JavaScript is disabled in your browser. Please enable JavaScript to view this website.
AB106360

Anti-RGPD5 antibody

Be the first to review this product! Submit a review

|

(0 Publication)

Rabbit Polyclonal RGPD5 antibody. Suitable for WB, IHC-P, ICC/IF and reacts with Human samples. Immunogen corresponding to Synthetic Peptide within Human RGPD5.

View Alternative Names

RANBP2L1, RGP5, RGP7, RGPD7, RGPD6, RANBP2L2, RGP6, RGPD5, RANBP2-like and GRIP domain-containing protein 5/6, Ran-binding protein 2-like 1/2, Sperm membrane protein BS-63, RanBP2-like 1/2, RanBP2L1, RanBP2L2

3 Images
Immunocytochemistry/ Immunofluorescence - Anti-RGPD5 antibody (AB106360)
  • ICC/IF

Unknown

Immunocytochemistry/ Immunofluorescence - Anti-RGPD5 antibody (AB106360)

Immunofluorescence of RGPD5 in Human testis tissue with ab106360 at 20 ug/mL.

Western blot - Anti-RGPD5 antibody (AB106360)
  • WB

Unknown

Western blot - Anti-RGPD5 antibody (AB106360)

All lanes:

Western blot - Anti-RGPD5 antibody (ab106360) at 1 µg/mL

All lanes:

Human thymus tissue lysate at 15 µg

Predicted band size: 199 kDa

false

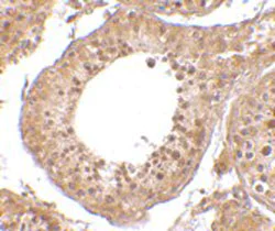
Immunohistochemistry (Formalin/PFA-fixed paraffin-embedded sections) - Anti-RGPD5 antibody (AB106360)
  • IHC-P

Unknown

Immunohistochemistry (Formalin/PFA-fixed paraffin-embedded sections) - Anti-RGPD5 antibody (AB106360)

ab106360 at 10 μg/ml staining RGPD5 in Human testis tissue by Immunohistochemistry Formalin-fixed, Paraffin-embedded tissue.

Key facts

Host species

Rabbit

Clonality

Polyclonal

Isotype

IgG

Carrier free

No

Reacts with

Human

Applications

IHC-P, ICC/IF, WB

applications

Immunogen

Synthetic Peptide within Human RGPD5. The exact immunogen used to generate this antibody is proprietary information.

Q99666

Reactivity data

{ "title": "Reactivity Data", "filters": { "stats": ["", "Species", "Dilution Info", "Notes"], "tabs": { "all-applications": {"fullname" : "All Applications", "shortname": "All Applications"}, "WB" : {"fullname" : "Western blot", "shortname":"WB"}, "IHCP" : {"fullname" : "Immunohistochemistry (Formalin/PFA-fixed paraffin-embedded sections)", "shortname":"IHC-P"}, "ICCIF" : {"fullname" : "Immunocytochemistry/ Immunofluorescence", "shortname":"ICC/IF"} }, "product-promise": { "all": "all", "testedAndGuaranteed": "tested", "guaranteed": "expected", "predicted": "predicted", "notRecommended": "not-recommended" } }, "values": { "Human": { "WB-species-checked": "testedAndGuaranteed", "WB-species-dilution-info": "1-2 µg/mL", "WB-species-notes": "<p></p>", "IHCP-species-checked": "testedAndGuaranteed", "IHCP-species-dilution-info": "10 µg/mL", "IHCP-species-notes": "<p></p>", "ICCIF-species-checked": "testedAndGuaranteed", "ICCIF-species-dilution-info": "20 µg/mL", "ICCIF-species-notes": "<p></p>" } } }

Properties and storage information

Form
Liquid
Purification technique
Affinity purification Immunogen
Purification notes
Affinity chromatography purified via peptide column
Storage buffer
pH: 7.2 Preservative: 0.02% Sodium azide Constituents: PBS
Shipped at conditions
Blue Ice
Appropriate short-term storage duration
Up to 12 months
Appropriate short-term storage conditions
+4°C
Appropriate long-term storage conditions
-20°C

Supplementary information

This supplementary information is collated from multiple sources and compiled automatically.

RGPD5 also known as RANBP2-like and GRIP domain-containing protein 5 plays a role in nucleocytoplasmic transport. The protein facilitates the movement of molecules between the nucleus and the cytoplasm which is important for many cellular processes. RGPD5 has a molecular mass of approximately 178 kDa. This protein is expressed in various tissues with significant expression noted in the testis brain and liver. Such expression patterns suggest its involvement in multiple biological functions within these tissues.
Biological function summary

RGPD5 contributes to cellular regulation and gene expression. The protein is part of the nuclear pore complex which is important for the transport of macromolecules across the nuclear envelope. This involvement indicates its key role in maintaining the communication between the nucleus and the cytoplasm. The role in the nuclear pore complex links RGPD5 to the cell cycle and RNA metabolism as these processes require controlled transport of specific factors across the nuclear envelope.

Pathways

RGPD5 integrates itself into pathways that govern cell cycle regulation and RNA processing. It associates with nuclear transport pathways that are essential for the proper localization of proteins and RNA which affects their function. RGPD5 connects with other nuclear transport proteins such as importins and exportins to support its role in nucleocytoplasmic exchange. The interplay with these proteins ensures correct cellular responses to environmental and developmental signals.

RGPD5 associates with conditions such as neurological disorders and infertility. Links to these diseases arise from its expression patterns and involvement in tissue-specific regulation. Alterations in RGPD5 function or expression may disrupt nuclear transport impacting neurons or reproductive cells severely. Connections with disorders involve proteins like RAN a transport GTPase which directly affects nuclear-cytoplasmic transport when RGPD5 activity is altered resulting in possible pathological states.

Product protocols

For this product, it's our understanding that no specific protocols are required. You can visit:

Product promise

We are committed to supporting your work with high-quality reagents, and we're here for you every step of the way. In the unlikely event that one of our products does not perform as expected, you're protected by our Product Promise.
For full details, please see our Terms & Conditions

Please note: All products are 'FOR RESEARCH USE ONLY. NOT FOR USE IN DIAGNOSTIC OR THERAPEUTIC PROCEDURES'.

For licensing inquiries, please contact partnerships@abcam.com