JavaScript is disabled in your browser. Please enable JavaScript to view this website.
AB313373

Anti-RG9MTD1 antibody [EPR27065-61] - BSA and Azide free

Be the first to review this product! Submit a review

|

(0 Publication)

Rabbit Recombinant Monoclonal TM10C antibody. Carrier free. Suitable for IHC-P, Flow Cyt (Intra), WB, ICC/IF, IP and reacts with Human, Mouse, Rat samples.

View Alternative Names

MRPP1, RG9MTD1, TRMT10C, tRNA methyltransferase 10 homolog C, HBV pre-S2 trans-regulated protein 2, Mitochondrial ribonuclease P protein 1, RNA (guanine-9-)-methyltransferase domain-containing protein 1, Renal carcinoma antigen NY-REN-49, mRNA methyladenosine-N(1)-methyltransferase, tRNA (adenine(9)-N(1))-methyltransferase, tRNA (guanine(9)-N(1))-methyltransferase, Mitochondrial RNase P protein 1

10 Images
Flow Cytometry (Intracellular) - Anti-RG9MTD1 antibody [EPR27065-61] - BSA and Azide free (AB313373)
  • Flow Cyt (Intra)

Supplier Data

Flow Cytometry (Intracellular) - Anti-RG9MTD1 antibody [EPR27065-61] - BSA and Azide free (AB313373)

This data was developed using ab313372, the same antibody clone in a different buffer formulation. Flow cytometric analysis of 4% paraformaldehyde fixed 90% methanol permeabilized A431 (human epidermoid carcinoma epithelial cell) cells labelling RG9MTD1 with ab313372 at 1/500 dilution (0.1 ug)/Red (Red) compared with a Rabbit monoclonal IgG (ab172730) (Black) isotype control and an unlabelled control (cells without incubation with primary antibody and secondary antibody) (Blue). A Goat Anti-Rabbit IgG (Alexa Fluor® 488, ab150081) at 1/5000 dilution was used as the secondary antibody.

Immunohistochemistry (Formalin/PFA-fixed paraffin-embedded sections) - Anti-RG9MTD1 antibody [EPR27065-61] - BSA and Azide free (AB313373)
  • IHC-P

Supplier Data

Immunohistochemistry (Formalin/PFA-fixed paraffin-embedded sections) - Anti-RG9MTD1 antibody [EPR27065-61] - BSA and Azide free (AB313373)

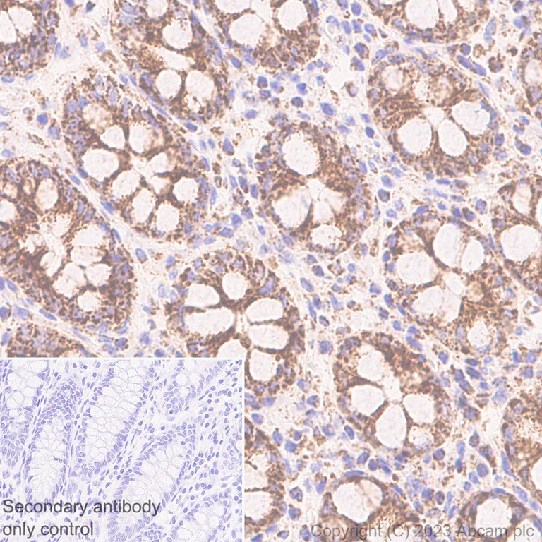
This data was developed using ab313372, the same antibody clone in a different buffer formulation. Immunohistochemical analysis of paraffin-embedded Human colon tissue labeling RG9MTD1 with ab313372 at 1/2000 (0.257 ug/ml) followed by a ready to use LeicaDS9800 (Bond™ Polymer Refine Detection). Punctate staining on human colon.The section was incubated with ab313372 for 30 mins at room temperature.The immunostaining was performed on a Leica Biosystems BOND® RX instrument Counterstained with Hematoxylin. Secondary antibody only control : Secondary antibody is a ready to use LeicaDS9800 (Bond™ Polymer Refine Detection). Heat mediated antigen retrieval was performed with Tris-EDTA buffer (pH 9.0, Epitope Retrieval Solution2) for 20 mins

Immunohistochemistry (Formalin/PFA-fixed paraffin-embedded sections) - Anti-RG9MTD1 antibody [EPR27065-61] - BSA and Azide free (AB313373)
  • IHC-P

Supplier Data

Immunohistochemistry (Formalin/PFA-fixed paraffin-embedded sections) - Anti-RG9MTD1 antibody [EPR27065-61] - BSA and Azide free (AB313373)

This data was developed using ab313372, the same antibody clone in a different buffer formulation. Immunohistochemical analysis of paraffin-embedded Human kidney tissue labeling RG9MTD1 with ab313372 at 1/2000 (0.257 ug/ml) followed by a ready to use LeicaDS9800 (Bond™ Polymer Refine Detection). Punctate staining on human kidney.The section was incubated with ab313372 for 30 mins at room temperature.The immunostaining was performed on a Leica Biosystems BOND® RX instrument Counterstained with Hematoxylin. Secondary antibody only control : Secondary antibody is a ready to use LeicaDS9800 (Bond™ Polymer Refine Detection). Heat mediated antigen retrieval was performed with Tris-EDTA buffer (pH 9.0, Epitope Retrieval Solution2) for 20 mins

Immunohistochemistry (Formalin/PFA-fixed paraffin-embedded sections) - Anti-RG9MTD1 antibody [EPR27065-61] - BSA and Azide free (AB313373)
  • IHC-P

Supplier Data

Immunohistochemistry (Formalin/PFA-fixed paraffin-embedded sections) - Anti-RG9MTD1 antibody [EPR27065-61] - BSA and Azide free (AB313373)

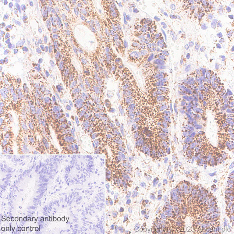
This data was developed using ab313372, the same antibody clone in a different buffer formulation. Immunohistochemical analysis of paraffin-embedded Human colon carcinom tissue labeling RG9MTD1 with ab313372 at 1/2000 (0.257 ug/ml) followed by a ready to use LeicaDS9800 (Bond™ Polymer Refine Detection). Punctate staining on human colon carcinoma.The section was incubated with ab313372 for 30 mins at room temperature.The immunostaining was performed on a Leica Biosystems BOND® RX instrument Counterstained with Hematoxylin. Secondary antibody only control : Secondary antibody is a ready to use LeicaDS9800 (Bond™ Polymer Refine Detection). Heat mediated antigen retrieval was performed with Tris-EDTA buffer (pH 9.0, Epitope Retrieval Solution2) for 20 mins

Immunocytochemistry/ Immunofluorescence - Anti-RG9MTD1 antibody [EPR27065-61] - BSA and Azide free (AB313373)
  • ICC/IF

Supplier Data

Immunocytochemistry/ Immunofluorescence - Anti-RG9MTD1 antibody [EPR27065-61] - BSA and Azide free (AB313373)

This data was developed using ab313372, the same antibody clone in a different buffer formulation. Immunofluorescent analysis of 4% Paraformaldehyde-fixed, 0.1% TritonX-100 permeabilized A431 (human epidermoid carcinoma epithelial cell) cells labelling RG9MTD1 with ab313372 at 1/50 (10.28 ug/ml) dilution, followed by ab150081 Goat Anti-Rabbit IgG H&L (Alexa Fluor® 488) preadsorbed antibody at 1/1000 2ug/ml dilution (Green). Confocal image showing mitochondrial staining in A431 cells.Image was taken with a confocal microscope (Leica-Microsystems, TCS SP8). ab33985 Anti-COX IV mouse monoclonal antibody - Mitochondrial Marker was used to counterstain tubulin at 1/1000 1ug/ml dilution (Red). The Nuclear counterstain was DAPI (Blue). Secondary antibody only control : Secondary antibody is ab150081 Goat Anti-Rabbit IgG H&L (Alexa Fluor® 488) preadsorbed at 1/1000 2ug/ml dilution.

Immunocytochemistry/ Immunofluorescence - Anti-RG9MTD1 antibody [EPR27065-61] - BSA and Azide free (AB313373)
  • ICC/IF

Supplier Data

Immunocytochemistry/ Immunofluorescence - Anti-RG9MTD1 antibody [EPR27065-61] - BSA and Azide free (AB313373)

This data was developed using ab313372, the same antibody clone in a different buffer formulation. Immunofluorescent analysis of 4% Paraformaldehyde-fixed, 0.1% TritonX-100 permeabilized HeLa (human cervical adenocarcinoma epithelial cell) cells labelling RG9MTD1 with ab313372 at 1/50 (10.28 ug/ml) dilution, followed by ab150081 Goat Anti-Rabbit IgG H&L (Alexa Fluor® 488) preadsorbed antibody at 1/1000 2ug/ml dilution (Green). Confocal image showing mitochondrial staining in HeLa cells.Image was taken with a confocal microscope (Leica-Microsystems, TCS SP8) . ab33985 Anti-COX IV mouse monoclonal antibody - Mitochondrial Marker was used to counterstain tubulin at 1/1000 1ug/ml dilution (Red). The Nuclear counterstain was DAPI (Blue). Secondary antibody only control : Secondary antibody is ab150081 Goat Anti-Rabbit IgG H&L (Alexa Fluor® 488) preadsorbed at 1/1000 2ug/ml dilution.

Flow Cytometry (Intracellular) - Anti-RG9MTD1 antibody [EPR27065-61] - BSA and Azide free (AB313373)
  • Flow Cyt (Intra)

Supplier Data

Flow Cytometry (Intracellular) - Anti-RG9MTD1 antibody [EPR27065-61] - BSA and Azide free (AB313373)

This data was developed using ab313372, the same antibody clone in a different buffer formulation. Flow cytometric analysis of 4% paraformaldehyde fixed 90% methanol permeabilized HeLa (human cervical adenocarcinoma epithelial cell) cells labelling RG9MTD1 with ab313372 at 1/500 dilution (0.1 ug)/Red (Red) compared with a Rabbit monoclonal IgG (ab172730) (Black) isotype control and an unlabelled control (cells without incubation with primary antibody and secondary antibody) (Blue). A Goat Anti-Rabbit IgG (Alexa Fluor® 488, ab150081) at 1/5000 dilution was used as the secondary antibody.

Immunoprecipitation - Anti-RG9MTD1 antibody [EPR27065-61] - BSA and Azide free (AB313373)
  • IP

Supplier Data

Immunoprecipitation - Anti-RG9MTD1 antibody [EPR27065-61] - BSA and Azide free (AB313373)

This data was developed using ab313372, the same antibody clone in a different buffer formulation. RG9MTD1 was immunoprecipitated from 0.35 mg A431 (human epidermoid carcinoma epithelial cell) whole cell lysate with ab313372 at 1/30 dilution (2ug in 0.35mg lysates). Western blot was performed on the immunoprecipitate using ab313372 at 1/1000 dilution. VeriBlot for IP secondary antibody(HRP)(ab131366) was used at 1/5000 dilution. Lane 1 : A431 (human epidermoid carcinoma epithelial cell) whole cell lysate Lane 2 : ab313372 IP in A431 (human epidermoid carcinoma epithelial cell) whole cell lysate Lane 3 : Rabbit monoclonal IgG (ab172730) instead of ab313372 in A431 whole cell lysate Blocking and dilution buffer and concentration : 5% NFDM/TBST. Exposure time : 3 seconds

All lanes:

Immunoprecipitation - Anti-RG9MTD1 antibody [EPR27065-61] (<a href='/en-us/products/primary-antibodies/rg9mtd1-antibody-epr27065-61-ab313372'>ab313372</a>) at 1/30 dilution

All lanes:

A431 (human epidermoid carcinoma epithelial cell) whole cell lysate

Secondary

All lanes:

Immunoprecipitation - VeriBlot for IP Detection Reagent (HRP) (<a href='/en-us/products/reagents/veriblot-for-ip-detection-reagent-hrp-ab131366'>ab131366</a>) at 1/5000 dilution

false

Exposure time: 3s

Western blot - Anti-RG9MTD1 antibody [EPR27065-61] - BSA and Azide free (AB313373)
  • WB

Supplier Data

Western blot - Anti-RG9MTD1 antibody [EPR27065-61] - BSA and Azide free (AB313373)

This data was developed using ab313372, the same antibody clone in a different buffer formulation. Blocking and diluting buffer and concentration : 5% NFDM/TBST In Western blot, anti-GAPDH antibody (ab181602) loading control staining at 1/200, 000 dilution. Exposure time : 3 seconds

All lanes:

Western blot - Anti-RG9MTD1 antibody [EPR27065-61] (<a href='/en-us/products/primary-antibodies/rg9mtd1-antibody-epr27065-61-ab313372'>ab313372</a>) at 1/1000 dilution

Lane 1:

HeLa (human cervical adenocarcinoma epithelial cell) transfected with scrambled siRNA control whole cell lysate at 20 µg

Lane 2:

HeLa transfected with siRNA specifically targeti RG9MTD1 whole cell lysate at 20 µg

Lane 3:

A431 (human epidermoid carcinoma epithelial cell) whole cell lysate at 20 µg

Lane 4:

NIH:OVCAR-3 (human ovary adenocarcinoma epithelial cell) whole cell lysate at 20 µg

Lane 5:

HepG2 (human hepatocellar carcinoma epithelial cell) whole cell lysate at 20 µg

Lane 6:

Huh7 (human hepatocellar carcinoma epithelial cell) whole cell lysate at 20 µg

Lane 7:

U-2 OS (human bone osteosarcoma epithelial cell) whole cell lysate at 20 µg

Lane 8:

PC-3 (human prostate adenocarcinoma epithelial cell) whole cell lysate at 20 µg

Secondary

All lanes:

Western blot - Goat Anti-Rabbit IgG H&L (HRP) (<a href='/en-us/products/secondary-antibodies/goat-rabbit-igg-h-l-hrp-ab97051'>ab97051</a>) at 1/20000 dilution

Observed band size: 44 kDa

false

Exposure time: 3s

Western blot - Anti-RG9MTD1 antibody [EPR27065-61] - BSA and Azide free (AB313373)
  • WB

Supplier Data

Western blot - Anti-RG9MTD1 antibody [EPR27065-61] - BSA and Azide free (AB313373)

This data was developed using ab313372, the same antibody clone in a different buffer formulation. Blocking and diluting buffer and concentration : 5% NFDM/TBST Exposure time : Lanes 1-2 : 15 seconds; Lanes 3-4 : 26 seconds.

All lanes:

Western blot - Anti-RG9MTD1 antibody [EPR27065-61] (<a href='/en-us/products/primary-antibodies/rg9mtd1-antibody-epr27065-61-ab313372'>ab313372</a>) at 1/1000 dilution

Lane 1:

C6 (rat glial tumor glial cell) whole cell lysate at 20 µg

Lane 2:

RAW 264.7 (mouse abelson murine leukemia virus-induced tumor macrophage) whole cell lysate at 20 µg

Lane 3:

PC-12 (rat adrenal gland pheochromocytoma cell) whole cell lysate at 20 µg

Lane 4:

NIH/3T3 (mouse embryonic fibroblast) whole cell lysate at 20 µg

Secondary

All lanes:

Western blot - Goat Anti-Rabbit IgG H&L (HRP) (<a href='/en-us/products/secondary-antibodies/goat-rabbit-igg-h-l-hrp-ab97051'>ab97051</a>) at 1/20000 dilution

Observed band size: 44 kDa

false

Key facts

Host species

Rabbit

Clonality

Monoclonal

Clone number

EPR27065-61

Isotype

IgG

Carrier free

Yes

Reacts with

Human, Mouse, Rat

Applications

Flow Cyt (Intra), ICC/IF, IP, IHC-P, WB

applications

Immunogen

The exact immunogen used to generate this antibody is proprietary information.

Specificity

Unsuitable for mouse and rat IHC-P.

Reactivity data

{ "title": "Reactivity Data", "filters": { "stats": ["", "Species", "Dilution Info", "Notes"], "tabs": { "all-applications": {"fullname" : "All Applications", "shortname": "All Applications"}, "IHCP" : {"fullname" : "Immunohistochemistry (Formalin/PFA-fixed paraffin-embedded sections)", "shortname":"IHC-P"}, "FlowCytIntra" : {"fullname" : "Flow Cytometry (Intracellular)", "shortname":"Flow Cyt (Intra)"}, "WB" : {"fullname" : "Western blot", "shortname":"WB"}, "ICCIF" : {"fullname" : "Immunocytochemistry/ Immunofluorescence", "shortname":"ICC/IF"}, "IP" : {"fullname" : "Immunoprecipitation", "shortname":"IP"} }, "product-promise": { "all": "all", "testedAndGuaranteed": "tested", "guaranteed": "expected", "predicted": "predicted", "notRecommended": "not-recommended" } }, "values": { "Human": { "IHCP-species-checked": "testedAndGuaranteed", "IHCP-species-dilution-info": "", "IHCP-species-notes": "<p></p>", "FlowCytIntra-species-checked": "testedAndGuaranteed", "FlowCytIntra-species-dilution-info": "", "FlowCytIntra-species-notes": "<p></p>", "WB-species-checked": "testedAndGuaranteed", "WB-species-dilution-info": "", "WB-species-notes": "<p></p>", "ICCIF-species-checked": "testedAndGuaranteed", "ICCIF-species-dilution-info": "", "ICCIF-species-notes": "<p></p>", "IP-species-checked": "testedAndGuaranteed", "IP-species-dilution-info": "", "IP-species-notes": "<p></p>" }, "Mouse": { "IHCP-species-checked": "notRecommended", "IHCP-species-dilution-info": "", "IHCP-species-notes": "<p></p>", "FlowCytIntra-species-checked": "guaranteed", "FlowCytIntra-species-dilution-info": "", "FlowCytIntra-species-notes": "", "WB-species-checked": "testedAndGuaranteed", "WB-species-dilution-info": "", "WB-species-notes": "<p></p>", "ICCIF-species-checked": "guaranteed", "ICCIF-species-dilution-info": "", "ICCIF-species-notes": "", "IP-species-checked": "guaranteed", "IP-species-dilution-info": "", "IP-species-notes": "" }, "Rat": { "IHCP-species-checked": "notRecommended", "IHCP-species-dilution-info": "", "IHCP-species-notes": "<p></p>", "FlowCytIntra-species-checked": "guaranteed", "FlowCytIntra-species-dilution-info": "", "FlowCytIntra-species-notes": "", "WB-species-checked": "testedAndGuaranteed", "WB-species-dilution-info": "", "WB-species-notes": "<p></p>", "ICCIF-species-checked": "guaranteed", "ICCIF-species-dilution-info": "", "ICCIF-species-notes": "", "IP-species-checked": "guaranteed", "IP-species-dilution-info": "", "IP-species-notes": "" } } }

Product details

Patented technology
Our RabMAb® technology is a patented hybridoma-based technology for making rabbit monoclonal antibodies. For details on our patents, please refer to RabMAb® patents.

What are the advantages of a recombinant monoclonal antibody?
This product is a recombinant monoclonal antibody, which offers several advantages including:

  • - High batch-to-batch consistency and reproducibility
  • - Improved sensitivity and specificity
  • - Long-term security of supply
  • - Animal-free batch production

For more information, read more on recombinant antibodies.

Conjugation ready
Our carrier-free antibodies are typically supplied in a PBS-only formulation, purified and free of BSA, sodium azide and glycerol. This conjugation-ready format is designed for use with fluorochromes, metal isotopes, oligonucleotides, and enzymes, which makes them ideal for antibody labelling, functional and cell-based assays, flow-based assays (e.g. mass cytometry) and Multiplex Imaging applications.

Use our conjugation kits for antibody conjugates that are ready-to-use in as little as 20 minutes with 1 minute hands-on-time and 100% antibody recovery: available for fluorescent dyes, HRP, biotin and gold.

Compatibility
This product is compatible with the Maxpar® Antibody Labeling Kit from Fluidigm, without the need for antibody preparation. Maxpar® is a trademark of Fluidigm Canada Inc.

Properties and storage information

Form
Liquid
Purification technique
Affinity purification Protein A
Storage buffer
pH: 7.2 - 7.4 Constituents: PBS
Shipped at conditions
Blue Ice
Appropriate short-term storage conditions
+4°C
Appropriate long-term storage conditions
+4°C

Supplementary information

This supplementary information is collated from multiple sources and compiled automatically.

RG9MTD1 also known as G9a or EHMT2 is an enzyme with a molecular mass of approximately 150 kDa. It is a histone methyltransferase that specifically targets lysine residues on histone H3. This methylation leads to chromatin modification and affects gene expression. RG9MTD1 is predominantly expressed in the nucleus of cells and is found in a variety of tissues across the body including the brain liver and kidney.
Biological function summary

The enzyme RG9MTD1 contributes to the regulation of transcription by modifying chromatin structure. It is a component of the larger transcriptional repressor complex that includes other proteins like GLP (G9a-like protein). This complex mediates the dimethylation of histone H3 lysine 9 (H3K9me2) which plays a role in gene silencing. The presence of RG9MTD1 in this complex indicates its importance in controlling various genetic programs within different cell types.

Pathways

The activity of RG9MTD1 is important in key signaling pathways including the transforming growth factor-beta (TGF-beta) pathway and Wnt signaling. In the TGF-beta pathway RG9MTD1 interacts with proteins such as Smad to influence transcriptional responses impacting cell growth and differentiation. Similarly in the Wnt signaling pathway RG9MTD1 affects the expression of target genes that are essential for cell proliferation and embryonic development.

The deregulation of RG9MTD1 is connected to various cancers such as lung and colorectal cancer. Abnormal methylation patterns influenced by RG9MTD1 activity can lead to the silencing of tumor suppressor genes. Additionally neurodevelopmental disorders including autism spectrum disorders show links with RG9MTD1 due to its role in brain development and gene regulation. The interaction between RG9MTD1 and other proteins like SUV39H1 is significant in understanding its impact on disease pathogenesis.

Product protocols

For this product, it's our understanding that no specific protocols are required. You can visit:

Target data

Mitochondrial tRNA N(1)-methyltransferase involved in mitochondrial tRNA maturation (PubMed : 18984158, PubMed : 21593607, PubMed : 23042678, PubMed : 27132592). Component of mitochondrial ribonuclease P, a complex composed of TRMT10C/MRPP1, HSD17B10/MRPP2 and PRORP/MRPP3, which cleaves tRNA molecules in their 5'-ends (PubMed : 18984158). Together with HSD17B10/MRPP2, forms a subcomplex of the mitochondrial ribonuclease P, named MRPP1-MRPP2 subcomplex, which displays functions that are independent of the ribonuclease P activity (PubMed : 23042678, PubMed : 29040705). The MRPP1-MRPP2 subcomplex catalyzes the formation of N(1)-methylguanine and N(1)-methyladenine at position 9 (m1G9 and m1A9, respectively) in tRNAs; TRMT10C/MRPP1 acting as the catalytic N(1)-methyltransferase subunit (PubMed : 23042678). The MRPP1-MRPP2 subcomplex also acts as a tRNA maturation platform : following 5'-end cleavage by the mitochondrial ribonuclease P complex, the MRPP1-MRPP2 subcomplex enhances the efficiency of 3'-processing catalyzed by ELAC2, retains the tRNA product after ELAC2 processing and presents the nascent tRNA to the mitochondrial CCA tRNA nucleotidyltransferase TRNT1 enzyme (PubMed : 29040705). In addition to tRNA N(1)-methyltransferase activity, TRMT10C/MRPP1 also acts as a mRNA N(1)-methyltransferase by mediating methylation of adenosine residues at the N(1) position of MT-ND5 mRNA (PubMed : 29072297). Associates with mitochondrial DNA complexes at the nucleoids to initiate RNA processing and ribosome assembly.
See full target information TRMT10C

Product promise

We are committed to supporting your work with high-quality reagents, and we're here for you every step of the way. In the unlikely event that one of our products does not perform as expected, you're protected by our Product Promise.
For full details, please see our Terms & Conditions

Please note: All products are 'FOR RESEARCH USE ONLY. NOT FOR USE IN DIAGNOSTIC OR THERAPEUTIC PROCEDURES'.

For licensing inquiries, please contact partnerships@abcam.com