JavaScript is disabled in your browser. Please enable JavaScript to view this website.
AB314742

Anti-Rfx Cas13d (N-term) antibody [EPR23965-31] - BSA and Azide free

Be the first to review this product! Submit a review

|

(0 Publication)

Rabbit Recombinant Monoclonal Rfx Cas13d antibody. Carrier free. Suitable for WB, IHC-P, ICC/IF, Flow Cyt (Intra), IP and reacts with Transfected cell lysate - Ruminococcus flavefaciens, Transfected cell line - Ruminococcus flavefaciens samples.
10 Images
Immunohistochemistry (Formalin/PFA-fixed paraffin-embedded sections) - Anti-Rfx Cas13d (N-term) antibody [EPR23965-31] - BSA and Azide free (AB314742)
  • IHC-P

Supplier Data

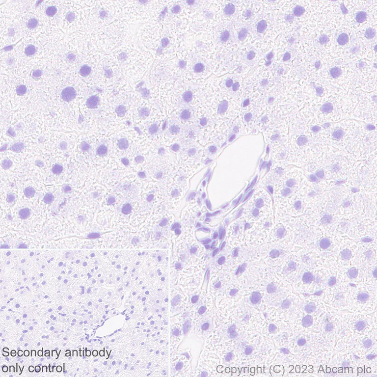
Immunohistochemistry (Formalin/PFA-fixed paraffin-embedded sections) - Anti-Rfx Cas13d (N-term) antibody [EPR23965-31] - BSA and Azide free (AB314742)

This data was developed using ab314741, the same antibody clone in a different buffer formulation.

Immunohistochemical analysis of paraffin-embedded Human liver tissue labeling Rfx Cas13d (N-term) with ab314741 at 1/100 (4.8 ug/ml) dilution, followed by a ready to use LeicaDS9800 (Bond™ Polymer Refine Detection).

Negative control : no staining on human liver. The section was incubated with ab314741 for 30 mins at room temperature.
The immunostaining was performed on a Leica Biosystems BOND® RX instrument.

Counterstained with Hematoxylin.

Secondary antibody only control : Secondary antibody is a ready to use LeicaDS9800 (Bond™ Polymer Refine Detection).

Heat mediated antigen retrieval was performed with Tris-EDTA buffer (pH 9.0, Epitope Retrieval Solution2) for 20 mins.

Immunohistochemistry (Formalin/PFA-fixed paraffin-embedded sections) - Anti-Rfx Cas13d (N-term) antibody [EPR23965-31] - BSA and Azide free (AB314742)
  • IHC-P

Supplier Data

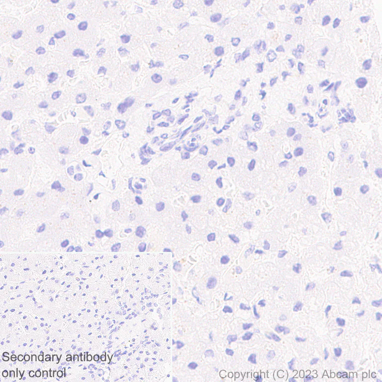
Immunohistochemistry (Formalin/PFA-fixed paraffin-embedded sections) - Anti-Rfx Cas13d (N-term) antibody [EPR23965-31] - BSA and Azide free (AB314742)

This data was developed using ab314741, the same antibody clone in a different buffer formulation.

Immunohistochemical analysis of paraffin-embedded Mouse liver tissue labeling Rfx Cas13d (N-term) with ab314741 at 1/100 (4.8 ug/ml) dilution, followed by a ready to use LeicaDS9800 (Bond™ Polymer Refine Detection).

Negative control : no staining on mouse liver. The section was incubated with ab314741 for 30 mins at room temperature.
The immunostaining was performed on a Leica Biosystems BOND® RX instrument.

Counterstained with Hematoxylin.

Secondary antibody only control : Secondary antibody is a ready to use LeicaDS9800 (Bond™ Polymer Refine Detection).

Heat mediated antigen retrieval was performed with Tris-EDTA buffer (pH 9.0, Epitope Retrieval Solution2) for 20 mins.

Immunohistochemistry (Formalin/PFA-fixed paraffin-embedded sections) - Anti-Rfx Cas13d (N-term) antibody [EPR23965-31] - BSA and Azide free (AB314742)
  • IHC-P

Supplier Data

Immunohistochemistry (Formalin/PFA-fixed paraffin-embedded sections) - Anti-Rfx Cas13d (N-term) antibody [EPR23965-31] - BSA and Azide free (AB314742)

This data was developed using ab314741, the same antibody clone in a different buffer formulation.

Immunohistochemical analysis of paraffin-embedded Rat liver tissue labeling Rfx Cas13d (N-term) with ab314741 at 1/100 (4.8 ug/ml) dilution, followed by a ready to use LeicaDS9800 (Bond™ Polymer Refine Detection).

Negative control : no staining on rat liver. The section was incubated with ab314741 for 30 mins at room temperature.
The immunostaining was performed on a Leica Biosystems BOND® RX instrument.

Counterstained with Hematoxylin.

Secondary antibody only control : Secondary antibody is a ready to use LeicaDS9800 (Bond™ Polymer Refine Detection).

Heat mediated antigen retrieval was performed with Tris-EDTA buffer (pH 9.0, Epitope Retrieval Solution2) for 20 mins.

Flow Cytometry (Intracellular) - Anti-Rfx Cas13d (N-term) antibody [EPR23965-31] - BSA and Azide free (AB314742)
  • Flow Cyt (Intra)

Supplier Data

Flow Cytometry (Intracellular) - Anti-Rfx Cas13d (N-term) antibody [EPR23965-31] - BSA and Azide free (AB314742)

This data was developed using ab314741, the same antibody clone in a different buffer formulation.

Flow cytometric analysis of 4% paraformaldehyde fixed 90% methanol permeabilized Isotype (Left) / 293T transfected with a Ruminococcus flavefaciens cas13d expression vector containing a HA-myc-tag (N-term) and a His-tag® (C-term) (Middle) / 293T cells transfected with empty expression vector containing a myc-His-tag® (Right) cells labelling Rfx Cas13d (N-term) with ab314741 at 1/500 dilution (0.1 ug)/Middle and Right compared with a Rabbit monoclonal IgG (ab172730) / Left isotype control and an unlabelled control (cells without incubation with primary antibody and secondary antibody) (Blue).

Goat Anti-Rabbit IgG (Alexa Fluor® 488, ab150081) at 1/5000 dilution was used as the secondary antibody.

Cells are co-stained with Myc conjugated to Alexa Fluor®647.

Flow Cytometry (Intracellular) - Anti-Rfx Cas13d (N-term) antibody [EPR23965-31] - BSA and Azide free (AB314742)
  • Flow Cyt (Intra)

Supplier Data

Flow Cytometry (Intracellular) - Anti-Rfx Cas13d (N-term) antibody [EPR23965-31] - BSA and Azide free (AB314742)

This data was developed using ab314741, the same antibody clone in a different buffer formulation.

Flow cytometric analysis of 4% paraformaldehyde fixed 90% methanol permeabilized Isotype (Left) / 293T transfected with a Ruminococcus flavefaciens cas13d expression vector containing a myc-His-tag® (C-term) (Middle) / 293T cells transfected with empty expression vector containing a myc-His-tag® (Right) cells labelling Rfx Cas13d (N-term) with ab314741 at 1/500 dilution (0.1 ug)/Middle and Right compared with a Rabbit monoclonal IgG (ab172730) / Left isotype control and an unlabelled control (cells without incubation with primary antibody and secondary antibody) (Blue).

Goat Anti-Rabbit IgG (Alexa Fluor® 488, ab150081) at 1/5000 dilution was used as the secondary antibody.

Cells are co-stained with Myc conjugated to Alexa Fluor®647.

Immunohistochemistry (Formalin/PFA-fixed paraffin-embedded sections) - Anti-Rfx Cas13d (N-term) antibody [EPR23965-31] - BSA and Azide free (AB314742)
  • IHC-P

Supplier Data

Immunohistochemistry (Formalin/PFA-fixed paraffin-embedded sections) - Anti-Rfx Cas13d (N-term) antibody [EPR23965-31] - BSA and Azide free (AB314742)

This data was developed using ab314741, the same antibody clone in a different buffer formulation.

Immunohistochemical analysis of paraffin-embedded (A) HEK-293T (human epithelial cell line from embryonic kidney) transfected with a Ruminococcus flavefaciens cas13d expression vector containing a His tag. (B) HEK-293T transfected with empty vector containing a His tag. tissue labeling Rfx Cas13d (N-term) with ab314741 at 1/2000 (0.24 ug/ml) dilution, followed by a ready to use LeicaDS9800 (Bond™ Polymer Refine Detection).

Positive staining on (A) HEK-293T (human epithelial cell line from embryonic kidney) transfected with a Ruminococcus flavefaciens cas13d expression vector containing a His tag, negative staining on (B) HEK-293T transfected with empty vector containing a His tag. The section was incubated with ab314741 for 30 mins at room temperature.
The immunostaining was performed on a Leica Biosystems BOND® RX instrument.

Counterstained with Hematoxylin.

Secondary antibody only control : Secondary antibody is a ready to use LeicaDS9800 (Bond™ Polymer Refine Detection).

Heat mediated antigen retrieval was performed with Tris-EDTA buffer (pH 9.0, Epitope Retrieval Solution2) for 20 mins.

Immunocytochemistry/ Immunofluorescence - Anti-Rfx Cas13d (N-term) antibody [EPR23965-31] - BSA and Azide free (AB314742)
  • ICC/IF

Supplier Data

Immunocytochemistry/ Immunofluorescence - Anti-Rfx Cas13d (N-term) antibody [EPR23965-31] - BSA and Azide free (AB314742)

This data was developed using ab314741, the same antibody clone in a different buffer formulation.

Immunofluorescent analysis of 4% Paraformaldehyde-fixed, 0.1% TritonX-100 permeabilized 293T (Human embryonic kidney epithelial cell) transfected with a Ruminococcus flavefaciens cas13d expression vector containing a HA-myc-tag(N-term) and a His-tag®(C-term) cells labelling Rfx Cas13d (N-term) with ab314741 at 1/500 (0.96 ug/ml) dilution, followed by ab150081 Goat Anti-Rabbit IgG H&L (Alexa Fluor® 488) preadsorbed antibody at 1/1000 (2 ug/ml) dilution (Green).

Confocal image showing positive staining in 293T transfected with a Ruminococcus flavefaciens cas13d expression vector containing a HA-myc-tag(N-term) and a His-tag®(C-term).
Image was taken with a confocal microscope (Leica-Microsystems, TCS SP8).

Myc-Tag Mouse mAb (Alexa Fluor® 647) was used to counterstain at 1/100 (0.38ug/ml) dilution (Magenta). The Nuclear counterstain was DAPI (Blue).

Secondary antibody only control : Secondary antibody is ab150081 Goat Anti-Rabbit IgG H&L (Alexa Fluor® 488) preadsorbed at 1/1000 (2 ug/ml) dilution.

Immunoprecipitation - Anti-Rfx Cas13d (N-term) antibody [EPR23965-31] - BSA and Azide free (AB314742)
  • IP

Supplier Data

Immunoprecipitation - Anti-Rfx Cas13d (N-term) antibody [EPR23965-31] - BSA and Azide free (AB314742)

This data was developed using ab314741, the same antibody clone in a different buffer formulation.

Rfx Cas13d (N-term) was immunoprecipitated from 0.35 mg 293T (human embryonic kidney epithelial cell) cells transfected with a Ruminococcus flavefaciens cas13d expression vector containing a myc-His-tag®, whole cell lysate with ab314741 at 1/30 dilution (2ug in 0.35mg lysates). Western blot was performed on the immunoprecipitate using ab314741 at 1/1000 dilution. VeriBlot for IP secondary antibody(HRP)(ab131366) was used at 1/5000 dilution.

Blocking and diluting buffer and concentration : 5% NFDM/TBST.

All lanes:

Immunoprecipitation - Anti-Rfx Cas13d (N-term) antibody [EPR23965-31] (<a href='/en-us/products/primary-antibodies/rfx-cas13d-n-term-antibody-epr23965-31-ab314741'>ab314741</a>) at 1/1000 dilution

Lane 1:

293T (human embryonic kidney epithelial cell) cells transfected with a Ruminococcus flavefaciens cas13d expression vector containing a myc-His-tag®, whole cell lysate

Lane 2:

<a href='/en-us/products/primary-antibodies/rfx-cas13d-n-term-antibody-epr23965-31-ab314741'>ab314741</a> at 1/30 IP in 293T (human embryonic kidney epithelial cell) cells transfected with a Ruminococcus flavefaciens cas13d expression vector containing a myc-His-tag®, whole cell lysate

Lane 3:

Rabbit monoclonal IgG (<a href='/en-us/products/primary-antibodies/rabbit-igg-monoclonal-epr25a-isotype-control-ab172730'>ab172730</a>) instead of <a href='/en-us/products/primary-antibodies/rfx-cas13d-n-term-antibody-epr23965-31-ab314741'>ab314741</a> in 293T cells transfected with a Ruminococcus flavefaciens cas13d expression vector containing a myc-His-tag®, whole cell lysate

Secondary

All lanes:

Immunoprecipitation - VeriBlot for IP Detection Reagent (HRP) (<a href='/en-us/products/reagents/veriblot-for-ip-detection-reagent-hrp-ab131366'>ab131366</a>) at 1/5000 dilution

false

Exposure time: 3s

Western blot - Anti-Rfx Cas13d (N-term) antibody [EPR23965-31] - BSA and Azide free (AB314742)
  • WB

Supplier Data

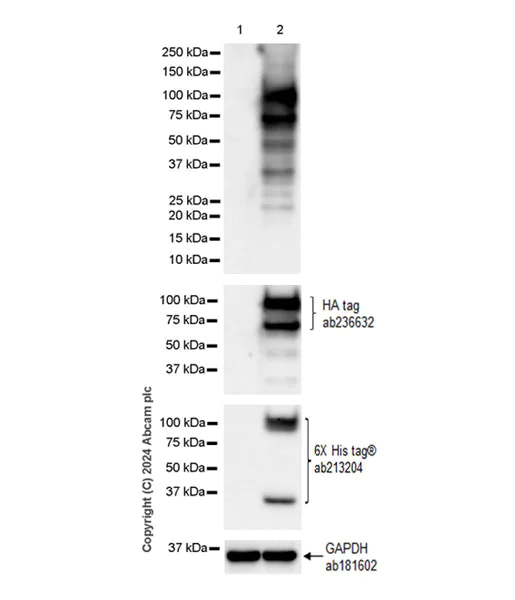
Western blot - Anti-Rfx Cas13d (N-term) antibody [EPR23965-31] - BSA and Azide free (AB314742)

This data was developed using ab314741, the same antibody clone in a different buffer formulation.

Rfx Cas13d may cleave to two fragments close to C-term, and this antibody can recognize the full length and N-terminal fragment. His-tag antibody can recognize full length and C-terminal fragment because the His-tag of this overexpression vector located on C-term.

In Western blot, Anti-Vinculin antibody [EPR8185] (ab129002) staining at 1/10000 dilution.

In Western blot, Anti-6X His tag® antibody [EPR20547] - ChIP Grade (ab213204) staining at 1/5000 dilution.

All lanes:

Western blot - Anti-Rfx Cas13d (N-term) antibody [EPR23965-31] (<a href='/en-us/products/primary-antibodies/rfx-cas13d-n-term-antibody-epr23965-31-ab314741'>ab314741</a>) at 1/1000 dilution

Lane 1:

293T (human embryonic kidney epithelial cell) cells transfected with an empty vector containing a myc-His-tag®, whole cell lysate at 10 µg

Lane 2:

293T cells transfected with a Ruminococcus flavefaciens cas13d expression vector containing a myc-His-tag® (C-term), whole cell lysate at 10 µg

Secondary

All lanes:

Western blot - Goat Anti-Rabbit IgG H&L (HRP) (<a href='/en-us/products/secondary-antibodies/goat-rabbit-igg-h-l-hrp-ab97051'>ab97051</a>) at 1/100000 dilution

Observed band size: 110 kDa,70 kDa,124 kDa,40 kDa

false

Exposure time: 6s

Western blot - Anti-Rfx Cas13d (N-term) antibody [EPR23965-31] - BSA and Azide free (AB314742)
  • WB

Supplier Data

Western blot - Anti-Rfx Cas13d (N-term) antibody [EPR23965-31] - BSA and Azide free (AB314742)

This data was developed using ab314741, the same antibody clone in a different buffer formulation.

Rfx Cas13d may cleave to two fragments close to C-term, and this antibody can recognize the full length and N-terminal fragment. HA tag antibody can recognize the full length and N-terminal fragment. His-tag antibody can recognize full length and C-terminal fragment because the His-tag of this overexpression vector located on C-term, HA-myc-tag of this overexpression vector located on N-term.

In Western blot, Anti-GAPDH antibody [EPR16891] - Loading Control (ab181602) staining at 1/200000 dilution.

In Western blot, Anti-HA tag antibody [EPR22819-101] - (ab236632) staining at 1/1000 dilution.

In Western blot, Anti-6XHis tag® antibody [EPR20547] - ChIP Grade (ab213204) staining at 1/5000 dilution.

All lanes:

Western blot - Anti-Rfx Cas13d (N-term) antibody [EPR23965-31] (<a href='/en-us/products/primary-antibodies/rfx-cas13d-n-term-antibody-epr23965-31-ab314741'>ab314741</a>) at 1/1000 dilution

Lane 1:

293T (human embryonic kidney epithelial cell) cells transfected with an empty vector containing a myc-His-tag®, whole cell lysate at 10 µg

Lane 2:

293T cells transfected with a Ruminococcus flavefaciens cas13d expression vector containing a HA-myc-tag (N-term) and a His-tag® (C-term), whole cell lysate at 10 µg

Secondary

All lanes:

Western blot - Goat Anti-Rabbit IgG H&L (HRP) (<a href='/en-us/products/secondary-antibodies/goat-rabbit-igg-h-l-hrp-ab97051'>ab97051</a>) at 1/100000 dilution

Observed band size: 110 kDa,70 kDa,36 kDa,40 kDa

false

Exposure time: 6s

  • Unconjugated

    Anti-Rfx Cas13d (N-term) antibody [EPR23965-31]

Key facts

Host species

Rabbit

Clonality

Monoclonal

Clone number

EPR23965-31

Isotype

IgG

Carrier free

Yes

Reacts with

Ruminococcus flavefaciens

Applications

IHC-P, Flow Cyt (Intra), ICC/IF, WB, IP

applications

Immunogen

The exact immunogen used to generate this antibody is proprietary information.

Reactivity data

{ "title": "Reactivity Data", "filters": { "stats": ["", "Species", "Dilution Info", "Notes"], "tabs": { "all-applications": {"fullname" : "All Applications", "shortname": "All Applications"}, "WB" : {"fullname" : "Western blot", "shortname":"WB"}, "IHCP" : {"fullname" : "Immunohistochemistry (Formalin/PFA-fixed paraffin-embedded sections)", "shortname":"IHC-P"}, "ICCIF" : {"fullname" : "Immunocytochemistry/ Immunofluorescence", "shortname":"ICC/IF"}, "FlowCytIntra" : {"fullname" : "Flow Cytometry (Intracellular)", "shortname":"Flow Cyt (Intra)"}, "IP" : {"fullname" : "Immunoprecipitation", "shortname":"IP"} }, "product-promise": { "all": "all", "testedAndGuaranteed": "tested", "guaranteed": "expected", "predicted": "predicted", "notRecommended": "not-recommended" } }, "values": { "Ruminococcus flavefaciens": { "WB-species-checked": "predicted", "WB-species-dilution-info": "", "WB-species-notes": "", "IHCP-species-checked": "predicted", "IHCP-species-dilution-info": "", "IHCP-species-notes": "", "ICCIF-species-checked": "predicted", "ICCIF-species-dilution-info": "", "ICCIF-species-notes": "", "FlowCytIntra-species-checked": "predicted", "FlowCytIntra-species-dilution-info": "", "FlowCytIntra-species-notes": "", "IP-species-checked": "predicted", "IP-species-dilution-info": "", "IP-species-notes": "" }, "Transfected cell line - Ruminococcus flavefaciens": { "WB-species-checked": "notRecommended", "WB-species-dilution-info": "", "WB-species-notes": "", "IHCP-species-checked": "testedAndGuaranteed", "IHCP-species-dilution-info": "", "IHCP-species-notes": "<p></p>", "ICCIF-species-checked": "testedAndGuaranteed", "ICCIF-species-dilution-info": "", "ICCIF-species-notes": "<p></p>", "FlowCytIntra-species-checked": "testedAndGuaranteed", "FlowCytIntra-species-dilution-info": "", "FlowCytIntra-species-notes": "<p></p>", "IP-species-checked": "notRecommended", "IP-species-dilution-info": "", "IP-species-notes": "" }, "Transfected cell lysate - Ruminococcus flavefaciens": { "WB-species-checked": "testedAndGuaranteed", "WB-species-dilution-info": "", "WB-species-notes": "<p></p>", "IHCP-species-checked": "notRecommended", "IHCP-species-dilution-info": "", "IHCP-species-notes": "", "ICCIF-species-checked": "notRecommended", "ICCIF-species-dilution-info": "", "ICCIF-species-notes": "", "FlowCytIntra-species-checked": "notRecommended", "FlowCytIntra-species-dilution-info": "", "FlowCytIntra-species-notes": "", "IP-species-checked": "testedAndGuaranteed", "IP-species-dilution-info": "", "IP-species-notes": "<p></p>" } } }

Product details

ab314742 is the carrier-free version of ab314741.

Patented technology
Our RabMAb® technology is a patented hybridoma-based technology for making rabbit monoclonal antibodies. For details on our patents, please refer to RabMAb® patents.

What are the advantages of a recombinant monoclonal antibody?
This product is a recombinant monoclonal antibody, which offers several advantages including:

  • - High batch-to-batch consistency and reproducibility
  • - Improved sensitivity and specificity
  • - Long-term security of supply
  • - Animal-free batch production

For more information, read more on recombinant antibodies.

Conjugation ready
Our carrier-free antibodies are typically supplied in a PBS-only formulation, purified and free of BSA, sodium azide and glycerol. This conjugation-ready format is designed for use with fluorochromes, metal isotopes, oligonucleotides, and enzymes, which makes them ideal for antibody labelling, functional and cell-based assays, flow-based assays (e.g. mass cytometry) and Multiplex Imaging applications.

Use our conjugation kits for antibody conjugates that are ready-to-use in as little as 20 minutes with 1 minute hands-on-time and 100% antibody recovery: available for fluorescent dyes, HRP, biotin and gold.

Compatibility
This product is compatible with the Maxpar® Antibody Labeling Kit from Fluidigm, without the need for antibody preparation. Maxpar® is a trademark of Fluidigm Canada Inc.

Properties and storage information

Form
Liquid
Purification technique
Affinity purification Protein A
Storage buffer
pH: 7.2 - 7.4 Constituents: PBS
Shipped at conditions
Blue Ice
Appropriate short-term storage conditions
+4°C
Appropriate long-term storage conditions
+4°C

Supplementary information

This supplementary information is collated from multiple sources and compiled automatically.

Rfx Cas13d also known as C2c10 functions as a versatile RNA-targeted CRISPR-associated protein. Its primary mechanical action involves RNA-guided RNase activity facilitated by a guide RNA that directs the cleavage of specific RNA targets. This protein weighs approximately 930 amino acids and is expressed in various prokaryotic organisms. Engineered versions of Cas13d like Rfx Cas13d have been adapted for use in eukaryotic cells enabling targeted gene silencing and manipulation of RNA transcripts.
Biological function summary

Rfx Cas13d contributes to RNA processing and regulation playing a role in RNA interference mechanisms. It associates with RNA molecules and degrades them therefore regulating gene expression post-transcriptionally. Rfx Cas13d does not act alone; it forms part of a complex with guide RNA that determines its specificity. Its ability to cleave RNA makes it valuable for studying RNA function and interactions within cells offering insights into RNA-based regulation processes.

Pathways

Rfx Cas13d influences specific RNA regulatory pathways that control gene silencing and expression. It participates in pathways associated with RNA interference and endogenous processes similar to microRNA (miRNA) pathways. In these pathways it relates to proteins like AGO (Argonaute) which also play roles in RNA-induced silencing complexes. Through its RNA cleavage activity it helps manage RNA populations within cells ensuring correct gene expression regulation.

Rfx Cas13d holds potential for therapeutic applications especially in targeting RNA viruses and genetic diseases caused by RNA dysregulation. For example its ability to degrade viral RNA makes it a prospective tool in combating viral infections such as influenza. Also it may relate to disorders involving misregulated RNA species which in some cases connect to malfunctioning proteins thereby providing potential intervention points. Cas13d's action could help counteract diseases by restoring normal RNA regulation when linked to defective proteins or pathways.

Product protocols

For this product, it's our understanding that no specific protocols are required. You can visit:

Product promise

We are committed to supporting your work with high-quality reagents, and we're here for you every step of the way. In the unlikely event that one of our products does not perform as expected, you're protected by our Product Promise.
For full details, please see our Terms & Conditions

Please note: All products are 'FOR RESEARCH USE ONLY. NOT FOR USE IN DIAGNOSTIC OR THERAPEUTIC PROCEDURES'.

For licensing inquiries, please contact partnerships@abcam.com