as RXRs in the retinoic acid pathway and may interact with components of the Wnt pathway like β-catenin to control gene transcription and cellular responses. These interactions guide various developmental and physiological processes.

Retinoic Acid Receptor beta has connections to cancer and retinal diseases. Changes in RARβ expression and function associate with several types of cancer including lung and breast cancer often involving dysregulation of apoptosis and cell proliferation. In retinal diseases RARβ in conjunction with the protein CRABP (cellular retinoic acid-binding protein) affects the homeostasis and survival of retinal cells. Understanding RARβ's role in these diseases helps in developing targeted therapies aimed at modulating its activity.

Product protocols

For this product, it's our understanding that no specific protocols are required. You can visit:

Target data

Receptor for retinoic acid. Retinoic acid receptors bind as heterodimers to their target response elements in response to their ligands, all-trans or 9-cis retinoic acid, and regulate gene expression in various biological processes. The RXR/RAR heterodimers bind to the retinoic acid response elements (RARE) composed of tandem 5'-AGGTCA-3' sites known as DR1-DR5. In the absence or presence of hormone ligand, acts mainly as an activator of gene expression due to weak binding to corepressors (PubMed : 12554770). The RXRA/RARB heterodimer can act as a repressor on the DR1 element and as an activator on the DR5 element (PubMed : 29021580). In concert with RARG, required for skeletal growth, matrix homeostasis and growth plate function (By similarity).
See full target information RARB

Publications (26)

Recent publications for all applications. Explore the full list and refine your search

Oncogenesis 12:23 PubMed37130839

2023

Retinoic acid receptor β modulates mechanosensing and invasion in pancreatic cancer cells via myosin light chain 2.

Applications

Unspecified application

Species

Unspecified reactive species

Carlos Matellan,Dariusz Lachowski,Ernesto Cortes,Kai Ning Chiam,Aleksandar Krstic,Stephen D Thorpe,Armando E Del Río Hernández

Journal of radiation research 64:11-23 PubMed36214504

2022

Epigenetic regulation of RARB overcomes the radio-resistance of colorectal carcinoma cells via cancer stem cells.

Applications

Unspecified application

Species

Unspecified reactive species

Yuxian Shu,Jun Lan,Zhaobing Hu,Weiguo Liu,Rongfeng Song

The Journal of pathology 256:61-70 PubMed34564861

2021

Mucosal melanomas of different anatomic sites share a common global DNA methylation profile with cutaneous melanoma but show location-dependent patterns of genetic and epigenetic alterations.

Applications

Unspecified application

Species

Unspecified reactive species

Philipp Jurmeister,Niklas Wrede,Inga Hoffmann,Claudia Vollbrecht,Daniel Heim,Michael Hummel,Peggy Wolkenstein,Ines Koch,Verena Heynol,Wolfgang Daniel Schmitt,Anne Thieme,Daniel Teichmann,Christine Sers,Andreas von Deimling,Julia Cara Thierauf,Maximilian von Laffert,Frederick Klauschen,David Capper

Stem cell research & therapy 12:291 PubMed34001245

2021

The role of Serpina3n in the reversal effect of ATRA on dexamethasone-inhibited osteogenic differentiation in mesenchymal stem cells.

Applications

Unspecified application

Species

Unspecified reactive species

Hai-Tao Jiang,Rui Deng,Yan Deng,Mao Nie,Yi-Xuan Deng,Hong-Hong Luo,Yuan-Yuan Yang,Na Ni,Cheng-Cheng Ran,Zhong-Liang Deng

Life sciences 264:118688 PubMed33130074

2020

Maternal vitamin A deficiency impairs cholinergic and nitrergic neurons, leading to gastrointestinal dysfunction in rat offspring via RARβ.

Applications

Unspecified application

Species

Unspecified reactive species

Mei Tan,Ting Yang,Huan Liu,Lu Xiao,Cheng Li,Jiang Zhu,Jie Chen,Tingyu Li

Translational neurodegeneration 9:23 PubMed32605607

2020

Downregulated miR-18b-5p triggers apoptosis by inhibition of calcium signaling and neuronal cell differentiation in transgenic SOD1 (G93A) mice and SOD1 (G17S and G86S) ALS patients.

Applications

Unspecified application

Species

Unspecified reactive species

Ki Yoon Kim,Yu Ri Kim,Kyung Won Choi,Mijung Lee,Somyung Lee,Wooseok Im,Je-Young Shin,Jin Young Kim,Yoon Ho Hong,Manho Kim,Jong-Il Kim,Jung-Joon Sung

Scientific reports 10:6377 PubMed32286473

2020

Transgene integration causes RARB downregulation in homozygous Tg4-42 mice.

Applications

Unspecified application

Species

Unspecified reactive species

Barbara Hinteregger,Tina Loeffler,Stefanie Flunkert,Joerg Neddens,Ruth Birner-Gruenberger,Thomas A Bayer,Tobias Madl,Birgit Hutter-Paier

Journal of Alzheimer's disease : JAD 73:935-954 PubMed31884477

2019

Decay in Retinoic Acid Signaling in Varied Models of Alzheimer's Disease and In-Vitro Test of Novel Retinoic Acid Receptor Ligands (RAR-Ms) to Regulate Protective Genes.

Applications

Unspecified application

Species

Unspecified reactive species

Thabat Khatib,David R Chisholm,Andrew Whiting,Bettina Platt,Peter McCaffery

Human mutation 41:678-695 PubMed31816153

2019

High-throughput custom capture sequencing identifies novel mutations in coloboma-associated genes: Mutation in DNA-binding domain of retinoic acid receptor beta affects nuclear localization causing ocular coloboma.

Applications

Unspecified application

Species

Unspecified reactive species

Vijay K Kalaskar,Ramakrishna P Alur,LeeAnn K Li,James W Thomas,Yuri V Sergeev,Delphine Blain,Robert B Hufnagel,Tiziana Cogliati,Brian P Brooks

The Journal of clinical investigation 129:5357-5373 PubMed31682238

2019

HLA-B27-mediated activation of TNAP phosphatase promotes pathogenic syndesmophyte formation in ankylosing spondylitis.

Applications

Unspecified application

Species

Unspecified reactive species

Chin-Hsiu Liu,Sengupta Raj,Chun-Hsiung Chen,Kuo-Hsuan Hung,Chung-Tei Chou,Ing-Ho Chen,Jui-Teng Chien,I-Ying Lin,Shii-Yi Yang,Takashi Angata,Wen-Chan Tsai,James Cheng-Chung Wei,I-Shiang Tzeng,Shih-Chieh Hung,Kuo-I Lin
View all publications

Product promise

We are committed to supporting your work with high-quality reagents, and we're here for you every step of the way. In the unlikely event that one of our products does not perform as expected, you're protected by our Product Promise.
For full details, please see our Terms & Conditions

Please note: All products are 'FOR RESEARCH USE ONLY. NOT FOR USE IN DIAGNOSTIC OR THERAPEUTIC PROCEDURES'.

For licensing inquiries, please contact partnerships@abcam.com