JavaScript is disabled in your browser. Please enable JavaScript to view this website.
AB236787

Anti-RGS6 antibody

Be the first to review this product! Submit a review

|

(0 Publication)

Rabbit Polyclonal RGS6 antibody. Suitable for IHC-P, ICC/IF and reacts with Human samples. Immunogen corresponding to Recombinant Fragment Protein within Human RGS6 aa 150-300.

View Alternative Names

Regulator of G-protein signaling 6, RGS6, S914

3 Images
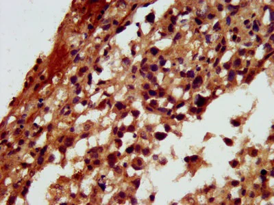
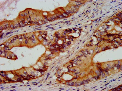
Immunohistochemistry (Formalin/PFA-fixed paraffin-embedded sections) - Anti-RGS6 antibody (AB236787)
  • IHC-P

Supplier Data

Immunohistochemistry (Formalin/PFA-fixed paraffin-embedded sections) - Anti-RGS6 antibody (AB236787)

Paraffin-embedded human colon cancer tissue stained for RGS6 using ab236787 at 1/300 dilution in immunohistochemical analysis.

After dewaxing and hydration, antigen retrieval was mediated by high pressure in a citrate buffer (pH 6.0). Section was blocked with 10% normal goat serum 30 minutes at RT. Then primary antibody (1% BSA) was incubated at 4°C overnight. The primary is detected by a biotinylated secondary antibody and visualized using an HRP conjugated SP system.

Immunohistochemistry (Formalin/PFA-fixed paraffin-embedded sections) - Anti-RGS6 antibody (AB236787)
  • IHC-P

Supplier Data

Immunohistochemistry (Formalin/PFA-fixed paraffin-embedded sections) - Anti-RGS6 antibody (AB236787)

Paraffin-embedded human melanoma tissue stained for RGS6 using ab236787 at 1/300 dilution in immunohistochemical analysis.

After dewaxing and hydration, antigen retrieval was mediated by high pressure in a citrate buffer (pH 6.0). Section was blocked with 10% normal goat serum 30 minutes at RT. Then primary antibody (1% BSA) was incubated at 4°C overnight. The primary is detected by a biotinylated secondary antibody and visualized using an HRP conjugated SP system.

Immunocytochemistry/ Immunofluorescence - Anti-RGS6 antibody (AB236787)
  • ICC/IF

Supplier Data

Immunocytochemistry/ Immunofluorescence - Anti-RGS6 antibody (AB236787)

4% formaldehyde-fixed, 0.2% Triton X-100 permeabilized HeLa (human epithelial cell line from cervix adenocarcinoma) cells stained for RGS6 (green) using ab236787 at 1/100 dilution in ICC/IF, followed by Alexa Fluor 488-conjugated Goat Anti-Rabbit IgG (H+L) secondary anitbody. Counterstained with DAPI.

Key facts

Host species

Rabbit

Clonality

Polyclonal

Isotype

IgG

Carrier free

No

Reacts with

Human

Applications

IHC-P, ICC/IF

applications

Immunogen

Recombinant Fragment Protein within Human RGS6 aa 150-300. The exact immunogen used to generate this antibody is proprietary information.

P49758

Reactivity data

{ "title": "Reactivity Data", "filters": { "stats": ["", "Species", "Dilution Info", "Notes"], "tabs": { "all-applications": {"fullname" : "All Applications", "shortname": "All Applications"}, "IHCP" : {"fullname" : "Immunohistochemistry (Formalin/PFA-fixed paraffin-embedded sections)", "shortname":"IHC-P"}, "ICCIF" : {"fullname" : "Immunocytochemistry/ Immunofluorescence", "shortname":"ICC/IF"} }, "product-promise": { "all": "all", "testedAndGuaranteed": "tested", "guaranteed": "expected", "predicted": "predicted", "notRecommended": "not-recommended" } }, "values": { "Human": { "IHCP-species-checked": "testedAndGuaranteed", "IHCP-species-dilution-info": "1/200 - 1/500", "IHCP-species-notes": "<p></p>", "ICCIF-species-checked": "testedAndGuaranteed", "ICCIF-species-dilution-info": "1/50 - 1/200", "ICCIF-species-notes": "<p></p>" } } }

Properties and storage information

Form
Liquid
Purification technique
Affinity purification Protein G
Purification notes
Purity >95%.
Storage buffer
pH: 7.4 Preservative: 0.03% Proclin 300 Constituents: PBS, 50% Glycerol (glycerin, glycerine)
Shipped at conditions
Blue Ice
Appropriate short-term storage duration
1-2 weeks
Appropriate short-term storage conditions
+4°C
Appropriate long-term storage conditions
-20°C
Aliquoting information
Upon delivery aliquot
Storage information
Avoid freeze / thaw cycle

Supplementary information

This supplementary information is collated from multiple sources and compiled automatically.

Regulators of G-protein Signaling 6 (RGS6) is a multifunctional protein involved in the negative regulation of G-protein-coupled receptor signaling pathways. Commonly known as RGS6 this protein exhibits a mass of approximately 52 kDa. It is widely expressed in many tissues including the brain heart and liver. RGS6 contains a common RGS domain that accelerates the GTPase activity of G-alpha subunits facilitating the return of these subunits to their inactive GDP-bound form.
Biological function summary

RGS6 contributes to the fine-tuning of cellular signaling processes. It plays a significant role in nervous system function by modulating neurotransmitter release and signal transduction. RGS6 is part of a signaling complex that includes G-protein beta and gamma subunits which further refines its regulatory activity. This complex interaction helps to ensure precise control over timing and intensity of signal propagation in cells.

Pathways

RGS6 is an important component of the G-protein signaling pathway interacting with G-alpha subunits. It also has involvement in the MAPK/ERK signaling pathway where it influences cellular responses such as proliferation and differentiation. Related proteins in these pathways include other RGS family members and various MAP kinases that collaborate to maintain cellular homeostasis and response to environmental stimuli.

RGS6 has implications in conditions such as depression and cancer. It modulates pathways linked to these disorders for instance mood regulation and tumor proliferation. Through these functions RGS6 interacts with proteins like G-protein-coupled receptors and specific transcription factors associated with these diseases offering potential therapeutic targets for treatment.

Product protocols

For this product, it's our understanding that no specific protocols are required. You can visit:

Target data

Regulates G protein-coupled receptor signaling cascades. Inhibits signal transduction by increasing the GTPase activity of G protein alpha subunits, thereby driving them into their inactive GDP-bound form. The RGS6/GNB5 dimer enhances GNAO1 GTPase activity (PubMed : 10521509).
See full target information RGS6

Product promise

We are committed to supporting your work with high-quality reagents, and we're here for you every step of the way. In the unlikely event that one of our products does not perform as expected, you're protected by our Product Promise.
For full details, please see our Terms & Conditions

Please note: All products are 'FOR RESEARCH USE ONLY. NOT FOR USE IN DIAGNOSTIC OR THERAPEUTIC PROCEDURES'.

For licensing inquiries, please contact partnerships@abcam.com