JavaScript is disabled in your browser. Please enable JavaScript to view this website.
AB247537

Anti-RHEB antibody [EPR2971] - BSA and Azide free

Be the first to review this product! Submit a review

|

(1 Publication)

Rabbit Recombinant Monoclonal RHEB antibody. Carrier free. Suitable for IHC-P, WB, ICC/IF, Flow Cyt (Intra) and reacts with Human samples. Cited in 1 publication.

View Alternative Names

RHEB2, RHEB, GTP-binding protein Rheb, Ras homolog enriched in brain

3 Images
Immunohistochemistry (Formalin/PFA-fixed paraffin-embedded sections) - Anti-RHEB antibody [EPR2971] - BSA and Azide free (AB247537)
  • IHC-P

Unknown

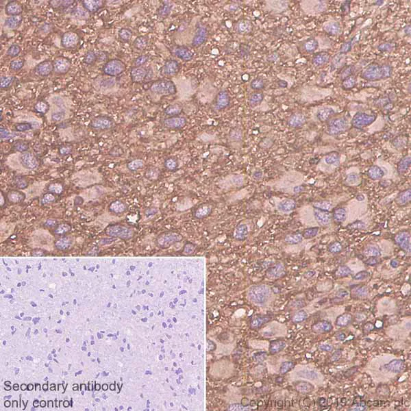
Immunohistochemistry (Formalin/PFA-fixed paraffin-embedded sections) - Anti-RHEB antibody [EPR2971] - BSA and Azide free (AB247537)

Immunohistochemistry (Formalin/PFA-fixed paraffin-embedded sections) analysis of human glioma tissue sections labeling RHEB with purified ab92313 at 1 : 500 dilution (0.73 µg/ml). Heat mediated antigen retrieval was performed using Bond ™ Epitope Retrieval Solution 2 (pH 9.0). Rabbit specific IHC polymer detection kit HRP/DAB (ab209101) was used as the secondary antibody. Negative control : PBS instead of the primary antibody. Hematoxylin was used as a counterstain.
This data was developed using the same antibody clone in a different buffer formulation containing PBS, BSA, glycerol, and sodium azide (ab92313)

Flow Cytometry (Intracellular) - Anti-RHEB antibody [EPR2971] - BSA and Azide free (AB247537)
  • Flow Cyt (Intra)

Unknown

Flow Cytometry (Intracellular) - Anti-RHEB antibody [EPR2971] - BSA and Azide free (AB247537)

Intracellular Flow Cytometry analysis of Raji (Human Burkitt's lymphoma B lymphocyte) cells labeling RHEB with purified ab92313 at 1/40 dilution (10 μg/ml) (Red). Cells were fixed with 4% Paraformaldehyde and permeabilised with 90% Methanol. A Goat anti rabbit IgG (Alexa Fluor® 488, ab150077) secondary antibody was used at 1/2000. Isotype control - Rabbit monoclonal IgG (Black). Unlabeled control - Cell without incubation with primary antibody and secondary antibody (Blue). This data was developed using the same antibody clone in a different buffer formulation containing PBS, BSA, glycerol, and sodium azide (ab92313)

Immunocytochemistry/ Immunofluorescence - Anti-RHEB antibody [EPR2971] - BSA and Azide free (AB247537)
  • ICC/IF

Unknown

Immunocytochemistry/ Immunofluorescence - Anti-RHEB antibody [EPR2971] - BSA and Azide free (AB247537)

Immunocytochemistry/ Immunofluorescence analysis of Raji (Human Burkitt's lymphoma B lymphocyte) cells labeling RHEB with purified ab92313 at 1 : 250 dilution (1.46 µg/ml). Cells were fixed in 4% Paraformaldehyde and permeabilized with 0.1% tritonX-100. Cells were counterstained with ab195889 Anti-alpha Tubulin antibody [DM1A] - Microtubule Marker (Alexa Fluor® 594) 1 : 200 (2.5 µg/ml). Goat anti rabbit IgG (Alexa Fluor® 488, ab150077) was used as the secondary antibody at 1 : 1000 (2 µg/ml) dilution. DAPI (blue) was used as nuclear counterstain. PBS instead of the primary antibody was used as the secondary antibody only control.
This data was developed using the same antibody clone in a different buffer formulation containing PBS, BSA, glycerol, and sodium azide (ab92313)

Key facts

Host species

Rabbit

Clonality

Monoclonal

Clone number

EPR2971

Isotype

IgG

Carrier free

Yes

Reacts with

Human

Applications

Flow Cyt (Intra), IHC-P, ICC/IF, WB

applications

Immunogen

The exact immunogen used to generate this antibody is proprietary information.

Reactivity data

{ "title": "Reactivity Data", "filters": { "stats": ["", "Species", "Dilution Info", "Notes"], "tabs": { "all-applications": {"fullname" : "All Applications", "shortname": "All Applications"}, "IHCP" : {"fullname" : "Immunohistochemistry (Formalin/PFA-fixed paraffin-embedded sections)", "shortname":"IHC-P"}, "IP" : {"fullname" : "Immunoprecipitation", "shortname":"IP"}, "WB" : {"fullname" : "Western blot", "shortname":"WB"}, "ICCIF" : {"fullname" : "Immunocytochemistry/ Immunofluorescence", "shortname":"ICC/IF"}, "FlowCytIntra" : {"fullname" : "Flow Cytometry (Intracellular)", "shortname":"Flow Cyt (Intra)"} }, "product-promise": { "all": "all", "testedAndGuaranteed": "tested", "guaranteed": "expected", "predicted": "predicted", "notRecommended": "not-recommended" } }, "values": { "Human": { "IHCP-species-checked": "testedAndGuaranteed", "IHCP-species-dilution-info": "", "IHCP-species-notes": "<p>Heat mediated antigen retrieval and use of an HRP/AP polymerized secondary antibody recommended.</p>", "IP-species-checked": "notRecommended", "IP-species-dilution-info": "", "IP-species-notes": "<p></p>", "WB-species-checked": "guaranteed", "WB-species-dilution-info": "", "WB-species-notes": "<p></p>", "ICCIF-species-checked": "testedAndGuaranteed", "ICCIF-species-dilution-info": "1/250", "ICCIF-species-notes": "<p></p>", "FlowCytIntra-species-checked": "testedAndGuaranteed", "FlowCytIntra-species-dilution-info": "", "FlowCytIntra-species-notes": "<p></p>" } } }

Product details

ab247537 is the carrier-free version of ab92313.

Patented technology
Our RabMAb® technology is a patented hybridoma-based technology for making rabbit monoclonal antibodies. For details on our patents, please refer to RabMAb® patents.

What are the advantages of a recombinant monoclonal antibody?
This product is a recombinant monoclonal antibody, which offers several advantages including:

  • - High batch-to-batch consistency and reproducibility
  • - Improved sensitivity and specificity
  • - Long-term security of supply
  • - Animal-free batch production

For more information, read more on recombinant antibodies.

Conjugation ready
Our carrier-free antibodies are typically supplied in a PBS-only formulation, purified and free of BSA, sodium azide and glycerol. This conjugation-ready format is designed for use with fluorochromes, metal isotopes, oligonucleotides, and enzymes, which makes them ideal for antibody labelling, functional and cell-based assays, flow-based assays (e.g. mass cytometry) and Multiplex Imaging applications.

Use our conjugation kits for antibody conjugates that are ready-to-use in as little as 20 minutes with 1 minute hands-on-time and 100% antibody recovery: available for fluorescent dyes, HRP, biotin and gold.

Compatibility
This product is compatible with the Maxpar® Antibody Labeling Kit from Fluidigm, without the need for antibody preparation. Maxpar® is a trademark of Fluidigm Canada Inc.

Properties and storage information

Form
Liquid
Purification technique
Affinity purification Protein A
Storage buffer
pH: 7.2 - 7.4 Constituents: PBS
Shipped at conditions
Blue Ice
Appropriate short-term storage conditions
+4°C
Appropriate long-term storage conditions
+4°C
Storage information
Do Not Freeze

Supplementary information

This supplementary information is collated from multiple sources and compiled automatically.

RHEB also known as Ras homolog enriched in brain is a small GTPase with a molecular mass of approximately 21 kDa. It is a member of the Ras superfamily and plays a role in the regulation of cell growth and proliferation. RHEB is widely expressed with concentrations found in the brain skeletal muscle and various other tissues. It functions as a molecular switch cycling between active GTP-bound and inactive GDP-bound states influencing signaling pathways linked to growth and metabolism.
Biological function summary

RHEB interacts with several components within the mTORC1 complex a major regulator of cell growth and autophagy. This protein positively regulates the mTORC1 pathway by activating mTOR leading to protein synthesis and cell growth when nutrients such as amino acids and energy are available. RHEB's regulation of mTORC1 is influenced by upstream modulation through the TSC1/2 complex acting as a sensor for cellular energy levels and growth signals. The role of RHEB in these regulatory mechanisms highlights its fundamental importance in cellular metabolic processes.

Pathways

RHEB plays a significant role in the mechanistic target of rapamycin (mTOR) signaling pathway which is important for regulating protein synthesis and cellular growth. RHEB acts downstream of the TSC1/2 complex with TSC2 acting as a GTPase-activating protein for RHEB. This interaction points RHEB as an essential regulator of mTORC1 activation. In connection with other proteins RHEB functions alongside mTOR and TSC1/2 to mediate responses to cellular nutrient status thereby adjusting growth and proliferation accordingly.

Mutations or dysregulation of RHEB have been linked to tuberous sclerosis complex (TSC) and cancer. In TSC where aberrant signaling occurs through the mTOR pathway RHEB's activity influences the mTORC1 pathway in cells lacking functional TSC1 or TSC2 leading to benign tumors. Additionally RHEB overexpression has been implicated in certain cancers due to its capacity to enhance cell proliferation via mTORC1. The interaction of RHEB with mTOR highlights its role in disease states where cell growth control is altered suggesting the potential for targeted therapies in treating these conditions.

Product protocols

For this product, it's our understanding that no specific protocols are required. You can visit:

Target data

Small GTPase that acts as an allosteric activator of the canonical mTORC1 complex, an evolutionarily conserved central nutrient sensor that stimulates anabolic reactions and macromolecule biosynthesis to promote cellular biomass generation and growth (PubMed : 12172553, PubMed : 12271141, PubMed : 12842888, PubMed : 12869586, PubMed : 12906785, PubMed : 15340059, PubMed : 15854902, PubMed : 16098514, PubMed : 20381137, PubMed : 22819219, PubMed : 24529379, PubMed : 29416044, PubMed : 32470140, PubMed : 33157014). In response to nutrients, growth factors or amino acids, specifically activates the protein kinase activity of MTOR, the catalytic component of the mTORC1 complex : acts by causing a conformational change that allows the alignment of residues in the active site of MTOR, thereby enhancing the phosphorylation of ribosomal protein S6 kinase (RPS6KB1 and RPS6KB2) and EIF4EBP1 (4E-BP1) (PubMed : 29236692, PubMed : 33157014). RHEB is also required for localization of the TSC-TBC complex to lysosomal membranes (PubMed : 24529379). In response to starvation, RHEB is inactivated by the TSC-TBC complex, preventing activation of mTORC1 (PubMed : 24529379, PubMed : 33157014). Has low intrinsic GTPase activity (PubMed : 15340059).
See full target information RHEB

Publications (1)

Recent publications for all applications. Explore the full list and refine your search

Obesity (Silver Spring, Md.) 30:666-679 PubMed35170865

2022

Exosomal miR-122 promotes adipogenesis and aggravates obesity through the VDR/SREBF1 axis.

Applications

Unspecified application

Species

Unspecified reactive species

Xiao-Yan Huang,Ji-Xiong Chen,Yi Ren,Li-Chun Fan,Wei Xiang,Xiao-Jie He
View all publications

Product promise

We are committed to supporting your work with high-quality reagents, and we're here for you every step of the way. In the unlikely event that one of our products does not perform as expected, you're protected by our Product Promise.
For full details, please see our Terms & Conditions

Please note: All products are 'FOR RESEARCH USE ONLY. NOT FOR USE IN DIAGNOSTIC OR THERAPEUTIC PROCEDURES'.

For licensing inquiries, please contact partnerships@abcam.com