JavaScript is disabled in your browser. Please enable JavaScript to view this website.
AB92313

Anti-RHEB antibody [EPR2971]

5

(2 Reviews)

|

(12 Publications)

Rabbit Recombinant Monoclonal RHEB antibody. Suitable for IHC-P, WB, ICC/IF, Flow Cyt (Intra) and reacts with Human samples. Cited in 12 publications.

View Alternative Names

RHEB2, RHEB, GTP-binding protein Rheb, Ras homolog enriched in brain

7 Images
Immunocytochemistry/ Immunofluorescence - Anti-RHEB antibody [EPR2971] (AB92313)
  • ICC/IF

Unknown

Immunocytochemistry/ Immunofluorescence - Anti-RHEB antibody [EPR2971] (AB92313)

Immunocytochemistry/ Immunofluorescence analysis of Raji (Human Burkitt's lymphoma B lymphocyte) cells labeling RHEB with purified ab92313 at 1 : 250 dilution (1.46 µg/ml). Cells were fixed in 4% Paraformaldehyde and permeabilized with 0.1% tritonX-100. Cells were counterstained with ab195889 Anti-alpha Tubulin antibody [DM1A] - Microtubule Marker (Alexa Fluor® 594) 1 : 200 (2.5 µg/ml). Goat anti rabbit IgG (Alexa Fluor® 488, ab150077) was used as the secondary antibody at 1 : 1000 (2 µg/ml) dilution. DAPI (blue) was used as nuclear counterstain. PBS instead of the primary antibody was used as the secondary antibody only control.

Flow Cytometry (Intracellular) - Anti-RHEB antibody [EPR2971] (AB92313)
  • Flow Cyt (Intra)

Unknown

Flow Cytometry (Intracellular) - Anti-RHEB antibody [EPR2971] (AB92313)

Intracellular Flow Cytometry analysis of Raji (Human Burkitt's lymphoma B lymphocyte) cells labeling RHEB with purified ab92313 at 1/40 dilution (10 μg/ml) (Red). Cells were fixed with 4% Paraformaldehyde and permeabilised with 90% Methanol. A Goat anti rabbit IgG (Alexa Fluor® 488, ab150077) secondary antibody was used at 1/2000. Isotype control - Rabbit monoclonal IgG (Black). Unlabeled control - Cell without incubation with primary antibody and secondary antibody (Blue).

Immunohistochemistry (Formalin/PFA-fixed paraffin-embedded sections) - Anti-RHEB antibody [EPR2971] (AB92313)
  • IHC-P

Unknown

Immunohistochemistry (Formalin/PFA-fixed paraffin-embedded sections) - Anti-RHEB antibody [EPR2971] (AB92313)

Immunohistochemistry (Formalin/PFA-fixed paraffin-embedded sections) analysis of human glioma tissue sections labeling RHEB with purified ab92313 at 1 : 500 dilution (0.73 µg/ml). Heat mediated antigen retrieval was performed using Bond ™ Epitope Retrieval Solution 2 (pH 9.0). Rabbit specific IHC polymer detection kit HRP/DAB (ab209101) was used as the secondary antibody. Negative control : PBS instead of the primary antibody. Hematoxylin was used as a counterstain.

Flow Cytometry (Intracellular) - Anti-RHEB antibody [EPR2971] (AB92313)
  • Flow Cyt (Intra)

Unknown

Flow Cytometry (Intracellular) - Anti-RHEB antibody [EPR2971] (AB92313)

Overlay histogram showing Raji cells stained with unpurifiedab92313 (red line). The cells were fixed with 4% paraformaldehyde (10 min) and then permeabilized with 0.1% PBS-Tween for 20 min. The cells were then incubated in 1x PBS / 10% normal goat serum / 0.3M glycine to block non-specific protein-protein interactions followed by the antibody (ab92313, 1/1000 dilution) for 30 min at 22°C. The secondary antibody used was Alexa Fluor® 488 goat anti-rabbit IgG (H&L) (ab150077) at 1/2000 dilution for 30 min at 22°C. Isotype control antibody (black line) was rabbit IgG (monoclonal) (0.1μg/1x106 cells) used under the same conditions. Unlabelled sample (blue line) was also used as a control. Acquisition of >5,000 events were collected using a 20mW Argon ion laser (488nm) and 525/30 bandpass filter. This antibody gave a positive signal in Raji cells fixed with 80% methanol (5 min)/permeabilized with 0.1% PBS-Tween for 20 min used under the same conditions.

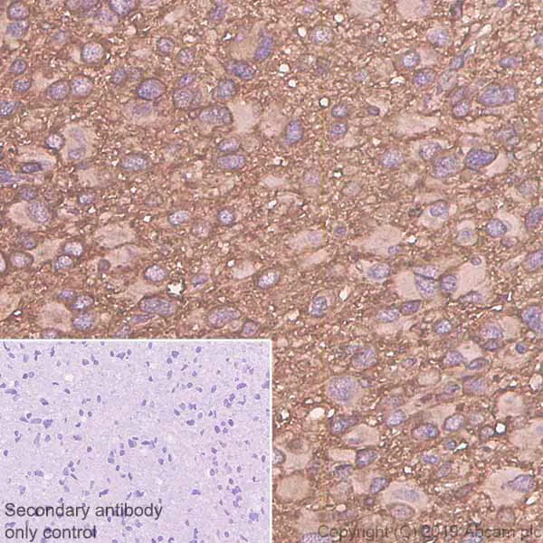
Immunohistochemistry (Formalin/PFA-fixed paraffin-embedded sections) - Anti-RHEB antibody [EPR2971] (AB92313)
  • IHC-P

Unknown

Immunohistochemistry (Formalin/PFA-fixed paraffin-embedded sections) - Anti-RHEB antibody [EPR2971] (AB92313)

Unpurified ab92313, at 1/100 dilution, staining RHEB in paraffin-embedded Human brain tissue, by Immunohistochemistry.

Perform heat mediated antigen retrieval with citrate buffer pH 6 before commencing with IHC staining protocol.

Western blot - Anti-RHEB antibody [EPR2971] (AB92313)
  • WB

Unknown

Western blot - Anti-RHEB antibody [EPR2971] (AB92313)

All lanes:

Western blot - Anti-RHEB antibody [EPR2971] (ab92313) at 1/2000 dilution

Lane 1:

Raji cell lsyate at 10 µg

Lane 2:

SH-SY5Y cell lsyate at 10 µg

Secondary

All lanes:

HRP labelled goat anti-rabbit at 1/2000 dilution

Predicted band size: 20 kDa

false

Western blot - Anti-RHEB antibody [EPR2971] (AB92313)
  • WB

Lab

Western blot - Anti-RHEB antibody [EPR2971] (AB92313)

All lanes:

Western blot - Anti-RHEB antibody [EPR2971] (ab92313) at 1/2000 dilution

All lanes:

Raji (Human Burkitt's lymphoma B lymphocyte) whole cell lysates at 15 µg

Secondary

All lanes:

Western blot - Goat Anti-Rabbit IgG H&L (HRP) (<a href='/en-us/products/secondary-antibodies/goat-rabbit-igg-h-l-hrp-ab97051'>ab97051</a>) at 1/20000 dilution

Predicted band size: 20 kDa

false

Key facts

Host species

Rabbit

Clonality

Monoclonal

Clone number

EPR2971

Isotype

IgG

Carrier free

No

Reacts with

Human

Applications

Flow Cyt (Intra), WB, IHC-P, ICC/IF

applications

Immunogen

The exact immunogen used to generate this antibody is proprietary information.

Reactivity data

{ "title": "Reactivity Data", "filters": { "stats": ["", "Species", "Dilution Info", "Notes"], "tabs": { "all-applications": {"fullname" : "All Applications", "shortname": "All Applications"}, "IHCP" : {"fullname" : "Immunohistochemistry (Formalin/PFA-fixed paraffin-embedded sections)", "shortname":"IHC-P"}, "IP" : {"fullname" : "Immunoprecipitation", "shortname":"IP"}, "WB" : {"fullname" : "Western blot", "shortname":"WB"}, "ICCIF" : {"fullname" : "Immunocytochemistry/ Immunofluorescence", "shortname":"ICC/IF"}, "FlowCytIntra" : {"fullname" : "Flow Cytometry (Intracellular)", "shortname":"Flow Cyt (Intra)"} }, "product-promise": { "all": "all", "testedAndGuaranteed": "tested", "guaranteed": "expected", "predicted": "predicted", "notRecommended": "not-recommended" } }, "values": { "Human": { "IHCP-species-checked": "testedAndGuaranteed", "IHCP-species-dilution-info": "1/500", "IHCP-species-notes": "<p>Heat mediated antigen retrieval and use of an HRP/AP polymerized secondary antibody recommended.</p><p><strong>For unpurified use at 1/100 - 1/250</strong></p>", "IP-species-checked": "notRecommended", "IP-species-dilution-info": "", "IP-species-notes": "<p></p>", "WB-species-checked": "testedAndGuaranteed", "WB-species-dilution-info": "1/2000 - 1/5000", "WB-species-notes": "<p></p>", "ICCIF-species-checked": "testedAndGuaranteed", "ICCIF-species-dilution-info": "1/100 - 1/250", "ICCIF-species-notes": "<p></p>", "FlowCytIntra-species-checked": "testedAndGuaranteed", "FlowCytIntra-species-dilution-info": "1/40", "FlowCytIntra-species-notes": "<p><a href='/en-us/products/primary-antibodies/rabbit-igg-monoclonal-epr25a-isotype-control-ab172730'>ab172730</a> - Rabbit monoclonal IgG, is suitable for use as an isotype control with this antibody. For unpurified use at 1/100 - 1/1000</p>" }, "Mouse": { "IHCP-species-checked": "notRecommended", "IHCP-species-dilution-info": "1/500", "IHCP-species-notes": "<p>Heat mediated antigen retrieval and use of an HRP/AP polymerized secondary antibody recommended.</p><p><strong>For unpurified use at 1/100 - 1/250</strong></p>", "IP-species-checked": "notRecommended", "IP-species-dilution-info": "", "IP-species-notes": "", "WB-species-checked": "notRecommended", "WB-species-dilution-info": "1/2000 - 1/5000", "WB-species-notes": "<p></p>", "ICCIF-species-checked": "notRecommended", "ICCIF-species-dilution-info": "", "ICCIF-species-notes": "", "FlowCytIntra-species-checked": "notRecommended", "FlowCytIntra-species-dilution-info": "", "FlowCytIntra-species-notes": "" } } }

Product details

Patented technology
Our RabMAb® technology is a patented hybridoma-based technology for making rabbit monoclonal antibodies. For details on our patents, please refer to RabMAb® patents.

What are the advantages of a recombinant monoclonal antibody?
This product is a recombinant monoclonal antibody, which offers several advantages including:

  • - High batch-to-batch consistency and reproducibility
  • - Improved sensitivity and specificity
  • - Long-term security of supply
  • - Animal-free batch production

For more information, read more on recombinant antibodies.

Properties and storage information

Form
Liquid
Purification technique
Affinity purification Protein A
Storage buffer
pH: 7.2 - 7.4 Preservative: 0.01% Sodium azide Constituents: PBS, 40% Glycerol (glycerin, glycerine), 0.05% BSA
Shipped at conditions
Blue Ice
Appropriate short-term storage conditions
+4°C
Appropriate long-term storage conditions
-20°C
Storage information
Stable for 12 months at -20°C

Supplementary information

This supplementary information is collated from multiple sources and compiled automatically.

RHEB also known as Ras homolog enriched in brain is a small GTPase with a molecular mass of approximately 21 kDa. It is a member of the Ras superfamily and plays a role in the regulation of cell growth and proliferation. RHEB is widely expressed with concentrations found in the brain skeletal muscle and various other tissues. It functions as a molecular switch cycling between active GTP-bound and inactive GDP-bound states influencing signaling pathways linked to growth and metabolism.
Biological function summary

RHEB interacts with several components within the mTORC1 complex a major regulator of cell growth and autophagy. This protein positively regulates the mTORC1 pathway by activating mTOR leading to protein synthesis and cell growth when nutrients such as amino acids and energy are available. RHEB's regulation of mTORC1 is influenced by upstream modulation through the TSC1/2 complex acting as a sensor for cellular energy levels and growth signals. The role of RHEB in these regulatory mechanisms highlights its fundamental importance in cellular metabolic processes.

Pathways

RHEB plays a significant role in the mechanistic target of rapamycin (mTOR) signaling pathway which is important for regulating protein synthesis and cellular growth. RHEB acts downstream of the TSC1/2 complex with TSC2 acting as a GTPase-activating protein for RHEB. This interaction points RHEB as an essential regulator of mTORC1 activation. In connection with other proteins RHEB functions alongside mTOR and TSC1/2 to mediate responses to cellular nutrient status thereby adjusting growth and proliferation accordingly.

Mutations or dysregulation of RHEB have been linked to tuberous sclerosis complex (TSC) and cancer. In TSC where aberrant signaling occurs through the mTOR pathway RHEB's activity influences the mTORC1 pathway in cells lacking functional TSC1 or TSC2 leading to benign tumors. Additionally RHEB overexpression has been implicated in certain cancers due to its capacity to enhance cell proliferation via mTORC1. The interaction of RHEB with mTOR highlights its role in disease states where cell growth control is altered suggesting the potential for targeted therapies in treating these conditions.

Product protocols

For this product, it's our understanding that no specific protocols are required. You can visit:

Target data

Small GTPase that acts as an allosteric activator of the canonical mTORC1 complex, an evolutionarily conserved central nutrient sensor that stimulates anabolic reactions and macromolecule biosynthesis to promote cellular biomass generation and growth (PubMed : 12172553, PubMed : 12271141, PubMed : 12842888, PubMed : 12869586, PubMed : 12906785, PubMed : 15340059, PubMed : 15854902, PubMed : 16098514, PubMed : 20381137, PubMed : 22819219, PubMed : 24529379, PubMed : 29416044, PubMed : 32470140, PubMed : 33157014). In response to nutrients, growth factors or amino acids, specifically activates the protein kinase activity of MTOR, the catalytic component of the mTORC1 complex : acts by causing a conformational change that allows the alignment of residues in the active site of MTOR, thereby enhancing the phosphorylation of ribosomal protein S6 kinase (RPS6KB1 and RPS6KB2) and EIF4EBP1 (4E-BP1) (PubMed : 29236692, PubMed : 33157014). RHEB is also required for localization of the TSC-TBC complex to lysosomal membranes (PubMed : 24529379). In response to starvation, RHEB is inactivated by the TSC-TBC complex, preventing activation of mTORC1 (PubMed : 24529379, PubMed : 33157014). Has low intrinsic GTPase activity (PubMed : 15340059).
See full target information RHEB

Publications (12)

Recent publications for all applications. Explore the full list and refine your search

American journal of physiology. Cell physiology 326:C1769-C1775 PubMed38682238

2024

Acute effects of a ketone monoester, whey protein, or their coingestion on mTOR trafficking and protein-protein colocalization in human skeletal muscle.

Applications

Unspecified application

Species

Unspecified reactive species

Sarkis J Hannaian,Jamie Lov,Zacharie Cheng-Boivin,Sidney Abou Sawan,Nathan Hodson,Benoit J Gentil,José A Morais,Tyler A Churchward-Venne

The Journal of biological chemistry 299:105455 PubMed37949232

2023

CBAP regulates the function of Akt-associated TSC protein complexes to modulate mTORC1 signaling.

Applications

Unspecified application

Species

Unspecified reactive species

Wei-Ting Liao,Yun-Jung Chiang,Hsin-Fang Yang-Yen,Li-Chung Hsu,Zee-Fen Chang,Jeffrey J Y Yen

Molecular cell 81:1337-1354.e8 PubMed33545068

2021

Systematically defining selective autophagy receptor-specific cargo using autophagosome content profiling.

Applications

Unspecified application

Species

Unspecified reactive species

Susanne Zellner,Martina Schifferer,Christian Behrends

Molecular medicine reports 22:3440-3452 PubMed32945452

2020

Resveratrol inhibits hypertrophic scars formation by activating autophagy via the miR-4654/Rheb axis.

Applications

Unspecified application

Species

Unspecified reactive species

Kun Pang,Bibo Li,Zhiming Tang,Wen Yang,Lin Hao,Zhenduo Shi,Jianjun Zhang,Longjun Cai,Rui Li,Ying Liu,Qian Lv,Jicun Ding,Conghui Han

Cancer management and research 12:3611-3621 PubMed32547198

2020

circRNA MYLK Accelerates Cervical Cancer via Up-Regulation of RHEB and Activation of mTOR Signaling.

Applications

Unspecified application

Species

Unspecified reactive species

Rui Chen,Luning Mao,Rui Shi,Wenjing Wang,Jingxin Cheng

Journal of cellular biochemistry : PubMed30485514

2018

MicroRNA-194 overexpression protects against hypoxia/reperfusion-induced HK-2 cell injury through direct targeting Rheb.

Applications

Unspecified application

Species

Unspecified reactive species

Yan Shen,Yan Zhao,Lijun Wang,Wenjing Zhang,Chao Liu,Aiping Yin

American journal of physiology. Cell physiology 315:C537-C543 PubMed30133322

2018

Whole egg, but not egg white, ingestion induces mTOR colocalization with the lysosome after resistance exercise.

Applications

Unspecified application

Species

Unspecified reactive species

Sidney Abou Sawan,Stephan van Vliet,Daniel W D West,Joseph W Beals,Scott A Paluska,Nicholas A Burd,Daniel R Moore

Molecular therapy. Nucleic acids 10:91-102 PubMed29499960

2018

miR-185 Inhibits Fibrogenic Activation of Hepatic Stellate Cells and Prevents Liver Fibrosis.

Applications

Unspecified application

Species

Unspecified reactive species

Li Zhou,Shunai Liu,Ming Han,Yanhua Ma,Shenghu Feng,Jing Zhao,Hongping Lu,Xiaoxue Yuan,Jun Cheng

Oncology letters 15:3838-3845 PubMed29467900

2018

Overexpression of RHEB is associated with metastasis and poor prognosis in hepatocellular carcinoma.

Applications

Unspecified application

Species

Unspecified reactive species

Fuchen Liu,Zeya Pan,Jinmin Zhang,Junsheng Ni,Chao Wang,Zhenguang Wang,Fangming Gu,Wei Dong,Weiping Zhou,Hui Liu

Scientific reports 7:5028 PubMed28694500

2017

Resistance exercise initiates mechanistic target of rapamycin (mTOR) translocation and protein complex co-localisation in human skeletal muscle.

Applications

Unspecified application

Species

Unspecified reactive species

Zhe Song,Daniel R Moore,Nathan Hodson,Carl Ward,Jessica R Dent,Mary F O'Leary,Andrew M Shaw,D Lee Hamilton,Sovan Sarkar,Yann-Gaël Gangloff,Troy A Hornberger,Lawrence L Spriet,George J Heigenhauser,Andrew Philp
View all publications

Product promise

We are committed to supporting your work with high-quality reagents, and we're here for you every step of the way. In the unlikely event that one of our products does not perform as expected, you're protected by our Product Promise.
For full details, please see our Terms & Conditions

Please note: All products are 'FOR RESEARCH USE ONLY. NOT FOR USE IN DIAGNOSTIC OR THERAPEUTIC PROCEDURES'.

For licensing inquiries, please contact partnerships@abcam.com