JavaScript is disabled in your browser. Please enable JavaScript to view this website.
AB277104

Anti-Retinoid X Receptor beta/RXRB antibody [PCRP-RXRB-2B6]

Be the first to review this product! Submit a review

|

(1 Publication)

Mouse Monoclonal Retinoid X Receptor beta/RXRB antibody. Suitable for ICC, Flow Cyt, Protein Array, IHC-P and reacts with Human, Recombinant full length protein - Human samples. Cited in 1 publication. Immunogen corresponding to Recombinant Full Length Protein corresponding to Human RXRB.

View Alternative Names

NR2B2, RXRB, Retinoic acid receptor RXR-beta, Nuclear receptor subfamily 2 group B member 2, Retinoid X receptor beta

6 Images
Flow Cytometry - Anti-Retinoid X Receptor beta/RXRB antibody [PCRP-RXRB-2B6] (AB277104)
  • Flow Cyt

Supplier Data

Flow Cytometry - Anti-Retinoid X Receptor beta/RXRB antibody [PCRP-RXRB-2B6] (AB277104)

Flow cytometry analysis of PFA-fixed U87 (human glioblastoma-astrocytoma epithelial cell line) cells labeling Retinoid X Receptor beta/RXRB using ab277104 at 2 μg / 106 cells followed by goat anti-mouse IgG-CF488 (blue); unstained cells (red).

Flow Cytometry - Anti-Retinoid X Receptor beta/RXRB antibody [PCRP-RXRB-2B6] (AB277104)
  • Flow Cyt

Supplier Data

Flow Cytometry - Anti-Retinoid X Receptor beta/RXRB antibody [PCRP-RXRB-2B6] (AB277104)

Flow cytometry analysis of PFA-fixed HeLa (human epithelial cell line from cervix adenocarcinoma) cells labeling Retinoid X Receptor beta/RXRB using ab277104 at 2 μg / 106 cells followed by goat anti-mouse IgG-CF488 (blue); unstained cells (red).

Immunocytochemistry - Anti-Retinoid X Receptor beta/RXRB antibody [PCRP-RXRB-2B6] (AB277104)
  • ICC

Supplier Data

Immunocytochemistry - Anti-Retinoid X Receptor beta/RXRB antibody [PCRP-RXRB-2B6] (AB277104)

Immunofluorescence analysis of PFA-fixed K562 (human chronic myelogenous leukemia cell line from bone marrow) cells labeling Retinoid X Receptor beta/RXRB with ab277104 at 2 μg/ml, followed by goat anti-mouse IgG-CF488 (green); phalloidin counterstain (red).

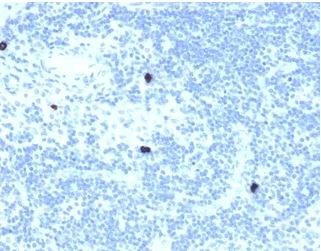
Immunohistochemistry (Formalin/PFA-fixed paraffin-embedded sections) - Anti-Retinoid X Receptor beta/RXRB antibody [PCRP-RXRB-2B6] (AB277104)
  • IHC-P

Supplier Data

Immunohistochemistry (Formalin/PFA-fixed paraffin-embedded sections) - Anti-Retinoid X Receptor beta/RXRB antibody [PCRP-RXRB-2B6] (AB277104)

Formalin-fixed, paraffin-embedded human lymph node tissue stained for Retinoid X Receptor beta/RXRB using ab277104 at 2 μg/ml in immunohistochemical analysis.

Immunocytochemistry - Anti-Retinoid X Receptor beta/RXRB antibody [PCRP-RXRB-2B6] (AB277104)
  • ICC

Supplier Data

Immunocytochemistry - Anti-Retinoid X Receptor beta/RXRB antibody [PCRP-RXRB-2B6] (AB277104)

Immunofluorescence analysis of PFA-fixed HeLa (human epithelial cell line from cervix adenocarcinoma) cells labeling Retinoid X Receptor beta/RXRB with ab277104 at 2 μg/ml, followed by goat anti-mouse IgG-CF488 (green); phalloidin counterstain (red).

Protein Array - Anti-Retinoid X Receptor beta/RXRB antibody [PCRP-RXRB-2B6] (AB277104)
  • Protein Array

Supplier Data

Protein Array - Anti-Retinoid X Receptor beta/RXRB antibody [PCRP-RXRB-2B6] (AB277104)

Analysis of Protein Array containing more than 19,000 full-length human proteins using ab277104.

Z- and S- Score : The Z-score represents the strength of a signal that a monoclonal antibody (MAb) (in combination with a fluorescently-tagged anti-IgG secondary antibody) produces when binding to a particular protein on the HuProtTM array. Z-scores are described in units of standard deviations (SD's) above the mean value of all signals generated on that array. If targets on HuProtTM are arranged in descending order of the Z-score, the S-score is the difference (also in units of SD's) between the Z-score. S-score therefore represents the relative target specificity of a MAb to its intended target. A MAb is considered to specific to its intended target, if the MAb has an S-score of at least 2.5. For example, if a MAb binds to protein X with a Z-score of 43 and to protein Y with a Z-score of 14, then the S-score for the binding of that MAb to protein X is equal to 29.

Key facts

Host species

Mouse

Clonality

Monoclonal

Clone number

PCRP-RXRB-2B6

Isotype

IgG2a

Carrier free

No

Reacts with

Human

Applications

Flow Cyt, Protein Array, ICC, IHC-P

applications

Immunogen

Recombinant Full Length Protein corresponding to Human RXRB.

P28702

Reactivity data

{ "title": "Reactivity Data", "filters": { "stats": ["", "Species", "Dilution Info", "Notes"], "tabs": { "all-applications": {"fullname" : "All Applications", "shortname": "All Applications"}, "ICC" : {"fullname" : "Immunocytochemistry", "shortname":"ICC"}, "FlowCyt" : {"fullname" : "Flow Cytometry", "shortname":"Flow Cyt"}, "ProteinArray" : {"fullname" : "Protein Array", "shortname":"Protein Array"}, "IHCP" : {"fullname" : "Immunohistochemistry (Formalin/PFA-fixed paraffin-embedded sections)", "shortname":"IHC-P"} }, "product-promise": { "all": "all", "testedAndGuaranteed": "tested", "guaranteed": "expected", "predicted": "predicted", "notRecommended": "not-recommended" } }, "values": { "Human": { "ICC-species-checked": "testedAndGuaranteed", "ICC-species-dilution-info": "1-2 µg/mL", "ICC-species-notes": "<p></p>", "FlowCyt-species-checked": "testedAndGuaranteed", "FlowCyt-species-dilution-info": "1-2 µg for 10^6 Cells", "FlowCyt-species-notes": "<p></p>", "ProteinArray-species-checked": "guaranteed", "ProteinArray-species-dilution-info": "", "ProteinArray-species-notes": "", "IHCP-species-checked": "testedAndGuaranteed", "IHCP-species-dilution-info": "1-2 µg/mL", "IHCP-species-notes": "<p></p>" }, "Recombinant full length protein - Human": { "ICC-species-checked": "notRecommended", "ICC-species-dilution-info": "", "ICC-species-notes": "", "FlowCyt-species-checked": "notRecommended", "FlowCyt-species-dilution-info": "", "FlowCyt-species-notes": "", "ProteinArray-species-checked": "testedAndGuaranteed", "ProteinArray-species-dilution-info": "", "ProteinArray-species-notes": "<p></p>", "IHCP-species-checked": "notRecommended", "IHCP-species-dilution-info": "", "IHCP-species-notes": "" } } }

Properties and storage information

Form
Liquid
Purification technique
Affinity purification Protein A/G
Purification notes
Purified from bioreactor concentrate
Storage buffer
Preservative: 0.05% Sodium azide Constituents: PBS, 0.05% BSA
Shipped at conditions
Blue Ice
Appropriate short-term storage duration
1-2 weeks
Appropriate short-term storage conditions
+4°C
Appropriate long-term storage conditions
-20°C
Aliquoting information
Upon delivery aliquot
Storage information
Avoid freeze / thaw cycle

Supplementary information

This supplementary information is collated from multiple sources and compiled automatically.

Retinoid X Receptor Beta (RXRB) also known as NR2B2 is a nuclear receptor with a molecular mass of approximately 54 kDa. This receptor is widely expressed in various tissues including liver kidney and muscle. RXRB functions as a ligand-activated transcription factor meaning it regulates gene expression in response to binding with specific ligands. It partners with other nuclear receptors to form heterodimers allowing it to bind with high affinity to response elements in DNA regulating a wide variety of genes important for metabolic processes.
Biological function summary

RXRB contributes significantly to the regulation of gene networks by forming heterodimers with other nuclear receptors like PPARs (Peroxisome Proliferator-Activated Receptors) and LXR (Liver X Receptor). These complexes enable RXRB to exert control over diverse biological functions such as lipid metabolism glucose homeostasis and detoxification processes. RXRB influences these processes by modulating the expression of genes involved in the synthesis transport and metabolism of lipids and glucose important for maintaining metabolic homeostasis.

Pathways

RXRB plays an integral role in the retinoic acid signaling pathway and the nuclear receptor signaling pathway. In the retinoic acid pathway RXRB partners with Retinoic Acid Receptors (RARs) to regulate transcription of target genes important for cell differentiation and proliferation. Within the nuclear receptor signaling pathway RXRB frequently interacts with proteins such as PPARs and LXRs impacting lipid metabolism by influencing adipogenesis and cholesterol transport. These interactions underline RXRB's central position in managing metabolic pathways.

RXRB is linked to metabolic disorders including type 2 diabetes and dyslipidemia. Dysregulation of RXRB can lead to impaired lipid metabolism and insulin resistance impacting blood sugar and lipid profiles. The receptor interacts with PPARs in these conditions as they share regulatory roles in lipid and glucose metabolism. Additionally alterations in RXRB activity are linked to certain cancers with the receptor being part of pathways that regulate cell growth and differentiation. RXRB's role in these processes highlights its potential as a therapeutic target for managing metabolic diseases and cancer.

Product protocols

For this product, it's our understanding that no specific protocols are required. You can visit:

Target data

Receptor for retinoic acid. Retinoic acid receptors bind as heterodimers to their target response elements in response to their ligands, all-trans or 9-cis retinoic acid, and regulate gene expression in various biological processes. The RAR/RXR heterodimers bind to the retinoic acid response elements (RARE).
See full target information RXRB

Publications (1)

Recent publications for all applications. Explore the full list and refine your search

Allergologia et immunopathologia 50:33-39 PubMed35257543

2022

TRIM27 suppresses inflammation injuries in pediatric pneumonia by targeting TLR4/NF-κB signaling pathway.

Applications

Unspecified application

Species

Unspecified reactive species

Shan Wang,Baoxia Lu,Jia Liu,Yanhong Gu
View all publications

Product promise

We are committed to supporting your work with high-quality reagents, and we're here for you every step of the way. In the unlikely event that one of our products does not perform as expected, you're protected by our Product Promise.
For full details, please see our Terms & Conditions

Please note: All products are 'FOR RESEARCH USE ONLY. NOT FOR USE IN DIAGNOSTIC OR THERAPEUTIC PROCEDURES'.

For licensing inquiries, please contact partnerships@abcam.com