JavaScript is disabled in your browser. Please enable JavaScript to view this website.
AB221161

Anti-Rho A + B + C antibody [EPR18299] - BSA and Azide free

Be the first to review this product! Submit a review

|

(0 Publication)

Rabbit Recombinant Monoclonal RHOA antibody. Carrier free. Suitable for ICC/IF, WB, Flow Cyt (Intra), IHC-P and reacts with Mouse, Human, Rat samples.

View Alternative Names

ARH12, ARHA, RHO12, RHOA, Transforming protein RhoA, Rho cDNA clone 12, h12

12 Images
Immunohistochemistry (Formalin/PFA-fixed paraffin-embedded sections) - Anti-Rho A + B + C antibody [EPR18299] - BSA and Azide free (AB221161)
  • IHC-P

Supplier Data

Immunohistochemistry (Formalin/PFA-fixed paraffin-embedded sections) - Anti-Rho A + B + C antibody [EPR18299] - BSA and Azide free (AB221161)

This data was developed using ab188103, the same antibody clone in a different buffer formulation.

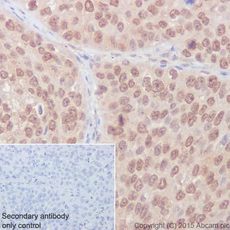
Immunohistochemical analysis of paraffin-embedded Human squamous cell carcinoma of lung tissue labeling Rho A + B + C with ab188103 at 1/4000 dilution, followed by Goat Anti-Rabbit IgG H&L (HRP) (ab97051) secondary antibody at 1/500 dilution. Cytoplasmic and nuclear staining on cancer cells of squamous cell carcinoma of lung is observed. Counter stained with Hematoxylin.

Secondary antibody only control : Used PBS instead of primary antibody, secondary antibody is Goat Anti-Rabbit IgG H&L (HRP) (ab97051) at 1/500 dilution.

Perform heat mediated antigen retrieval with Tris/EDTA buffer pH 9.0 before commencing with IHC staining protocol.

Immunohistochemistry (Formalin/PFA-fixed paraffin-embedded sections) - Anti-Rho A + B + C antibody [EPR18299] - BSA and Azide free (AB221161)
  • IHC-P

Supplier Data

Immunohistochemistry (Formalin/PFA-fixed paraffin-embedded sections) - Anti-Rho A + B + C antibody [EPR18299] - BSA and Azide free (AB221161)

This data was developed using ab188103, the same antibody clone in a different buffer formulation.

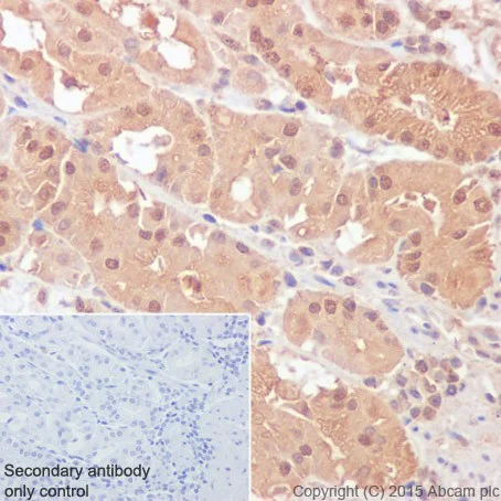
Immunohistochemical analysis of paraffin-embedded Mouse muscle tissue labeling Rho A + B + C with ab188103 at 1/4000 dilution, followed by Goat Anti-Rabbit IgG H&L (HRP) (ab97051) secondary antibody at 1/500 dilution. Cytoplasmic and nuclear staining on mouse muscle is observed. Counter stained with Hematoxylin.

Secondary antibody only control : Used PBS instead of primary antibody, secondary antibody is Goat Anti-Rabbit IgG H&L (HRP) (ab97051) at 1/500 dilution.

Perform heat mediated antigen retrieval with Tris/EDTA buffer pH 9.0 before commencing with IHC staining protocol.

Western blot - Anti-Rho A + B + C antibody [EPR18299] - BSA and Azide free (AB221161)
  • WB

Supplier Data

Western blot - Anti-Rho A + B + C antibody [EPR18299] - BSA and Azide free (AB221161)

This data was developed using ab188103, the same antibody clone in a different buffer formulation.

Blocking and dilution buffer : 5% NFDM/TBST.

All lanes:

Western blot - Anti-Rho A + B + C antibody [EPR18299] (<a href='/en-us/products/primary-antibodies/rho-a-b-c-antibody-epr18299-ab188103'>ab188103</a>) at 1/2000 dilution

Lane 1:

Mouse brain lysate at 10 µg

Lane 2:

Mouse kidney lysate at 10 µg

Lane 3:

Rat brain lysate at 10 µg

Lane 4:

Rat kidney lysate at 10 µg

Lane 5:

C6 (Rat glial tumor cells) whole cell lysate at 10 µg

Lane 6:

RAW 264.7 (Mouse macrophage cells transformed with Abelson murine leukemia virus) whole cell lysate at 10 µg

Lane 7:

PC-12 (Rat adrenal gland pheochromocytoma) whole cell lysate at 10 µg

Lane 8:

NIH/3T3 (Mouse embyro fibroblast cells) whole cell lysate at 10 µg

Secondary

All lanes:

Goat Anti-Rabbit IgG, (H+L),Peroxidase conjugated at 1/1000 dilution

Predicted band size: 22 kDa

Observed band size: 22 kDa

false

Exposure time: 1min

Flow Cytometry (Intracellular) - Anti-Rho A + B + C antibody [EPR18299] - BSA and Azide free (AB221161)
  • Flow Cyt (Intra)

Supplier Data

Flow Cytometry (Intracellular) - Anti-Rho A + B + C antibody [EPR18299] - BSA and Azide free (AB221161)

This data was developed using ab188103, the same antibody clone in a different buffer formulation.

Intracellular flow cytometric analysis of 2% paraformaldehyde-fixed Jurkat (Human T cell leukemia cells from peripheral blood) cells labeling Rho A + B + C with ab188103 at 1/300 dilution (red) compared with a rabbit monoclonal IgG isotype control (black) and an unlabelled control (cells without incubation with primary antibody and secondary antibody; blue). Goat anti rabbit IgG (FITC) at 1/150 dilution was used as the secondary antibody.

Immunohistochemistry (Formalin/PFA-fixed paraffin-embedded sections) - Anti-Rho A + B + C antibody [EPR18299] - BSA and Azide free (AB221161)
  • IHC-P

Supplier Data

Immunohistochemistry (Formalin/PFA-fixed paraffin-embedded sections) - Anti-Rho A + B + C antibody [EPR18299] - BSA and Azide free (AB221161)

This data was developed using ab188103, the same antibody clone in a different buffer formulation.

Immunohistochemical analysis of paraffin-embedded Human stomach tissue labeling Rho A + B + C with ab188103 at 1/4000 dilution, followed by Goat Anti-Rabbit IgG H&L (HRP) (ab97051) secondary antibody at 1/500 dilution. Cytoplasmic and nuclear staining on epithelial cells of Human stomach is observed. Counter stained with Hematoxylin.

Secondary antibody only control : Used PBS instead of primary antibody, secondary antibody is Goat Anti-Rabbit IgG H&L (HRP) (ab97051) at 1/500 dilution.

Perform heat mediated antigen retrieval with Tris/EDTA buffer pH 9.0 before commencing with IHC staining protocol.

Immunohistochemistry (Formalin/PFA-fixed paraffin-embedded sections) - Anti-Rho A + B + C antibody [EPR18299] - BSA and Azide free (AB221161)
  • IHC-P

Supplier Data

Immunohistochemistry (Formalin/PFA-fixed paraffin-embedded sections) - Anti-Rho A + B + C antibody [EPR18299] - BSA and Azide free (AB221161)

This data was developed using ab188103, the same antibody clone in a different buffer formulation.

Immunohistochemical analysis of paraffin-embedded Rat colon tissue labeling Rho A + B + C with ab188103 at 1/4000 dilution, followed by Goat Anti-Rabbit IgG H&L (HRP) (ab97051) secondary antibody at 1/500 dilution. Cytoplasmic and nuclear staining on epithelial cells of Rat colon is observed. Counter stained with Hematoxylin.

Secondary antibody only control : Used PBS instead of primary antibody, secondary antibody is Goat Anti-Rabbit IgG H&L (HRP) (ab97051) at 1/500 dilution.

Perform heat mediated antigen retrieval with Tris/EDTA buffer pH 9.0 before commencing with IHC staining protocol.

Immunocytochemistry/ Immunofluorescence - Anti-Rho A + B + C antibody [EPR18299] - BSA and Azide free (AB221161)
  • ICC/IF

Supplier Data

Immunocytochemistry/ Immunofluorescence - Anti-Rho A + B + C antibody [EPR18299] - BSA and Azide free (AB221161)

This data was developed using ab188103, the same antibody clone in a different buffer formulation.

Immunofluorescent analysis of 4% paraformaldehyde-fixed, 0.1% Triton X-100 permeabilized HepG2 (Human liver hepatocellular carcinoma) cells labeling Rho A + B + C with ab188103 at 1/500 dilution, followed by Goat anti-rabbit IgG (Alexa Fluor® 488) (ab150077) secondary antibody at 1/500 dilution (green). Confocal image showing both nuclear and cytoplasmic staining on HepG2 cells. The nuclear counter stain is DAPI (blue). Tubulin is detected with ab7291 (anti-Tubulin mouse mAb) at 1/1000 dilution and ab150120 (AlexaFluor®594 Goat anti-Mouse secondary) at 1/500 dilution (red).
The negative controls are as follows;
-ve control 1 : ab188103 at 1/500 dilution followed by ab150120 (AlexaFluor®594 Goat anti-Mouse secondary) at 1/500 dilution.
-ve control 2 : ab7291 (anti-Tubulin mouse mAb) at 1/1000 dilution followed by ab150077 (Alexa Fluor®488 Goat Anti-Rabbit IgG H&L) at 1/500 dilution.

Immunocytochemistry/ Immunofluorescence - Anti-Rho A + B + C antibody [EPR18299] - BSA and Azide free (AB221161)
  • ICC/IF

Supplier Data

Immunocytochemistry/ Immunofluorescence - Anti-Rho A + B + C antibody [EPR18299] - BSA and Azide free (AB221161)

This data was developed using ab188103, the same antibody clone in a different buffer formulation.

Immunofluorescent analysis of 4% paraformaldehyde-fixed, 0.1% Triton X-100 permeabilized NIH/3T3 (Mouse embyro fibroblast cells) cells labeling to RhoA + RhoB + RhoC with ab188103 at 1/500 dilution, followed by Goat anti-rabbit IgG (Alexa Fluor® 488) (ab150077) secondary antibody at 1/500 dilution (green). Confocal image showing both nuclear and cytoplasmic staining on NIH/3T3 cells. The nuclear counter stain is DAPI (blue). Tubulin is detected with ab7291 (anti-Tubulin mouse mAb) at 1/1000 dilution and ab150120 (AlexaFluor®594 Goat anti-Mouse secondary) at 1/500 dilution (red).
The negative controls are as follows;
-ve control 1 : ab188103 at 1/500 dilution followed by ab150120 (AlexaFluor®594 Goat anti-Mouse secondary) at 1/500 dilution.
-ve control 2 : ab7291 (anti-Tubulin mouse mAb) at 1/1000 dilution followed by ab150077 (Alexa Fluor®488 Goat Anti-Rabbit IgG H&L) at 1/500 dilution.

Western blot - Anti-Rho A + B + C antibody [EPR18299] - BSA and Azide free (AB221161)
  • WB

Supplier Data

Western blot - Anti-Rho A + B + C antibody [EPR18299] - BSA and Azide free (AB221161)

This data was developed using ab188103, the same antibody clone in a different buffer formulation.

Blocking and dilution buffer : 5% NFDM/TBST.

Human RhoC full length protein (ab98085) contains aa1-190 with His-Tag® N-Terminus.

All lanes:

Western blot - Anti-Rho A + B + C antibody [EPR18299] (<a href='/en-us/products/primary-antibodies/rho-a-b-c-antibody-epr18299-ab188103'>ab188103</a>) at 1/500 dilution

All lanes:

Human RhoC full length protein at 0.01 µg

Secondary

All lanes:

Goat Anti-Rabbit IgG, (H+L),Peroxidase conjugated at 1/1000 dilution

Predicted band size: 22 kDa

Observed band size: 24 kDa

false

Exposure time: 3min

Western blot - Anti-Rho A + B + C antibody [EPR18299] - BSA and Azide free (AB221161)
  • WB

Supplier Data

Western blot - Anti-Rho A + B + C antibody [EPR18299] - BSA and Azide free (AB221161)

This data was developed using ab188103, the same antibody clone in a different buffer formulation.

Blocking and dilution buffer : 5% NFDM/TBST.

Human RhoA full length protein (ab101594) contains aa1-193 with His-Tag® N-Terminus; Human RhoB full length protein (ab107139) contains aa1-193 with His-Tag®; N-Terminus.

All lanes:

Western blot - Anti-Rho A + B + C antibody [EPR18299] (<a href='/en-us/products/primary-antibodies/rho-a-b-c-antibody-epr18299-ab188103'>ab188103</a>) at 1/20000 dilution

Lane 1:

Human RhoA full length protein at 0.01 µg

Lane 2:

Human RhoB full length protein at 0.01 µg

Secondary

All lanes:

Goat Anti-Rabbit IgG, (H+L),Peroxidase conjugated at 1/1000 dilution

Predicted band size: 22 kDa

Observed band size: 24 kDa

false

Exposure time: 30s

Western blot - Anti-Rho A + B + C antibody [EPR18299] - BSA and Azide free (AB221161)
  • WB

Supplier Data

Western blot - Anti-Rho A + B + C antibody [EPR18299] - BSA and Azide free (AB221161)

This data was developed using ab188103, the same antibody clone in a different buffer formulation.

Blocking and dilution buffer : 5% NFDM/TBST.

All lanes:

Western blot - Anti-Rho A + B + C antibody [EPR18299] (<a href='/en-us/products/primary-antibodies/rho-a-b-c-antibody-epr18299-ab188103'>ab188103</a>) at 1/2000 dilution

Lane 1:

Human fetal brain lysate at 10 µg

Lane 2:

Human fetal kidney lysate at 10 µg

Secondary

All lanes:

Anti-Rabbit IgG (HRP), specific to the non-reduced form of IgG at 1/1000 dilution

Predicted band size: 22 kDa

Observed band size: 22 kDa

false

Exposure time: 1min

Western blot - Anti-Rho A + B + C antibody [EPR18299] - BSA and Azide free (AB221161)
  • WB

Supplier Data

Western blot - Anti-Rho A + B + C antibody [EPR18299] - BSA and Azide free (AB221161)

This data was developed using ab188103, the same antibody clone in a different buffer formulation.

Blocking and dilution buffer : 5% NFDM/TBST.

All lanes:

Western blot - Anti-Rho A + B + C antibody [EPR18299] (<a href='/en-us/products/primary-antibodies/rho-a-b-c-antibody-epr18299-ab188103'>ab188103</a>) at 1/2000 dilution

Lane 1:

HepG2 (Human liver hepatocellular carcinoma) whole cell lysate at 10 µg

Lane 2:

HeLa (Human epithelial cells from cervix adenocarcinoma) whole cell lysate at 10 µg

Lane 3:

Jurkat (Human T cell leukemia cells from peripheral blood) whole cell lysate at 10 µg

Secondary

All lanes:

Goat Anti-Rabbit IgG, (H+L),Peroxidase conjugated at 1/1000 dilution

Predicted band size: 22 kDa

Observed band size: 22 kDa

false

Exposure time: 1min

Key facts

Host species

Rabbit

Clonality

Monoclonal

Clone number

EPR18299

Isotype

IgG

Carrier free

Yes

Reacts with

Mouse, Rat, Human

Applications

WB, IHC-P, ICC/IF, Flow Cyt (Intra)

applications

Immunogen

The exact immunogen used to generate this antibody is proprietary information.

Reactivity data

{ "title": "Reactivity Data", "filters": { "stats": ["", "Species", "Dilution Info", "Notes"], "tabs": { "all-applications": {"fullname" : "All Applications", "shortname": "All Applications"}, "ICCIF" : {"fullname" : "Immunocytochemistry/ Immunofluorescence", "shortname":"ICC/IF"}, "WB" : {"fullname" : "Western blot", "shortname":"WB"}, "FlowCytIntra" : {"fullname" : "Flow Cytometry (Intracellular)", "shortname":"Flow Cyt (Intra)"}, "IHCP" : {"fullname" : "Immunohistochemistry (Formalin/PFA-fixed paraffin-embedded sections)", "shortname":"IHC-P"} }, "product-promise": { "all": "all", "testedAndGuaranteed": "tested", "guaranteed": "expected", "predicted": "predicted", "notRecommended": "not-recommended" } }, "values": { "Human": { "ICCIF-species-checked": "testedAndGuaranteed", "ICCIF-species-dilution-info": "", "ICCIF-species-notes": "<p></p> Perform heat-mediated antigen retrieval with Tris/EDTA buffer pH 9.0 before commencing with IHC staining protocol.", "WB-species-checked": "testedAndGuaranteed", "WB-species-dilution-info": "", "WB-species-notes": "<p></p>", "FlowCytIntra-species-checked": "testedAndGuaranteed", "FlowCytIntra-species-dilution-info": "", "FlowCytIntra-species-notes": "<p></p>", "IHCP-species-checked": "testedAndGuaranteed", "IHCP-species-dilution-info": "", "IHCP-species-notes": "<p></p> Perform heat-mediated antigen retrieval with Tris/EDTA buffer pH 9.0 before commencing with IHC staining protocol." }, "Mouse": { "ICCIF-species-checked": "testedAndGuaranteed", "ICCIF-species-dilution-info": "", "ICCIF-species-notes": "<p></p> Perform heat-mediated antigen retrieval with Tris/EDTA buffer pH 9.0 before commencing with IHC staining protocol.", "WB-species-checked": "testedAndGuaranteed", "WB-species-dilution-info": "", "WB-species-notes": "<p></p> Perform heat-mediated antigen retrieval with Tris/EDTA buffer pH 9.0 before commencing with IHC staining protocol.", "FlowCytIntra-species-checked": "guaranteed", "FlowCytIntra-species-dilution-info": "", "FlowCytIntra-species-notes": "", "IHCP-species-checked": "testedAndGuaranteed", "IHCP-species-dilution-info": "", "IHCP-species-notes": "<p></p> Perform heat-mediated antigen retrieval with Tris/EDTA buffer pH 9.0 before commencing with IHC staining protocol." }, "Rat": { "ICCIF-species-checked": "guaranteed", "ICCIF-species-dilution-info": "", "ICCIF-species-notes": "", "WB-species-checked": "guaranteed", "WB-species-dilution-info": "", "WB-species-notes": "", "FlowCytIntra-species-checked": "guaranteed", "FlowCytIntra-species-dilution-info": "", "FlowCytIntra-species-notes": "", "IHCP-species-checked": "testedAndGuaranteed", "IHCP-species-dilution-info": "", "IHCP-species-notes": "<p></p> Perform heat-mediated antigen retrieval with Tris/EDTA buffer pH 9.0 before commencing with IHC staining protocol." } } }

Product details

ab221161 is the carrier-free version of ab188103.

Patented technology
Our RabMAb® technology is a patented hybridoma-based technology for making rabbit monoclonal antibodies. For details on our patents, please refer to RabMAb® patents.

What are the advantages of a recombinant monoclonal antibody?
This product is a recombinant monoclonal antibody, which offers several advantages including:

  • - High batch-to-batch consistency and reproducibility
  • - Improved sensitivity and specificity
  • - Long-term security of supply
  • - Animal-free batch production

For more information, read more on recombinant antibodies.

Conjugation ready
Our carrier-free antibodies are typically supplied in a PBS-only formulation, purified and free of BSA, sodium azide and glycerol. This conjugation-ready format is designed for use with fluorochromes, metal isotopes, oligonucleotides, and enzymes, which makes them ideal for antibody labelling, functional and cell-based assays, flow-based assays (e.g. mass cytometry) and Multiplex Imaging applications.

Use our conjugation kits for antibody conjugates that are ready-to-use in as little as 20 minutes with 1 minute hands-on-time and 100% antibody recovery: available for fluorescent dyes, HRP, biotin and gold.

Compatibility
This product is compatible with the Maxpar® Antibody Labeling Kit from Fluidigm, without the need for antibody preparation. Maxpar® is a trademark of Fluidigm Canada Inc.

Properties and storage information

Form
Liquid
Purification technique
Affinity purification Protein A
Storage buffer
pH: 7.2 - 7.4 Constituents: PBS
Shipped at conditions
Blue Ice
Appropriate short-term storage conditions
+4°C
Appropriate long-term storage conditions
+4°C
Storage information
Do Not Freeze

Supplementary information

This supplementary information is collated from multiple sources and compiled automatically.

Rho proteins including Rho A B and C are small GTPases and part of the larger Rho family sometimes referred as Ras homologous proteins. They have a mass of approximately 21 kDa and play an important role in actin cytoskeleton dynamics. These proteins are primarily expressed in various tissues but are especially prevalent in the brain heart and lungs. When activated Rho proteins bind to GTP facilitating the reorganization of actin fibers critical for processes like cell movement and division.
Biological function summary

Rho proteins influence cell shape migration and adhesion. They are part of the Rho GTPase family which interacts with other molecules to form a complex that manages cellular structure. Rho proteins impact the formation of stress fibers and focal adhesions which are essential for maintaining tissue integrity and facilitating cellular responses. This activity makes Rho proteins vital players in wound healing and embryonic development.

Pathways

Rho proteins are critical parts of the Rho-ROCK (Rho-associated protein kinase) pathway and the Wnt signaling pathway. Both pathways are important for cell signaling that orchestrates changes in the cytoskeleton and cell behavior. In these pathways Rho proteins interact with kinases like ROCK1 and ROCK2 connecting to a larger network of signaling proteins that guide cellular outcomes involved in proliferation and structural maintenance.

Rho proteins have connections to cancer progression and cardiovascular diseases. Their role in cell adhesion and migration links them to metastasis where their dysregulation can promote tumor invasion. Also in cardiovascular conditions altered Rho activity impacts vascular smooth muscle contraction and endothelial function. Research associations identify proteins like E-cadherin in cancer and vascular endothelial cadherin in heart diseases as being influenced by Rho protein signaling.

Product protocols

For this product, it's our understanding that no specific protocols are required. You can visit:

Target data

Small GTPase which cycles between an active GTP-bound and an inactive GDP-bound state. Mainly associated with cytoskeleton organization, in active state binds to a variety of effector proteins to regulate cellular responses such as cytoskeletal dynamics, cell migration and cell cycle (PubMed : 23871831). Regulates a signal transduction pathway linking plasma membrane receptors to the assembly of focal adhesions and actin stress fibers (PubMed : 31570889, PubMed : 8910519, PubMed : 9121475). Involved in a microtubule-dependent signal that is required for the myosin contractile ring formation during cell cycle cytokinesis (PubMed : 12900402, PubMed : 16236794). Plays an essential role in cleavage furrow formation. Required for the apical junction formation of keratinocyte cell-cell adhesion (PubMed : 20974804, PubMed : 23940119). Essential for the SPATA13-mediated regulation of cell migration and adhesion assembly and disassembly (PubMed : 19934221). The MEMO1-RHOA-DIAPH1 signaling pathway plays an important role in ERBB2-dependent stabilization of microtubules at the cell cortex. It controls the localization of APC and CLASP2 to the cell membrane, via the regulation of GSK3B activity. In turn, membrane-bound APC allows the localization of the MACF1 to the cell membrane, which is required for microtubule capture and stabilization (PubMed : 20937854). Regulates KCNA2 potassium channel activity by reducing its location at the cell surface in response to CHRM1 activation; promotes KCNA2 endocytosis (PubMed : 19403695, PubMed : 9635436). Acts as an allosteric activator of guanine nucleotide exchange factor ECT2 by binding in its activated GTP-bound form to the PH domain of ECT2 which stimulates the release of PH inhibition and promotes the binding of substrate RHOA to the ECT2 catalytic center (PubMed : 31888991). May be an activator of PLCE1 (PubMed : 16103226). In neurons, involved in the inhibition of the initial spine growth. Upon activation by CaMKII, modulates dendritic spine structural plasticity by relaying CaMKII transient activation to synapse-specific, long-term signaling (By similarity). Acts as a regulator of platelet alpha-granule release during activation and aggregation of platelets (By similarity). When activated by DAAM1 may signal centrosome maturation and chromosomal segregation during cell division. May also be involved in contractile ring formation during cytokinesis.. (Microbial infection) Serves as a target for the yopT cysteine peptidase from Yersinia pestis, vector of the plague.
See full target information RHOA

Additional targets

RHOB,RHOC

Product promise

We are committed to supporting your work with high-quality reagents, and we're here for you every step of the way. In the unlikely event that one of our products does not perform as expected, you're protected by our Product Promise.
For full details, please see our Terms & Conditions

Please note: All products are 'FOR RESEARCH USE ONLY. NOT FOR USE IN DIAGNOSTIC OR THERAPEUTIC PROCEDURES'.

For licensing inquiries, please contact partnerships@abcam.com