JavaScript is disabled in your browser. Please enable JavaScript to view this website.
AB188103

Anti-Rho A + B + C antibody [EPR18299]

Be the first to review this product! Submit a review

|

(5 Publications)

Rabbit Recombinant Monoclonal RHOA antibody. Suitable for WB, ICC/IF, Flow Cyt (Intra), IHC-P and reacts with Mouse, Human, Rat samples. Cited in 5 publications.

View Alternative Names

ARH12, ARHA, RHO12, RHOA, Transforming protein RhoA, Rho cDNA clone 12, h12

16 Images
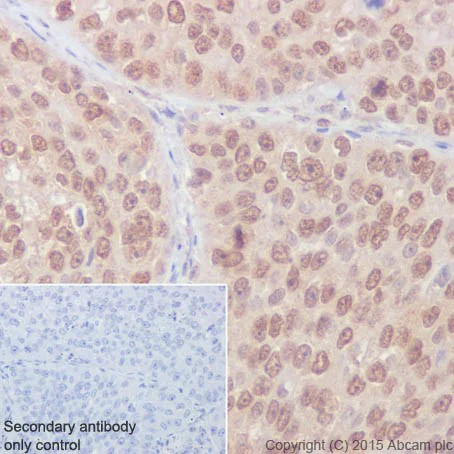
Immunohistochemistry (Formalin/PFA-fixed paraffin-embedded sections) - Anti-Rho A + B + C antibody [EPR18299] (AB188103)
  • IHC-P

Supplier Data

Immunohistochemistry (Formalin/PFA-fixed paraffin-embedded sections) - Anti-Rho A + B + C antibody [EPR18299] (AB188103)

Immunohistochemical analysis of paraffin-embedded Human squamous cell carcinoma of lung tissue labeling Rho A + B + C with ab188103 at 1/4000 dilution followed by Goat Anti-Rabbit IgG H&L (HRP) (ab97051) secondary antibody at 1/500 dilution. Cytoplasmic and nuclear staining on cancer cells of squamous cell carcinoma of lung is observed. Counter stained with Hematoxylin.

Secondary antibody only control : Used PBS instead of primary antibody secondary antibody is Goat Anti-Rabbit IgG H&L (HRP) (ab97051) at 1/500 dilution.

Perform heat mediated antigen retrieval with Tris/EDTA buffer pH 9.0 before commencing with IHC staining protocol.

Immunohistochemistry (Formalin/PFA-fixed paraffin-embedded sections) - Anti-Rho A + B + C antibody [EPR18299] (AB188103)
  • IHC-P

Supplier Data

Immunohistochemistry (Formalin/PFA-fixed paraffin-embedded sections) - Anti-Rho A + B + C antibody [EPR18299] (AB188103)

Immunohistochemical analysis of paraffin-embedded Human stomach tissue labeling Rho A + B + C with ab188103 at 1/4000 dilution followed by Goat Anti-Rabbit IgG H&L (HRP) (ab97051) secondary antibody at 1/500 dilution. Cytoplasmic and nuclear staining on epithelial cells of Human stomach is observed. Counter stained with Hematoxylin.

Secondary antibody only control : Used PBS instead of primary antibody secondary antibody is Goat Anti-Rabbit IgG H&L (HRP) (ab97051) at 1/500 dilution.

Perform heat mediated antigen retrieval with Tris/EDTA buffer pH 9.0 before commencing with IHC staining protocol.

Flow Cytometry (Intracellular) - Anti-Rho A + B + C antibody [EPR18299] (AB188103)
  • Flow Cyt (Intra)

Supplier Data

Flow Cytometry (Intracellular) - Anti-Rho A + B + C antibody [EPR18299] (AB188103)

Intracellular flow cytometric analysis of 2% paraformaldehyde-fixed Jurkat (Human T cell leukemia cells from peripheral blood) cells labeling Rho A + B + Cwith ab188103 at 1/300 dilution (red) compared with a rabbit monoclonal IgG isotype control (black) and an unlabelled control (cells without incubation with primary antibody and secondary antibody; blue). Goat anti rabbit IgG (FITC) at 1/150 dilution was used as the secondary antibody.

Immunocytochemistry/ Immunofluorescence - Anti-Rho A + B + C antibody [EPR18299] (AB188103)
  • ICC/IF

Supplier Data

Immunocytochemistry/ Immunofluorescence - Anti-Rho A + B + C antibody [EPR18299] (AB188103)

Immunofluorescent analysis of 4% paraformaldehyde-fixed 0.1% Triton X-100 permeabilized HepG2 (Human liver hepatocellular carcinoma) cells labeling Rho A + B + C with ab188103 at 1/500 dilution followed by Goat anti-rabbit IgG (Alexa Fluor® 488) (ab150077) secondary antibody at 1/500 dilution (green). Confocal image showing both nuclear and cytoplasmic staining on HepG2 cells. The nuclear counter stain is DAPI (blue). Tubulin is detected with ab7291 (anti-Tubulin mouse mAb) at 1/1000 dilution and ab150120 (AlexaFluor®594 Goat anti-Mouse secondary) at 1/500 dilution (red).
The negative controls are as follows;
-ve control 1 : ab188103 at 1/500 dilution followed by ab150120 (AlexaFluor®594 Goat anti-Mouse secondary) at 1/500 dilution.
-ve control 2 : ab7291 (anti-Tubulin mouse mAb) at 1/1000 dilution followed by ab150077 (Alexa Fluor®488 Goat Anti-Rabbit IgG H&L) at 1/500 dilution.

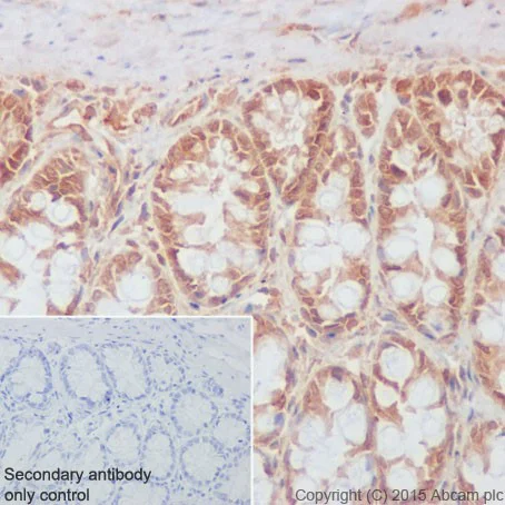
Immunohistochemistry (Formalin/PFA-fixed paraffin-embedded sections) - Anti-Rho A + B + C antibody [EPR18299] (AB188103)
  • IHC-P

Supplier Data

Immunohistochemistry (Formalin/PFA-fixed paraffin-embedded sections) - Anti-Rho A + B + C antibody [EPR18299] (AB188103)

Immunohistochemical analysis of paraffin-embedded Rat colon tissue labeling Rho A + B + C with ab188103 at 1/4000 dilution followed by Goat Anti-Rabbit IgG H&L (HRP) (ab97051) secondary antibody at 1/500 dilution. Cytoplasmic and nuclear staining on epithelial cells of Rat colon is observed. Counter stained with Hematoxylin.

Secondary antibody only control : Used PBS instead of primary antibody secondary antibody is Goat Anti-Rabbit IgG H&L (HRP) (ab97051) at 1/500 dilution.

Perform heat mediated antigen retrieval with Tris/EDTA buffer pH 9.0 before commencing with IHC staining protocol.

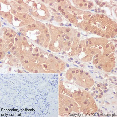
Immunohistochemistry (Formalin/PFA-fixed paraffin-embedded sections) - Anti-Rho A + B + C antibody [EPR18299] (AB188103)
  • IHC-P

Supplier Data

Immunohistochemistry (Formalin/PFA-fixed paraffin-embedded sections) - Anti-Rho A + B + C antibody [EPR18299] (AB188103)

Immunohistochemical analysis of paraffin-embedded Mouse muscle tissue labeling Rho A + B + C with ab188103 at 1/4000 dilution followed by Goat Anti-Rabbit IgG H&L (HRP) (ab97051) secondary antibody at 1/500 dilution. Cytoplasmic and nuclear staining on mouse muscle is observed. Counter stained with Hematoxylin.

Secondary antibody only control : Used PBS instead of primary antibody secondary antibody is Goat Anti-Rabbit IgG H&L (HRP) (ab97051) at 1/500 dilution.

Perform heat mediated antigen retrieval with Tris/EDTA buffer pH 9.0 before commencing with IHC staining protocol.

Immunocytochemistry/ Immunofluorescence - Anti-Rho A + B + C antibody [EPR18299] (AB188103)
  • ICC/IF

Supplier Data

Immunocytochemistry/ Immunofluorescence - Anti-Rho A + B + C antibody [EPR18299] (AB188103)

Immunofluorescent analysis of 4% paraformaldehyde-fixed 0.1% Triton X-100 permeabilized NIH/3T3 (Mouse embyro fibroblast cells) cells labeling to RhoA + RhoB + RhoC with ab188103 at 1/500 dilution followed by Goat anti-rabbit IgG (Alexa Fluor® 488) (ab150077) secondary antibody at 1/500 dilution (green). Confocal image showing both nuclear and cytoplasmic staining on NIH/3T3 cells. The nuclear counter stain is DAPI (blue). Tubulin is detected with ab7291 (anti-Tubulin mouse mAb) at 1/1000 dilution and ab150120 (AlexaFluor®594 Goat anti-Mouse secondary) at 1/500 dilution (red).
The negative controls are as follows;
-ve control 1 : ab188103 at 1/500 dilution followed by ab150120 (AlexaFluor®594 Goat anti-Mouse secondary) at 1/500 dilution.
-ve control 2 : ab7291 (anti-Tubulin mouse mAb) at 1/1000 dilution followed by ab150077 (Alexa Fluor®488 Goat Anti-Rabbit IgG H&L) at 1/500 dilution.

Western blot - Anti-Rho A + B + C antibody [EPR18299] (AB188103)
  • WB

Supplier Data

Western blot - Anti-Rho A + B + C antibody [EPR18299] (AB188103)

Blocking/Dilution buffer : 5% NFDM/TBST.

All lanes:

Western blot - Anti-Rho A + B + C antibody [EPR18299] (ab188103) at 1/2000 dilution

Lane 1:

Human fetal brain lysate at 10 µg

Lane 2:

Human fetal kidney lysate at 10 µg

Secondary

All lanes:

Anti-Rabbit IgG (HRP), specific to the non-reduced form of IgG at 1/1000 dilution

Predicted band size: 22 kDa

Observed band size: 22 kDa

false

Exposure time: 1min

Western blot - Anti-Rho A + B + C antibody [EPR18299] (AB188103)
  • WB

Supplier Data

Western blot - Anti-Rho A + B + C antibody [EPR18299] (AB188103)

Blocking/Dilution buffer : 5% NFDM/TBST.

All lanes:

Western blot - Anti-Rho A + B + C antibody [EPR18299] (ab188103) at 1/2000 dilution

Lane 1:

HepG2 (Human liver hepatocellular carcinoma) whole cell lysate at 10 µg

Lane 2:

HeLa (Human epithelial cells from cervix adenocarcinoma) whole cell lysate at 10 µg

Lane 3:

Jurkat (Human T cell leukemia cells from peripheral blood) whole cell lysate at 10 µg

Secondary

All lanes:

Goat Anti-Rabbit IgG, (H+L),Peroxidase conjugated at 1/1000 dilution

Predicted band size: 22 kDa

Observed band size: 22 kDa

false

Exposure time: 1min

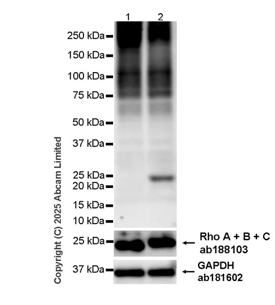
Western blot - Anti-Rho A + B + C antibody [EPR18299] (AB188103)
  • WB

Supplier Data

Western blot - Anti-Rho A + B + C antibody [EPR18299] (AB188103)

Human RhoA full length protein (Catalog# ab101594) contains aa1-193 with His-Tag® N-Terminus; Human RhoB full length protein (Catalog# ab107139) contains aa1-193 with His-Tag® N-Terminus.

Blocking/Dilution buffer : 5% NFDM/TBST.

All lanes:

Western blot - Anti-Rho A + B + C antibody [EPR18299] (ab188103) at 1/20000 dilution

Lane 1:

Human RhoA full length protein at 0.01 µg

Lane 2:

Human RhoB full length protein at 0.01 µg

Secondary

All lanes:

Goat Anti-Rabbit IgG, (H+L),Peroxidase conjugated at 1/1000 dilution

Predicted band size: 22 kDa

Observed band size: 24 kDa

false

Exposure time: 30s

Western blot - Anti-Rho A + B + C antibody [EPR18299] (AB188103)
  • WB

Supplier Data

Western blot - Anti-Rho A + B + C antibody [EPR18299] (AB188103)

Human RhoC full length protein (Catalog# ab98085) contains aa1-190 with His-Tag® N-Terminus.

Blocking/Dilution buffer : 5% NFDM/TBST.

All lanes:

Western blot - Anti-Rho A + B + C antibody [EPR18299] (ab188103) at 1/500 dilution

All lanes:

Human RhoC full length protein at 0.01 µg

Secondary

All lanes:

Goat Anti-Rabbit IgG, (H+L),Peroxidase conjugated at 1/1000 dilution

Predicted band size: 22 kDa

Observed band size: 24 kDa

false

Exposure time: 3min

Western blot - Anti-Rho A + B + C antibody [EPR18299] (AB188103)
  • WB

Supplier Data

Western blot - Anti-Rho A + B + C antibody [EPR18299] (AB188103)

Blocking and diluting buffer and concentration : 5% NFDM/TBST.

The expression profile observed is consistent with what has been described in the literature (PMID : 27043630).

In Western blot, Anti-GAPDH antibody [EPR16891] - Loading Control (ab181602) staining at 1/200000 dilution.

In Western blot, Anti-Rho A + B + C antibody [EPR18299] staining at 1/1000 dilution.

All lanes:

Western blot - Anti-RhoA + RhoB (ADP-ribosylated) antibody [VIF140-A1] - Mouse IgG2a (Chimeric) (<a href='/en-us/products/primary-antibodies/rhoa-rhob-adp-ribosylated-antibody-vif140-a1-mouse-igg2a-chimeric-ab324029'>ab324029</a>) at 1/1000 dilution

Lane 1:

Untreated HT-22 (mouse hippocampal neuronal cell) whole cell lysate at 20 µg

Lane 2:

HT-22 treated with 500nM C3 for 6 hours whole cell lysate at 20 µg

Secondary

All lanes:

Peroxidase-Conjugated Goat anti-Mouse IgG (H+L) at 1/10000 dilution

Observed band size: 22 kDa,36 kDa

false

Exposure time: 180s

Western blot - Anti-Rho A + B + C antibody [EPR18299] (AB188103)
  • WB

Supplier Data

Western blot - Anti-Rho A + B + C antibody [EPR18299] (AB188103)

Blocking/Dilution buffer : 5% NFDM/TBST.

All lanes:

Western blot - Anti-Rho A + B + C antibody [EPR18299] (ab188103) at 1/2000 dilution

Lane 1:

Mouse brain lysate at 10 µg

Lane 2:

Mouse kidney lysate at 10 µg

Lane 3:

Rat brain lysate at 10 µg

Lane 4:

Rat kidney lysate at 10 µg

Lane 5:

C6 (Rat glial tumor cells) whole cell lysate at 10 µg

Lane 6:

RAW 264.7 (Mouse macrophage cells transformed with Abelson murine leukemia virus) whole cell lysate at 10 µg

Lane 7:

PC-12 (Rat adrenal gland pheochromocytoma) whole cell lysate at 10 µg

Lane 8:

NIH/3T3 (Mouse embyro fibroblast cells) whole cell lysate at 10 µg

Secondary

All lanes:

Goat Anti-Rabbit IgG, (H+L),Peroxidase conjugated at 1/1000 dilution

Predicted band size: 22 kDa

Observed band size: 22 kDa

false

Exposure time: 1min

Western blot - Anti-Rho A + B + C antibody [EPR18299] (AB188103)
  • WB

Supplier Data

Western blot - Anti-Rho A + B + C antibody [EPR18299] (AB188103)

Blocking and diluting buffer and concentration : 5% NFDM/TBST.

The expression profile observed is consistent with what has been described in the literature (PMID : 27043630).

In Western blot, Anti-GAPDH antibody [EPR16891] - Loading Control (ab181602) staining at 1/200000 dilution.

In Western blot, Anti-Rho A + B + C antibody [EPR18299] staining at 1/1000 dilution.

All lanes:

Western blot - Anti-RhoA + RhoB (ADP-ribosylated) antibody [VIF140-A1] (<a href='/en-us/products/primary-antibodies/rhoa-rhob-adp-ribosylated-antibody-vif140-a1-ab324028'>ab324028</a>) at 1/1000 dilution

Lane 1:

Untreated HT-22 (mouse hippocampal neuronal cell) whole cell lysate at 20 µg

Lane 2:

HT-22 treated with 500nM C3 for 6 hours whole cell lysate at 20 µg

Secondary

All lanes:

Western blot - Goat Anti-Human IgG Fc (HRP) preadsorbed (<a href='/en-us/products/secondary-antibodies/goat-human-igg-fc-hrp-preadsorbed-ab98624'>ab98624</a>) at 1/10000 dilution

Observed band size: 22 kDa,36 kDa

false

Exposure time: 26s

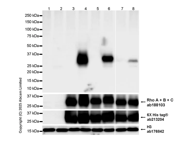
Western blot - Anti-Rho A + B + C antibody [EPR18299] (AB188103)
  • WB

Supplier Data

Western blot - Anti-Rho A + B + C antibody [EPR18299] (AB188103)

Blocking and diluting buffer and concentration : 5% NFDM/TBST.

The expression profile observed is consistent with what has been described in the literature (PMID : 27043630).

In Western blot, Anti-Histone H3 antibody [EPR16987] - Nuclear Marker and ChIP Grade (ab176842) staining at 1/200000 dilution.

In Western blot, Anti-6X His tag® antibody [EPR20547] - ChIP Grade (ab213204) staining at 1/5000 dilution.

In Western blot, Anti-Rho A + B + C antibody [EPR18299] staining at 1/1000 dilution.

All lanes:

Western blot - Anti-RhoA + RhoB (ADP-ribosylated) antibody [VIF140-A1] - Mouse IgG2a (Chimeric) (<a href='/en-us/products/primary-antibodies/rhoa-rhob-adp-ribosylated-antibody-vif140-a1-mouse-igg2a-chimeric-ab324029'>ab324029</a>) at 1/1000 dilution

Lane 1:

293T (human embryonic kidney epithelial cell) transfected with an empty vector containing a myc-his-tag whole cell lysate at 20 µg

Lane 2:

293T transfected with an empty vector containing a myc-his-tag were treated with 500nM C3 for 30 minutes whole cell lysate at 20 µg

Lane 3:

293T transfected with an human RhoA expression vector containing a myc-his-tag whole cell lysate at 20 µg

Lane 4:

293T transfected with an human RhoA expression vector containing a myc-his-tag were treated with 500nM C3 for 30 minutes whole cell lysate at 20 µg

Lane 5:

293T transfected with an human RhoB expression vector containing a myc-his-tag whole cell lysate at 20 µg

Lane 6:

293T transfected with an human RhoB expression vector containing a myc-his-tag were treated with 500nM C3 for 30 minutes whole cell lysate at 20 µg

Lane 7:

293T transfected with an human RhoC expression vector containing a myc-his-tag whole cell lysate at 20 µg

Lane 8:

293T transfected with an human RhoC expression vector containing a myc-his-tag were treated with 500nM C3 for 30 minutes whole cell lysate at 20 µg

Secondary

All lanes:

Peroxidase-Conjugated Goat anti-Mouse IgG (H+L) at 1/10000 dilution

Observed band size: 22 kDa,17 kDa

false

Exposure time: 1s

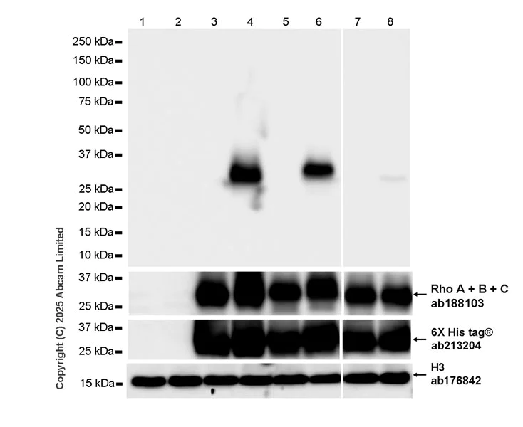
Western blot - Anti-Rho A + B + C antibody [EPR18299] (AB188103)
  • WB

Supplier Data

Western blot - Anti-Rho A + B + C antibody [EPR18299] (AB188103)

Blocking and diluting buffer and concentration : 5% NFDM/TBST.

The expression profile observed is consistent with what has been described in the literature (PMID : 27043630).

In Western blot, Anti-Histone H3 antibody [EPR16987] - Nuclear Marker and ChIP Grade (ab176842) staining at 1/200000 dilution.

In Western blot, Anti-6X His tag® antibody [EPR20547] - ChIP Grade (ab213204) staining at 1/5000 dilution.

In Western blot, Anti-Rho A + B + C antibody [EPR18299] staining at 1/1000 dilution.

All lanes:

Western blot - Anti-RhoA + RhoB (ADP-ribosylated) antibody [VIF140-A1] (<a href='/en-us/products/primary-antibodies/rhoa-rhob-adp-ribosylated-antibody-vif140-a1-ab324028'>ab324028</a>) at 1/1000 dilution

Lane 1:

293T (human embryonic kidney epithelial cell) transfected with an empty vector containing a myc-his-tag whole cell lysate at 20 µg

Lane 2:

293T transfected with an empty vector containing a myc-his-tag were treated with 500nM C3 for 30 minutes whole cell lysate at 20 µg

Lane 3:

293T transfected with an human RhoA expression vector containing a myc-his-tag whole cell lysate at 20 µg

Lane 4:

293T transfected with an human RhoA expression vector containing a myc-his-tag were treated with 500nM C3 for 30 minutes whole cell lysate at 20 µg

Lane 5:

293T transfected with an human RhoB expression vector containing a myc-his-tag whole cell lysate at 20 µg

Lane 6:

293T transfected with an human RhoB expression vector containing a myc-his-tag were treated with 500nM C3 for 30 minutes whole cell lysate at 20 µg

Lane 7:

293T transfected with an human RhoC expression vector containing a myc-his-tag whole cell lysate at 20 µg

Lane 8:

293T transfected with an human RhoC expression vector containing a myc-his-tag were treated with 500nM C3 for 30 minutes whole cell lysate at 20 µg

Secondary

All lanes:

Western blot - Goat Anti-Human IgG Fc (HRP) preadsorbed (<a href='/en-us/products/secondary-antibodies/goat-human-igg-fc-hrp-preadsorbed-ab98624'>ab98624</a>) at 1/10000 dilution

Observed band size: 22 kDa,17 kDa

false

Exposure time: 1s

  • Carrier free

    Anti-Rho A + B + C antibody [EPR18299] - BSA and Azide free

Key facts

Host species

Rabbit

Clonality

Monoclonal

Clone number

EPR18299

Isotype

IgG

Carrier free

No

Reacts with

Mouse, Rat, Human

Applications

WB, ICC/IF, IHC-P, Flow Cyt (Intra)

applications

Immunogen

The exact immunogen used to generate this antibody is proprietary information.

Reactivity data

{ "title": "Reactivity Data", "filters": { "stats": ["", "Species", "Dilution Info", "Notes"], "tabs": { "all-applications": {"fullname" : "All Applications", "shortname": "All Applications"}, "WB" : {"fullname" : "Western blot", "shortname":"WB"}, "ICCIF" : {"fullname" : "Immunocytochemistry/ Immunofluorescence", "shortname":"ICC/IF"}, "FlowCytIntra" : {"fullname" : "Flow Cytometry (Intracellular)", "shortname":"Flow Cyt (Intra)"}, "IHCP" : {"fullname" : "Immunohistochemistry (Formalin/PFA-fixed paraffin-embedded sections)", "shortname":"IHC-P"} }, "product-promise": { "all": "all", "testedAndGuaranteed": "tested", "guaranteed": "expected", "predicted": "predicted", "notRecommended": "not-recommended" } }, "values": { "Human": { "WB-species-checked": "testedAndGuaranteed", "WB-species-dilution-info": "1/500", "WB-species-notes": "<p></p>", "ICCIF-species-checked": "testedAndGuaranteed", "ICCIF-species-dilution-info": "1/500", "ICCIF-species-notes": "<p></p>", "FlowCytIntra-species-checked": "testedAndGuaranteed", "FlowCytIntra-species-dilution-info": "1/300", "FlowCytIntra-species-notes": "<p><a href='/en-us/products/primary-antibodies/rabbit-igg-monoclonal-epr25a-isotype-control-ab172730'>ab172730</a> - Rabbit monoclonal IgG, is suitable for use as an isotype control with this antibody.</p>", "IHCP-species-checked": "testedAndGuaranteed", "IHCP-species-dilution-info": "1/4000", "IHCP-species-notes": "<p></p>" }, "Mouse": { "WB-species-checked": "testedAndGuaranteed", "WB-species-dilution-info": "1/500", "WB-species-notes": "<p></p>", "ICCIF-species-checked": "testedAndGuaranteed", "ICCIF-species-dilution-info": "1/500", "ICCIF-species-notes": "<p></p>", "FlowCytIntra-species-checked": "guaranteed", "FlowCytIntra-species-dilution-info": "", "FlowCytIntra-species-notes": "", "IHCP-species-checked": "testedAndGuaranteed", "IHCP-species-dilution-info": "1/4000", "IHCP-species-notes": "<p></p>" }, "Rat": { "WB-species-checked": "guaranteed", "WB-species-dilution-info": "", "WB-species-notes": "", "ICCIF-species-checked": "guaranteed", "ICCIF-species-dilution-info": "", "ICCIF-species-notes": "", "FlowCytIntra-species-checked": "guaranteed", "FlowCytIntra-species-dilution-info": "", "FlowCytIntra-species-notes": "", "IHCP-species-checked": "testedAndGuaranteed", "IHCP-species-dilution-info": "1/4000", "IHCP-species-notes": "<p></p>" } } }

Product details

Patented technology
Our RabMAb® technology is a patented hybridoma-based technology for making rabbit monoclonal antibodies. For details on our patents, please refer to RabMAb® patents.

What are the advantages of a recombinant monoclonal antibody?
This product is a recombinant monoclonal antibody, which offers several advantages including:

  • - High batch-to-batch consistency and reproducibility
  • - Improved sensitivity and specificity
  • - Long-term security of supply
  • - Animal-free batch production

For more information, read more on recombinant antibodies.

Properties and storage information

Form
Liquid
Purification technique
Affinity purification Protein A
Storage buffer
pH: 7.2 - 7.4 Preservative: 0.01% Sodium azide Constituents: PBS, 40% Glycerol (glycerin, glycerine), 0.05% BSA
Shipped at conditions
Blue Ice
Appropriate short-term storage duration
1-2 weeks
Appropriate short-term storage conditions
+4°C
Appropriate long-term storage conditions
-20°C
Aliquoting information
Upon delivery aliquot
Storage information
Avoid freeze / thaw cycle

Supplementary information

This supplementary information is collated from multiple sources and compiled automatically.

Rho proteins including Rho A B and C are small GTPases and part of the larger Rho family sometimes referred as Ras homologous proteins. They have a mass of approximately 21 kDa and play an important role in actin cytoskeleton dynamics. These proteins are primarily expressed in various tissues but are especially prevalent in the brain heart and lungs. When activated Rho proteins bind to GTP facilitating the reorganization of actin fibers critical for processes like cell movement and division.
Biological function summary

Rho proteins influence cell shape migration and adhesion. They are part of the Rho GTPase family which interacts with other molecules to form a complex that manages cellular structure. Rho proteins impact the formation of stress fibers and focal adhesions which are essential for maintaining tissue integrity and facilitating cellular responses. This activity makes Rho proteins vital players in wound healing and embryonic development.

Pathways

Rho proteins are critical parts of the Rho-ROCK (Rho-associated protein kinase) pathway and the Wnt signaling pathway. Both pathways are important for cell signaling that orchestrates changes in the cytoskeleton and cell behavior. In these pathways Rho proteins interact with kinases like ROCK1 and ROCK2 connecting to a larger network of signaling proteins that guide cellular outcomes involved in proliferation and structural maintenance.

Rho proteins have connections to cancer progression and cardiovascular diseases. Their role in cell adhesion and migration links them to metastasis where their dysregulation can promote tumor invasion. Also in cardiovascular conditions altered Rho activity impacts vascular smooth muscle contraction and endothelial function. Research associations identify proteins like E-cadherin in cancer and vascular endothelial cadherin in heart diseases as being influenced by Rho protein signaling.

Product protocols

For this product, it's our understanding that no specific protocols are required. You can visit:

Target data

Small GTPase which cycles between an active GTP-bound and an inactive GDP-bound state. Mainly associated with cytoskeleton organization, in active state binds to a variety of effector proteins to regulate cellular responses such as cytoskeletal dynamics, cell migration and cell cycle (PubMed : 23871831). Regulates a signal transduction pathway linking plasma membrane receptors to the assembly of focal adhesions and actin stress fibers (PubMed : 31570889, PubMed : 8910519, PubMed : 9121475). Involved in a microtubule-dependent signal that is required for the myosin contractile ring formation during cell cycle cytokinesis (PubMed : 12900402, PubMed : 16236794). Plays an essential role in cleavage furrow formation. Required for the apical junction formation of keratinocyte cell-cell adhesion (PubMed : 20974804, PubMed : 23940119). Essential for the SPATA13-mediated regulation of cell migration and adhesion assembly and disassembly (PubMed : 19934221). The MEMO1-RHOA-DIAPH1 signaling pathway plays an important role in ERBB2-dependent stabilization of microtubules at the cell cortex. It controls the localization of APC and CLASP2 to the cell membrane, via the regulation of GSK3B activity. In turn, membrane-bound APC allows the localization of the MACF1 to the cell membrane, which is required for microtubule capture and stabilization (PubMed : 20937854). Regulates KCNA2 potassium channel activity by reducing its location at the cell surface in response to CHRM1 activation; promotes KCNA2 endocytosis (PubMed : 19403695, PubMed : 9635436). Acts as an allosteric activator of guanine nucleotide exchange factor ECT2 by binding in its activated GTP-bound form to the PH domain of ECT2 which stimulates the release of PH inhibition and promotes the binding of substrate RHOA to the ECT2 catalytic center (PubMed : 31888991). May be an activator of PLCE1 (PubMed : 16103226). In neurons, involved in the inhibition of the initial spine growth. Upon activation by CaMKII, modulates dendritic spine structural plasticity by relaying CaMKII transient activation to synapse-specific, long-term signaling (By similarity). Acts as a regulator of platelet alpha-granule release during activation and aggregation of platelets (By similarity). When activated by DAAM1 may signal centrosome maturation and chromosomal segregation during cell division. May also be involved in contractile ring formation during cytokinesis.. (Microbial infection) Serves as a target for the yopT cysteine peptidase from Yersinia pestis, vector of the plague.
See full target information RHOA

Additional targets

RHOB,RHOC

Publications (5)

Recent publications for all applications. Explore the full list and refine your search

The ISME journal 19: PubMed40899693

2025

Convergent gut microbial functional strategies drive energy metabolism adaptation across Ursidae species and challenge the uniqueness of giant panda.

Applications

Unspecified application

Species

Unspecified reactive species

Tingbei Bo,Xiaoming Xu,He Liu,Liqiu Tang,Haihong Xu,Siqi Zhao,Jinzhen Lv,Dehua Wang

Cancers 16: PubMed38791874

2024

Pepsinogen C Interacts with IQGAP1 to Inhibit the Metastasis of Gastric Cancer Cells by Suppressing Rho-GTPase Pathway.

Applications

Unspecified application

Species

Unspecified reactive species

Hanxi Ding,Yingnan Liu,Xiaodong Lu,Aoran Liu,Qian Xu,Yuan Yuan

Cancer management and research 12:13085-13097 PubMed33376401

2020

Cyclin F Downregulation Affects Epithelial-Mesenchymal Transition Increasing Proliferation and Migration of the A-375 Melanoma Cell Line.

Applications

Unspecified application

Species

Unspecified reactive species

Adrian Krajewski,Maciej Gagat,Klaudia Mikołajczyk,Magdalena Izdebska,Agnieszka Żuryń,Alina Grzanka

Frontiers in cell and developmental biology 8:254 PubMed32411702

2020

CD40L Reverse Signaling Influences Dendrite Spine Morphology and Expression of PSD-95 and Rho Small GTPases.

Applications

Unspecified application

Species

Unspecified reactive species

Paulina Carriba,Sean Wyatt,Alun M Davies

FEBS letters 591:3296-3309 PubMed28889652

2017

Dynamics and function of ERM proteins during cytokinesis in human cells.

Applications

Unspecified application

Species

Unspecified reactive species

Shota Hiruma,Tomoko Kamasaki,Kohei Otomo,Tomomi Nemoto,Ryota Uehara
View all publications

Product promise

We are committed to supporting your work with high-quality reagents, and we're here for you every step of the way. In the unlikely event that one of our products does not perform as expected, you're protected by our Product Promise.
For full details, please see our Terms & Conditions

Please note: All products are 'FOR RESEARCH USE ONLY. NOT FOR USE IN DIAGNOSTIC OR THERAPEUTIC PROCEDURES'.

For licensing inquiries, please contact partnerships@abcam.com