JavaScript is disabled in your browser. Please enable JavaScript to view this website.
AB5792

Anti-Retinoic Acid Receptor beta antibody

1

(1 Review)

|

(1 Publication)

Rabbit Polyclonal Retinoic Acid Receptor beta antibody. Suitable for ICC/IF, WB and reacts with Human, Mouse samples. Cited in 1 publication.

View Alternative Names

Nr1b2, Retinoic acid receptor beta, RAR-beta, Nuclear receptor subfamily 1 group B member 2

3 Images
Immunocytochemistry/ Immunofluorescence - Anti-Retinoic Acid Receptor beta antibody (AB5792)
  • ICC/IF

Supplier Data

Immunocytochemistry/ Immunofluorescence - Anti-Retinoic Acid Receptor beta antibody (AB5792)

Immunofluorescent analysis of SH-SY5Y (Human neuroblastoma cell line from bone marrow) whole cell lysate cells on 70% confluent log phase labeling Retinoic Acid Receptor beta. The cells were fixed with 4% paraformaldehyde for 10 minutes, permeabilized with 0.1% Triton™ X-100 for 10 minutes, and blocked with 2% BSA for 10 minutes at room temperature. The cells were labeled with ab5792 at 1/100 dilution in 0.1% BSA and incubated overnight at 4°C and then labeled with Goat anti-Rabbit IgG (H+L) secondary antibody, Alexa Fluor® 488 conjugate at 1/2000 dilution for 45 minutes at room temperature (Panel a : green). Nuclei (Panel b : blue) were stained with DAPI. F-actin (Panel c : red) was stained with Alexa Fluor® 555 Rhodamine Phalloidin (1/300 dilution). Panel d is a merged image showing nuclear and cytoplasmic localization. Panel e represents BeWo (human placenta choriocarcinoma cell line) having no expression of Retinoic Acid Receptor beta. The images were captured at 60X magnification.

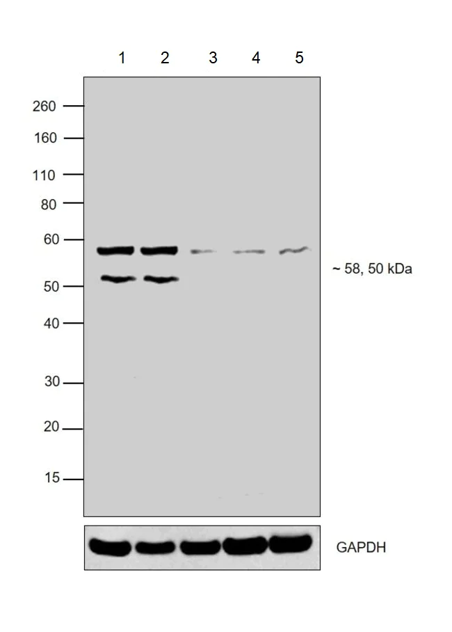
Western blot - Anti-Retinoic Acid Receptor beta antibody (AB5792)
  • WB

Supplier Data

Western blot - Anti-Retinoic Acid Receptor beta antibody (AB5792)

Detection : chemiluminescence

Western blot demonstrating antibody specificity by detection of differential basal expression of the target across cell lines owing to their inherent genetic constitution. The expression was observed in SH-SY5Y and HEK-293 and not seen in PANC-1, OVCAR-3 and BeWo using ab5792.

All lanes:

Western blot - Anti-Retinoic Acid Receptor beta antibody (ab5792) at 1 µg/mL

Lane 1:

SH-SY5Y (Human neuroblastoma cell line from bone marrow) whole cell lysate at 30 µg

Lane 2:

HEK-293 (Human epithelial cell line from embryonic kidney) whole cell lysate at 30 µg

Lane 3:

PANC-1 (Human pancreatic epithelial cancinoma cell line) whole cell lysate at 30 µg

Lane 4:

OVCAR-3 (Human ovary adenocarcinoma cell line) whole cell lysate at 30 µg

Lane 5:

BeWo (human placenta choriocarcinoma cell line) whole cell lysate at 30 µg

Secondary

All lanes:

Goat anti-Rabbit IgG (H+L), Superclonal™ Recombinant Secondary Antibody, HRP at 1/4000 dilution

Predicted band size: 50 kDa

Observed band size: ~58.50 kDa

false

Western blot - Anti-Retinoic Acid Receptor beta antibody (AB5792)
  • WB

Supplier Data

Western blot - Anti-Retinoic Acid Receptor beta antibody (AB5792)

All lanes:

Western blot - Anti-Retinoic Acid Receptor beta antibody (ab5792) at 1/1000 dilution

Lane 1:

SH-SY5Y cell lysate at 25 µg

Lane 2:

HepG2 cell lysate at 25 µg

Lane 3:

Mouse heart cell lysate at 25 µg

Predicted band size: 50 kDa

Observed band size: 58 kDa

false

Key facts

Host species

Rabbit

Clonality

Polyclonal

Isotype

IgG

Carrier free

No

Reacts with

Mouse, Human

Applications

ICC/IF, WB

applications

Immunogen

The exact immunogen used to generate this antibody is proprietary information.

Specificity

This antibody shows slight cross-reactivity to RAR alpha but does not detect RAR gamma.

Reactivity data

{ "title": "Reactivity Data", "filters": { "stats": ["", "Species", "Dilution Info", "Notes"], "tabs": { "all-applications": {"fullname" : "All Applications", "shortname": "All Applications"}, "ICCIF" : {"fullname" : "Immunocytochemistry/ Immunofluorescence", "shortname":"ICC/IF"}, "WB" : {"fullname" : "Western blot", "shortname":"WB"} }, "product-promise": { "all": "all", "testedAndGuaranteed": "tested", "guaranteed": "expected", "predicted": "predicted", "notRecommended": "not-recommended" } }, "values": { "Human": { "ICCIF-species-checked": "testedAndGuaranteed", "ICCIF-species-dilution-info": "1/100", "ICCIF-species-notes": "<p></p>", "WB-species-checked": "testedAndGuaranteed", "WB-species-dilution-info": "1/1000", "WB-species-notes": "<p></p>" }, "Mouse": { "ICCIF-species-checked": "guaranteed", "ICCIF-species-dilution-info": "1/100", "ICCIF-species-notes": "<p></p>", "WB-species-checked": "guaranteed", "WB-species-dilution-info": "1/1000", "WB-species-notes": "<p></p>" } } }

Properties and storage information

Form
Liquid
Purity
Whole antiserum
Storage buffer
Preservative: 0.05% Sodium azide Constituents: PBS
Shipped at conditions
Blue Ice
Appropriate short-term storage duration
1-2 weeks
Appropriate short-term storage conditions
+4°C
Appropriate long-term storage conditions
-20°C
Aliquoting information
Upon delivery aliquot
Storage information
Avoid freeze / thaw cycle

Supplementary information

This supplementary information is collated from multiple sources and compiled automatically.

Retinoic Acid Receptor beta (RARβ) also known as NR1B2 is a nuclear receptor with a molecular mass of approximately 51 kDa. This receptor functions mechanically by binding retinoic acid which induces conformational changes that allow it to regulate gene transcription. RARβ is expressed in various tissues including the central nervous system lungs and kidneys. Its role as a transcription factor influences gene expression patterns by interacting with specific retinoic acid response elements (RARE) in the DNA.
Biological function summary

Retinoic Acid Receptor beta plays a significant role in cell differentiation and development. It often forms heterodimers with retinoid X receptors (RXRs) to execute its functions. This interaction enhances the receptor's ability to modulate gene expression. The complex orchestrates a broad range of developmental processes particularly in embryogenesis and organogenesis. RARβ influences several cellular activities including the regulation of apoptosis and the maintenance of cellular homeostasis.

Pathways

The activity of Retinoic Acid Receptor beta integrates predominantly into the retinoic acid signaling pathway and the Wnt signaling pathway. Through these pathways RARβ contributes to the regulation of cell fate and the inhibition of cell proliferation. It functions alongside proteins such as RXRs in the retinoic acid pathway and may interact with components of the Wnt pathway like β-catenin to control gene transcription and cellular responses. These interactions guide various developmental and physiological processes.

Retinoic Acid Receptor beta has connections to cancer and retinal diseases. Changes in RARβ expression and function associate with several types of cancer including lung and breast cancer often involving dysregulation of apoptosis and cell proliferation. In retinal diseases RARβ in conjunction with the protein CRABP (cellular retinoic acid-binding protein) affects the homeostasis and survival of retinal cells. Understanding RARβ's role in these diseases helps in developing targeted therapies aimed at modulating its activity.

Product protocols

For this product, it's our understanding that no specific protocols are required. You can visit:

Target data

Receptor for retinoic acid. Retinoic acid receptors bind as heterodimers to their target response elements in response to their ligands, all-trans or 9-cis retinoic acid, and regulate gene expression in various biological processes. The RAR/RXR heterodimers bind to the retinoic acid response elements (RARE) composed of tandem 5'-AGGTCA-3' sites known as DR1-DR5. In the absence of ligand, acts mainly as an activator of gene expression due to weak binding to corepressors (By similarity). The RXRA/RARB heterodimer can act as a repressor on the DR1 element and as an activator on the DR5 element (By similarity). In concert with RARG, required for skeletal growth, matrix homeostasis and growth plate function (PubMed : 19389355).
See full target information Rarb

Publications (1)

Recent publications for all applications. Explore the full list and refine your search

Cells 14: PubMed40862740

2025

Disrupted Myelination in FAHN: Insights from a Patient-Specific hiPSC Neuron-Oligodendrocyte Model.

Applications

Unspecified application

Species

Unspecified reactive species

Fatima Efendic,Andreas Hermann,Moritz J Frech
View all publications

Product promise

We are committed to supporting your work with high-quality reagents, and we're here for you every step of the way. In the unlikely event that one of our products does not perform as expected, you're protected by our Product Promise.
For full details, please see our Terms & Conditions

Please note: All products are 'FOR RESEARCH USE ONLY. NOT FOR USE IN DIAGNOSTIC OR THERAPEUTIC PROCEDURES'.

For licensing inquiries, please contact partnerships@abcam.com