JavaScript is disabled in your browser. Please enable JavaScript to view this website.
AB188948

Anti-RGR antibody

Be the first to review this product! Submit a review

|

(1 Publication)

Rabbit Polyclonal RGR antibody. Suitable for IHC-P and reacts with Human samples. Cited in 1 publication. Immunogen corresponding to Synthetic Peptide within Human RGR.

View Alternative Names

RPE-retinal G protein-coupled receptor, RGR

1 Images
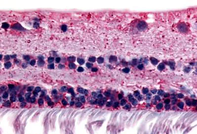
Immunohistochemistry (Formalin/PFA-fixed paraffin-embedded sections) - Anti-RGR antibody (AB188948)
  • IHC-P

Supplier Data

Immunohistochemistry (Formalin/PFA-fixed paraffin-embedded sections) - Anti-RGR antibody (AB188948)

Immunohistochemical analysis of formalin-fixed, paraffin-embedded Human retina tissue labeling RGR with ab188948 at 10 μg/ml.

Key facts

Host species

Rabbit

Clonality

Polyclonal

Isotype

IgG

Carrier free

No

Reacts with

Human

Applications

IHC-P

applications

Immunogen

Synthetic Peptide within Human RGR. The exact immunogen used to generate this antibody is proprietary information.

P47804

Specificity

BLAST analysis of the peptide immunogen showed no homology with other Human proteins, except SSTR1 (50%).

Reactivity data

{ "title": "Reactivity Data", "filters": { "stats": ["", "Species", "Dilution Info", "Notes"], "tabs": { "all-applications": {"fullname" : "All Applications", "shortname": "All Applications"}, "IHCP" : {"fullname" : "Immunohistochemistry (Formalin/PFA-fixed paraffin-embedded sections)", "shortname":"IHC-P"} }, "product-promise": { "all": "all", "testedAndGuaranteed": "tested", "guaranteed": "expected", "predicted": "predicted", "notRecommended": "not-recommended" } }, "values": { "Human": { "IHCP-species-checked": "testedAndGuaranteed", "IHCP-species-dilution-info": "10 µg/mL", "IHCP-species-notes": "<p></p> Perform heat-mediated antigen retrieval before commencing with IHC staining protocol." }, "Common marmoset": { "IHCP-species-checked": "predicted", "IHCP-species-dilution-info": "", "IHCP-species-notes": "" }, "Cow": { "IHCP-species-checked": "predicted", "IHCP-species-dilution-info": "", "IHCP-species-notes": "" }, "Horse": { "IHCP-species-checked": "predicted", "IHCP-species-dilution-info": "", "IHCP-species-notes": "" }, "Monkey": { "IHCP-species-checked": "predicted", "IHCP-species-dilution-info": "", "IHCP-species-notes": "" }, "Pig": { "IHCP-species-checked": "predicted", "IHCP-species-dilution-info": "", "IHCP-species-notes": "" } } }

Properties and storage information

Form
Liquid
Purification technique
Affinity purification Immunogen
Storage buffer
pH: 7.4 Preservative: 0.1% Sodium azide Constituents: PBS
Shipped at conditions
Blue Ice
Appropriate short-term storage duration
1-2 weeks
Appropriate short-term storage conditions
+4°C
Appropriate long-term storage conditions
-20°C
Aliquoting information
Upon delivery aliquot
Storage information
Avoid freeze / thaw cycle

Supplementary information

This supplementary information is collated from multiple sources and compiled automatically.

RGR also known as Retinal G protein-coupled receptor belongs to the family of opsins. It is a protein with a molecular mass of approximately 29 kDa. RGR localizes within the retina and is mainly expressed in the retinal pigment epithelium and Müller cells. Its primary mechanical role involves modulation of light-dependent processes in retinal cells where it functions as a photoisomerase that aids in the conversion of all-trans-retinal to 11-cis-retinal. This activity influences visual pigment regeneration.
Biological function summary

RGR participates in the regeneration of visual pigments within the visual cycle which is essential for maintaining vision particularly under low-light conditions. RGR associates with other proteins in the retinal pigment epithelium to facilitate efficient phototransduction. This involvement indicates its importance in the normal operation of the visual cycle and visual perception.

Pathways

RGR contributes significantly to the retinoid cycle a central component of visual phototransduction pathways. It aids in regenerating 11-cis-retinal an important chromophore for rhodopsin activation. This pathway involves interactions with enzymes like lecithin-retinol acyltransferase (LRAT) and assists in maintaining equilibrium between all-trans-retinal and 11-cis-retinal isomers. The mechanism optimizes visual pigment renewal and maintains healthy vision over time.

Dysregulation or mutations in RGR can cause retinal dystrophies such as retinitis pigmentosa and age-related macular degeneration. The gene has been linked to anomalies in the retinoid cycle which affect photoreceptor survival and function. Additionally RGR's association with proteins like peripherin-2 in these conditions suggests a complex network of interactions contributing to retinal health and disease.

Product protocols

For this product, it's our understanding that no specific protocols are required. You can visit:

Target data

Receptor for all-trans- and 11-cis-retinal. Binds preferentially to the former and may catalyze the isomerization of the chromophore by a retinochrome-like mechanism.
See full target information RGR

Publications (1)

Recent publications for all applications. Explore the full list and refine your search

Scientific reports 7:692 PubMed28386128

2017

G-protein coupled receptor 15 mediates angiogenesis and cytoprotective function of thrombomodulin.

Applications

Unspecified application

Species

Unspecified reactive species

Bin Pan,Xiangmin Wang,Chie Nishioka,Goichi Honda,Akihito Yokoyama,Lingyu Zeng,Kailin Xu,Takayuki Ikezoe
View all publications

Product promise

We are committed to supporting your work with high-quality reagents, and we're here for you every step of the way. In the unlikely event that one of our products does not perform as expected, you're protected by our Product Promise.
For full details, please see our Terms & Conditions

Please note: All products are 'FOR RESEARCH USE ONLY. NOT FOR USE IN DIAGNOSTIC OR THERAPEUTIC PROCEDURES'.

For licensing inquiries, please contact partnerships@abcam.com