JavaScript is disabled in your browser. Please enable JavaScript to view this website.
AB314671

Anti-RGS5 antibody [EPR28539-64] - BSA and Azide free

Be the first to review this product! Submit a review

|

(0 Publication)

Rabbit Recombinant Monoclonal RGS5 antibody. Carrier free. Suitable for IHC-P, WB, Dot and reacts with Human, Mouse, Rat, Recombinant full length protein - Human samples.

View Alternative Names

Regulator of G-protein signaling 5, RGS5

12 Images
Immunohistochemistry (Formalin/PFA-fixed paraffin-embedded sections) - Anti-RGS5 antibody [EPR28539-64] - BSA and Azide free (AB314671)
  • IHC-P

Supplier Data

Immunohistochemistry (Formalin/PFA-fixed paraffin-embedded sections) - Anti-RGS5 antibody [EPR28539-64] - BSA and Azide free (AB314671)

This data was developed using ab314670, the same antibody clone in a different buffer formulation. Immunohistochemical analysis of paraffin-embedded human spleen tissue labeling RGS5 with ab314670 at 1/500 (0.992 ug/ml) dilution, followed by a ready to use LeicaDS9800 (Bond™ Polymer Refine Detection). Positive staining on human spleen. The section was incubated with ab314670 for 30 mins at room temperature. The immunostaining was performed on a Leica Biosystems BOND® RX instrument. Counterstained with Hematoxylin. Secondary antibody only control : Secondary antibody is a ready to use LeicaDS9800 (Bond™ Polymer Refine Detection). Heat mediated antigen retrieval was performed with Tris-EDTA buffer (pH 9.0, Epitope Retrieval Solution2) for 20 mins.

Immunohistochemistry (Formalin/PFA-fixed paraffin-embedded sections) - Anti-RGS5 antibody [EPR28539-64] - BSA and Azide free (AB314671)
  • IHC-P

Supplier Data

Immunohistochemistry (Formalin/PFA-fixed paraffin-embedded sections) - Anti-RGS5 antibody [EPR28539-64] - BSA and Azide free (AB314671)

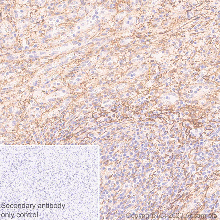
This data was developed using ab314670, the same antibody clone in a different buffer formulation. Immunohistochemical analysis of paraffin-embedded human breast cancer tissue labeling RGS5 with ab314670 at 1/500 (0.992 ug/ml) dilution, followed by a ready to use LeicaDS9800 (Bond™ Polymer Refine Detection). Positive staining on human breast cancer. The section was incubated with ab314670 for 30 mins at room temperature. The immunostaining was performed on a Leica Biosystems BOND® RX instrument. Counterstained with Hematoxylin. Secondary antibody only control : Secondary antibody is a ready to use LeicaDS9800 (Bond™ Polymer Refine Detection). Heat mediated antigen retrieval was performed with Tris-EDTA buffer (pH 9.0, Epitope Retrieval Solution2) for 20 mins.

Immunohistochemistry (Formalin/PFA-fixed paraffin-embedded sections) - Anti-RGS5 antibody [EPR28539-64] - BSA and Azide free (AB314671)
  • IHC-P

Supplier Data

Immunohistochemistry (Formalin/PFA-fixed paraffin-embedded sections) - Anti-RGS5 antibody [EPR28539-64] - BSA and Azide free (AB314671)

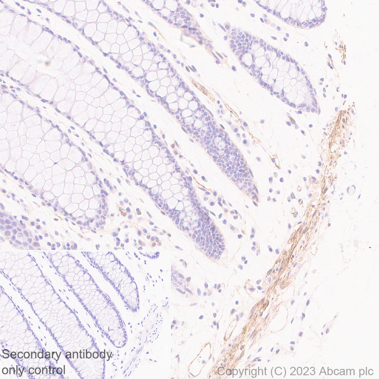
This data was developed using ab314670, the same antibody clone in a different buffer formulation. Immunohistochemical analysis of paraffin-embedded Human colon tissue labeling RGS5 with ab314670 at 1/500 (0.992 ug/ml) dilution, followed by a ready to use LeicaDS9800 (Bond™ Polymer Refine Detection). Positive stainig on endothelium and muscularis mucosa of human colon.The section was incubated with ab314670 for 30 mins at room temperature.The immunostaining was performed on a Leica Biosystems BOND® RX instrument Counterstained with Hematoxylin. Secondary antibody only control : Secondary antibody is a ready to use LeicaDS9800 (Bond™ Polymer Refine Detection). Heat mediated antigen retrieval was performed with Tris-EDTA buffer (pH 9.0, Epitope Retrieval Solution2) for 20 mins.

Immunohistochemistry (Formalin/PFA-fixed paraffin-embedded sections) - Anti-RGS5 antibody [EPR28539-64] - BSA and Azide free (AB314671)
  • IHC-P

Supplier Data

Immunohistochemistry (Formalin/PFA-fixed paraffin-embedded sections) - Anti-RGS5 antibody [EPR28539-64] - BSA and Azide free (AB314671)

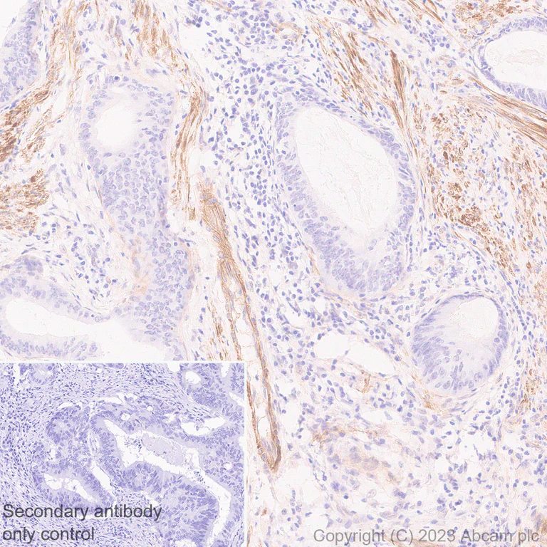
This data was developed using ab314670, the same antibody clone in a different buffer formulation. Immunohistochemical analysis of paraffin-embedded human endometrioid carcinoma tissue labeling RGS5 with ab314670 at 1/500 (0.992 ug/ml) dilution, followed by a ready to use LeicaDS9800 (Bond™ Polymer Refine Detection). Positive staining on human endometrioid carcinoma. The section was incubated with ab314670 for 30 mins at room temperature. The immunostaining was performed on a Leica Biosystems BOND® RX instrument. Counterstained with Hematoxylin. Secondary antibody only control : Secondary antibody is a ready to use LeicaDS9800 (Bond™ Polymer Refine Detection). Heat mediated antigen retrieval was performed with Tris-EDTA buffer (pH 9.0, Epitope Retrieval Solution2) for 20 mins.

Immunohistochemistry (Formalin/PFA-fixed paraffin-embedded sections) - Anti-RGS5 antibody [EPR28539-64] - BSA and Azide free (AB314671)
  • IHC-P

Supplier Data

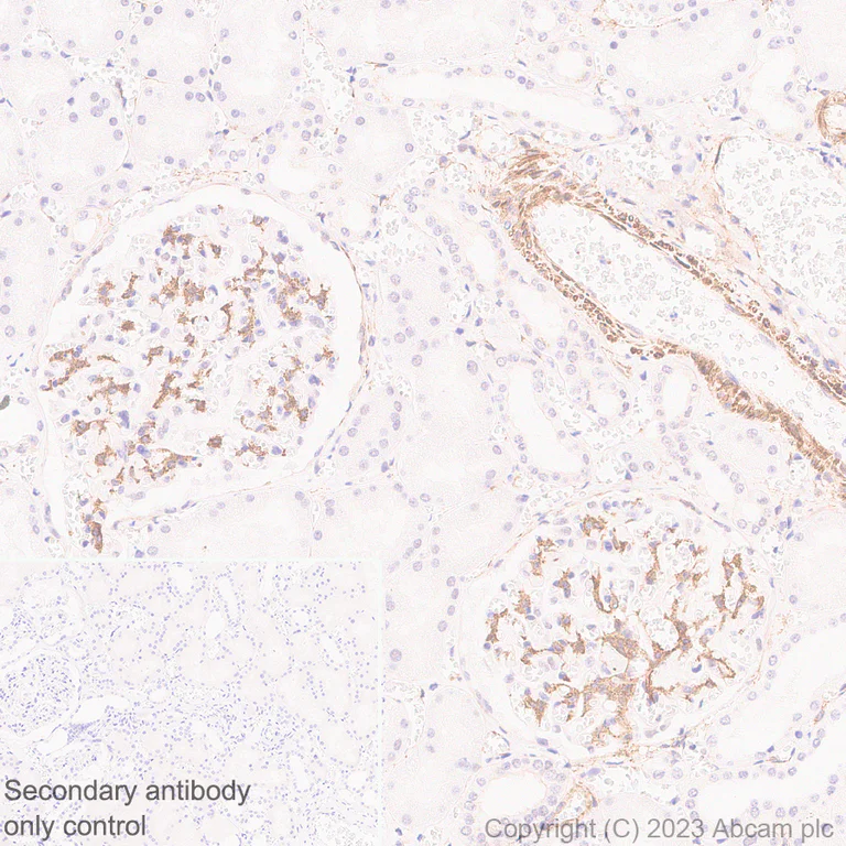
Immunohistochemistry (Formalin/PFA-fixed paraffin-embedded sections) - Anti-RGS5 antibody [EPR28539-64] - BSA and Azide free (AB314671)

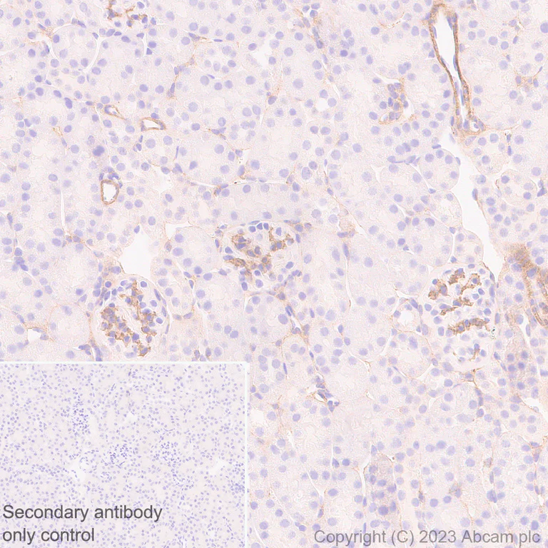
This data was developed using ab314670, the same antibody clone in a different buffer formulation. Immunohistochemical analysis of paraffin-embedded human kidney tissue labeling RGS5 with ab314670 at 1/500 (0.992 ug/ml) dilution, followed by a ready to use LeicaDS9800 (Bond™ Polymer Refine Detection). Positive staining on human kidney. The section was incubated with ab314670 for 30 mins at room temperature. The immunostaining was performed on a Leica Biosystems BOND® RX instrument. Counterstained with Hematoxylin. Secondary antibody only control : Secondary antibody is a ready to use LeicaDS9800 (Bond™ Polymer Refine Detection). Heat mediated antigen retrieval was performed with Tris-EDTA buffer (pH 9.0, Epitope Retrieval Solution2) for 20 mins.

Immunohistochemistry (Formalin/PFA-fixed paraffin-embedded sections) - Anti-RGS5 antibody [EPR28539-64] - BSA and Azide free (AB314671)
  • IHC-P

Supplier Data

Immunohistochemistry (Formalin/PFA-fixed paraffin-embedded sections) - Anti-RGS5 antibody [EPR28539-64] - BSA and Azide free (AB314671)

This data was developed using ab314670, the same antibody clone in a different buffer formulation. Immunohistochemical analysis of paraffin-embedded mouse kidney tissue labeling RGS5 with ab314670 at 1/2000 (0.248 ug/ml) dilution, followed by a ready to use LeicaDS9800 (Bond™ Polymer Refine Detection). Positive staining on mouse kidney. The section was incubated with ab314670 for 30 mins at room temperature. The immunostaining was performed on a Leica Biosystems BOND® RX instrument. Counterstained with Hematoxylin. Secondary antibody only control : Secondary antibody is a ready to use LeicaDS9800 (Bond™ Polymer Refine Detection). Heat mediated antigen retrieval was performed with Tris-EDTA buffer (pH 9.0, Epitope Retrieval Solution2) for 20 mins.

Immunohistochemistry (Formalin/PFA-fixed paraffin-embedded sections) - Anti-RGS5 antibody [EPR28539-64] - BSA and Azide free (AB314671)
  • IHC-P

Supplier Data

Immunohistochemistry (Formalin/PFA-fixed paraffin-embedded sections) - Anti-RGS5 antibody [EPR28539-64] - BSA and Azide free (AB314671)

This data was developed using ab314670, the same antibody clone in a different buffer formulation. Immunohistochemical analysis of paraffin-embedded mouse colon tissue labeling RGS5 with ab314670 at 1/2000 (0.248 ug/ml) dilution, followed by a ready to use LeicaDS9800 (Bond™ Polymer Refine Detection). Positive stainig on endothelium and muscularia mucosa of mouse colon. The section was incubated with ab314670 for 30 mins at room temperature. The immunostaining was performed on a Leica Biosystems BOND® RX instrument. Counterstained with Hematoxylin. Secondary antibody only control : Secondary antibody is a ready to use LeicaDS9800 (Bond™ Polymer Refine Detection). Heat mediated antigen retrieval was performed with Tris-EDTA buffer (pH 9.0, Epitope Retrieval Solution2) for 20 mins.

Immunohistochemistry (Formalin/PFA-fixed paraffin-embedded sections) - Anti-RGS5 antibody [EPR28539-64] - BSA and Azide free (AB314671)
  • IHC-P

Supplier Data

Immunohistochemistry (Formalin/PFA-fixed paraffin-embedded sections) - Anti-RGS5 antibody [EPR28539-64] - BSA and Azide free (AB314671)

This data was developed using ab314670, the same antibody clone in a different buffer formulation. Immunohistochemical analysis of paraffin-embedded rat colon tissue labeling RGS5 with ab314670 at 1/2000 (0.248 ug/ml) dilution, followed by a ready to use LeicaDS9800 (Bond™ Polymer Refine Detection). Positive stainig on endothelium and muscularia mucosa of rat colon. The section was incubated with ab314670 for 30 mins at room temperature. The immunostaining was performed on a Leica Biosystems BOND® RX instrument. Counterstained with Hematoxylin. Secondary antibody only control : Secondary antibody is a ready to use LeicaDS9800 (Bond™ Polymer Refine Detection). Heat mediated antigen retrieval was performed with Tris-EDTA buffer (pH 9.0, Epitope Retrieval Solution2) for 20 mins.

Western blot - Anti-RGS5 antibody [EPR28539-64] - BSA and Azide free (AB314671)
  • WB

Supplier Data

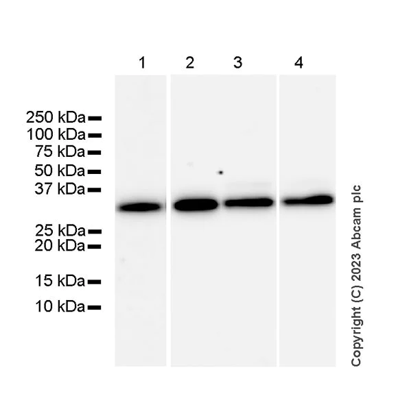
Western blot - Anti-RGS5 antibody [EPR28539-64] - BSA and Azide free (AB314671)

This data was developed using ab314670, the same antibody clone in a different buffer formulation. Blocking and diluting buffer and concentration : 5% NFDM/TBST. Negative control : Calu-3(PMID : 25891540). In western blot, anti-Vinculin antibody [EPR8185] (ab129002) staining at 1/10000 dilution.

All lanes:

Western blot - Anti-RGS5 antibody [EPR28539-64] (<a href='/en-us/products/primary-antibodies/rgs5-antibody-epr28539-64-ab314670'>ab314670</a>) at 1/1000 dilution

Lane 1:

HUVEC (human umbilical vein endothelial cell) whole cell lysate at 20 µg

Lane 2:

Calu-3 (human lung adenocarcinoma epithelial cell) whole cell lysate at 20 µg

Secondary

All lanes:

Western blot - Goat Anti-Rabbit IgG H&L (HRP) (<a href='/en-us/products/secondary-antibodies/goat-rabbit-igg-h-l-hrp-ab97051'>ab97051</a>) at 1/100000 dilution

Observed band size: 28 kDa

false

Exposure time: 81s

Western blot - Anti-RGS5 antibody [EPR28539-64] - BSA and Azide free (AB314671)
  • WB

Supplier Data

Western blot - Anti-RGS5 antibody [EPR28539-64] - BSA and Azide free (AB314671)

This data was developed using ab314670, the same antibody clone in a different buffer formulation. Blocking and diluting buffer and concentration : 5% NFDM/TBST. Exposure time : Lane 1 : 81 seconds; Lane 2-4 : 59 seconds

All lanes:

Western blot - Anti-RGS5 antibody [EPR28539-64] (<a href='/en-us/products/primary-antibodies/rgs5-antibody-epr28539-64-ab314670'>ab314670</a>) at 1/1000 dilution

Lane 1:

Human liver cancer tissue lysate at 20 µg

Lane 2:

Human kidney tissue lysate at 20 µg

Lane 3:

Human spleen tissue lysate at 20 µg

Lane 4:

A-498 (human kidney epithelial cell) whole cell lysate at 20 µg

Secondary

All lanes:

Western blot - Goat Anti-Rabbit IgG H&L (HRP) (<a href='/en-us/products/secondary-antibodies/goat-rabbit-igg-h-l-hrp-ab97051'>ab97051</a>) at 1/100000 dilution

Observed band size: 28 kDa,42 kDa

false

Dot Blot - Anti-RGS5 antibody [EPR28539-64] - BSA and Azide free (AB314671)
  • Dot

Supplier Data

Dot Blot - Anti-RGS5 antibody [EPR28539-64] - BSA and Azide free (AB314671)

This data was developed using ab314670, the same antibody clone in a different buffer formulation.

Dot blot analysis of human RGS full length recombinant proteins (lane 1 : RGS5, lane 2 : RGS4, lane 3 : RGS16) using ab314670 at 1 : 1000 (0.496 ug/ml) followed by a Goat Anti-Rabbit IgG, (H+L), Peroxidase conjugated (ab97051) at 1 : 100,000 dilution.

Exposure time : 180 seconds

Blocking and diluting buffer and concentration : 5% NFDM/TBST

This antibody does not cross-react with human RGS4 and RGS16.

Western blot - Anti-RGS5 antibody [EPR28539-64] - BSA and Azide free (AB314671)
  • WB

Supplier Data

Western blot - Anti-RGS5 antibody [EPR28539-64] - BSA and Azide free (AB314671)

This data was developed using ab314670, the same antibody clone in a different buffer formulation. Blocking and diluting buffer and concentration : 5% NFDM/TBST. The band at approximately 42 kDa may represent a dimer (PMID : 17762159). This has not been confirmed with additional tests. Exposure time : Lane 1, 2 : 125 seconds; Lane 3, 4 : 81 seconds

All lanes:

Western blot - Anti-RGS5 antibody [EPR28539-64] (<a href='/en-us/products/primary-antibodies/rgs5-antibody-epr28539-64-ab314670'>ab314670</a>) at 1/1000 dilution

Lane 1:

Mouse skeletal muscle tissue lysate at 20 µg

Lane 2:

Mouse heart tissue lysate at 20 µg

Lane 3:

C2C12 (mouse myoblast) whole cell lysate at 20 µg

Lane 4:

HL-1 (mouse atrial muscle cell) whole cell lysate at 20 µg

Secondary

All lanes:

Western blot - Goat Anti-Rabbit IgG H&L (HRP) (<a href='/en-us/products/secondary-antibodies/goat-rabbit-igg-h-l-hrp-ab97051'>ab97051</a>) at 1/100000 dilution

Observed band size: 28 kDa,42 kDa

false

Key facts

Host species

Rabbit

Clonality

Monoclonal

Clone number

EPR28539-64

Isotype

IgG

Carrier free

Yes

Reacts with

Human, Mouse, Rat

Applications

IHC-P, WB, Dot

applications

Immunogen

The exact immunogen used to generate this antibody is proprietary information.

Specificity

Unsuitable for rat WB.

Reactivity data

{ "title": "Reactivity Data", "filters": { "stats": ["", "Species", "Dilution Info", "Notes"], "tabs": { "all-applications": {"fullname" : "All Applications", "shortname": "All Applications"}, "IHCP" : {"fullname" : "Immunohistochemistry (Formalin/PFA-fixed paraffin-embedded sections)", "shortname":"IHC-P"}, "WB" : {"fullname" : "Western blot", "shortname":"WB"}, "Dot" : {"fullname" : "Dot Blot", "shortname":"Dot"}, "FlowCytIntra" : {"fullname" : "Flow Cytometry (Intracellular)", "shortname":"Flow Cyt (Intra)"}, "ICCIF" : {"fullname" : "Immunocytochemistry/ Immunofluorescence", "shortname":"ICC/IF"}, "IP" : {"fullname" : "Immunoprecipitation", "shortname":"IP"} }, "product-promise": { "all": "all", "testedAndGuaranteed": "tested", "guaranteed": "expected", "predicted": "predicted", "notRecommended": "not-recommended" } }, "values": { "Human": { "IHCP-species-checked": "testedAndGuaranteed", "IHCP-species-dilution-info": "", "IHCP-species-notes": "<p></p>", "WB-species-checked": "testedAndGuaranteed", "WB-species-dilution-info": "", "WB-species-notes": "<p></p>", "Dot-species-checked": "guaranteed", "Dot-species-dilution-info": "", "Dot-species-notes": "", "FlowCytIntra-species-checked": "notRecommended", "FlowCytIntra-species-dilution-info": "", "FlowCytIntra-species-notes": "<p></p>", "ICCIF-species-checked": "notRecommended", "ICCIF-species-dilution-info": "", "ICCIF-species-notes": "<p></p>", "IP-species-checked": "notRecommended", "IP-species-dilution-info": "", "IP-species-notes": "<p></p>" }, "Mouse": { "IHCP-species-checked": "testedAndGuaranteed", "IHCP-species-dilution-info": "", "IHCP-species-notes": "<p></p>", "WB-species-checked": "testedAndGuaranteed", "WB-species-dilution-info": "", "WB-species-notes": "<p></p>", "Dot-species-checked": "guaranteed", "Dot-species-dilution-info": "", "Dot-species-notes": "", "FlowCytIntra-species-checked": "notRecommended", "FlowCytIntra-species-dilution-info": "", "FlowCytIntra-species-notes": "<p></p>", "ICCIF-species-checked": "notRecommended", "ICCIF-species-dilution-info": "", "ICCIF-species-notes": "<p></p>", "IP-species-checked": "notRecommended", "IP-species-dilution-info": "", "IP-species-notes": "" }, "Rat": { "IHCP-species-checked": "testedAndGuaranteed", "IHCP-species-dilution-info": "", "IHCP-species-notes": "<p></p>", "WB-species-checked": "notRecommended", "WB-species-dilution-info": "", "WB-species-notes": "<p></p>", "Dot-species-checked": "guaranteed", "Dot-species-dilution-info": "", "Dot-species-notes": "", "FlowCytIntra-species-checked": "notRecommended", "FlowCytIntra-species-dilution-info": "", "FlowCytIntra-species-notes": "", "ICCIF-species-checked": "notRecommended", "ICCIF-species-dilution-info": "", "ICCIF-species-notes": "", "IP-species-checked": "notRecommended", "IP-species-dilution-info": "", "IP-species-notes": "" }, "Recombinant full length protein - Human": { "IHCP-species-checked": "notRecommended", "IHCP-species-dilution-info": "", "IHCP-species-notes": "", "WB-species-checked": "notRecommended", "WB-species-dilution-info": "", "WB-species-notes": "", "Dot-species-checked": "testedAndGuaranteed", "Dot-species-dilution-info": "", "Dot-species-notes": "<p></p>", "FlowCytIntra-species-checked": "notRecommended", "FlowCytIntra-species-dilution-info": "", "FlowCytIntra-species-notes": "", "ICCIF-species-checked": "notRecommended", "ICCIF-species-dilution-info": "", "ICCIF-species-notes": "", "IP-species-checked": "notRecommended", "IP-species-dilution-info": "", "IP-species-notes": "" } } }

Product details

ab314671 is the carrier-free version of ab314670.

Patented technology
Our RabMAb® technology is a patented hybridoma-based technology for making rabbit monoclonal antibodies. For details on our patents, please refer to RabMAb® patents.

What are the advantages of a recombinant monoclonal antibody?
This product is a recombinant monoclonal antibody, which offers several advantages including:

  • - High batch-to-batch consistency and reproducibility
  • - Improved sensitivity and specificity
  • - Long-term security of supply
  • - Animal-free batch production

For more information, read more on recombinant antibodies.

Conjugation ready
Our carrier-free antibodies are typically supplied in a PBS-only formulation, purified and free of BSA, sodium azide and glycerol. This conjugation-ready format is designed for use with fluorochromes, metal isotopes, oligonucleotides, and enzymes, which makes them ideal for antibody labelling, functional and cell-based assays, flow-based assays (e.g. mass cytometry) and Multiplex Imaging applications.

Use our conjugation kits for antibody conjugates that are ready-to-use in as little as 20 minutes with 1 minute hands-on-time and 100% antibody recovery: available for fluorescent dyes, HRP, biotin and gold.

Compatibility
This product is compatible with the Maxpar® Antibody Labeling Kit from Fluidigm, without the need for antibody preparation. Maxpar® is a trademark of Fluidigm Canada Inc.

Properties and storage information

Form
Liquid
Purification technique
Affinity purification Protein A
Storage buffer
pH: 7.2 - 7.4 Constituents: PBS
Shipped at conditions
Blue Ice
Appropriate short-term storage conditions
+4°C
Appropriate long-term storage conditions
+4°C

Supplementary information

This supplementary information is collated from multiple sources and compiled automatically.

Regulator of G-protein Signaling 5 (RGS5) also known as MSTP062 is a 20 kDa protein that modulates G-protein signaling. The protein acts by accelerating the GTPase activity of the alpha subunits of heterotrimeric G-proteins leading to the inactivation of G-protein-coupled receptor (GPCR) signaling. RGS5 shows high expression in vascular smooth muscle cells adipose tissue and the heart. The protein's localization indicates a role in the cardiovascular system and metabolism.
Biological function summary

RGS5 regulates signal transduction pathways by acting as a negative regulator of GPCR signaling and influencing vascular tone and blood pressure. It forms part of the R4 subfamily of RGS proteins recognized for modulating G-protein activity. RGS5 impacts processes like vascular remodeling and angiogenesis by inhibiting G-protein-mediated signal transduction affecting the vascular cell response to proliferation and migration cues.

Pathways

RGS5 plays a role in the GPCR signaling and the PI3K/AKT pathway. The protein interacts closely with G-protein alpha subunits such as Gαq and Gαi during the modulation of these pathways. This interaction helps regulate cardiovascular responses and cellular differentiation events coordinating with other RGS family members to maintain signaling balance.

RGS5 links with hypertension and cancer. In the context of hypertension altered expression of RGS5 correlates with vascular dysfunction affecting blood pressure regulation. In cancer RGS5 influences tumor angiogenesis and growth with potential interactions with proteins such as hypoxia-inducible factor 1-alpha (HIF-1α) affecting the oxygen supply to tumorous tissues. Understanding RGS5's involvement in these conditions can offer targets for therapeutic interventions.

Product protocols

For this product, it's our understanding that no specific protocols are required. You can visit:

Target data

Inhibits signal transduction by increasing the GTPase activity of G protein alpha subunits thereby driving them into their inactive GDP-bound form. Binds to G(i)-alpha and G(o)-alpha, but not to G(s)-alpha (By similarity).
See full target information Regulator of G-protein signaling 5

Product promise

We are committed to supporting your work with high-quality reagents, and we're here for you every step of the way. In the unlikely event that one of our products does not perform as expected, you're protected by our Product Promise.
For full details, please see our Terms & Conditions

Please note: All products are 'FOR RESEARCH USE ONLY. NOT FOR USE IN DIAGNOSTIC OR THERAPEUTIC PROCEDURES'.

For licensing inquiries, please contact partnerships@abcam.com