JavaScript is disabled in your browser. Please enable JavaScript to view this website.
AB314225

Anti-RFP antibody [EPR28246-45]

  • BOND RX™ Validated
  • Recombinant
  • RabMAb
  • Lab Essentials
  • 20ul selling size
  • What is this?

1

(1 Review)

|

(0 Publication)

Rabbit Recombinant Monoclonal RFP antibody. Suitable for WB, IHC-P, ICC/IF, Flow Cyt (Intra), IP and reacts with Tag samples.

View Alternative Names

Red fluorescent protein drFP583, DsRed

9 Images
Flow Cytometry (Intracellular) - Anti-RFP antibody [EPR28246-45] (AB314225)
  • Flow Cyt (Intra)

Supplier Data

Flow Cytometry (Intracellular) - Anti-RFP antibody [EPR28246-45] (AB314225)

Flow cytometric analysis of 4% paraformaldehyde fixed 90% methanol permeabilized 293T cells transfected with a red fluorescent protein expression vector containing a His-tag (upper right) / 293T cells transfected with an empty vector containing a His tag (low right) cells labelling RFP with ab314225 at 1/500 dilution (0.1 ug)/Right compared with a Rabbit monoclonal IgG (ab172730) / Left isotype control and an unlabelled control (cells without incubation with primary antibody and secondary antibody). A Goat Anti-Rabbit IgG (Alexa Fluor® 488, ab150081) at 1/5000 dilution was used as the secondary antibody.

Immunocytochemistry/ Immunofluorescence - Anti-RFP antibody [EPR28246-45] (AB314225)
  • ICC/IF

Supplier Data

Immunocytochemistry/ Immunofluorescence - Anti-RFP antibody [EPR28246-45] (AB314225)

Immunofluorescent analysis of 4% Paraformaldehyde-fixed, 0.1% TritonX-100 permeabilized 293T (human embryonic kidney epithelial cell) cells labelling RFP with ab314225 at 1/2000 (0.252 ug/ml) dilution, followed by ab150079 Goat Anti-Rabbit IgG H&L (Alexa Fluor® 647) antibody at 1/500 (4 ug/ml) dilution (Green). Confocal image showing positive staining in 293T cells transfected with a RFP expression vector containing a Myc-tag. Image was taken with a confocal microscope(Leica-Microsystems, TCS SP8). Myc-Tag Mouse mAb (Alexa Fluor® 488) was used to counterstain at 1/100 (0.5 ug/ml) dilution (Red). The Nuclear counterstain was DAPI (Blue). Secondary antibody only control : Secondary antibody is ab150079 Goat Anti-Rabbit IgG H&L (Alexa Fluor® 647) at 1/500 (4 ug/ml) dilution.

Immunohistochemistry (Formalin/PFA-fixed paraffin-embedded sections) - Anti-RFP antibody [EPR28246-45] (AB314225)
  • IHC-P

Supplier Data

Immunohistochemistry (Formalin/PFA-fixed paraffin-embedded sections) - Anti-RFP antibody [EPR28246-45] (AB314225)

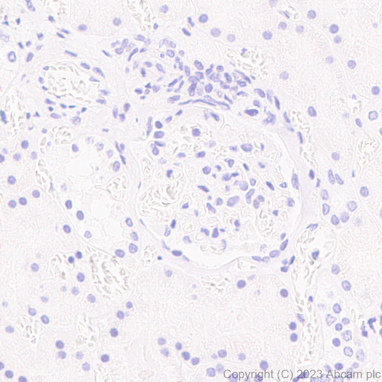
Immunohistochemical analysis of paraffin-embedded Human kidney tissue labeling RFP with ab314225 at 1/2000 (0.252 ug/ml) followed by a ready to use LeicaDS9800 (Bond™ Polymer Refine Detection). Negative control : No staining on human kidney. The section was incubated with ab314225 for 30 mins at room temperature. The immunostaining was performed on a Leica Biosystems BOND® RX instrument. Counterstained with Hematoxylin. Secondary antibody only control : Secondary antibody is a ready to use LeicaDS9800 (Bond™ Polymer Refine Detection). Heat mediated antigen retrieval was performed with Tris-EDTA buffer (pH 9.0, Epitope Retrieval Solution2) for 20 mins.

Immunohistochemistry (Formalin/PFA-fixed paraffin-embedded sections) - Anti-RFP antibody [EPR28246-45] (AB314225)
  • IHC-P

Supplier Data

Immunohistochemistry (Formalin/PFA-fixed paraffin-embedded sections) - Anti-RFP antibody [EPR28246-45] (AB314225)

Immunohistochemical analysis of paraffin-embedded Panel A HEK-293T cells transfected with a Red fluorescent protein expression vector containing a his tag. Panel B HEK-293T cells transfected with empty vector containing a his tag. Tissue labeling RFP with ab314225 at 1/2000 (0.252 ug/ml) followed by a ready to use LeicaDS9800 (Bond™ Polymer Refine Detection). Positive staining on (A) HEK-293T transfected with a red fluorescent protein expression vector and no staining on (B) HEK-293T transfected with empty vector. The section was incubated with ab314225 for 30 mins at room temperature. The immunostaining was performed on a Leica Biosystems BOND® RX instrument. Counterstained with Hematoxylin. Secondary antibody only control : Secondary antibody is a ready to use LeicaDS9800 (Bond™ Polymer Refine Detection). Heat mediated antigen retrieval was performed with Tris-EDTA buffer (pH 9.0, Epitope Retrieval Solution2) for 20 mins.

Immunohistochemistry (Formalin/PFA-fixed paraffin-embedded sections) - Anti-RFP antibody [EPR28246-45] (AB314225)
  • IHC-P

Supplier Data

Immunohistochemistry (Formalin/PFA-fixed paraffin-embedded sections) - Anti-RFP antibody [EPR28246-45] (AB314225)

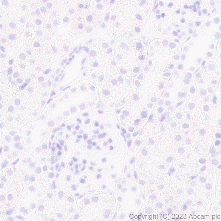
Immunohistochemical analysis of paraffin-embedded rat kidney tissue labeling RFP with ab314225 at 1/2000 (0.252 ug/ml) followed by a ready to use LeicaDS9800 (Bond™ Polymer Refine Detection). Negative control : No staining on rat kidney. The section was incubated with ab314225 for 30 mins at room temperature. The immunostaining was performed on a Leica Biosystems BOND® RX instrument. Counterstained with Hematoxylin. Secondary antibody only control : Secondary antibody is a ready to use LeicaDS9800 (Bond™ Polymer Refine Detection). Heat mediated antigen retrieval was performed with Tris-EDTA buffer (pH 9.0, Epitope Retrieval Solution2) for 20 mins.

Immunohistochemistry (Formalin/PFA-fixed paraffin-embedded sections) - Anti-RFP antibody [EPR28246-45] (AB314225)
  • IHC-P

Supplier Data

Immunohistochemistry (Formalin/PFA-fixed paraffin-embedded sections) - Anti-RFP antibody [EPR28246-45] (AB314225)

Immunohistochemical analysis of paraffin-embedded mouse kidney tissue labeling RFP with ab314225 at 1/2000 (0.252 ug/ml) followed by a ready to use LeicaDS9800 (Bond™ Polymer Refine Detection). Negative control : No staining on mouse kidney. The section was incubated with ab314225 for 30 mins at room temperature. The immunostaining was performed on a Leica Biosystems BOND® RX instrument. Counterstained with Hematoxylin. Secondary antibody only control : Secondary antibody is a ready to use LeicaDS9800 (Bond™ Polymer Refine Detection). Heat mediated antigen retrieval was performed with Tris-EDTA buffer (pH 9.0, Epitope Retrieval Solution2) for 20 mins.

Immunoprecipitation - Anti-RFP antibody [EPR28246-45] (AB314225)
  • IP

Supplier Data

Immunoprecipitation - Anti-RFP antibody [EPR28246-45] (AB314225)

RFP was immunoprecipitated from 0.35 mg 293T cells transfected with a red fluorescent protein expression vector containing a His-tag, whole cell lysate with ab314225 at 1/30 dilution (2ug in 0.35mg lysates). Western blot was performed on the immunoprecipitate using ab314225 at 1/1000 dilution. VeriBlot for IP secondary antibody(HRP)(ab131366) was used at 1/5000 dilution. Lane 1 : 293T cells transfected with a Red fluorescent protein expression vector containing a His-tag, whole cell lysate Lane 2 : ab314225 IP in 293T cells transfected with a Red fluorescent protein expression vector containing a His-tag, whole cell lysate Lane 3 : Rabbit monoclonal IgG (ab172730) instead of ab314225 in 293T cells transfected with a Red fluorescent protein expression vector containing a His-tag, whole cell lysate Blocking and dilution buffer and concentration : 5% NFDM/TBST.

All lanes:

Immunoprecipitation - Anti-RFP antibody [EPR28246-45] (ab314225) at 1/30 dilution

All lanes:

293T cells transfected with a Red fluorescent protein expression vector containing a His-tag, whole cell lysate

Secondary

All lanes:

Immunoprecipitation - VeriBlot for IP Detection Reagent (HRP) (<a href='/en-us/products/reagents/veriblot-for-ip-detection-reagent-hrp-ab131366'>ab131366</a>) at 1/5000 dilution

false

Western blot - Anti-RFP antibody [EPR28246-45] (AB314225)
  • WB

Supplier Data

Western blot - Anti-RFP antibody [EPR28246-45] (AB314225)

Blocking and diluting buffer and concentration : 5% NFDM/TBST In Western blot, Anti-GAPDH antibody [EPR16891] - Loading Control (ab181602) staining at 1/200000 dilution. In Western blot, Anti-6X His tag antibody [EPR20547]-CHIP Grade (ab213204) staining at 1/5000 dilution.

All lanes:

Western blot - Anti-RFP antibody [EPR28246-45] (ab314225) at 1/1000 dilution

Lane 1:

293T cells transfected with an empty vector containing a His tag, whole cell lysate at 20 µg

Lane 2:

293T cells transfected with a Red fluorescent protein expression vector containing a His-tag, whole cell lysate at 20 µg

Secondary

All lanes:

Western blot - Goat Anti-Rabbit IgG H&L (HRP) (<a href='/en-us/products/secondary-antibodies/goat-rabbit-igg-h-l-hrp-ab97051'>ab97051</a>) at 1/20000 dilution

Observed band size: 35 kDa

false

Exposure time: 15s

Western blot - Anti-RFP antibody [EPR28246-45] (AB314225)
  • WB

Supplier Data

Western blot - Anti-RFP antibody [EPR28246-45] (AB314225)

In Western blot, Goat Anti-Rabbit IgG, (H+L), Peroxidase conjugated (ab97051) at 1/20000 dilution.

Blocking and diluting buffer and concentration : 5% NFDM/TBST.

ab314225 and ab314226 do not recognize GFP.

All lanes:

Western blot - Anti-RFP antibody [EPR28246-45] (ab314225) at 1/1000 dilution

Lane 1:

293T (human embryonic kidney epithelial cell) whole cell lysate at 20 µg

Lane 2:

293T cells transfected with an empty vector whole cell lysate at 20 µg

Lane 3:

293T cells transfected with RFP protein whole cell lysate at 20 µg

Lane 4:

293T cells transfected with GFP tagged IFNA2 protein whole cell lysate at 20 µg

Observed band size: 50 kDa

false

Exposure time: 1s

  • Carrier free

    Anti-RFP antibody [EPR28246-45] - BSA and Azide free

  • 519 FITC

    FITC Anti-RFP antibody [EPR28246-45]

  • Biotin

    Biotin Anti-RFP antibody [EPR28246-45]

  • 665 Alexa Fluor® 647

    Alexa Fluor® 647 Anti-RFP antibody [EPR28246-45]

Key facts

Host species

Rabbit

Clonality

Monoclonal

Clone number

EPR28246-45

Isotype

IgG

Carrier free

No

Applications

WB, Flow Cyt (Intra), IHC-P, IP, ICC/IF

applications

Immunogen

The exact immunogen used to generate this antibody is proprietary information.

Specificity

This product has been found to cross‑react with RFP (drFP583 from Discosoma sp) and mCherry. It does not recognize GFP.

Reactivity data

{ "title": "Reactivity Data", "filters": { "stats": ["", "Species", "Dilution Info", "Notes"], "tabs": { "all-applications": {"fullname" : "All Applications", "shortname": "All Applications"}, "WB" : {"fullname" : "Western blot", "shortname":"WB"}, "IHCP" : {"fullname" : "Immunohistochemistry (Formalin/PFA-fixed paraffin-embedded sections)", "shortname":"IHC-P"}, "ICCIF" : {"fullname" : "Immunocytochemistry/ Immunofluorescence", "shortname":"ICC/IF"}, "FlowCytIntra" : {"fullname" : "Flow Cytometry (Intracellular)", "shortname":"Flow Cyt (Intra)"}, "IP" : {"fullname" : "Immunoprecipitation", "shortname":"IP"} }, "product-promise": { "all": "all", "testedAndGuaranteed": "tested", "guaranteed": "expected", "predicted": "predicted", "notRecommended": "not-recommended" } }, "values": { "Tag": { "WB-species-checked": "testedAndGuaranteed", "WB-species-dilution-info": "1/1000", "WB-species-notes": "<p></p>", "IHCP-species-checked": "testedAndGuaranteed", "IHCP-species-dilution-info": "1/2000", "IHCP-species-notes": "<p></p> Perform heat-mediated antigen retrieval with Tris/EDTA buffer pH 9.0 before commencing with IHC staining protocol.", "ICCIF-species-checked": "testedAndGuaranteed", "ICCIF-species-dilution-info": "1/2000", "ICCIF-species-notes": "<p></p>", "FlowCytIntra-species-checked": "testedAndGuaranteed", "FlowCytIntra-species-dilution-info": "1/500", "FlowCytIntra-species-notes": "<p></p>", "IP-species-checked": "testedAndGuaranteed", "IP-species-dilution-info": "1/30", "IP-species-notes": "<p></p>" } } }

Product details

Patented technology
Our RabMAb® technology is a patented hybridoma-based technology for making rabbit monoclonal antibodies. For details on our patents, please refer to RabMAb® patents.

What are the advantages of a recombinant monoclonal antibody?
This product is a recombinant monoclonal antibody, which offers several advantages including:

  • - High batch-to-batch consistency and reproducibility
  • - Improved sensitivity and specificity
  • - Long-term security of supply
  • - Animal-free batch production

For more information, read more on recombinant antibodies.

Properties and storage information

Form
Liquid
Purification technique
Affinity purification Protein A
Storage buffer
pH: 7.2 - 7.4 Preservative: 0.01% Sodium azide Constituents: PBS, 40% Glycerol (glycerin, glycerine), 0.05% BSA
Shipped at conditions
Blue Ice
Appropriate short-term storage duration
1-2 weeks
Appropriate short-term storage conditions
+4°C
Appropriate long-term storage conditions
-20°C
Aliquoting information
Upon delivery aliquot
Storage information
Avoid freeze / thaw cycle

Product protocols

For this product, it's our understanding that no specific protocols are required. You can visit:

Target data

Thought to play a role in photoprotection of the coral's resident symbiont microalgae's photosystems from photoinhibition caused by high light levels found near the surface of coral reefs. In deeper water, the fluorescence may be to convert blue light into longer wavelengths more suitable for use in photosynthesis by the microalgal symbionts.
See full target information Red fluorescent protein drFP583

Product promise

We are committed to supporting your work with high-quality reagents, and we're here for you every step of the way. In the unlikely event that one of our products does not perform as expected, you're protected by our Product Promise.
For full details, please see our Terms & Conditions

Please note: All products are 'FOR RESEARCH USE ONLY. NOT FOR USE IN DIAGNOSTIC OR THERAPEUTIC PROCEDURES'.

For licensing inquiries, please contact partnerships@abcam.com