JavaScript is disabled in your browser. Please enable JavaScript to view this website.
AB124701

Anti-Retinoic Acid Receptor beta antibody [EPR2017]

0

(2 Reviews)

|

(7 Publications)

Rabbit Recombinant Monoclonal Retinoic Acid Receptor beta antibody. Suitable for IHC-P, ICC/IF, WB and reacts with Human samples. Cited in 7 publications.

View Alternative Names

HAP, NR1B2, RARB, Retinoic acid receptor beta, RAR-beta, HBV-activated protein, Nuclear receptor subfamily 1 group B member 2, RAR-epsilon

6 Images
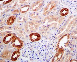
Immunohistochemistry (Formalin/PFA-fixed paraffin-embedded sections) - Anti-Retinoic Acid Receptor beta antibody [EPR2017] (AB124701)
  • IHC-P

Unknown

Immunohistochemistry (Formalin/PFA-fixed paraffin-embedded sections) - Anti-Retinoic Acid Receptor beta antibody [EPR2017] (AB124701)

ab124701 at 1/100 dilution staining Retinoic Acid Receptor beta in paraffin-embedded Human kidney tissue by Immunohistochemistry.

Perform heat mediated antigen retrieval before commencing with IHC staining protocol.

Western blot - Anti-Retinoic Acid Receptor beta antibody [EPR2017] (AB124701)
  • WB

Lab

Western blot - Anti-Retinoic Acid Receptor beta antibody [EPR2017] (AB124701)

All lanes:

Western blot - Anti-Retinoic Acid Receptor beta antibody [EPR2017] (ab124701) at 1/2000 dilution

Lane 1:

Daudi (Human Burkitt's lymphoma lymphoblast) whole cell lysates at 15 µg

Lane 2:

U-87 MG (Human glioblastoma-astrocytoma epithelial cell) whole cell lysates at 15 µg

Secondary

All lanes:

Western blot - Goat Anti-Rabbit IgG H&L (HRP) (<a href='/en-us/products/secondary-antibodies/goat-rabbit-igg-h-l-hrp-ab97051'>ab97051</a>) at 1/20000 dilution

Predicted band size: 50 kDa

Observed band size: 55 kDa

false

Immunocytochemistry/ Immunofluorescence - Anti-Retinoic Acid Receptor beta antibody [EPR2017] (AB124701)
  • ICC/IF

Unknown

Immunocytochemistry/ Immunofluorescence - Anti-Retinoic Acid Receptor beta antibody [EPR2017] (AB124701)

Immunocytochemistry/ Immunofluorescence analysis of HCT 116 (Human colorectal carcinoma epithelial cell) cells labeling Retinoic Acid Receptor beta with Purified ab124701 at 1 : 100 dilution (10 µg/ml). Cells were fixed in 4% Paraformaldehyde and permeabilized with 0.1% tritonX-100. Cells were counterstained with ab195889 Anti-alpha Tubulin antibody [DM1A] - Microtubule Marker (Alexa Fluor® 594) 1 : 200 (2.5 µg/ml). Goat anti rabbit IgG (Alexa Fluor® 488, ab150077) was used as the secondary antibody at 1 : 1000 (2 µg/ml) dilution. DAPI (blue) was used as nuclear counterstain. PBS instead of the primary antibody was used as the secondary antibody only control.

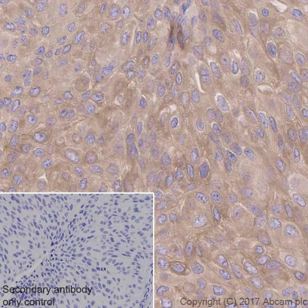
Immunohistochemistry (Formalin/PFA-fixed paraffin-embedded sections) - Anti-Retinoic Acid Receptor beta antibody [EPR2017] (AB124701)
  • IHC-P

Unknown

Immunohistochemistry (Formalin/PFA-fixed paraffin-embedded sections) - Anti-Retinoic Acid Receptor beta antibody [EPR2017] (AB124701)

Immunohistochemistry (Formalin/PFA-fixed paraffin-embedded sections) analysis of human bladder carcinoma tissue sections labeling Retinoic Acid Receptor beta with Purified ab124701 at 1 : 100 dilution (10.3 µg/ml). Perform heat mediated antigen retrieval using ab93684 (Tris/EDTA buffer, pH 9.0). Purified)ImmunoHistoProbe one step HRP Polymer (ready to use) was used for detection. Negative control : PBS instead of the primary antibody. Hematoxylin was used as a counterstain.

Western blot - Anti-Retinoic Acid Receptor beta antibody [EPR2017] (AB124701)
  • WB

Unknown

Western blot - Anti-Retinoic Acid Receptor beta antibody [EPR2017] (AB124701)

All lanes:

Western blot - Anti-Retinoic Acid Receptor beta antibody [EPR2017] (ab124701) at 1/1000 dilution

Lane 1:

MCF7 cell lysates at 10 µg

Lane 2:

MDA-MB-435 cell lysates at 10 µg

Lane 3:

Daudi cell lysates at 10 µg

Lane 4:

U-87 MG cell lysates at 10 µg

Secondary

Lane 1:

Goat anti-Rabbit HRP at 1/20000 dilution

Lanes 2 - 4:

Goat anti-Rabbit HRP at 1/2000 dilution

Predicted band size: 50 kDa

false

OI-RD Scanning - Anti-Retinoic Acid Receptor beta antibody [EPR2017] (AB124701)
  • OI-RD Scanning

Unknown

OI-RD Scanning - Anti-Retinoic Acid Receptor beta antibody [EPR2017] (AB124701)

We have systematically measured KD (the equilibrium dissociation constant between the antibody and its antigen), of more than 840 recombinant antibodies to assess not only their individual KD values but also to see the average affinity of antibody. Based on the comparison with published literature values for mouse monoclonal antibodies, Recombinant antibodies appear to be on average 1-2 order of magnitude higher affinity.

  • HRP

    HRP Anti-Retinoic Acid Receptor beta antibody [EPR2017]

  • Carrier free

    Anti-Retinoic Acid Receptor beta antibody [EPR2017] - BSA and Azide free

Key facts

Host species

Rabbit

Clonality

Monoclonal

Clone number

EPR2017

Isotype

IgG

Carrier free

No

Reacts with

Human

Applications

IHC-P, ICC/IF, WB

applications

Immunogen

The exact immunogen used to generate this antibody is proprietary information.

Reactivity data

{ "title": "Reactivity Data", "filters": { "stats": ["", "Species", "Dilution Info", "Notes"], "tabs": { "all-applications": {"fullname" : "All Applications", "shortname": "All Applications"}, "IHCP" : {"fullname" : "Immunohistochemistry (Formalin/PFA-fixed paraffin-embedded sections)", "shortname":"IHC-P"}, "ICCIF" : {"fullname" : "Immunocytochemistry/ Immunofluorescence", "shortname":"ICC/IF"}, "IP" : {"fullname" : "Immunoprecipitation", "shortname":"IP"}, "FlowCyt" : {"fullname" : "Flow Cytometry", "shortname":"Flow Cyt"}, "WB" : {"fullname" : "Western blot", "shortname":"WB"} }, "product-promise": { "all": "all", "testedAndGuaranteed": "tested", "guaranteed": "expected", "predicted": "predicted", "notRecommended": "not-recommended" } }, "values": { "Human": { "IHCP-species-checked": "testedAndGuaranteed", "IHCP-species-dilution-info": "1/100 - 1/250", "IHCP-species-notes": "<p></p> Perform heat-mediated antigen retrieval before commencing with IHC staining protocol.", "ICCIF-species-checked": "testedAndGuaranteed", "ICCIF-species-dilution-info": "1/100 - 1/250", "ICCIF-species-notes": "<p></p>", "IP-species-checked": "notRecommended", "IP-species-dilution-info": "", "IP-species-notes": "<p></p>", "FlowCyt-species-checked": "notRecommended", "FlowCyt-species-dilution-info": "", "FlowCyt-species-notes": "<p></p>", "WB-species-checked": "testedAndGuaranteed", "WB-species-dilution-info": "1/1000 - 1/10000", "WB-species-notes": "<p></p>" }, "Mouse": { "IHCP-species-checked": "notRecommended", "IHCP-species-dilution-info": "1/100 - 1/250", "IHCP-species-notes": "<p></p> Perform heat-mediated antigen retrieval before commencing with IHC staining protocol.", "ICCIF-species-checked": "notRecommended", "ICCIF-species-dilution-info": "1/100 - 1/250", "ICCIF-species-notes": "<p></p>", "IP-species-checked": "notRecommended", "IP-species-dilution-info": "", "IP-species-notes": "<p></p>", "FlowCyt-species-checked": "notRecommended", "FlowCyt-species-dilution-info": "", "FlowCyt-species-notes": "<p></p>", "WB-species-checked": "notRecommended", "WB-species-dilution-info": "1/1000 - 1/10000", "WB-species-notes": "<p></p>" }, "Rat": { "IHCP-species-checked": "notRecommended", "IHCP-species-dilution-info": "1/100 - 1/250", "IHCP-species-notes": "<p></p> Perform heat-mediated antigen retrieval before commencing with IHC staining protocol.", "ICCIF-species-checked": "notRecommended", "ICCIF-species-dilution-info": "1/100 - 1/250", "ICCIF-species-notes": "<p></p>", "IP-species-checked": "notRecommended", "IP-species-dilution-info": "", "IP-species-notes": "<p></p>", "FlowCyt-species-checked": "notRecommended", "FlowCyt-species-dilution-info": "", "FlowCyt-species-notes": "<p></p>", "WB-species-checked": "notRecommended", "WB-species-dilution-info": "1/1000 - 1/10000", "WB-species-notes": "<p></p>" } } }

Product details

Patented technology
Our RabMAb® technology is a patented hybridoma-based technology for making rabbit monoclonal antibodies. For details on our patents, please refer to RabMAb® patents.

What are the advantages of a recombinant monoclonal antibody?
This product is a recombinant monoclonal antibody, which offers several advantages including:

  • - High batch-to-batch consistency and reproducibility
  • - Improved sensitivity and specificity
  • - Long-term security of supply
  • - Animal-free batch production

For more information, read more on recombinant antibodies.

Properties and storage information

Form
Liquid
Purification technique
Affinity purification Protein A
Storage buffer
pH: 7.2 - 7.4 Preservative: 0.01% Sodium azide Constituents: 59% PBS, 40% Glycerol (glycerin, glycerine), 0.05% BSA
Shipped at conditions
Blue Ice
Appropriate short-term storage duration
1-2 weeks
Appropriate short-term storage conditions
+4°C
Appropriate long-term storage conditions
-20°C
Aliquoting information
Upon delivery aliquot
Storage information
Stable for 12 months at -20°C

Supplementary information

This supplementary information is collated from multiple sources and compiled automatically.

Retinoic Acid Receptor beta (RARβ) also known as NR1B2 is a nuclear receptor with a molecular mass of approximately 51 kDa. This receptor functions mechanically by binding retinoic acid which induces conformational changes that allow it to regulate gene transcription. RARβ is expressed in various tissues including the central nervous system lungs and kidneys. Its role as a transcription factor influences gene expression patterns by interacting with specific retinoic acid response elements (RARE) in the DNA.
Biological function summary

Retinoic Acid Receptor beta plays a significant role in cell differentiation and development. It often forms heterodimers with retinoid X receptors (RXRs) to execute its functions. This interaction enhances the receptor's ability to modulate gene expression. The complex orchestrates a broad range of developmental processes particularly in embryogenesis and organogenesis. RARβ influences several cellular activities including the regulation of apoptosis and the maintenance of cellular homeostasis.

Pathways

The activity of Retinoic Acid Receptor beta integrates predominantly into the retinoic acid signaling pathway and the Wnt signaling pathway. Through these pathways RARβ contributes to the regulation of cell fate and the inhibition of cell proliferation. It functions alongside proteins such as RXRs in the retinoic acid pathway and may interact with components of the Wnt pathway like β-catenin to control gene transcription and cellular responses. These interactions guide various developmental and physiological processes.

Retinoic Acid Receptor beta has connections to cancer and retinal diseases. Changes in RARβ expression and function associate with several types of cancer including lung and breast cancer often involving dysregulation of apoptosis and cell proliferation. In retinal diseases RARβ in conjunction with the protein CRABP (cellular retinoic acid-binding protein) affects the homeostasis and survival of retinal cells. Understanding RARβ's role in these diseases helps in developing targeted therapies aimed at modulating its activity.

Product protocols

For this product, it's our understanding that no specific protocols are required. You can visit:

Target data

Receptor for retinoic acid. Retinoic acid receptors bind as heterodimers to their target response elements in response to their ligands, all-trans or 9-cis retinoic acid, and regulate gene expression in various biological processes. The RXR/RAR heterodimers bind to the retinoic acid response elements (RARE) composed of tandem 5'-AGGTCA-3' sites known as DR1-DR5. In the absence or presence of hormone ligand, acts mainly as an activator of gene expression due to weak binding to corepressors (PubMed : 12554770). The RXRA/RARB heterodimer can act as a repressor on the DR1 element and as an activator on the DR5 element (PubMed : 29021580). In concert with RARG, required for skeletal growth, matrix homeostasis and growth plate function (By similarity).
See full target information RARB

Publications (7)

Recent publications for all applications. Explore the full list and refine your search

Advanced science (Weinheim, Baden-Wurttemberg, Germany) 9:e2203173 PubMed36031407

2022

Synthetic Retinoid Kills Drug-Resistant Cancer Stem Cells via Inducing RARγ-Translocation-Mediated Tension Reduction and Chromatin Decondensation.

Applications

Unspecified application

Species

Unspecified reactive species

Yao Zhang,Qi Dong,Quanlin An,Chumei Zhang,Erfan Mohagheghian,Bing Niu,Feng Qi,Fuxiang Wei,Sihan Chen,Xinman Chen,Anqi Wang,Xin Cao,Ning Wang,Junwei Chen

Cancers 13: PubMed34439217

2021

RARβ Expression in Keratinocytes from Potentially Malignant Oral Lesions: The Functional Consequences of Re-Expression by De-Methylating Agents.

Applications

Unspecified application

Species

Unspecified reactive species

Raghu Radhakrishnan,Hannah L Crane,Marc Daigneault,Kanaka Sai Ram Padam,Keith D Hunter

Frontiers in oncology 11:644592 PubMed34178631

2021

Normalization of Enzyme Expression and Activity Regulating Vitamin A Metabolism Increases RAR-Beta Expression and Reduces Cellular Migration and Proliferation in Diseases Caused by Tuberous Sclerosis Gene Mutations.

Applications

Unspecified application

Species

Unspecified reactive species

Elhusseiny Mohamed Mahmoud Abdelwahab,Judit Bovari-Biri,Gabor Smuk,Tunde Harko,Janos Fillinger,Judit Moldvay,Vera P Krymskaya,Judit E Pongracz

European journal of pharmacology 906:174199 PubMed34058203

2021

A novel all-trans retinoic acid derivative regulates cell cycle and differentiation of myelodysplastic syndrome cells by USO1.

Applications

Unspecified application

Species

Unspecified reactive species

Shufang Li,Ge Deng,Jingwen Su,Ke Wang,Cong Wang,Lanlan Li,Sujing Song,Xiaoqing Peng,Feihu Chen

The Journal of clinical investigation 129:5381-5399 PubMed31487270

2019

CCL28-induced RARβ expression inhibits oral squamous cell carcinoma bone invasion.

Applications

Unspecified application

Species

Unspecified reactive species

Junhee Park,Xianglan Zhang,Sun Kyoung Lee,Na-Young Song,Seung Hwa Son,Ki Rim Kim,Jae Hoon Shim,Kwang-Kyun Park,Won-Yoon Chung

Disease markers 2019:7138754 PubMed30944670

2019

High Expression of RAR Is a Favorable Factor in Colorectal Cancer.

Applications

Unspecified application

Species

Unspecified reactive species

Wei Wang,Shuang Liu,Chunyi Jiang,Yan Wang,Huijun Zhu,XuDong Wang

BMC genomics 14:224 PubMed23557329

2013

Identification of microRNA-mRNA functional interactions in UVB-induced senescence of human diploid fibroblasts.

Applications

WB

Species

Unspecified reactive species

Ruth Greussing,Matthias Hackl,Pornpimol Charoentong,Alexander Pauck,Rossella Monteforte,Maria Cavinato,Edith Hofer,Marcel Scheideler,Michael Neuhaus,Lucia Micutkova,Christoph Mueck,Zlatko Trajanoski,Johannes Grillari,Pidder Jansen-Dürr
View all publications

Product promise

We are committed to supporting your work with high-quality reagents, and we're here for you every step of the way. In the unlikely event that one of our products does not perform as expected, you're protected by our Product Promise.
For full details, please see our Terms & Conditions

Please note: All products are 'FOR RESEARCH USE ONLY. NOT FOR USE IN DIAGNOSTIC OR THERAPEUTIC PROCEDURES'.

For licensing inquiries, please contact partnerships@abcam.com