JavaScript is disabled in your browser. Please enable JavaScript to view this website.
AB25873

Anti-RHEB antibody

3

(1 Review)

|

(17 Publications)

Rabbit Polyclonal RHEB antibody. Suitable for WB, IHC-P, ICC/IF and reacts with Mouse, Rat, Drosophila melanogaster, Human samples. Cited in 17 publications. Immunogen corresponding to Synthetic Peptide within Human RHEB.

View Alternative Names

RHEB2, RHEB, GTP-binding protein Rheb, Ras homolog enriched in brain

2 Images
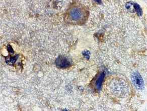
Immunohistochemistry (Formalin/PFA-fixed paraffin-embedded sections) - Anti-RHEB antibody (AB25873)
  • IHC-P

Unknown

Immunohistochemistry (Formalin/PFA-fixed paraffin-embedded sections) - Anti-RHEB antibody (AB25873)

ab25873 at 2μg/ml staining RHEB in mouse brain tissue by IHC

Western blot - Anti-RHEB antibody (AB25873)
  • WB

Unknown

Western blot - Anti-RHEB antibody (AB25873)

Western blot analysis of Rheb in mouse brain cell lysate with ab25873 at (A) 1, (B) 2, and (C) 4 ug/ml.

All lanes:

Western blot - Anti-RHEB antibody (ab25873)

Predicted band size: 20 kDa

Observed band size: 17 kDa

false

Key facts

Host species

Rabbit

Clonality

Polyclonal

Isotype

IgG

Carrier free

No

Reacts with

Mouse, Human, Drosophila melanogaster, Rat

Applications

IHC-P, ICC/IF, WB

applications

Immunogen

Synthetic Peptide within Human RHEB. The exact immunogen used to generate this antibody is proprietary information.

Q15382

Specificity

ab25873 recognises Rheb (Ras homolog enriched in brain).

Reactivity data

{ "title": "Reactivity Data", "filters": { "stats": ["", "Species", "Dilution Info", "Notes"], "tabs": { "all-applications": {"fullname" : "All Applications", "shortname": "All Applications"}, "WB" : {"fullname" : "Western blot", "shortname":"WB"}, "IHCP" : {"fullname" : "Immunohistochemistry (Formalin/PFA-fixed paraffin-embedded sections)", "shortname":"IHC-P"}, "ICCIF" : {"fullname" : "Immunocytochemistry/ Immunofluorescence", "shortname":"ICC/IF"} }, "product-promise": { "all": "all", "testedAndGuaranteed": "tested", "guaranteed": "expected", "predicted": "predicted", "notRecommended": "not-recommended" } }, "values": { "Human": { "WB-species-checked": "predicted", "WB-species-dilution-info": "", "WB-species-notes": "", "IHCP-species-checked": "predicted", "IHCP-species-dilution-info": "", "IHCP-species-notes": "", "ICCIF-species-checked": "guaranteed", "ICCIF-species-dilution-info": "", "ICCIF-species-notes": "<p></p>" }, "Mouse": { "WB-species-checked": "testedAndGuaranteed", "WB-species-dilution-info": "1 µg/mL", "WB-species-notes": "<p></p>", "IHCP-species-checked": "testedAndGuaranteed", "IHCP-species-dilution-info": "2 µg/mL", "IHCP-species-notes": "<p></p>", "ICCIF-species-checked": "guaranteed", "ICCIF-species-dilution-info": "", "ICCIF-species-notes": "<p></p>" }, "Rat": { "WB-species-checked": "predicted", "WB-species-dilution-info": "", "WB-species-notes": "", "IHCP-species-checked": "predicted", "IHCP-species-dilution-info": "", "IHCP-species-notes": "", "ICCIF-species-checked": "guaranteed", "ICCIF-species-dilution-info": "", "ICCIF-species-notes": "<p></p>" }, "Drosophila melanogaster": { "WB-species-checked": "predicted", "WB-species-dilution-info": "", "WB-species-notes": "", "IHCP-species-checked": "predicted", "IHCP-species-dilution-info": "", "IHCP-species-notes": "", "ICCIF-species-checked": "guaranteed", "ICCIF-species-dilution-info": "", "ICCIF-species-notes": "<p></p>" } } }

Properties and storage information

Form
Liquid
Purification technique
Affinity purification Immunogen
Storage buffer
pH: 7.2 Preservative: 0.02% Sodium azide Constituents: PBS
Shipped at conditions
Blue Ice
Appropriate short-term storage duration
1-2 weeks
Appropriate short-term storage conditions
+4°C
Appropriate long-term storage conditions
-20°C
Aliquoting information
Upon delivery aliquot

Supplementary information

This supplementary information is collated from multiple sources and compiled automatically.

RHEB also known as Ras homolog enriched in brain is a small GTPase with a molecular mass of approximately 21 kDa. It is a member of the Ras superfamily and plays a role in the regulation of cell growth and proliferation. RHEB is widely expressed with concentrations found in the brain skeletal muscle and various other tissues. It functions as a molecular switch cycling between active GTP-bound and inactive GDP-bound states influencing signaling pathways linked to growth and metabolism.
Biological function summary

RHEB interacts with several components within the mTORC1 complex a major regulator of cell growth and autophagy. This protein positively regulates the mTORC1 pathway by activating mTOR leading to protein synthesis and cell growth when nutrients such as amino acids and energy are available. RHEB's regulation of mTORC1 is influenced by upstream modulation through the TSC1/2 complex acting as a sensor for cellular energy levels and growth signals. The role of RHEB in these regulatory mechanisms highlights its fundamental importance in cellular metabolic processes.

Pathways

RHEB plays a significant role in the mechanistic target of rapamycin (mTOR) signaling pathway which is important for regulating protein synthesis and cellular growth. RHEB acts downstream of the TSC1/2 complex with TSC2 acting as a GTPase-activating protein for RHEB. This interaction points RHEB as an essential regulator of mTORC1 activation. In connection with other proteins RHEB functions alongside mTOR and TSC1/2 to mediate responses to cellular nutrient status thereby adjusting growth and proliferation accordingly.

Mutations or dysregulation of RHEB have been linked to tuberous sclerosis complex (TSC) and cancer. In TSC where aberrant signaling occurs through the mTOR pathway RHEB's activity influences the mTORC1 pathway in cells lacking functional TSC1 or TSC2 leading to benign tumors. Additionally RHEB overexpression has been implicated in certain cancers due to its capacity to enhance cell proliferation via mTORC1. The interaction of RHEB with mTOR highlights its role in disease states where cell growth control is altered suggesting the potential for targeted therapies in treating these conditions.

Product protocols

For this product, it's our understanding that no specific protocols are required. You can visit:

Target data

Small GTPase that acts as an allosteric activator of the canonical mTORC1 complex, an evolutionarily conserved central nutrient sensor that stimulates anabolic reactions and macromolecule biosynthesis to promote cellular biomass generation and growth (PubMed : 12172553, PubMed : 12271141, PubMed : 12842888, PubMed : 12869586, PubMed : 12906785, PubMed : 15340059, PubMed : 15854902, PubMed : 16098514, PubMed : 20381137, PubMed : 22819219, PubMed : 24529379, PubMed : 29416044, PubMed : 32470140, PubMed : 33157014). In response to nutrients, growth factors or amino acids, specifically activates the protein kinase activity of MTOR, the catalytic component of the mTORC1 complex : acts by causing a conformational change that allows the alignment of residues in the active site of MTOR, thereby enhancing the phosphorylation of ribosomal protein S6 kinase (RPS6KB1 and RPS6KB2) and EIF4EBP1 (4E-BP1) (PubMed : 29236692, PubMed : 33157014). RHEB is also required for localization of the TSC-TBC complex to lysosomal membranes (PubMed : 24529379). In response to starvation, RHEB is inactivated by the TSC-TBC complex, preventing activation of mTORC1 (PubMed : 24529379, PubMed : 33157014). Has low intrinsic GTPase activity (PubMed : 15340059).
See full target information RHEB

Publications (17)

Recent publications for all applications. Explore the full list and refine your search

Cell death & disease 13:1031 PubMed36494334

2022

Mechanistic target of rapamycin complex 1 orchestrates the interplay between hepatocytes and Kupffer cells to determine the outcome of immune-mediated hepatitis.

Applications

Unspecified application

Species

Unspecified reactive species

Xiaoli Sun,Yajie Ni,Qingmiao Lu,Yan Liang,Mengru Gu,Xian Xue,Chunsun Dai

JCI insight 6: PubMed34622800

2021

Complement factor B in high glucose-induced podocyte injury and diabetic kidney disease.

Applications

Unspecified application

Species

Unspecified reactive species

Qingmiao Lu,Qing Hou,Kai Cao,Xiaoli Sun,Yan Liang,Mengru Gu,Xian Xue,Allan Zijian Zhao,Chunsun Dai

PeerJ 9:e10920 PubMed33868799

2021

miR-155-5p upregulation ameliorates myocardial insulin resistance via mTOR signaling in chronic alcohol drinking rats.

Applications

Unspecified application

Species

Unspecified reactive species

Zhaoping Li,Zhenzhen Hu,Yan Meng,Hongzhao Xu,Yali Wei,Deqiang Shen,Hao Bai,Huacai Yuan,Liyong Chen

Molecular biology reports 47:9469-9477 PubMed33159675

2020

miR-155-5p alleviates ethanol-induced myocardial insulin resistance in H9C2 cells via regulating the mTOR signalling pathway.

Applications

Unspecified application

Species

Unspecified reactive species

Zhaoping Li,Deqiang Shen,Yan Meng,Hongzhao Xu,Huacai Yuan,Liyong Chen

Digestive diseases and sciences 65:1689-1699 PubMed31863340

2019

Electroacupuncture Upregulated Ghrelin in Rats with Functional Dyspepsia via AMPK/TSC2/Rheb-Mediated mTOR Inhibition.

Applications

Unspecified application

Species

Unspecified reactive species

Lei Tang,Yi Zeng,Lei Li,Jingjing Wang,Duo Peng,Ting Zhang,Hongxing Zhang,Xue An

Journal of cellular physiology 235:442-453 PubMed31332784

2019

Silencing of RHEB inhibits cell proliferation and promotes apoptosis in colorectal cancer cells via inhibition of the mTOR signaling pathway.

Applications

Unspecified application

Species

Unspecified reactive species

Yuxi Tian,Liangfang Shen,Fujun Li,Junwen Yang,Xiaoping Wan,Miao Ouyang

Osteoarthritis and cartilage 27:1508-1517 PubMed31229684

2019

RHEB gene therapy maintains the chondrogenic characteristics and protects cartilage tissue from degenerative damage during experimental murine osteoarthritis.

Applications

Unspecified application

Species

Unspecified reactive species

S Ashraf,B J Kim,S Park,H Park,S-H Lee

Cell death and differentiation 26:2774-2789 PubMed31024074

2019

Fibroblast mTOR/PPARγ/HGF axis protects against tubular cell death and acute kidney injury.

Applications

Unspecified application

Species

Unspecified reactive species

Yuan Gui,Qingmiao Lu,Mengru Gu,Mingjie Wang,Yan Liang,Xingwen Zhu,Xian Xue,Xiaoli Sun,Weichun He,Junwei Yang,Allan Zijian Zhao,Bo Xiao,Chunsun Dai

Free radical biology & medicine 130:361-368 PubMed30395971

2018

Intensified mitophagy in skeletal muscle with aging is downregulated by PGC-1alpha overexpression in vivo.

Applications

Unspecified application

Species

Unspecified reactive species

Dongwook Yeo,Chounghun Kang,Mari Carmen Gomez-Cabrera,Jose Vina,Li Li Ji

Pathobiology : journal of immunopathology, molecul 84:243-250 PubMed28715816

2017

Distinct Dynamics of Mitotic Transition in B-Cell Lymphoma and Reactive B-Cell Lymphoproliferations Determined by H3S10 Phosphohistone Immunolabeling.

Applications

Unspecified application

Species

Unspecified reactive species

Gábor Méhes,Katalin Hegyi,Ravi Jobanputra,Lívia Beke,György Vereb,Judit Bedekovics
View all publications

Product promise

We are committed to supporting your work with high-quality reagents, and we're here for you every step of the way. In the unlikely event that one of our products does not perform as expected, you're protected by our Product Promise.
For full details, please see our Terms & Conditions

Please note: All products are 'FOR RESEARCH USE ONLY. NOT FOR USE IN DIAGNOSTIC OR THERAPEUTIC PROCEDURES'.

For licensing inquiries, please contact partnerships@abcam.com